Russian system of nanostructured titanium dental implants
- Authors: Muzikin M.I.1,2,3, Yankevich A.N.4, Balin D.V.3, Dyuryagin V.S.5, Tytyuk S.Y.2,3
-
Affiliations:
- St.-Petersburg Scientific Research Institute of Ear, Nose, Throat and Speech
- Kirov Military Medical Academy
- Saint Petersburg Medico-Social Institute
- Dental clinic “Aura Dent”
- Ufa State Aviation Technical University
- Issue: Vol 27, No 5 (2023)
- Pages: 467-476
- Section: Case reports
- Submitted: 27.04.2023
- Accepted: 24.11.2023
- Published: 04.12.2023
- URL: https://rjdentistry.com/1728-2802/article/view/352539
- DOI: https://doi.org/10.17816/dent352539
- ID: 352539
Cite item
Abstract
Despite the progress in the development of modern dentistry and maxillofacial surgery and significant improvements in diagnostic, surgical, and restoration methods, currently, the number of patients with tooth loss is not decreasing. This trend is also characteristic of modern Russia. The number of implants installed to replace lost teeth in our country is increasing annually; despite this, the share of implantation systems with full localization in the territory of the Russian Federation is small. This study aimed to demonstrate the possibilities and effectiveness of using a Russian-made innovative system of dental implants made of nanostructured titanium in various clinical cases. The results of dental rehabilitation of patients with orthopedic structures supported by dental implants with a follow-up period of up to 5 years were analyzed. The results were presented with an indication of all stages of treatment of patients using modern methods of complex dental rehabilitation.
Full Text
Введение
Современные перспективы развития российского рынка товаров с учётом сложившейся устойчивой внешнеэкономической ситуации направлены на полное импортозамещение. Несмотря на тот факт, что вводимые экономические санкции от «стран-партнёров» на сегодняшний день не затрагивают систему здравоохранения и сферу оказания медицинских услуг, цены на продукцию, поставляемую на российский рынок из-за рубежа, за последние два года существенно повысились. Зачастую это связано с тем, что биржевой курс валюты очень сильно отличается от курса, установленного внутри зарубежной компании. Данное обстоятельство является абсолютно бесконтрольным, что создаёт значительный рычаг влияния на цену продукта для конечного потребителя [1]. Необходимость импортозамещения не только в сфере здравоохранения в общем, но и в крайне чувствительной к повышению цен на продукцию стоматологии в частности, где доля использования отечественных материалов ничтожно мала, актуальна сегодня, как никогда ранее [1, 2]. Это особенно важно, когда российский продукт, сделанный с учётом иностранного и отечественного опыта, не только не уступает зарубежным аналогам, но и по внушительному ряду характеристик превосходит их [3].
Вашему вниманию представляется российская имплантационная система Synthes Pro (Dental Synthesis, Россия). Вся линейка имплантатов изготавливается из материала NanoTi (наноструктурированный титан) и имеет поверхность, обработанную методом двойного кислотного травления (NitroEx), что способствует улучшению биосовместимости поверхности и повышению прочности металла. Наноструктурированный титан получают методом равноканального углового прессования титана Grade 4. Цилиндрические титановые заготовки продавливаются через отверстия, изгибающиеся под углом от 90 до 120 градусов, с несколькими проходами. В результате такой обработки кристаллическая структура материала «сминается» в разных направлениях. При этом происходит уменьшение размеров зёрен металла (от 8–20 мкм до 80–200 нм) с получением наноструктуры [4]. Проведённые экспериментальные исследования показывают, что интенсивная пластическая деформация может повысить прочность материала в 1,5–2,5 раза без изменения состава сплава. В связи с этим предел прочности нанотитана Grade 4 составляет 1100–1200 МПа, что более чем в 2 раза превышает предел прочности стандартного титана Grade 4 (550 МПа). Использование наноструктурированного титана создаёт запас прочности для имплантатов, эксплуатируемых с абатментами и другими протетическими элементами, в том числе и с изготавливаемыми из титанового сплава Grade 5 (ВТ-6, Ti-6Al-4V), имеющего предел прочности 895 МПа [5, 6]. Эксперименты in vitro указывают на существенное увеличение степени пролиферации клеток и ускорение процесса остеоинтеграции на опытных образцах имплантатов по сравнению с контрольными образцами из обычного титана [7].
Цикл производства линейки дентальных имплантатов Synthes Pro (Dental Synthesis, Россия) полностью замкнут и реализуется на территории Российской Федерации без привлечения и помощи со стороны иностранных участников рынка. Отличительной особенностью представляемой имплантационной системы является совместимость протетических компонентов с другими популярными системами, представленными на рынке (например, системами корейского производства), что делает переход на российскую систему дентальных имплантатов более выгодным ввиду универсальности протетической платформы, так как нет необходимости покупки большого количества «уникальных» ортопедических комплектующих. Безусловно, компания Dental Synthesis (Россия) предлагает широкую линейку ортопедических компонентов собственного производства, которая постоянно пополняется новыми позициями с учётом отзывов и пожеланий её пользователей. Необходимо отметить тот факт, что локализация производства на территории Российской Федерации позволяет наряду с высоким качеством предлагаемых материалов не привязывать цену имплантатов и комплектующих к курсу иностранной валюты, как это практикуется у ряда других имплантационных систем российского производства. За последние три года цена на дентальные имплантаты Synthes Pro (Dental Synthesis, Россия) не изменялась.
В настоящее время дентальная имплантация заняла одно из ведущих мест в комплексе методов лечения различных стоматологических заболеваний как основной и наиболее прогрессивный метод восстановления качества жизни пациентов [2, 8, 9]. Проведение дентальной имплантации позволяет широко использовать метод протезирования несъёмными ортопедическими конструкциями, повышая тем самым не только эффективность лечения, но и его эстетичность [9, 10].
На современном этапе развития научно-технического прогресса установка дентальных имплантатов возможна практически во всех клинических случаях и ограничена только противопоказаниями, которые с каждым годом также сводятся к минимуму, переходя из абсолютных в относительные [2, 10, 11]. Для подтверждения высокой эффективности имплантационной системы Synthes Pro (Dental Synthesis, Россия) предлагается рассмотреть ряд клинических случаев стоматологической реабилитации пациентов с утратой зубов на челюстях.
Описание случаев
Клиническое наблюдение № 1
Рис. 1. Этапы стоматологической реабилитации пациентки Л., 37 лет: а, b, c — срезы компьютерной томограммы в области отсутствующих зубов; d — исходная клиническая картина в полости рта; e, f, g — этапы установки дентальных имплантатов в область отсутствующих зубов; h — установка формирователей десневой манжеты; i — фиксация окончательной ортопедической конструкции.
Fig. 1. Stages of dental rehabilitation of patient L., 37-years-old: a, b, c — sections of a computed tomogram in the area of missing teeth; d — the initial clinical picture in the oral cavity; e, f, g — the stages of installing dental implants in the area of missing teeth; h — installation of gingival cuff shapers; i — fixing the final orthopedic restoration.
Пациентка Л., 37 лет, обратилась с жалобами на частичное отсутствие зубов на верхней челюсти справа (рис. 1). При осмотре: включённый дефект зубного ряда верхней челюсти — отсутствие зубов 1.4–1.6, хронический гранулематозный периодонтит зуба 1.7. В соответствии с планом ортопедического лечения выполнено удаление зуба 1.7, установка дентальных имплантатов Synthes Pro в позиции зубов 1.4, 1.5 и 1.6 по двухэтапному протоколу с субантральной аугментацией закрытым методом в позиции имплантата 1.6. Заживление послеоперационной раны без признаков воспаления, швы сняты на 7-е сутки. Через 3 мес после установки дентальных имплантатов выполнена контрольная ортопантомограмма, где визуализируются признаки остеоинтеграции имплантатов, в связи с чем вторым этапом выполнена установка формирователей десневой манжеты (рис. 2).
Рис. 2. Этапы стоматологической реабилитации пациентки Л., 37 лет: а — фрагмент ортопантомограммы перед установкой формирователей десневой манжеты; b — фрагмент ортопантомограммы через год после установки постоянной ортопедической конструкции; c — вид полости рта после фиксации окончательной ортопедической конструкции; d — контрольный осмотр пациента через 1,5 года после завершения стоматологической реабилитации.
Fig. 2. Stages of dental rehabilitation of patient L., 37-years-old: a — fragment of an orthopantomogram before the installation of the gingival cuff shapers; b — fragment of an orthopantomogram a year after the installation of a permanent orthopedic structure; c — view of the oral cavity after fixing the final orthopedic structure; d — control examination of the patient 1.5 years after the completion of dental rehabilitation.
После стабилизации мягких тканей периимплантной зоны реализован протокол ортопедического этапа стоматологического лечения и установлены коронки на винтовой фиксации из диоксида циркония. Контрольная ортопантомограмма выполнена через год, контрольный осмотр через 1,5 года после завершения стоматологической реабилитации: наблюдается стабильный профиль костных и мягких тканей, способствующий длительному функционированию ортопедической конструкции.
Клиническое наблюдение № 2
Рис. 3. Этапы стоматологической реабилитации пациента М., 35 лет: а — исходная клиническая картина; b, c, d — выполнена установка дентального имплантата с фиксацией формирователя десневой манжеты и коррекцией профиля мягких тканей; e — этап фиксации окончательной ортопедической конструкции; f — контрольный осмотр через 1 год; g, h — контрольные прицельные снимки на этапах стоматологической реабилитации.
Fig. 3. Stages of dental rehabilitation of the patient M., 35-years-old: a — the initial clinical picture; b, c, d — the installation of a dental implant with fixation of the gingival cuff shaper and correction of the soft tissue profile was performed; e — the stage of fixation of the final orthopedic structure; f — control examination after 1 year; g, h — control sighting images at the stages of dental rehabilitation
Пациент М., 35 лет, обратился с жалобой на отсутствие зуба на нижней челюсти справа (рис. 3). При осмотре: включённый дефект зубного ряда нижней челюсти справа — отсутствие зуба 4.6, зуб удалён 2 мес назад. С целью рационального протезирования в позицию зуба 4.6 установлен дентальный имплантат Synthes Pro 4,5×10 мм. Учитывая высокую первичную стабильность имплантата, одновременно с установкой зафиксирован формирователь десневой манжеты и проведена коррекция профиля мягких тканей. Заживление послеоперационной раны без признаков воспаления, швы сняты на 10-е сутки. Через 3 мес после установки дентального имплантата выполнен прицельный рентгеновский снимок, визуализируются признаки остеоинтеграции имплантата. Далее поэтапно выполнен ортопедический протокол, установлена коронка из диоксида циркония на винтовой фиксации. Контрольный прицельный снимок и контрольный осмотр выполнены через год после завершения стоматологической реабилитации. Профиль костных и мягких тканей стабилен, признаков воспаления не наблюдается.
Клиническое наблюдение № 3
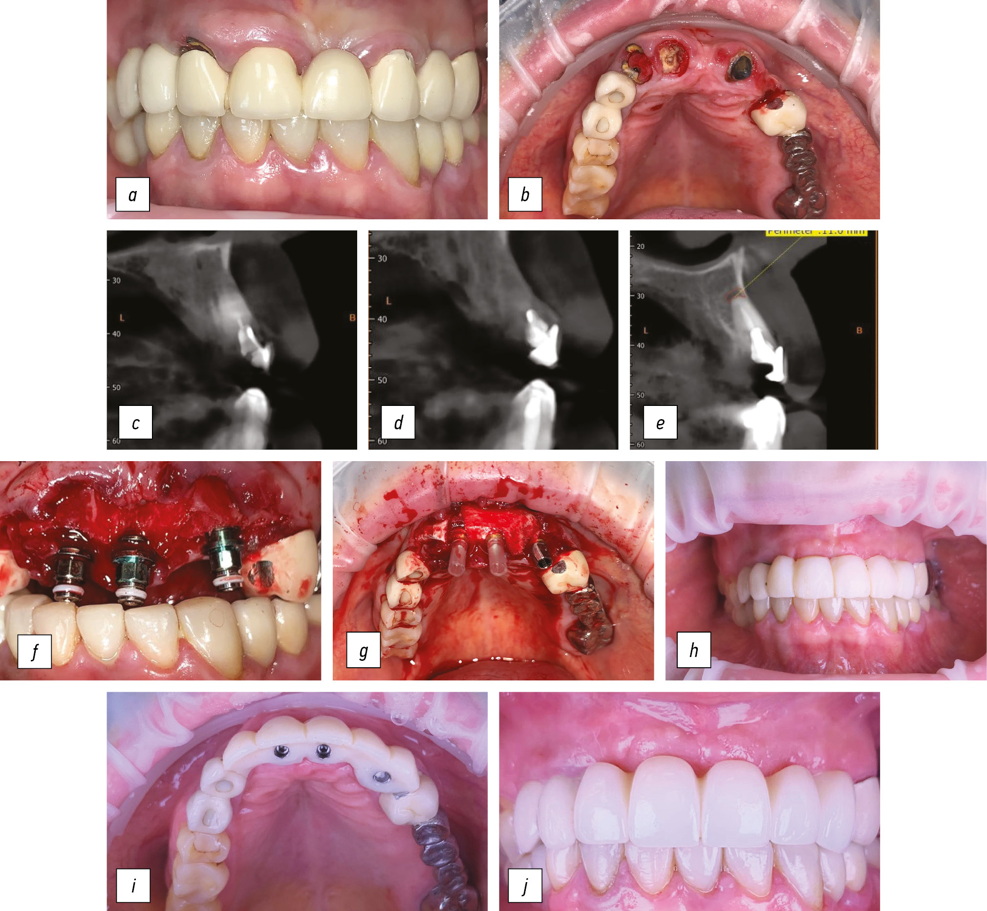
Рис. 4. Этапы стоматологической реабилитации пациента Ю., 58 лет: а, b — исходная клиническая картина; c, d, e, f, g, h — этапы проведения направленной костной регенерации с целью увеличения объёма костной ткани нижней челюсти по ширине одновременно с установкой дентальных имплантатов; i, j — вид стабильных мягких тканей в области мультиюнит-абатментов перед этапом протезирования; k, l — фиксация постоянных ортопедических конструкций из диоксида циркония, завершение первого этапа стоматологической реабилитации.
Fig. 4. Stages of dental rehabilitation of the patient Yu., 58-years-old: a, b — the initial clinical picture; c, d, e, f, g, h — the stages of targeted bone regeneration in order to increase the volume of bone tissue of the lower jaw in width simultaneously with the installation of dental implants; i, j — the type of stable soft tissues in the area of multiunit abutments before the prosthetics stage; k, l — fixation of permanent orthopedic structures made of zirconium dioxide, completion of the first stage of dental rehabilitation.
Пациент Ю., 58 лет, обратился с жалобами на отсутствие зубов на верхней и нижней челюсти (рис. 4). При осмотре: концевые дефекты зубного ряда обеих челюстей с обеих сторон, неблагоприятный пародонтологический статус. Прикус фиксирован, высота прикуса соответствует физиологической норме. Из анамнеза: курение около пачки сигарет в день. Пациент иногородний, работает вахтовым методом. Максимальный срок на текущий этап стоматологической реабилитации — 4 мес. С целью рационального протезирования на первом этапе выполнена установка дентальных имплантатов Synthes Pro в область отсутствующих зубов 1.6, 1.4, 2.4, 2.6, 3.4, 3.6. Проведено увеличение объёма костной ткани нижней челюсти по ширине с одномоментной установкой имплантатов в область зубов 4.4 и 4.6. Через 3 мес после установки имплантатов выполнена установка мультиюнит-абатментов, а после заживления — ортопедический этап стоматологической реабилитации на дентальных имплантатах с уровня мультиюнит-абатментов. Установлены коронки из диоксида циркония. В представленном клиническом наблюдении выбрана ортопедическая конструкция с уровня мультиюнит-абатментов ввиду недостаточно хорошей гигиены у пациента. На этом первый этап стоматологической реабилитации был завершён, общее время, затраченное на реализацию представленного плана, составило 4 мес. Вторым этапом планируется закрытие фронтальной группы зубов коронками.
Клиническое наблюдение № 4
Рис. 5. Этапы стоматологической реабилитации пациентки Ж., 56 лет: а, b — исходная клиническая картина; c, d, e — срезы компьютерной томограммы фронтальной группы зубов на верхней челюсти; f, g — этапы хирургического лечения; h, i — установка временной ортопедической конструкции с немедленной нагрузкой; j — фиксация постоянных коронок из диоксида циркония.
Fig. 5. Stages of dental rehabilitation of patient J., 56-years-old: a, b — initial clinical picture; c, d, e — sections of a computed tomogram of the frontal group of teeth on the upper jaw; f, g — stages of surgical treatment; h, i — installation of a temporary orthopedic structure with immediate loading; j — fixation of permanent crowns made of zirconium dioxide.
Пациентка Ж., 56 лет, обратилась с жалобами на дискомфорт и периодически возникающие боли в области фронтальных зубов верхней челюсти (рис. 5). На аксиальных срезах компьютерной томограммы фронтальной группы зубов определяются комбинированные эндодонто-пародонтальные поражения с разрушением твёрдых тканей. Одномоментно с удалением зубов 1.2, 1.1, 2.2 выполнена установка дентальных имплантатов Synthes Pro в область зубов 1.1, 2.1, 2.2 с фиксацией мультиюнит-абатментов. Осуществлена направленная костная регенерация по ширине с заполнением всех образовавшихся после удаления дефектов костно-пластическим материалом с целью профилактики постэкстракционной атрофии. Фиксация временных коронок была проведена в тот же день. Через 3 мес после стабилизации тканей в периимплантной зоне временные ортопедические конструкции заменены на постоянные из диоксида циркония.
На сегодняшний момент представленная имплантационная система набирает всё большую популярность не только на территории нашей страны, но и в странах ближнего зарубежья, а количество клинических случаев кратно увеличивается с каждым днём.
ЗАКЛЮЧЕНИЕ
Современное развитие стоматологии и челюстно-лицевой хирургии открывает перед врачами широкие возможности и позволяет даже в самых сложных клинических ситуациях осуществить стоматологическую реабилитацию пациентов. Число проводимых операций стоматологической реабилитации пациентов с использованием имплантатов не только не имеет тенденции к снижению, но и возрастает с каждым годом. Ежегодно количество устанавливаемых дентальных имплантатов и проводимых операций по увеличению объёма костных и мягких тканей во всём мире возрастает на 10–15%.
В настоящее время использование дентальных имплантатов Synthes Pro позволяет добиться стабильных клинических результатов, что и было продемонстрировано в рамках представленной клинической работы.
Авторы статьи и разработчики системы дентальных имплантатов Synthes Pro приглашают коллег к сотрудничеству и дальнейшему совместному развитию и совершенствованию отечественной имплантационной системы из наноструктурированного титана.
ДОПОЛНИТЕЛЬНО
Информированное согласие на публикацию. Авторы получили письменное согласие пациентов на публикацию медицинских данных и фотографий.
Источник финансирования. Подготовка и публикация статьи осуществлены на личные средства авторского коллектива.
Конфликт интересов. Все авторы декларируют отсутствие явных и потенциальных конфликтов интересов, связанных с публикацией настоящей статьи.
Вклад авторов. Сбор данных — М.И. Музыкин, А.Н. Янкевич, Д.В. Балин; написание черновика рукописи — М.И. Музыкин, В.С. Дюрягин, С.Ю. Тытюк; научная редакция рукописи — М.И. Музыкин, Д.В. Балин, В.С. Дюрягин; рассмотрение и одобрение окончательного варианта рукописи — М.И. Музыкин, А.Н. Янкевич, Д.В. Балин, В.С. Дюрягин. Все авторы внесли существенный вклад в разработку концепции и подготовку статьи, прочли и одобрили финальную версию перед публикацией.
ADDITIONAL INFORMATION
Consent for publication. Written consent was obtained from the patients for publication of relevant medical information and all of accompanying images within the manuscript.
Funding source. The study had no sponsorship.
Competing interests. The authors declare that they have no competing interests.
Authors’ contribution. Data collection — M.I. Muzikin, A.N. Yankevich, D.V. Balin; manuscript drafting — M.I. Muzikin, V.S. Dyuryagin, S.Yu. Tytyuk; scientific revision of the manuscript — M.I. Muzikin, D.V. Balin, V.S. Dyuryagin; review and approval of the final manuscript — M.I. Muzikin, A.N. Yankevich, D.V. Balin, V.S. Dyuryagin. All authors made a substantial contribution to the conception of the work, acquisition, analysis, interpretation of data for the work, drafting and revising the work, final approval of the version to be published and agree to be accountable for all aspects of the work.
About the authors
Maxim I. Muzikin
St.-Petersburg Scientific Research Institute of Ear, Nose, Throat and Speech; Kirov Military Medical Academy; Saint Petersburg Medico-Social Institute
Author for correspondence.
Email: MuzikinM@gmail.com
ORCID iD: 0000-0003-1941-7909
SPIN-code: 7169-1489
MD, Dr. Sci. (Med.), Professor
Russian Federation, 9 Bronnitskaya street, 190013 Saint Petersburg; 6 Akademika Lebedeva street, 194044 Saint Petersburg; Saint PetersburgAlexey N. Yankevich
Dental clinic “Aura Dent”
Email: aleksei.yankevich@yandex.ru
ORCID iD: 0009-0003-5237-424X
SPIN-code: 5972-5198
Russian Federation, Krasnoyarsk
Dmitry V. Balin
Saint Petersburg Medico-Social Institute
Email: baldent@mail.ru
ORCID iD: 0000-0001-8795-4947
SPIN-code: 3500-6837
MD, Cand. Sci. (Med.), Assistant Professor
Russian Federation, Saint PetersburgVasily S. Dyuryagin
Ufa State Aviation Technical University
Email: vd@nct.dental
Research Associate
Russian Federation, UfaSergey Y. Tytyuk
Kirov Military Medical Academy; Saint Petersburg Medico-Social Institute
Email: sergei_tytyuk@mail.ru
SPIN-code: 2475-4340
MD, Cand. Sci. (Med.), Lecturer
Russian Federation, 6 Akademika Lebedeva street, 194044 Saint Petersburg; Saint PetersburgReferences
- Gasilovskiy AE, Pavlyuk VP, Chikalova AE. The main trends and prospects for the development of foreign economic activity of the Russian Federation. Fundamental’nye issledovaniya. 2022;(7):30–34. doi: 10.17513/fr.43279
- Zhdanyuk IV, Iordanishvili AK, Volodin AI, Veretenko EA, Muzykin MI. Medical, economic and social aspects of dental prosthetics for older people. Specialist zdravoohraneniya. 2018;(1):25–26. (In Russ).
- Parfenov EV, Raab GI, Dyuryagin VS. Application of nanotitan in dental implants. Dental’naya implantologiya i hirurgiya. 2022;(2):80–82. (In Russ).
- Valiev RZ, Prokofiev EA, Kazarinov NA, et al. Developing nanostructured Ti alloys for innovative implantable medical devices. Materials (Basel). 2020;13(4):967. doi: 10.3390/ma13040967
- Raab GI, Kodirov IS, Aksenov DA, Valiev RZ. The formation of a high-strength state in martensitic Ti Grade 4 by ECAP. J Alloys Compd. 2022;922:166205. doi: 10.1016/j.jallcom.2022.166205
- Nazarov D, Zemtsova E, Smirnov V, et al. The effects of chemical etching and ultra-fine grain structure of titanium on MG-63 cells response. Metals. 2021;11(3):510. doi: 10.3390/met11030510
- Parfenov EV, Parfenova LV, Dyakonov GS, et al. Surface functionalization via PEO coating and RGD peptide for nanostructured titanium implants and their in vitro assessment. Surf Coat Technol. 2019;357:669–683. doi: 10.1016/j.surfcoat.2018.10.068
- Muzikin MI, Kokovihina EV, Gerasimova EA, et al. Age-related and post-extraction atrophy of the jaws and modern possibilities for restoring the masticatory apparatus in the elderly people. Advances in Gerontology. 2021;34(1):134–143. doi: 10.34922/AE.2021.34.1.019
- Chappuis V, Araújo MG, Buser D. Clinical relevance of dimensional bone and soft tissue alterations post-extraction in esthetic sites. Periodontol 2000. 2017;73(1):73–83. doi: 10.1111/prd.12167
- Muzykin MI, Iordanishvili AK. Post-extraction regeneration of jaw bone sanogenesis model. Human Ecology. 2020;(8):40–48. doi: 10.33396/1728-0869-2020-8-40-48
- Muzikin MI, Balin DV, Iordanishvili AK. Survival rate of zygomatic and root dental implants: the 5-year observation. Russian Bulletin of Dental Implantology. 2020;(3 Pt 4):59–68.
Supplementary files









