Influence of anatomical changes in implant-supported crowns of maxillary central incisors on the functional state
- Authors: Merzhoeva K.M.1, Murashov M.A.2, Voronov I.A.1
-
Affiliations:
- RUDN University
- A.I. Yevdokimov Moscow State University of Medicine and Dentistry
- Issue: Vol 27, No 1 (2023)
- Pages: 23-32
- Section: Clinical Investigation
- Submitted: 16.01.2023
- Accepted: 09.03.2023
- Published: 19.06.2023
- URL: https://rjdentistry.com/1728-2802/article/view/121782
- DOI: https://doi.org/10.17816/dent121782
- ID: 121782
Cite item
Abstract
BACKGROUND: Immediate implant placement and immediate loading after maxillary central incisor extraction are of great importance. Implant placement with immediate loading is the most preferred method of treatment in the long term. The anatomical constrictions of the maxilla make implant placement difficult. To achieve primary stability and make a screw-retained crown, dental surgeons are forced to fix the implant placing it toward the palatal wall. When the implant is placed this way, the crown will be bulkier than the one of the extracted tooth. This change in anatomy can lead to patient discomfort and some parafunctions (in speech, chewing, etc.).
AIM: To assess the potential discomfort in patients with changes in the crown anatomy of maxillary central incisors after implant-supported prosthetics.
METHODS: Fifty students (25 men and 25 women) underwent intraoral scanning with the 3Shape scanner. A possible increase in the crown volume was simulated in ExoCAD at a rate of an implant + titanium base + layer of structural material with zirconium dioxide as an example, on average equal to 3–4 mm. Onlays imitating the increased crown volume were milled and fixed in the oral cavity of the participants on tooth 1.1, and further examinations were conducted.
RESULTS: The examination revealed that the crown anatomy change brought some discomforts in most of the respondents whose speech and eating were affected.
CONCLUSION: The results reveal that a change in the anatomical shape of the crown during implant-supported prosthetics can affect vital functions and cause discomfort. More attention is needed to implant placement planning, taking into account further prosthetics in the esthetic area. Therefore, the use of angulated implants is encouraged.
Full Text
ОБОСНОВАНИЕ
На сегодняшний день после удаления причинного зуба в эстетически значимой зоне широко используется метод одномоментной установки имплантата в сочетании с немедленным протезированием. Обзор литературы показал, что немедленная имплантация, а также немедленное изготовление и фиксация ортопедической конструкции признаны надежной методикой, которая позволяет сократить общее время лечения, положительно влияет на приживаемость имплантата и позволяет сохранить твердые и мягкие ткани вокруг имплантата и коронки, тем самым обеспечивая качественный, долгосрочный функциональный и эстетический результат [1–4, 16, 17].
При установке имплантата в лунку удаленного резца верхней челюсти не всегда бывает возможно добиться его первичной стабильности, так как при немедленной имплантации чаще всего имплантат контактирует с костью только на 25% своей поверхности [21, 22]. Кроме того, в переднем отделе верхней челюсти имеются анатомические ограничения из-за сложной формы альвеолярного гребня и анатомии зубов (угол наклона коронки зуба), препятствующие установке имплантата, которые вынуждают хирурга-стоматолога установить имплантат таким образом, чтобы предотвратить возможные осложнения в виде убыли костной ткани и рецессии десны, но при этом добиться первичной стабильности и установить имплантат в подходящей позиции для изготовления коронки с винтовой фиксацией. Поэтому хирурги-стоматологи стараются во время операции фиксировать, «прижимать» имплантат к нёбной стенке лунки удаленного зуба. Такое расположение имплантата, с одной стороны, позволяет добиться первичной стабильности, а с другой стороны — коронку с винтовой фиксацией (рис. 1).
Рис. 1. Прямой имплантат, фиксированный к небной стенке в лунке удаленного зуба
Fig. 1. Direct implant installed closely to the palatal wall in the socket of the extracted tooth.
Другим методом, позволяющим добиться первичной стабильности, является методика отклонения апекса имплантата в нёбную сторону, однако при этом расположении чаще всего не будет возможности изготовить коронку с винтовой фиксацией, и шахта винта выйдет на режущий край коронки или на вестибулярную стенку, что неприемлемо в эстетически значимой зоне [4–10, 16, 17] (рис. 2).
Рис. 2. Отклонение апекса прямого имплантата в небную сторону
Fig. 2. Deviation of the direct implant apex to the palatal side.
Долгое время основным методом преодоления вышеописанных сложностей и анатомических ограничений являлся метод использования прямых имплантатов в сочетании с угловыми абатментами, что нивелировало угол расположения имплантата. Как известно, этот метод предполагал использование цементного вида фиксации протезов к имплантатам, а преимущества использования метода винтовой фиксации и недостатки цементной были подробно описаны в литературе [18, 19]. Кроме того, применение угловых абатментов влечет за собой объемность конструкции «имплантат–абатмент–коронка», что, по данным литературы, несет в себе риск различных осложнений при протезировании передней группы зубов верхней челюсти с опорой на имплантаты в долгосрочной перспективе [23–27]. Существует и другое решение данной проблемы в виде применения угловых имплантатов, когда имеется возможность отклонить апекс имплантата в нёбную сторону и добиться первичной стабильности, но при этом угол наклона имплантата позволит изготовить коронку с винтовой фиксацией, а также позволит иметь больше пространства с вестибулярной стороны для моделирования анатомически правильной коронки без компрессии на вестибулярную стенку. Однако данная методика пока не получила широкого распространения на территории РФ [20, 24, 25] (рис. 3).
Рис. 3. Угловой имплантат в благоприятной позиции для первичной стабильности и изготовления коронки с винтовой фиксацией
Fig. 3. Angulated implant in a perfect position to achieve primary stability and produce a screw-retained crown.
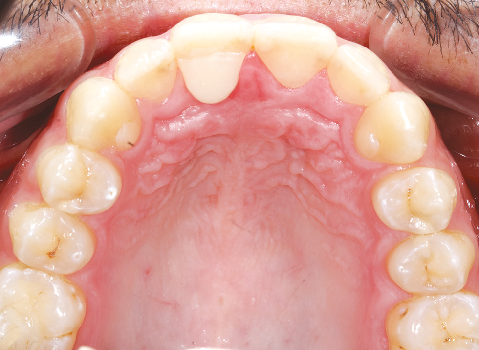
Еще одной сложностью с точки зрения протезирования является то, что на прямой имплантат, смещенный при установке к нёбной стенке, не всегда возможно изготовить эстетически приемлемый и анатомически правильный протез с винтовой фиксацией. Это связано с тем, что искусственная коронка будет более объемной, чем ранее удаленный зуб, за счет толщины конструкционного материала коронки (рис. 4, 5). Данное изменение анатомии гипотетически может приводить к дискомфорту пациента и нарушению некоторых функций (речи, жевания и др.).
Рис. 4. Прямой имплантат, фиксированный к небной стенке и объёмность коронки
Fig. 4. Direct implant installed more palatially, which results in a bulkier crown.
Рис. 5. Объемная коронка с нёбной стороны, не соответствую- щая индивидуальной анатомии.
Fig. 5. The bulkier crown on the palatal side is different from the individual anatomical form.
В доступной литературе имеются данные о необходимости сохранения вестибулярной стенки и мягких тканей при проведении имплантации и протезировании в переднем отделе. Также имеются данные об осложнениях при близком расположении имплантата к нёбной стенке [11–15]. Однако данных о возможном возникновении дискомфорта у пациентов после проведенного лечения с помощью коронок с измененной индивидуальной анатомией, фиксированных на имплантат, смещенный в небную сторону, нами найдено не было. Тем не менее в нашей практике мы столкнулись с проблемой, которая вызывает определенные жалобы и дискомфорт у некоторых пациентов, которым мы были вынуждены изготовить коронку с измененной анатомией, фиксированной к прямому имплантату. Поэтому оценка функциональности коронки центрального резца верхней челюсти с опорой на имплантат, установленный в лунку удаленного центрального резца верхней челюсти и смещенный в небную сторону, является актуальной.
Цель исследования — оценить возможный дискомфорт у пациентов при изменении индивидуальной анатомии коронки центрального резца верхней челюсти после протезирования с опорой на имплантат, установленный в лунку удаленного резца верхней челюсти.
МЕТОДЫ
На базе частной клиники «Аймед Сити Клиник», г. Москва, было проведено исследование, в котором приняли участие студенты-добровольцы 2 курса стоматологического факультета МГМСУ им. А.И. Евдокимова (20–22 года, юноши и девушки), всего 50 человек (25 юношей и 25 девушек), которые были выбраны по следующим критериям:
- группа включения: юноши и девушки в возрасте не менее 18 лет на момент проведения исследования, пациенты с интактным зубным рядом от клыка до клыка верхней челюсти;
- группа исключения: пациенты с ортопедическими конструкциями и ортодонтическими аппаратами, пациенты с генерализованным пародонтитом, резорбцией костной ткани более ½ корня, пациенты с дефектами зубных рядов в переднем отделе.
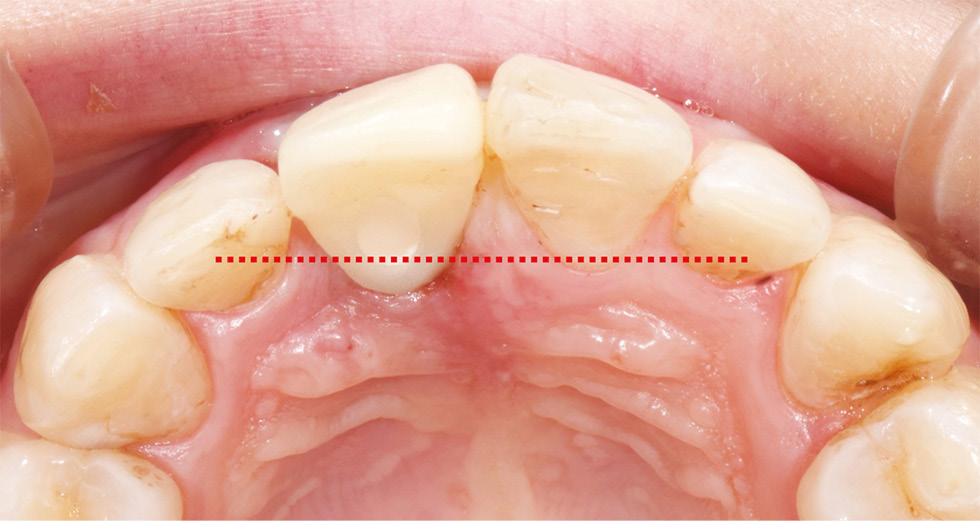
Каждому студенту было проведено компьютерное сканирование аппаратом 3 Shape (Дания). Далее в компьютерной программе ExoСAD (Италия) было проведено моделирование возможного увеличения объема коронки, фиксированной к имплантату, установленному в лунку удаленного зуба и смещенному к небной стенке, в среднем минимально равного 3 мм, из следующего расчета. Приблизительное смещение в небную сторону произошло на 1,5–2 мм, что составляет приблизительно половину диаметра имплантата со средним диаметром 4 мм, плюс титановое основание с толщиной стенки, в среднем равное 0,5–1 мм, плюс слой конструкционного материала на примере диоксида циркония, минимально равное 0,6–1 мм (рис. 6, 7).
Рис. 6. Увеличение размера коронки в небную сторону приблизительно на 3 мм
Fig. 6. Increased size of the crown palatially approximately 3 mm.
Рис. 7. Накладки смоделированы в компьютерной программе
Fig. 7. Overlays created in a computer program.
Затем накладки, имитирующие увеличенный объем коронки, были фрезерованы на аппарате CoriTech 350 (Германия) и фиксированы в полости рта испытуемых на зуб 1.1 с помощью жидкотекучего композитного материала Filtek Ultimate Flowable Restorative (3M ESPE) по стандартному протоколу (рис. 8–10).
Рис. 8. Фрезерованные накладки для испытуемых
Fig. 8. Milled overlays.
Рис. 9. Накладки после фрезерования
Fig. 9. Overlays after milling.
Рис. 10. Накладка на зубе 1.1
Fig. 10. Overlay fixed on tooth 1.1.
Далее проводилось анкетирование в день фиксации накладок, через неделю и через месяц после фиксации, с целью оценки возможной адаптации спустя 30 дней после фиксации. Анкета состояла из шести вопросов (рис. 11, 12). После анкетирования проводился статистический анализ полученных результатов.
Рис. 11. Анкета
Fig. 11. Questionnaire (application form).
Рис. 12. Заполненная анкета
Fig. 12. Completed application form.
РЕЗУЛЬТАТЫ
В ходе анкетирования были получены результаты, которые отображены в табл. 1.
Таблица 1. Результаты анкетирования
Table 1. Results of the study
Вопросы 1 неделя | Юноши | Девушки | Всего | |||||||||
Да | % | Нет | % | Да | % | Нет | % | Да | % | Нет | % | |
1 | 14 | 56 | 11 | 44 | 17 | 68 | 8 | 32 | 31 | 62 | 19 | 38 |
2 | 15 | 60 | 10 | 40 | 16 | 64 | 9 | 36 | 31 | 62 | 19 | 38 |
3 | 19 | 76 | 6 | 24 | 22 | 88 | 3 | 12 | 41 | 82 | 9 | 18 |
4 | 14 | 56 | 11 | 44 | 14 | 56 | 11 | 14 | 28 | 56 | 22 | 44 |
5 | 20 | 80 | 5 | 20 | 21 | 84 | 4 | 16 | 41 | 82 | 9 | 18 |
Вопросы 4 недели | Юноши | Девушки | Всего | |||||||||
Да | % | Нет | % | Да | % | Нет | % | Да | % | Нет | % | |
1 | 21 | 84 | 4 | 16 | 20 | 80 | 5 | 20 | 41 | 82 | 9 | 18 |
2 | 23 | 92 | 2 | 8 | 22 | 88 | 3 | 12 | 45 | 90 | 5 | 10 |
3 | 20 | 80 | 5 | 20 | 23 | 92 | 2 | 8 | 43 | 86 | 7 | 14 |
4 | 23 | 92 | 2 | 8 | 19 | 76 | 6 | 24 | 42 | 84 | 8 | 16 |
5 | 24 | 96 | 1 | 4 | 25 | 100 | 0 | 0 | 49 | 98 | 1 | 2 |
В день фиксации большинство респондентов отмечало неудобства при смыкании зубных рядов и приеме пищи (всего 82%). Отдельно стоит обратить внимание, что ответы испытуемых и соответственно результаты, полученные через неделю, были аналогичны результатам, полученным в день фиксации накладки. Результаты, полученные через месяц после фиксации, показали, что большинство респондентов не смогли адаптироваться к фиксированным накладкам. В процентном соотношении дискомфорт при смыкании зубных рядов, разговоре, приеме пищи и ощущении инородного тела в полости рта значительно увеличился и в некоторых случаях достигал 90% (дискомфорт при разговоре) и 98% (ощущение инородного тела), что говорит о важности соблюдения анатомии коронки зуба при проведении лечения.
ОБСУЖДЕНИЕ
В данном исследовании оценивалось состояние пациентов после фиксации искусственно смоделированных и фиксированных накладок на зуб 1.1, имитирующих измененную анатомическую форму небной поверхности центрального резца верхней челюсти.
Исследование было направлено на создание объективных клинических рекомендаций, которые позволили бы избежать нежелательных осложнений при немедленной установке имплантата и изготовить коронку с сохранением природной анатомической формы без дополнительной объемности с небной стороны, поскольку в большинстве случаев клиницисты выбирают прямые имплантаты, которые не всегда позволяют изготовить коронку с правильной анатомией и при этом фиксированную к имплантату с помощью винта. Таким образом, необходимо тщательно планировать лечение и использовать не только прямые имплантаты, но и, в ряде случаев, современное решение в виде угловых имплантатов, позволяющих обойти все вышеописанные сложности.
Выводы
Изменение анатомической формы коронки с опорой на имплантат, установленный в область отсутствующего зуба 1.1, может влиять на изменение жизненно важных функций.
Следует внимательно относиться к планированию установки имплантатов в лунку удаленного резца верхней челюсти.
Планирование немедленной имплантации необходимо проводить междисциплинарно, т.е. совместно хирургу и ортопеду-стоматологу.
Для создания анатомически правильной и функциональной реставрации с опорой на имплантат, установленный в лунку центрального резца верхней челюсти, необходимо использовать не только прямые, но и угловые имплантаты.
ЗАКЛЮЧЕНИЕ
Традиционные стандартные протоколы всё больше заменяются одноэтапными хирургическими протоколами (немедленной имплантацией с немедленной нагрузкой). Фиксация протеза в день имплантации имеет психологические, эстетические и функциональные преимущества. Для этого при совместном планировании хирургу-стоматологу и ортопеду-стоматологу необходимо учитывать анатомию лунки удаленного резца верхней челюсти, четко понимать алгоритм выбора необходимого имплантата в соответствии с анатомией и конкретной клинической ситуацией, а также иметь представление о важности изготовления коронки с винтовой фиксацией при немедленной нагрузке. Таким образом, достижение качественного результата лечения возможно только при междисциплинарном взаимодействии, тщательном планировании и составлении рационального плана лечения.
ДОПОЛНИТЕЛЬНО
Источник финансирования. Авторы заявляют об отсутствии внешнего финансирования при проведении исследования.
Конфликт интересов. Авторы декларируют отсутствие явных и потенциальных конфликтов интересов, связанных с публикацией настоящей статьи.
Вклад авторов. Все авторы внесли существенный вклад в разработку концепции, проведение исследования и подготовку статьи, прочли и одобрили финальную версию перед публикацией.
ADDITIONAL INFO
Funding source. This study was not supported by any external sources of funding.
Competing interests. The authors declare that they have no competing interests.
Authors' contribution. All authors made a substantial contribution to the conception of the work, acquisition, analysis, interpretation of data for the work, drafting and revising the work, final approval of the version to be published and agree to be accountable for all aspects of the work.
About the authors
Khava M. Merzhoeva
RUDN University
Email: kh_a_va@mail.ru
ORCID iD: 0000-0002-4049-6229
SPIN-code: 3549-7597
Postgraduate Student
Russian Federation, 6 Miklukho-Maklaya street, 117198 MoscowMikhail A. Murashov
A.I. Yevdokimov Moscow State University of Medicine and Dentistry
Email: mmurashov@yahoo.com
ORCID iD: 0000-0002-3309-538X
SPIN-code: 3355-6397
MD, Cand. Sci. (Med.), Associate Professor
Russian Federation, 9A, building 1, st. Vuchetich, MoscowIgor. A. Voronov
RUDN University
Author for correspondence.
Email: voronov77@mail.ru
ORCID iD: 0000-0002-6873-5869
SPIN-code: 8186-2654
MD, Cand. Sci. (Med.), Associate Professor
Russian Federation, 6 Miklukho-Maklaya street, 117198 MoscowReferences
- Van Nimwegen WG, Goené RJ, Van Daelen AC, et al. Immediate implant placement and provisionalisation in the aesthetic zone. J Oral Rehabil. 2016;43(10):745–752. doi: 10.1111/joor.12420
- Barone A, Rispoli L, Vozza I, et al. Immediate restoration of single implants placed immediately after tooth extraction. J Periodontol. 2006;77(11):1914–1920. doi: 10.1902/jop.2006.060072
- Jung RE, Zembic A, Pjetursson BE, et al. Systematic review of the survival rate and the incidence of biological, technical, and aesthetic complications of single crowns on implants reported in longitudinal studies with a mean follow-up of 5 years. Clin Oral Implants Res. 2012;23 Suppl.6:2–21. doi: 10.1111/j.1600-0501.2012.02547.x
- Den Hartog L, Slater JJ, Vissink A, et al. Treatment outcome of immediate, early and conventional single-tooth implants in the aesthetic zone: a systematic review to survival, bone level, soft-tissue, aesthetics and patient satisfaction. J Clin Periodontol. 2008;35(12):1073–1086. doi: 10.1111/j.1600-051X.2008.01330.x
- De Rouck T, Collys K, Cosyn J. Single-tooth replacement in the anterior maxilla by means of immediate implantation and provisionalization: a review. Int J Oral Maxillofac Implants. 2008;23(5):897–904. doi: 10.1016/S0022-3913(09)60010-X
- Cosyn J, Hooghe N, De Bruyn H. A systematic review on the frequency of advanced recession following single immediate implant treatment. J Clin Periodontol. 2012;39(6):582–589. doi: 10.1111/j.1600-051X.2012.01888.x
- Harris EF, Hassankiadeh S, Harris JT. Maxillary incisor crown-root relationships in different angle malocclusions. Am J Orthod Dentofacial OrthoP. 1993;103(1):48–53. doi: 10.1016/0889-5406(93)70104-V
- Esposito M, Grusovin MG, Polyzos IP, et al. Timing of implant placement after tooth extraction: immediate, immediate-delayed or delayed implants? A Cochrane systematic review. Eur J Oral Implantol. 2010;3(3):189–205.
- Gluckman H, Pontes CC, Du Toit J. Radial plane tooth position and bone wall dimensions in the anterior maxilla: A CBCT classification for immediate implant placement. J Prosthet Dent. 2018; 120(1):50–56. doi: 10.1016/j.prosdent.2017.09.005
- Kan JY, Roe P, Rungcharassaeng K, et al. Classification of sagittal root position in relation to the anterior maxillary osseous housing for immediate implant placement: a cone beam computed tomography study. Int J Oral Maxillofac Implants. 2011;26(4):873–876.
- Papaspyridakos P, Chen CJ, Singh M, et al. Success criteria in implant dentistry: a systematic review. J Dent Res. 2012;91(3):242–248. doi: 10.1177/0022034511431252
- Braut V, Bornstein MM, Belser U, Buser D. Thickness of the anterior maxillary facial bone wall-a retrospective radiographic study using cone beam computed tomography. Int J Periodontics Restorative Dent. 2011;31(2):125–131.
- González-Martín O, Veltri M. Immediate Implant in Maxillary Central Incisors and Prosthetic Screw Channel: A CBCT Feasibility Study. Int J Periodontics Restorative Dent. 2021;41(2):245–251. doi: 10.11607/prd.4564
- Chung SH, Park YS, Chung SH, Shon WJ. Determination of implant position for immediate implant placement in maxillary central incisors using palatal soft tissue landmarks. Int J Oral Maxillofac Implants. 2014;29(3):627–633. doi: 10.11607/jomi.2907
- Glauser R, Zembic A, Hämmerle CH. A systematic review of marginal soft tissue at implants subjected to immediate loading or immediate restoration. Clin Oral Implants Res. 2006;17 Suppl. 2:82–92. doi: 10.1111/j.1600-0501.2006.01355.x
- Groisman M, Frossard WM, Ferreira HM, et al. Single-tooth implants in the maxillary incisor region with immediate provisionalization: 2-year prospective study. Pract Proced Aesthet Dent. 2003; 15(2):115–122, 124.
- Chen ST, Wilson TG Jr, Hämmerle CH. Immediate or early placement of implants following tooth extraction: review of biologic basis, clinical procedures, and outcomes. Int J Oral Maxillofac Implants. 2004;19 Suppl.:12–25.
- Shapoff CA, Lahey BJ. Crestal bone loss and the consequences of retained excess cement around dental implants. Compend Contin Educ Dent. 2012;33(2):94–96, 98–101.
- Wilson TG Jr. The positive relationship between excess cement and peri-implant disease: a prospective clinical endoscopic study. J Periodontol. 2009;80(9):1388–1392. doi: 10.1902/jop.2009.090115
- Murashov MA, Shorstov YaV, Venter IV. Ispol’zovanie uglovykh implantatov kak al’ternativnyi metod slozhnym resheniyam v implantatsii i protezirovanii. Digital Dentistry. 2019;10(1):45–50. (In Russ).
- Sahin S, Cehreli MC. The significance of passive framework fit in implant prosthodontics: current status. Implant Dent. 2001;10(2):85–92. doi: 10.1097/00008505-200104000-00003
- Wee AG, Aquilino SA, Schneider RL. Strategies to achieve fit in implant prosthodontics: a review of the literature. Int J Prosthodont. 1999;12(2):167–178.
- Chu SJ, Tarnow DP. Managing esthetic challenges with anterior implants. Part 1: midfacial recession defects from etiology to resolution. Compend Contin Educ Dent. 2013;34(S7):26–31.
- Chu SJ, Saito H, Östman PO, et al. Immediate Tooth Replacement Therapy in Postextraction Sockets: A Comparative Prospective Study on the Effect of Variable Platform-Switched Subcrestal Angle Correction Implants. Int J Periodontics Restorative Dent. 2020;40(4):509–517. doi: 10.11607/prd.4440
- Howes D. Angled Implant Design to Accommodate Screw-retained Implant-supported Prostheses. Compend Contin Educ Dent. 2017 ;38(7):458–463.
- Wadia R. Complications of angulated implant abutments. Br Dent J. 2019;227(6):475. doi: 10.1038/s41415-019-0805-6
- Omori Y, Lang NP, Botticelli D, et al. Biological and mechanical complications of angulated abutments connected to fixed dental prostheses: A systematic review with meta-analysis. J Oral Rehabil. 2020;47(1):101–111. doi: 10.1111/joor.12877.
Supplementary files















