Study of the duration of the retention period in patients with the combined pathology of occlusion of the dentition
- Authors: Vodolatsky V.M.1, Makatov R.S.1
-
Affiliations:
- Stavropol State Medical University
- Issue: Vol 26, No 5 (2022)
- Pages: 407-413
- Section: Clinical Investigation
- Submitted: 01.11.2022
- Accepted: 16.11.2022
- Published: 23.12.2022
- URL: https://rjdentistry.com/1728-2802/article/view/111817
- DOI: https://doi.org/10.17816/dent111817
- ID: 111817
Cite item
Abstract
BACKGROUND: One of the most severe categories of pediatric patients is those with concomitant dental occlusion. Owing to the increase in the quality and effectiveness of orthodontic care nowadays and the reduction in the duration of the treatment stage in pediatric patients with orthodontic problems with concomitant dental occlusion, the duration of the retention period and retention devices used should be analyzed, which is the aim of this study.
AIM: To analyze the duration of the retention period in patients with concomitant dental occlusion.
MATERIAL AND METHODS: The study enrolled 26 children aged 6–18 years with dental occlusion in the second and third planes who were taken for orthodontic treatment. The patients were divided into two groups. Group 1 included 14 children aged 6–16 years with dental occlusion in two planes (53.85%). All patients underwent orthodontic treatment using removable and non-removable orthodontic devices. Group 2 included 12 children aged 7–18 years with dental occlusion in three planes (46.15%).
RESULTS: After orthodontic treatment, the duration of the retention period was analyzed in children with concomitant dental occlusion.
CONCLUSIONS: Retention of the achieved result after correction of concomitant dental dentition is an important stage of the rehabilitation process. During the retention period, which lasted for 16–24 months in group 1 and 19–32 months in group 2, all patients had inactivated removable and non-removable retention devices, specially made for this purpose.
Full Text
АКТУАЛЬНОСТЬ
В настоящее время в структуре стоматологической заболеваемости в России и за рубежом зубочелюстные аномалии и деформации по распространенности занимают третье место после кариеса и заболеваний пародонта. Современная ортодонтическая помощь позволяет достигать высоких функциональных и эстетических результатов коррекции положения зубов и прикуса в целом.
Ретенция после ортодонтического лечения необходима, чтобы предотвратить рецидив окончательного окклюзионного результата [1], который может произойти в результате усилий со стороны волокон периодонта вокруг зубов, которые стремятся вернуть зубы в исходное положение, а также из-за отклонения окклюзионных контактов, если окончательная окклюзия далека от идеальной [2, 3]. Для достижения хорошей фиксации достигнутого лечебного результата предложены разные конструкции ретенционных аппаратов [4]. В частности, эффективным методом ретенции в настоящее время является сочетание несъемного ретейнера и съемной ретенционной каппы [5].
Одной из наиболее тяжелых категорий пациентов детского возраста являются дети с сочетанной патологией окклюзии зубных рядов.
В связи с повышением в настоящее время качества и эффективности ортодонтической помощи и уменьшением сроков лечебного этапа у ортодонтических пациентов детского возраста с сочетанной патологией окклюзии возникает необходимость проведения анализа продолжительности ретенционного периода и используемых ретенционных аппаратов.
Цель исследования — изучить продолжительность ретенционного периода у пациентов с сочетанной патологией окклюзии зубных рядов.
Задачи исследования:
1) проведение ортодонтического лечения у пациентов детского возраста с сочетанной патологией окклюзии зубных рядов в двух и трех плоскостях;
2) удержание достигнутого лечебного результата у пациентов детского возраста с сочетанной патологией окклюзии зубных рядов при помощи ретенционных аппаратов различной конструкции;
3) определение оптимальных временны́х параметров ретенционного периода у пациентов детского возраста с сочетанной патологией окклюзии зубных рядов в зависимости от вида сочетанной патологии окклюзии зубных рядов и конструкций ретенционных аппаратов.
МАТЕРИАЛ И МЕТОДЫ
Для решения поставленной цели и задач на ортодонтическое лечение было взято 26 детей в возрасте от 6 до 18 лет с патологией окклюзии зубных рядов в двух и трех плоскостях. Все пациенты были поделены на две группы. В 1-ю группу вошли 14 (53,85%) детей от 6 до 16 лет с патологией окклюзии зубных рядов в двух плоскостях. Виды сочетанной аномалии окклюзии зубных рядов в двух плоскостях: дистальный и глубокий прикус — 7 (26,9%) детей и подростков; дистальный и перекрестный прикус — 1 (3,84%) ребенок; мезиальная окклюзия и вертикальная дизокклюзия — 4 (15,38%) ребенка и подростка; мезиальная и перекрестная окклюзия — 2 (7,69%) ребенка и подростка. Во 2-ю группу вошли 12 (46,15%) детей от 7 до 18 лет с патологией окклюзии зубных рядов в трех плоскостях. Виды сочетанной аномалии окклюзии зубных рядов в трех плоскостях: дистальная, перекрестная и глубокая резцовая окклюзия — 7 (26,9%) детей и подростков; мезиальная, перекрестная окклюзия и вертикальная дизокклюзия — 5 (19,23%) детей и подростков.
У всех пациентов проводился сбор анамнеза, опрос и клинический осмотр. В стоматологическое обследование включались дополнительные методы (рентгенологические, биометрические, графические, антропометрические и статистические). Для определения сочетанной патологии окклюзии зубных рядов применялась Международная классификация стоматологических болезней Всемирной организации здравоохранения на основе МКБ-10 (Международная классификация болезней 10-го пересмотра) и классификация аномалий зубных рядов Л.С. Персина (1993). Рентгенологическое исследование включало проведение ортопантомографии, конусно-лучевой компьютерной томографии и боковой телерентгенографии черепа. Биометрические исследования у детей с патологией окклюзии зубных рядов проводились с помощью методов Gerlach и Pont, проводимых на моделях зубных рядов. Анализ результатов исследования проводился с помощью математической обработки цифровых результатов с использованием компьютерной программы Statistica 6.0.
У всех пациентов с сочетанной патологией окклюзии зубных рядов на лечебном этапе применялись съемные и несъемные ортодонтические аппараты. Конструкция съемного ортодонтического аппарата выбиралась индивидуально в зависимости от возраста, вида и степени тяжести сочетанной патологии окклюзии зубных рядов. Пациентам 1-й группы [14 (53,84%) детей и подростков до 13 лет] на лечебном этапе применялись механические аппараты — 8 (57,14%) детей и подростков, функциональные — 3 (21,42%) ребенка и подростка и комбинированные — 3 (21,42%) ребенка и подростка. Пациентам 2-й группы [12 (46,15%) детей и подростков до 13 лет] на лечебном этапе также применялись механические аппараты — 7 (58,33%) детей и подростков, функциональные — 3 (25,0%) ребенка и подростка и комбинированные —2 (14,28%) ребенка и подростка.
При проведении лечебного этапа всем пациентам с патологией окклюзии зубных рядов в случае необходимости с целью достижения максимального лечебного эффекта последовательно изготавливалось несколько ортодонтических аппаратов механического действия.
У всех пациентов с патологией окклюзии зубных рядов после 13 лет для устранения ортодонтической патологии применялись брекет-системы Mini Diamond (0,22) и Damon Q, установленные на зубы верхней и нижней челюсти, включая первые и вторые постоянные моляры с последовательной заменой CuNiTi (сплав никель-титана с добавлением меди) дуг с эффектом памяти формы как круглого (от 0,14 до 0,18 дюйма), так и прямоугольного сечения (от 14/25 до 18/25 дюйма). Время ношения каждой из дуг варьировало от 2,5 до 3,5 мес. На заключительном этапе лечения с целью окончательной детализации положения отдельных зубов, коррекции торка и ангуляции коронок зубов, а также кривой Шпее пациентам устанавливалась стальная дуга без эффекта памяти формы диаметром 19/25 дюйма.
Параллельно с установкой брекет-системы пациентам по показаниям проводилось разобщение прикуса с помощью стеклоиономерного цемента для беспрепятственного перемещения боковых зубов по трансверзальной плоскости и предотвращения стираемости бугров у премоляров и моляров. Нормализация соотношения челюстей происходила за счет исправления формы верхней и нижней зубной дуги.
После завершения лечения, которое в среднем продолжалось в 1-й группе 12–20 мес и во 2-й группе 15–24 мес у всех 26 пациентов наблюдалось физиологическое смыкание верхнего и нижнего зубного ряда в боковых отделах, множественные контакты между зубами-антагонистами.
Положительно оценить итоги проведенной реабилитации позволял высокий уровень удовлетворенности результатами проведенного лечения пациентов детского возраста с сочетанной патологией окклюзии зубных рядов и их родителей.
Удержание достигнутого результата после устранения сочетанной патологии окклюзии зубных рядов в детском возрасте являлось важным этапом реабилитационного процесса. В результате проведенного лечения осуществлен анализ продолжительности ретенционного периода у пациентов детского возраста с сочетанной патологией окклюзии зубных рядов после ортодонтического лечения.
Во время ретенционного периода, который продолжался в 1-й группе 16–24 мес и во 2-й группе 19–32 мес, у всех пациентов применялись специально изготовленные для этой цели инактивированные съемные и несъемные ретенционные аппараты.
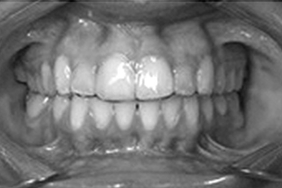
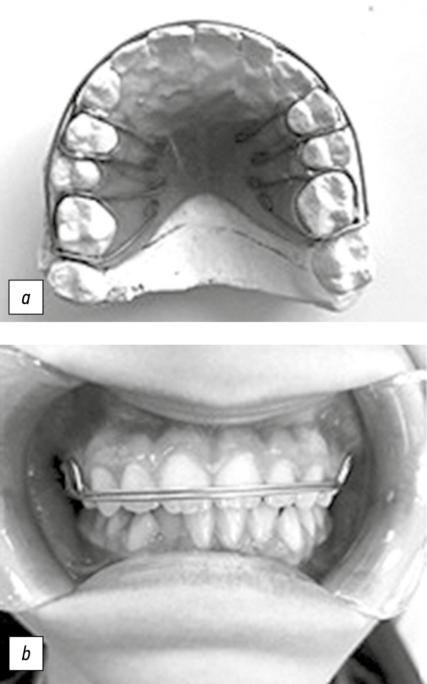
Функцию ретенционного аппарата у пациентов с сочетанной патологией окклюзии зубных рядов выполняли съемный ретенционный аппарат Hawley (рис. 1) и съемный ретейнер собственной конструкции [№ государственной регистрации 2018107373/14(011304) от 27.02.2018 г., авторы Водолацкий В.М., Макатов Р.С.] (рис. 2).
Рис. 1. Ретенционный аппарат Hawley.
Fig. 1. Hawley retention device.
Рис. 2. Съемный ретейнер собственной конструкции (a) в полости рта (b).
Fig. 2. Removable retainer of own design (a) in the oral cavity (b).
Сроки лечебного и ретенционного периода у пациентов 1-й и 2-й группы с сочетанной патологией окклюзии зубных рядов в двух и трех плоскостях представлены в табл. 1.
Таблица 1. Сроки лечебного и ретенционного периода у пациентов детского возраста с сочетанной патологией окклюзии зубных рядов
Table 1. Terms of the treatment stage and retention period in pediatric patients with cross-occlusion of the dentition
Группа | Возраст, лет | Длительность лечения, мес | Продолжительность ретенционного периода, мес |
1-я | 6–16 | 12–20 | 16–24 |
2-я | 7–18 | 15–25 | 19–32 |
У пациентов с сочетанной патологией окклюзии зубных рядов с применением брекет-системы перед ее удалением из полости рта фиксировались несъемные проволочные ретейнеры на внутреннюю поверхность фронтальных зубов (рис. 3) и каппы (рис. 4).
Рис. 3. Несъемный проволочный ретейнер.
Fig. 3. Fixed wire retainer.
Рис. 4. Ретенционная каппа.
Fig. 4. Retention mouthguard.
У пациентов с сочетанными формами мезиальной окклюзии в ретенционном периоде применялись шипы для языка с целью предупреждения его давления на фронтальные зубы (рис. 5).
Рис. 5. Шипы для языка.
Fig. 5. Tongue spikes.
Конструкции ретенционных аппаратов у пациентов с сочетанной патологией окклюзии зубных рядов в двух и трех плоскостях представлены в табл. 2.
Таблица 2. Ретенционные аппараты, используемые у пациентов детского возраста с сочетанными аномалиями окклюзии зубных рядов
Table 2. Retention devices used in children’s patients with combined anomalies of occlusion of dentition
Сочетанная патология прикуса | Ретенционные аппараты | Сроки использования, мес | |||||||
Ретейнер Hawley / съемный ретенционный аппарат собственной конструкции | Несъемный проволочный ретейнер | Ретенционная каппа | Заслонка/шипы для языка | 6–12 | 12–18 | 18–24 | 24–30 | 30–36 | |
В двух плоскостях | |||||||||
Дистальный и глубокий прикус | + | + | + | – | + | + | – | – | – |
Дистальный и перекрестный прикус | + | + | – | – | – | + | + | – | – |
Мезиальная окклюзия и вертикальная дизокклюзия | – | + | + | + | – | – | + | – | – |
Мезиальная и перекрестная окклюзия | – | + | + | – | – | + | – | – | – |
В трех плоскостях | |||||||||
Дистальная, перекрестная и глубокая резцовая окклюзия | + | + | + | – | – | – | – | + | – |
Мезиальная, перекрестная окклюзия и вертикальная дизокклюзия | – | + | + | + | – | – | – | + | + |
Примечание. + — аппарат использовался при определенной сочетанной патологии, – — аппарат не использовался.
Note. +, the device was used for a specific combined pathology; –, the device was not used.
РЕЗУЛЬТАТЫ
Во время ретенционного периода у всех пациентов применялись специально изготовленные для этой цели съемные и несъемные аппараты, лишенные активного воздействия на зубоальвеолярный комплекс. Функцию ретенционного аппарата у пациентов выполняли съемный ретенционный аппарат Hawley, лечебные аппараты в инактивированном состоянии, съемный ретейнер собственной конструкции, несъемные проволочные ретейнеры, расположенные на внутренней поверхности шести фронтальных зубов, ретенционные каппы, а также дополнительные ретенционные решения в виде шипов или заслонок для языка.
Обследование пациентов через 6, 12 и 24 мес после начала ретенционного периода показало стабильность достигнутого лечебного результата у всех 26 пациентов.
ОБСУЖДЕНИЕ
Удержание достигнутого результата после устранения окклюзии зубных рядов с сочетанной патологией в детском возрасте являлось важным этапом реабилитационного процесса. Во время ретенционного периода, который продолжался в 1-й группе 16–24 мес и во 2-й группе 24–36 мес, у всех пациентов применялись специально изготовленные для этой цели инактивированные съемные и несъемные ретенционные аппараты, позволяющие эффективно сохранять положение зубов, достигнутое в процессе лечения.
ЗАКЛЮЧЕНИЕ
Исходя из полученных результатов исследования, можно сделать вывод, что сроки ретенционного периода у ортодонтических пациентов детского и подросткового возраста напрямую зависят от возраста пациента, стадии роста челюстных костей, видов ортодонтических аппаратов и их сочетаний, а также способов ортодонтической коррекции. Наряду с этим можно утверждать, что время ортодонтического лечения имеет не менее важное значение и обратно пропорционально срокам ретенционного периода. Также на сроки ретенционного периода влияет подготовка пациента, включающая устранение этиологических факторов, вызывающих повторное возникновение патологии, нормализацию миодинамического равновесия, устранение вредных ортодонтических привычек и правильный уход за ортодонтическими ретенционными аппаратами с сохранением всех условий для их использования.
ДОПОЛНИТЕЛЬНАЯ ИНФОРМАЦИЯ / ADDITIONAL INFO
Источник финансирования. Авторы заявляют об отсутствии внешнего финансирования при проведении исследования.
Funding source. This study was not supported by any external sources of funding.
Конфликт интересов. Авторы декларируют отсутствие явных и потенциальных конфликтов интересов, связанных с публикацией настоящей статьи.
Competing interests. The authors declare that they have no competing interests.
Вклад авторов. Все авторы внесли существенный вклад в разработку концепции, проведение исследования и подготовку статьи, прочли и одобрили финальную версию перед публикацией.
Author contribution. All authors made a substantial contribution to the conception of the work, acquisition, analysis, interpretation of data for the work, drafting and revising the work, final approval of the version to be published and agree to be accountable for all aspects of the work.
About the authors
Victor M. Vodolatsky
Stavropol State Medical University
Author for correspondence.
Email: vmv.st@yandex.ru
ORCID iD: 0000-0001-5124-2112
MD, Dr. Sci. (Med.), Professor
Russian Federation, StavropolRuslan S. Makatov
Stavropol State Medical University
Email: Makatov2008@yandex.ru
ORCID iD: 0000-0002-6573-9282
SPIN-code: 6238-7009
ResearcherId: GWV-1997-2022
Russian Federation, Stavropol
References
- Johnston CD, Littlewood SJ. Retention in orthodontics. Br Dent J. 2015;218(3):119–22. doi: 10.1038/sj.bdj.2015.47
- Zachrisson BU. Multistranded wire bonded retainers: from start to success. Am J Orthod Dentofacial Orthop. 2015;148(5):724–727. doi: 10.1016/j.ajodo.2015.07.015
- Littlewood SJ, Millett DT, Doubleday B, et al. Retention procedures for stabilising tooth position after treatment with orthodontic braces. Cochrane Database Syst Rev. 2016;2016(1):CD002283. doi: 10.1002/14651858.CD002283.pub4
- Statovskaya EE, Petrova NP, Efremenko EI. Types of retention devices. Saint Petersburg: SZGMU; 2016. 36 p. (In Russ).
- Kuznetsova MYu, Sevbitov AV, Dorofeev AE, et al. Analysis of results of retention in patients, who passes orthodontic treatment on the non-removable equipment. Challenges in Modern Medicine. 2020;43(3):412–423. (In Russ). doi: 10.18413/2687-0940-2020-43-3-412-423
Supplementary files









