Application of the complex algorithm for rehabilitation of patients needing a full reconstruction of dentition (clinical case)
- Authors: Dzalaeva F.K.1, Chikunov S.O.1,2, Utyuzh A.S.1, Dzhagaeva Z.K.3, Yumashev A.V.1
-
Affiliations:
- First Moscow State Medical University (Sechenov University)
- People's friendship University (RUDN)
- “North Ossetian State Medical Academy” of the Ministry of Health of the Russia
- Issue: Vol 24, No 3 (2020)
- Pages: 158-163
- Section: Clinical Investigation
- Submitted: 02.10.2020
- Accepted: 02.10.2020
- Published: 15.06.2020
- URL: https://rjdentistry.com/1728-2802/article/view/46382
- DOI: https://doi.org/10.17816/1728-2802-2020-24-3-158-163
- ID: 46382
Cite item
Abstract
Introduction. Aim of the study is testing the algorithm of complex clinical, functional and instrumental analysis in the treatment of patients with the need for total restoration of the dentition with manifestations of myofascial pain syndrome.
Material and methods. A system for the rehabilitation of patients with adentia is proposed, in which, when planning occlusion correction, objective examination data for patients obtained using a set of diagnostic methods should be taken into account. Particular attention is paid to assessing the function of the temporomandibular joint and the presence of pathological signs of disorders of maxillofacial muscles.
Results. A clinical case is described a patient who has been diagnosed with a set of indicators of clinical, functional and instrumental analysis obtained using methods of condylography and cephalometry. The results of treatment and rehabilitation measures allowed achieving the optimal distribution of loads on the dentition, while reducing the risk of ceramic chipping and improving oral hygiene. The approach used allowed timely correction of functional and aesthetic disorders.
Conclusions. The algorithm for working with patients who need total restoration of the dentition should include a thorough history taking, clinical functional analysis using condylography methods, model analysis to register and evaluate the static and dynamic ratios of the dentition. As well as performing cephalometric analysis and other manipulations, in accordance with standard criteria for clinical examination. The developed algorithm is anatomically and pathogenetically justified, since it takes into account the entirety of changes and interconnections of the structures of the dentofacial system and other body systems that underlie the clinical manifestations in this category of patients.
Full Text
Введение
Несмотря на достижения современной стоматологии количество пациентов с частичной и полной утратой зубов не только не уменьшается, но и имеет тенденцию к увеличению, что обусловливает рост потребности населения в ортопедической стоматологической помощи [1]. В Российской Федерации вторичная частичная адентия составляет от 40 до 75 % случаев в общей структуре оказания стоматологической помощи [2, 3].
Важнейшей задачей ортопедической стоматологии является малотравматичное лечение дефектов зубных рядов с использованием различных конструкций зубных протезов [4–7]. При выборе наиболее рационального метода лечения для достижения функциональной полноценности и приемлемого эстетического результата врач обязан предложить пациенту оптимальный метод лечения.
Эффективность ортопедического лечения больных с дефектами зубных рядов определяется как используемыми в процессе лечения технологиями, так и показателем уровня комплексного функционирования органов и систем зубочелюстной области, а также ортопедических конструкций [7–9].
Улучшение результатов реабилитации пациентов с различными видами дефектов зубных рядов является высокоактуальной проблемой, что обусловлено развитием сложного симптомокомплекса патологических изменений зубочелюстной системы при данной патологии. Решение этой проблемы требует междисциплинарного подхода и проведения всесторонней диагностики для комплексной оценки клинической ситуации, разработки плана лечения с учетом индивидуальных характеристик пациента.
Цель исследования — апробация алгоритма комплексного клинического, функционального и инструментального анализа при лечении пациентов с необходимостью тотальной реставрации зубных рядов с проявлениями миофасциального болевого синдрома.
Материал и методы
В процессе лечения и обследования пациентов, нуждающихся в реставрации зубных рядов, на базе клиники ОАО «Медицина» нами была разработана система реабилитации на основании междисциплинарного подхода. В рамках реализации этого подхода при планировании коррекции прикуса учитываются данные объективного обследования пациентов, которые получают при использовании комплекса диагностических методов. При планировании лечения изучаются анатомические и функциональные характеристики зубочелюстной системы пациента, при этом особое внимание уделяется оценке функции височно-нижнечелюстного сустава (ВНЧС) и наличию патологических признаков нарушений состояния мышц челюстно-лицевой области.
Результаты выполняемого в ходе диагностики эстетического, клинического функционального и инструментального анализа с использованием методов кондилографии и цефалометрии позволяют определять центральное соотношение челюстей при загипсовке моделей в артикулятор. При этом используется алгоритм работы с программой Gamma Dental, дающей возможность моделировать прикус. Используемый подход при планировании корректировки прикуса учитывает и своевременно корректирует функциональные и эстетические нарушения у пациентов, которым выполняется тотальная реставрация.
При моделировании и изготовлении конструкций используются индивидуальные артикуляторы Gamma, преимуществами которых являются загипсовывание по индивидуальной шарнирной оси, измерение окклюзионной плоскости, оценка гамма ротации. Выполняемое при этом восковое моделирование с последовательным размыканием позволяет получить высокие функциональные и эстетические результаты ортопедической реабилитации пациентов, нуждающихся в тотальной реставрации зубных рядов. При этом достигается оптимальное распределение нагрузок на зубочелюстную систему, снижается риск сколов облицовочного материала, а также улучшается гигиена полости рта.
Для диагностики состояния зубочелюстной системы применяли методы ортопантомографии и кондилографии.
Результаты и их обсуждение
В данном исследовании представлены результаты обследования и лечения пациента А., 45 лет.
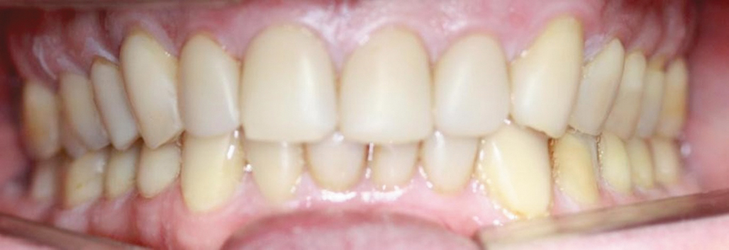
Пациент обратился в клинику с жалобами на боль в жевательных мышцах и сколы композитных реставраций. Вид до начала лечения представлен на рис. 1.
Рис. 1. Состояние зубов и десен до лечения.
При объективном осмотре выявлены следующие клинические признаки:
- небный наклон клыков;
- смещение срединной линии;
- зубной класс I слева и II справа;
- наличие сколов композитных реставраций;
- несоответствие верхней и нижней зубных дуг в сагиттальной и трансверзальной плоскостях;
- отсутствие воспроизводимой центральной окклюзии;
- отсутствие опорных бугров на молярах;
- отсутствие клыковой и передней направляющей.
Изучение стоматологического анамнеза выявило нарушения жевания и смыкания зубов, изменение соотношения челюстей в одном положении.
В анамнезе отмечается бруксизм.
Собственное психологическое состояние пациент оценивает как спокойное.
Анализ состояния мышц выявил признаки патологической активности мышц m. masseter, m. pterygoideus medialis, отвечающих за закрывание челюсти и латеротракторов, протракторов, а также нарушения состояния связок и мышц, отвечающих за положение ВНЧС.
Таким образом, клинический стоматологический анамнез и объективный осмотр пациента выявил ряд нарушений, требующих коррекции путем выполнения комплекса лечебно-реабилитационных мероприятий. К ним следует отнести:
- наличие сколов композитных реставраций;
- патологические изменения состояния мышц челюстно-лицевой области: групп мышц, обеспечивающих закрывание рта и латеротракторов;
- нарушение эстетических характеристик лица и дентоальвеолярных признаков;
- наличие скученности зубов нижней челюсти;
- поперечное несоответствие размеров верхней и нижней зубных дуг;
- небный наклон верхних клыков;
- отсутствие зуба 1.4;
- отсутствие боковой поддержки зубов.
Результаты обследования свидетельствовали о наличии показаний к расширению объема диагностики и осуществлению комплексного функционального инструментального анализа, который включал:
- анализ моделей;
- выполнение кондилографии;
- проведение цефалометрического анализа.
По результатам кондилографии было выявлено увеличение длины траектории протрузии-ретрузии, ослабление связочного аппарата ВНЧС, нарушения функции мышц и ослабление связок сустава (рис. 2). В то же время анализ временнóй кривой позволил уточнить, что наблюдаемые изменения обусловлены прежде всего патологическими признаками состояния мыщц челюстно-лицевой области.
Рис. 2. Кондилограмма пациента А.
Увеличение длины траектории протрузии-ретрузии. Ослабление связочного аппарата ВНЧС
Отмечена гипермобильность в суставе, установлено, что чрезмерное открывание рта обеспечивается перерастяжением связок ВНЧС.
По результатам цефалометрического анализа были получены следующие характеристики:
- высота нижней трети лица является нормальной;
- величина межрезцового угла составила 128°, что соответствует норме;
- значение показателя OPI (наклон окклюзионной плоскости) справа составило 6°, величина OPI слева — 9°;
- данный случай является симметричным, значения сагиттальных суставных путей (показатель SCI) справа и слева равны 52;
- величины угла размыкания (DOA) составили: правого 16°, левого 13°;
- положение верхней челюсти является нейтральным;
- зубной класс II справа и слева.
Переднюю направляющую определили по шаблону Вебера.
Анализ моделей, установленных в центральном соотношении челюстей, показал, что в положении центрального соотношения челюстей отмечается отсутствие контактов на передних зубах. В то же время было установлено, что зубы 37, 46, 47 имеют преждевременные окклюзионные контакты.
По полученным моделям была изготовлена миопатическая шина, с использованием которой проводилась сплинт-терапия (рис. 3).
Рис. 3. Изготовление моделей и проведение сплинт-терапии.
После сплинт-терапии изготавливали оттиски для осуществления диагностического воскового моделирования, которое было выполнено через 3 нед после ношения и перегипсовки в артикулятор (рис. 4) в новом терапевтическом положении нижней челюсти.
Рис. 4. Перегипсовка модели нижней челюсти в артикуляторе. Использовали следующие параметры для воскового моделирования: I зубной класс, соотношение зубов 1 : 2, зубы 16–46, 17–47, II класс смыкания зубных рядов.
Осуществляли корректировку верхней пассивной дуги в соответствии с параметрами нижней активной дуги.
Высота прикуса была увеличена на 2 мм на резцовом штифте.
Диагностическое восковое моделирование на моделях в артикуляторе проводили на основании данных кондилографии и цефалометрического анализа (рис. 5). Были получены силиконовые ключи, с помощью которых препарировали зубы верхней и нижней челюсти.
Рис. 5. Восковое моделирование. а — примерка силиконового ключа для переноса окклюзионной поверхности зубов в новое восковое моделирование; б — фиксация силиконового ключа на рабочей модели; в — восковое моделирование окклюзионной поверхности зубов.
Был изготовлен первый комплект временных коронок. Значения показателей составили: правой окклюзионной плоскости (OPI) 6°, левой окклюзионной плоскости 9°. При изменении правой OPI величину 6° следовало изменить до 9°, чтобы достичь величины угла размыкания между зубами верхней и нижней челюсти 13°.
При восковом моделировании высота нижней трети лица не изменялась.
Окклюзионную плоскость моделировали по двум точкам. Первой точкой окклюзионной плоскости являлись нижние резцы, в качестве второй точки использовали дистальный бугор первого нижнего моляра.
Первый комплект временных коронок подготовлен на втором комплекте моделей и с использованием силиконового ключа.
Клыки и вторые моляры использовали в качестве ориентиров для позиционирования временных коронок к шаблону и созданию десневого контура реставрации.
По эстетическим соображениям был изготовлен второй комплект временных коронок (рис. 6). Проведено препарирование зубов верхней и нижней челюстей и получены оттиски с использованием ретракционной нити, изготовлены гипсовые модели. По ним выполнены долговременные временные коронки в центральном соотношении челюстей. Четкое прилегание коронок к десне способствовало формированию десневого контура.
Рис. 6. Изготовление второго комплекта временных коронок. а — примерка шаблона с пластмассовыми временными коронками в полости рта; б — модели с предварительно отпрепари-рованными зубами и изготовленными заранее временными коронками; в — установка временных пластмассовых коронок на шаблон. Клыки и вторые моляры верхней челюсти оставляем без препарирования для контроля фиксации шаблона; г — от-тиск с отпрепарированных зубов верхней челюсти.
Были отпрепарированы зубы, получены оттиски. Модели загипсовывали в артикулятор и по силиконовым ключам переносили воск во временные коронки.
Временные коронки проверяли в артикуляторе для протрузионного контроля, контроля латеротрузионного и клыкового ведения.
Перенос окклюзионных поверхностей был проведен точно, перемещение формы окклюзионных поверхностей из восковой модели было выполнено из временной коронки (рис. 7).
Рис. 7. Перемещение формы окклюзионных поверхностей из восковой модели.
При восковом моделировании был использован индивидуальный резцовый стол. Восковую модель переносили в керамический пресс, изготавливалась окончательная реставрация.
Окончательно окклюзию проверяли в артикуляторе в статическом положении и в динамике.
Были получены следующие показали латеротрузии.
Правая сторона: зуб 1.6 — 25°, голубой стол, зуб 1.5 — 33°, голубой стол, зуб 14 — 41°, голубой стол, передний контроль = 55°. Правая клыковая направляющая = 51°, голубой стол;
Левая сторона: зуб 2.6 — 33° оранжевый стол, зуб 2.5 — 40°, оранжевый стол, зуб 2.4 — 47° голубой стол. Левая клыковая направляющая = 58°, оранжевый стол.
Последовательное ведение осуществлялось на окончательных реставрациях. Величина контроля клыка составила 4 мм.
Осуществлялся ретрузионный контроль.
Известно, что полноценное функционирование жевательного аппарата и целостность зубных рядов являются важнейшей составляющей качества жизни человека. Мы согласны с мнением большинства авторов, которые считают, что своевременное ортопедическое лечение, направленное на устранение окклюзионных нарушений при деформации зубных рядов, должно включать профилактику более глубоких изменений морфологического и функционального характера зубочелюстной системы [5, 7, 9, 10]. С учетом этого нами был разработан алгоритм комплексного клинического, функционального и инструментального анализа, который применяется в лечении пациентов, нуждающихся в тотальной реставрации зубных рядов с проявлениями миофасциального болевого синдрома.
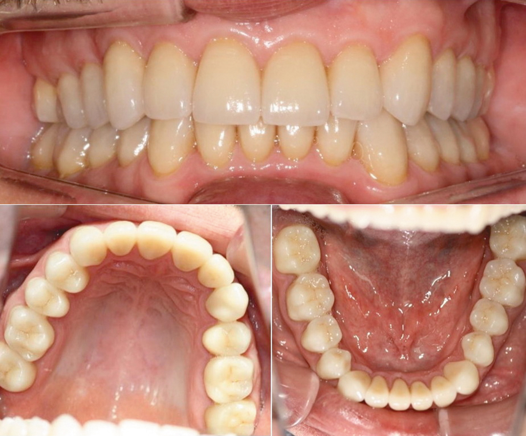
Рис. 8. Пациент А. Окончательный результат лечения.
Опыт применения схемы диагностики и лечения, представленной в настоящей работе, свидетельствует о следующем. Алгоритм работы с пациентами, нуждающимися в тотальной реставрации зубных рядов, должен включать скрупулезный сбор анамнеза, клинический функциональный анализ с использованием методов кондилографии, анализ моделей с целью регистрации и оценки статических и динамических соотношений зубных рядов, выполнение цефалометрического анализа, а также ряда других манипуляций, в соответствии со стандартными критериями клинического обследования. Разработанный алгоритм является анатомически и патогенетически обоснованным, поскольку учитывает всю полноту изменений и взаимосвязей структур зубочелюстной системы и других систем организма, которые лежат в основе клинических проявлений у данной категории пациентов.
Выводы
- Применение предложенного комплекса диагностических и лечебно-реабилитационных мероприятий позволяет реализовать персонализированный подход к ведению пациентов, нуждающихся в реставрации зубных рядов, проводить тотальную, стоматологическую, ортопедическую реабилитацию с учетом индивидуальных характеристик пациента.
- Клиническая эффективность данного алгоритма проявляется успешным решением проблем, беспокоящих пациента, как правило, в течение достаточно длительного срока до лечения, а также достижением удовлетворительных эстетических результатов.
- Выполнение тотальной реабилитации зубных рядов пациентам с адентией рекомендуется проводить с использованием междисциплинарного подхода, основанного на учете функциональных и анатомических особенностей строения зубочелюстной системы.
About the authors
Fatima K. Dzalaeva
First Moscow State Medical University (Sechenov University)
Author for correspondence.
Email: dzalayevaf1625@bk.ru
PhD, Professor of the Department of prosthodontics
Russian Federation, MoscowS. O. Chikunov
First Moscow State Medical University (Sechenov University); People's friendship University (RUDN)
Email: dzalayevaf1625@bk.ru
Russian Federation, Moscow
A. S. Utyuzh
First Moscow State Medical University (Sechenov University)
Email: dzalayevaf1625@bk.ru
Russian Federation, Moscow
Z. K. Dzhagaeva
“North Ossetian State Medical Academy” of the Ministry of Health of the Russia
Email: dzalayevaf1625@bk.ru
Russian Federation, Republic of North Ossetia
A. V. Yumashev
First Moscow State Medical University (Sechenov University)
Email: dzalayevaf1625@bk.ru
Russian Federation, Moscow
References
- Alimskiy AV, Gus'kov AV, Morozova SI, Peshkov VA, Wagner VD. Optimization of the operating regime of dental medical organizations to improve the availability of dental care to the population. Klinicheskaya stomatologiya. 2015;1(73):60–2. (in Russian)
- Kamieva NA, Kausova GK, Ruzuddinov SR. On the issue of the need for dental prosthetics for the elderly. Vestnik Kazahskogo Natsional'nogo meditsinskogo universiteta. 2018;4:41–5.
- Semenyuk VM, Ahmetov EM, Fedorov VE, Kachura GP, Akhme-tov SE. The results of the organization, the effectiveness of orthopedic treatment and the quality of dentures (data from a sociological study). Institut stomatologii. 2017;1(74):26–29.
- Chikunov SO. A gentle way of prosthetics without preliminary preparation of supporting teeth. Institutt stomatologii. 2012;2:52–53.
- Trezubov VN, CHikunov SO, Bulycheva EA, Alpatyeva YuV, Bulycheva DS. Translational modeling of dentitions in a complex clinical picture. Klinicheskaya stomatologiya. 2017;3(83):60–63.
- Dolce MC, Aghazadeh-Sanai N, Mohammed S, Fulmer TT. Integrating oral health into the interdisciplinary health sciences curriculum. Dental Clinics of North America. 2014;58:829–843. doi: 10.1016/j.cden.2014.07.002
- Chatzopoulos GS, Wolff LF. Symptoms of temporomandibular disorder, self-reported bruxism, and the risk of implant failure: A retrospective analysis. Cranio. 2020;38(1):50–57. doi: 10.1080/08869634.2018.1491097
- Saeidi Pour R, Engler ML, Edelhoff D, Prandtner O, Frei S, Liebermann A. A patient-calibrated individual wax-up as an essential tool for planning and creating a patient-oriented treatment concept for pathological tooth wear. International Journal of Esthetic Dentistry. 2018;13(4):476–492.
- Gil-Martinez A, Paris-Alemany A, Lopez-de-Uralde-Villanueva I, La Touche R. Management of pain in patients with temporomandibular disorder (TMD): challenges and solutions. Journal of Pain Research. 2018;11:571–587. doi: 10.2147/JPR.S127950
- Giacobbo LC, Guimaraes LK, Fornazari IA, Meda EM, Tanaka OM. Achieving Better Function through Combining Orthodontics and Restorative Den-tistry in the Case of Dental Abrasions. Case Reports in Dentistry. 2019;2019:8137585. doi: 10.1155/2019/8137585.
Supplementary files



















