Analysis of the use of classical compression–distraction devices and the latest device for continuous distraction
- Authors: Kalugina L.S.1, Topolnitsky O.Z.1, Fedotov R.N.1, Beglaryan ..1, Afaunova O.A.1, Minnakhmetova D.R.1
-
Affiliations:
- Russian University of Medicine
- Issue: Vol 27, No 6 (2023)
- Pages: 541-549
- Section: Clinical Investigations
- Submitted: 25.10.2022
- Accepted: 07.02.2024
- Published: 26.03.2024
- URL: https://rjdentistry.com/1728-2802/article/view/112077
- DOI: https://doi.org/10.17816/dent112077
- ID: 112077
Cite item
Abstract
BACKGROUND: The device used in bone tissue fragment mechanical displacement by expanding the piston between rigidly fixed device legs on the bone fragments is known in classical compression–distraction osteogenesis. In such cases, the control of the displacement is partly left to the patient, since the screw turning must be performed in four sessions per day, and the doctor does not constantly have the opportunity to do it personally, which can lead to uncontrollable results of bone regeneration. To fully control the patient's treatment during distraction, a device that operates continuously and autonomously is required.
AIM: Creation and experimental testing of an automatic distraction device for continuous distraction followed by a study of the obtained bone regenerates and its implementation in practical maxillofacial surgery.
MATERIALS AND METHODS: To fully control the patient’s treatment during the distraction, we developed an unparalleled distraction device based on the principle of continuous bone fragment separation, with a motor in which the piston is activated by an electrochemical reaction. The device performs distraction continuously, around the clock, and autonomously under the control and monitoring of the software and the possibility of remote access. This study included analysis of statistical data on patient treatment in the Russian University of Medicine Department of Pediatric Maxillofacial Surgery Clinic between 2010 and 2021, development and bench testing of devices and electronics, clinical trials of models of devices for continuous distraction at various rates (1, 2, and 3 mm/day) on experimental animals (dogs), X-ray control at the stages of testing, research and analysis of the morphological structure of the resulting bone regenerates, creation of clinical guidelines for the use of a continuous distraction day device, and identification of its advantages compared with the classic fractional compression–distraction device.
RESULTS: Statistical data analysis revealed that 362 patients were treated with distraction devices. This is a relatively high percentage in relation to all patients in the clinic. Studies of the morphological structure of regenerates obtained by continuous distraction with our latest device revealed a higher rate and control of regenerates, good quality characteristics, and histomorphological maturity, most pronounced in regenerates obtained by continuous distraction at a rate of 2 mm/day.
CONCLUSION: The need for treatment with distraction osteogenesis in the department’s clinic is rather high; hence, this process should be controlled to improve treatment quality and speed. Our automatic distraction device designed for continuous distraction may be implemented and applied in practical medicine at an appropriate rate of 2 mm/day.
Full Text
ВВЕДЕНИЕ
Метод компрессионно-дистракционного остеогенеза получил наибольшую популярность после публикации работ Г.А. Илизарова, активно вошёл в практику хирургов всего мира и используется по настоящее время, не теряя актуальности [1]. По сути, чтобы получить качественный костный регенерат, нужен только аппарат, спицы или винты для его фиксации и время без дополнительных расходов на костно-пластические материалы, мембраны и т.д. Дистракционный остеогенез подходит для устранения различных деформаций лицевого скелета у детей и взрослых; для создания условий ортодонтического лечения пациентов; для лиц с врождённой патологией, вторично-деформирующим остеоартрозом, анкилозом височно-нижнечелюстного сустава, недоразвитием челюстей и костей лицевого скелета на фоне следующих синдромов: Гольденхара, Пьера–Робена, Хангарта, Тричера–Коллинза–Франческетти, гемифациальной микросомии, алкогольно-фетального [2]. При этом в процессе дистракционного остеогенеза можно получить объём регенерата как по толщине, так и по длине, а при использовании двунаправленного дистракционного аппарата регенерат будет организовываться в большем объёме в двух векторах [3–4].
Дистракция — это дозированное по времени растяжение костных фрагментов в условиях их жёсткой фиксации [5]. При классическом варианте дистракции регенерируют костная ткань, надкостница и другие параоссальные ткани [6–8]. Обычно дистракция фрагментов происходит дробно в режиме 1 мм в сутки за 4 приёма (по 0,25 мм за оборот). Осуществляется этот процесс пациентом или его родителями путём подкручивания специального винта, ручки или ключа, далее действия вносятся в график дистракции также пациентом. Врач же осуществляет контроль над этим процессом путём рентгенологической диагностики и анализа графика, причём контроль этот довольно относителен, так как пациент или родитель могут совершить ошибку: не сделать вовремя активацию аппарата или произвести её чрезмерно, что приведёт к нарушению темпа дистракции и соответственно повлияет на формирование костного регенерата.
Разработанный автоматический дистракционный аппарат даёт возможность осуществлять дистракцию под непосредственным контролем лечащего врача с помощью программного обеспечения на персональном компьютере, без привлечения к процессу активации дистрактора самого пациента. Непрерывный режим работы прибора позволяет получить прирост костной ткани в более быстрые сроки без потери качественных свойств. Врач, пользующийся аппаратом, может задавать любой темп и контролировать скорость дистракции, не привязывая пациента к нахождению в клинике.
Поскольку режим дистракции полностью непрерывный, созданный аппарат абсолютно исключает травматизацию новообразованного регенерата и не вызывает его деформаций в процессе дистракционного остеогенеза. Особенностью наших экспериментальных исследований является отсутствие этапа компрессии фрагментов костной ткани, что также ускоряет период реабилитации.
МАТЕРИАЛЫ И МЕТОДЫ
Проанализированы статистические данные по пациентам, проходившим лечение с применением дистракционных аппаратов в клинике кафедры детской челюстно-лицевой хирургии Российского университета медицины за 2010–2021 гг. Авторами разработан, создан, апробирован в стендовых и лабораторных испытаниях на опытных животных (собаках) новейший автоматический дистракционный аппарат с двигателем, принцип работы которого основан на непрерывном перемещении поршня посредством электролитической реакции, контролируемой через программное обеспечение на персональном компьютере.
Этапы исследования:
- анализ статистических данных за 2010–2021 гг. по лечению пациентов в клинике кафедры по нозологиям с различными видами дистракции и типами аппаратов (n=362);
- экспериментальные исследования клинической модели созданных аппаратов на животных (собаках) при различных темпах дистракции (1, 2, 3 мм в сутки) в непрерывном режиме;
- анализ клинико-рентгенологических особенностей построения регенерата при различных темпах проведения непрерывной дистракции на новом аппарате в периоды дистракции и ретенции;
- гистоморфологическое изучение полученных костных регенератов, забранных после ретенционного периода, при разных темпах непрерывной дистракции с помощью электронной микроскопии;
- на основании полученных данных создание аппарата для клинического применения, его внедрение в практическую медицину с соответствующими рекомендациями по режиму работы.
Проанализированы истории болезни пациентов из архива базы данных Центра стоматологии и Клинического центра челюстно-лицевой, пластической хирургии и стоматологии Российского университета медицины. Пациенты разделены на группы по годам (с 2010 по 2021 год), по возрасту, полу, патологиям, типу дистракции. Выполнена дистракция при помощи аппаратов производства ООО «Конмет»: однонаправленных компрессионно-дистракционных аппаратов (КДА), двунаправленных КДА, нёбных дистракторов, скуловых для верхней челюсти по LeFort III, компрессионно-дистракционного устройства (КДУ) для подбородочного отдела, дистракционного устройства для верхней челюсти, КДА для подъёма альвеолярного гребня. Аппараты устанавливали в зависимости от показаний и цели дистракции, согласно протоколам, с последующим послеоперационным ведением и реабилитацией пациента. Во всех случаях получены костные регенераты, а контроль за проведением дистракции осуществлял лечащий врач. Пациенты непосредственно участвовали в подкручивании дистракционного устройства. Все эти устройства — механического типа и, в зависимости от аппарата, дробность дистракции составляет 0,5; 0,3; 0,4; 0,8; 1,0; 0,9 мм за один оборот. Состояние регенератов оценивали клинически и рентгенологически в процессе дистракции, в период ретенции и на этапе после снятия аппаратов, а также проводили визуальную оценку качества регенерата при снятии дистракционного устройства. Реабилитацию пациентов осуществляли комплексно с участием врачей-ортодонтов и ортодонтического лечения.
После предварительного тестирования прототипов аппаратов на базе кафедры детской челюстно-лицевой хирургии Российского университета медицины нами совместно с ООО «Конмет» созданы и испытаны в экспериментальной лаборатории Национального медицинского исследовательского центра травматологии и ортопедии имени Н.Н. Приорова клинические образцы автоматических дистракционных аппаратов с комплектом обратной связи и датчиками напряжения.
Были подобраны опытные животные (щенки) одного возраста и комплекции, которых разделили на группы. На базе ветеринарного центра в условиях общего внутривенного наркоза устанавливали дистракционные аппараты на тело нижней челюсти собак справа и слева (рис. 1) с одномоментным рентгенологическим контролем фиксации аппаратов и линии проведённой остеотомии. На шею каждой собаки фиксировали защитный пластиковый конус (воротник) для предотвращения повреждения аппаратов и комплекта электроники.
Рис. 1. Дистракционное устройство, зафиксированное на тело нижней челюсти собаки справа.
Fig. 1. The distraction device fixed on the lower jaw body of the dog on the right.
После операции все животные вели себя активно, послеоперационные отёки были минимальными. В течение первых 5 сут щенкам выполняли внутримышечные инъекции антибактериальных, противовоспалительных и антигистаминных препаратов для предотвращения послеоперационных осложнений.
Под внутривенной седацией на 7-е сутки после установки к аппаратам подключали электронные блоки управления с программой непрерывного растяжения (1, 2 и 3 мм в сутки), активировали процесс дистракции.
Во всех группах животных на момент окончания эксперимента расстояние между остеотомированными фрагментами составило 10 мм. Это зависело от количества электролита и максимального выдвижения поршня — на 1,0 см соответственно. Окончание дистракции в группе с темпом 3 мм в сутки пришлось на 4-е сутки, в группе с темпом 1 мм в сутки процесс перемещения завершился на 9-й день, в группе с темпом 2 мм — на 5-е сутки. Рентгенологический контроль осуществляли сразу после установки дистракционных аппаратов, по окончании перемещения фрагментов — на 4, 5 и 10-е сутки соответственно группам, а также на 30-е сутки в период ретенции.
При анализе рентгенограмм, сделанных в период ретенции во всех группах, определялись характерные признаки оссификации новообразованных регенератов независимо от темпа дистракции между фрагментами; при этом наиболее зрелым и рентгенологически качественным представлялся регенерат с темпом непрерывной дистракции 2 мм в сутки (рис. 2).
Рис. 2. Рентгенограмма регенерата, полученного с темпом непрерывной дистракции 2 мм в сутки.
Fig. 2. X-ray of the regenerate obtained with a continuous distraction rate of 2 mm per day.
На 30-е сутки в условиях внутривенного наркоза производили снятие аппаратов и забор участков челюстей, подвергшихся дистракции.
С целью гистологического исследования из каждой челюсти, фиксированной в 10% нейтральном забуренном формалине, выпиливали фрагменты с зоной дистракции размерами 1,0×1,0×0,3 см. После декальцинации, обезвоживания и заливки в парафин получали срезы толщиной 4–5 мкм, которые нарезали и расправляли на предметных стеклах. Окрашивали гематоксилином и эозином в автомате Varistain GEMINI AS (Германия). Гистологические препараты исследовали на микроскопе с видеокамерой AxioLab A1 (Carl Zeiss, Германия), используя микрофотосъёмку.
РЕЗУЛЬТАТЫ
При анализе статистических данных установлено, что по трансверзальному расширению верхней челюсти всего пролечено за период с 2010 по 2021 год 174 пациента, из них 73 мальчика (42,5%) и 101 девочка (57,5%). Максимальное количество пациентов пришлось на 2017 год: девочек — 18 человек, мальчиков — 32 человека.
Возраст пациентов составил от 10 до 17 лет: 10–12 лет: 8 пациентов (4,6%), из них 5 мальчиков и 3 девочки; 13–14 лет: 33 пациента (19%), из них 15 мальчиков и 18 девочек; 15–17 лет: 133 пациента (76,4%), из них 51 мальчик и 82 девочки.
При распределении пациентов по патологиям с трансверзальным расширением верхней челюсти получены следующие результаты (табл. 1).
Таблица 1. Распределение пациентов по патологиям с трансверзальным расширением верхней челюсти
Table 1. Patients with maxillary transverse expansion distribution by various abnormalities
Патология | Мальчики | Девочки | Всего, n/% |
Врождённое недоразвитие и сужение верхней челюсти, мезиальная окклюзия | 41 | 74 | 115/66,10 |
Врождённое сужение верхней челюсти, недоразвитие нижней челюсти, дистальная окклюзия | 5 | 10 | 15/8,60 |
Врождённое сужение верхней челюсти с вертикальной резцовой дизокклюзией | 5 | 3 | 8/4,59 |
Врождённое сужение и недоразвитие верхней челюсти, обусловленное врождёнными расщелинами губы, нёба, альвеолярного отростка | 13 | 4 | 17/9,77 |
Врождённое сужение верхней челюсти в сочетании с деформацией нижней челюсти, обусловленной анкилозом или вторичным деформирующим остеоартрозом височно-нижнечелюстного сустава | 5 | 4 | 9/5,20 |
Врождённое недоразвитие челюстей, обусловленное синдромами Пьера–Робена, Гольденхара | 4 | 6 | 10/5,74 |
Анализ статистических данных пациентов, которым проводилось удлинение нижней челюсти, показал, что всего пролечено 165 человек за период с 2010 по 2021 год, из них 84 мальчика (48,8%) и 81 девочка (51,2%). Максимальное количество пациентов пришлось на 2019 год — 21 человек.
Одностороннее удлинение выполнено 120 пациентам (71,7%), из них 57 мальчиков и 63 девочки; двустороннее удлинение — 47 пациентам (28,3%), из них 28 мальчиков и 19 девочек. При этом левостороннее удлинение проведено 62 пациентам (52,1%), из которых 30 мальчиков и 32 девочки; правостороннее — 57 (47,9%), из которых 29 мальчиков и 28 девочек.
Возраст детей, которым проводили удлинение нижней челюсти, составил от 2 до 17 лет: 2–4 года: 8 человек (4,8%), из них 2 мальчика и 6 девочек; 5–7 лет: 24 человека (14,5%), из них 15 мальчиков и 9 девочек; 8–10 лет: 42 человека (25,3%), из них 21 мальчик и 21 девочка; 11–13 лет: 59 человек (35,5%), из них 29 мальчиков и 30 девочек; 14–17 лет: 33 человека (19,9%), из них 18 мальчиков и 15 девочек.
Результаты распределения пациентов с удлинением нижней челюсти по патологиям представлены в табл. 2.
Таблица 2. Распределение пациентов с удлинением нижней челюсти по патологиям
Table 2. Patients with mandibular extension distribution by various abnormalities
Патология | Мальчики | Девочки | Всего, n/% |
Дефект, деформация нижней челюсти, обусловленная анкилозом, вторичным деформирующим остеоартрозом височно-нижнечелюстного сустава | 63 | 54 | 117/70,9 |
Послеоперационный, посттравматический дефект, деформация нижней челюсти | 4 | 3 | 7/4,2 |
Дефект, деформация нижней челюсти, обусловленная синдромами Пьера–Робена, Гольденхара | 16 | 20 | 36/21,8 |
Дефект, деформация нижней челюсти, обусловленная гипоплазией мыщелкового отростка | 1 | 4 | 5/3,1 |
При анализе статистических данных случаев с выдвижением верхней челюсти выявлено, что всего за период с 2010 по 2021 год пролечено 15 пациентов. Из них 9 мальчиков (60%) и 6 девочек (40%).
Возраст пациентов составил от 10 до 17 лет: 10–12 лет: 5 пациентов (33,3%), из них 3 мальчика и 2 девочки; 13–15 лет: 2 пациента (13,3%), из них 1 мальчик и 1 девочка; 16–17 лет: 8 пациентов (53,4%), из них 5 мальчиков и 3 девочки.
Согласно статистическим данным, за период с 2010 по 2021 год пролечено 7 пациентов с расширением нижней челюсти, из них 3 мальчика (42,9%) и 4 девочки (57,1%).
Возраст пациентов составил от 11 до 17 лет: 11–14 лет: 2 пациента (28,6%), обе девочки; 15–17 лет: 5 пациентов (71,4%), из них 3 мальчика и 2 девочки.
В качестве примера предоставим клинический случай применения классического механического КДА у пациента В., 7 лет, диагноз: «вторично-деформирующий остеоартроз левого височно-нижнечелюстного сустава. Недоразвитие тела, угла и ветви нижней челюсти слева, ограничение открывания рта до 1,5 см. Данное состояние возникло в результате родовой травмы, пациент наблюдался по месту жительства, деформация с возрастом усугублялась, ограничение открывания рта нарастало (рис. 3).
Рис. 3. МСКТ пациента В., 7 лет, до начала лечения.
Fig. 3. MSCT of the patient V., 7 years old, before the treatment.
Пациент поступил на лечение в клинику кафедры, где ему выполнили остеотомию ветви нижней челюсти слева с удалением патологических разрастаний; остеотомию в области угла и частично ветви нижней челюсти слева с одномоментным наложением однонаправленного механического КДА (рис. 4).
Рис. 4. Пациент В., 7 лет: a — удалённые во время операции патологические разрастания костной ткани; b — рентгенограмма с компрессионно-дистракционным устройством сразу после операции.
Fig. 4. Patient V., 7 years old: a — pathological bone tissue growths removed during the surgery; b — X-ray of the patient with compression-distraction device immediately after the surgery.
Режим дистракции был дробным — 1 мм в сутки по 0,25 мм за 4 приёма в течение 20 дней, общая величина дистракции составила 2,0 см (рис. 5).
Рис. 5. Рентгенограмма пациента В., 7 лет, на 20-е сутки дистракции, величина дистракции 2,0 см.
Fig. 5. X-ray of the patient V., 7 years old, on the 20th day of distraction, the amount of distraction is 2.0 cm.
Пациенту параллельно с хирургической реабилитацией изготовлен ортодонтический аппарат, проводилось ортодонтическое лечение на пластинке. Все этапы дистракции (подкручивание аппарата), кроме первого оборота, выполняли родители пациента под контролем лечащего врача. На период ретенции штангу для фиксации торцевого ключа редуцировали и потом отправили пациента домой. Дальнейший контроль за состоянием КДУ осуществляли также родители. Ортодонтическое долечивание и контрольные осмотры врачом хирургом-стоматологом пациент эпизодически получал по месту жительства. Дистракционный аппарат сняли через 9 мес ретенции. В итоге достигнут хороший эстетический и функциональный результат лечения: открывание рта — в полном объёме, нормализована функция откусывания и пережёвывания пищи (рис. 6).
Рис. 6. Пациент В., 7 лет: a — до лечения; b — после лечения.
Fig. 6. Patient V., 7 years old: a — before the treatment; b — after the treatment.
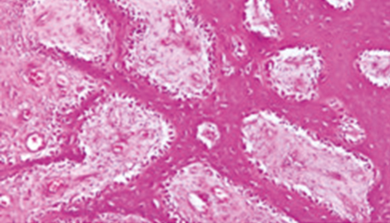
Применение в эксперименте новейшего дистракционного устройства объективно показало возможность построения регенератов костной ткани при непрерывной дистракции в различных темпах. При этом морфологическое исследование новообразованных регенератов выявило наиболее гистоморфологически зрелую костную ткань в темпе 2 мм в сутки (рис. 7).
Рис. 7. Губчатая кость, полученная с темпом непрерывной дистракции 2 мм в сутки: участок выраженного роста и ремоделирования костной ткани; новообразованные костные трабекулы — узкие и извитые; остеоны — с новообразованной костной тканью, большим числом лакун с остеобластами и остеоцитами; каналы — с разрастанием отёчной соединительной ткани, с расширенными полнокровными сосудами, большим количеством остеобластов, формирующих палисады на границах с костной тканью; остеокласты единичные. Окраска гематоксилином и эозином, ×120.
Fig. 7. Spongy bone obtained with a continuous distraction rate of 2 mm per day: area of pronounced growth and remodeling of bone tissue; newly formed bone trabeculae are narrow and tortuous; osteons with newly formed bone tissue, a large number of gaps with osteoblasts and osteocytes; channels with proliferation of edematous connective tissue, with dilated full-blooded vessels, a large number of osteoblasts forming palisades at the borders with bone tissue; single osteoclasts. Staining with hematoxylin and eosin, ×120.
Таким образом, возможность удалённо контролировать процесс дистракции, чётко отслеживать перемещение фрагментов, состояние фрагментов костной ткани на этапе ретенции является критерием выбора в сторону электронной версии КДУ. Дистанционное управление созданным устройством снимает ответственность за движения поршня аппарата с пациента и позволяет врачу полностью контролировать все процессы, причём как из соседнего кабинета, так и на расстоянии в другом регионе.
ЗАКЛЮЧЕНИЕ
Проведённый статистический анализ выявил, что пациенты нуждаются в применении компрессионно-дистракционных аппаратов для лечения в различных клинических ситуациях. Установлена также необходимость компьютеризировать этот процесс, чтобы иметь возможность проводить и контролировать дистракцию удалённо.
Успешные результаты экспериментального применения новейшего непрерывного электронного дистракционного аппарата позволяют рекомендовать его к внедрению в практическую медицину. Аппарат можно использовать в детской челюстно-лицевой хирургии для реабилитации пациентов, нуждающихся в проведении дистракционного остеогенеза; для устранения дефектов, деформаций челюстей, в том числе после лечения вторично-деформирующего остеоартроза, анкилоза, недоразвития челюстей при врождённой расщелине губы и нёба.
ДОПОЛНИТЕЛЬНАЯ ИНФОРМАЦИЯ
Источник финансирования. Авторы заявляют об отсутствии внешнего финансирования при проведении исследования и подготовке публикации.
Конфликт интересов. Авторы декларируют отсутствие явных и потенциальных конфликтов интересов, связанных с проведённым исследованием и публикацией настоящей статьи.
Вклад авторов. О.З. Топольницкий — концепция и дизайн исследования; Л.С. Калугина, Р.Н. Федотов — сбор и обработка материала; О.А. Афаунова, Д.Р. Миннахметова — статистическая обработка результатов; Л.С. Калугина, О.З. Топольницкий — написание текста; А.А. Бегларян — редактирование статьи.
ADDITIONAL INFORMATION
Funding source. This study was not supported by any external sources of funding.
Competing interests. The authors declare that they have no competing interests.
Authors’ contribution. O.Z. Topolnitsky — conception and study design; L.S. Kalugina, R.N. Fedotov — materials collection and processing; O.A. Afaunova, D.R. Minnakhmetova — statistic data processing: L.S. Kalugina, O.Z. Topolnitsky — text writing; A.A. Beglaryan — editing.
About the authors
Lubov’ S. Kalugina
Russian University of Medicine
Email: lubbs@mail.ru
ORCID iD: 0000-0001-8804-3184
SPIN-code: 2522-4370
Russian Federation, Moscow
Orest Z. Topolnitsky
Russian University of Medicine
Email: proftopol@mail.ru
ORCID iD: 0000-0002-3896-3756
SPIN-code: 1981-5376
MD, Dr. Sci. (Medicine), Professor
Russian Federation, MoscowRoman N. Fedotov
Russian University of Medicine
Email: Abilat@yandex.ru
ORCID iD: 0000-0003-1802-1080
SPIN-code: 1777-9398
MD, Cand. Sci. (Medicine), Associate Professor
Russian Federation, MoscowAlina A. Beglaryan
Russian University of Medicine
Email: dr.beglaryanalina@mail.ru
ORCID iD: 0000-0003-1133-5829
SPIN-code: 3670-5875
Russian Federation, Moscow
Olga A. Afaunova
Russian University of Medicine
Author for correspondence.
Email: Afa-afa15@mail.ru
ORCID iD: 0000-0002-9192-8044
SPIN-code: 7735-1559
Russian Federation, Moscow
Diana R. Minnakhmetova
Russian University of Medicine
Email: dianaminn@mail.ru
ORCID iD: 0000-0002-1393-342X
SPIN-code: 2062-7968
Russian Federation, Moscow
References
- Shevtsov VI, Yerofeyev SA, Gorbach EN, Yemanov AA. Osteogenesis features for leg lengthening using automatic distractors with the rate by 3 mm for 180 times (an experimental study). Genij Ortopedii. 2006;(1):10–16. EDN: IYDANV
- Amarnath BC, Dharma RM, Prashanth CS, Rajkumar GC. Distraction osteogenesis, a new hope for tmj ankylosis (case report). Journal of Dental Sciences and Research. 2011;2(1):108–115.
- McCarthy JG, Williams JK, Grayson BH, Crombie JS. Controlled multiplanar distraction of the mandible: device development and clinical application. J Craniofac Surg. 1998;9(4):322–329. doi: 10.1097/00001665-199807000-00006
- Choi IH, Chung CY, Cho TJ, Yoo WJ. Angiogenesis and mineralization during distraction osteogenesis. J Korean Med Sci. 2002;17(4):435–447. doi: 10.3346/jkms.2002.17.4.435
- Mandell DL, Yellon RF, Bradley JP, et al. Mandibular distraction for micrognathia and severe upper airway obstruction. Arch Otolaryngol Head Neck Surg. 2004;130(3):344–348. doi: 10.1001/archotol.130.3.344
- Korkmaz M, Oztürk H, Bulut O, et al. The effect of definitive continuous distraction employed with the Ilizarov type external fixation system on fracture healing: an experimental rabbit model. Acta Orthop Traumatol Turc. 2005;39(3):247–257. (In Turkish).
- Menon S, Manerikar R, Roy Chowdhury SK, Murali Mohan S. Distraction osteogenesis in management of mandibular deformities. Med J Armed Forces India. 2005;61(4):345–347. doi: 10.1016/S0377-1237(05)80061-9
- Monasterio FO, Molina F, Berlanga F, et al. Swallowing disorders in Pierre Robin sequence: its correction by distraction. J Craniofac Surg. 2004;15(6):934–941. doi: 10.1097/00001665-200411000-00009
Supplementary files










