Structural features of the temporomandibular joint in patients with gnathic mesial occlusion
- Authors: Mallaeva A.B.1, Drobysheva N.S.1
-
Affiliations:
- A.I. Evdokimov Moscow State University of Medicine and Dentistry of the Ministry of Health of Russia
- Issue: Vol 24, No 5 (2020)
- Pages: 301-305
- Section: Clinical Investigations
- Submitted: 15.02.2021
- Accepted: 15.02.2021
- Published: 15.10.2020
- URL: https://rjdentistry.com/1728-2802/article/view/61028
- DOI: https://doi.org/10.17816/1728-2802-2020-24-5-301-305
- ID: 61028
Cite item
Full Text
Abstract
The aim of the study was to evaluate the structural features of the temporomandibular joint in patients with a gnatic form of mesial occlusion of the dentition. Materials and methods. In studying the structural features of the facial skull in patients with gnatic mesial occlusion, the height of the condylar process was separately evaluated in the course of the study in order to avoid the incorrect measurement of the branch height in cases of degenerative changes in the condylar process. Results. The structural features of the temporomandibular joint were determined in 50 adult patients (aged 18–44 years old) using cone-beam computed tomography.
Сonclusion. Patients with gnathic mesial occlusion of the asymmetric group showed identical articular spaces (anterior and posterior) in the sagittal direction on both the deviating and non-deviating sides, suggesting that the bilateral relationship between the head and fossa may be as symmetrical as in patients with symmetry. However, the axial condylar angle had a bilateral difference only among patients in the asymmetric group; namely, it was significantly greater on the side of the deviating condyle.
Full Text
Актуальность
Аномалии окклюзии зубных рядов, обусловленные нарушением развития челюстей, составляют 24,5–37,3 % [1]. У большинства пациентов, которые предъявляют требования к эстетике лица, диагностируется мезиальная окклюзия зубных рядов. Пациенты с данной патологией чаще обращаются к помощи челюстно-лицевой хирургии в связи с эстетическими жалобами и связанными с ними психологическими проблемами. Для планирования комбинированного (ортодонтического и хирургического) лечения пациентов необходим комплексный анализ данных, полученных благодаря специальным методам диагностики.
В обследовании пациентов с мезиальной окклюзией ранее использовали данные антропометрических исследований гипсовых моделей зубных рядов (позволяют определить размеры зубов, зубных рядов, апикальных базисов челюстей), анализ телерентгенограмм головы в боковой проекции (оценивают размеры, положения и взаимоотношение челюстей и их частей, инклинацию резцов, вертикальные изменения, направление окклюзионной линии, взаимоотношение мягких тканей лица и челюстей), анализ ортопантомограмм (изучают состояние зубочелюстной системы, наклоны прорезавшихся и ретинированных зубов по отношению к соседним зубам и срединной плоскости, зубоальвеолярные высоты, определяли глубину резцового перекрытия, асимметрию правой и левой половины средней и нижней частей лицевого черепа), анализ рентгенологических томограмм височно-нижнечелюстного сустава (ВНЧС) (позволяют получить представление о форме суставной впадины, ее ширине, глубине и выраженности суставного бугорка, форме суставной головки и величине щели между головкой и ямкой в ее переднем, среднем и заднем отделах) [2]. Но существуют ограничения данных двухмерных рентгенологических методик, что связано с невозможностью получения правильных проекций и объемных структур. Внедрение трехмерных методов лучевой диагностики (мультисрезовой компьютерной и конусно-лучевой компьютерной томографии) позволяет более детально анализировать челюстно-лицевую область и оценивать не только особенности окклюзии зубных рядов и их положение по отношению к основанию черепа, но с выявлять сопутствующую патологию [3].
Большинство работ по мезиальной окклюзии было посвящено планированию комбинированного (ортодонтического и хирургического) лечения пациентов и оценке его результатов [2, 4]. Но до настоящего времени не проводилось детального изучения строения лицевого черепа по данным компьютерной томографии (КТ) [5]. В этом исследовании мы обратили внимание на строение ВНЧС у пациентов с мезиальной окклюзией и изучили детально все особенности, которые помогут в планировании лечения данных пациентов и определят последовательность лечебных мероприятий.
Цель исследования: оценить особенности строения ВНЧС у пациентов с гнатической формой мезиальной окклюзии зубных рядов.
Материал и методы
В ходе исследования определены особенности строения височно-нижнечелюстного сустава у 50 взрослых пациентов (от 18 до 44 лет) на основании конусно-лучевой компьютерной томографии (КЛКТ).
КЛКТ-исследование (i-CAT FLX V17, KaVo ) было проведено c соблюдением следующих условий: 120 kV, 10 mA, размер вокселя 0,3 мм. Стоматологический томограф I-CAT (Imaging Sciences International, LLC, США) имеет следующие технические характеристики: источник рентгеновского излучения: импульсный высокочастотный рентгеновский генератор, постоянный потенциал, фиксированный анод 120 кВ, 3–7 мA (импульсный режим); рентгеновские лучи: пучок (конус); фокусное пятно: 0,5 мм; детектор изображений: типа плоская панель, материал аморфный кремний, размер рабочей области детектора 20 × 25 см; шкала градаций серого: 14 бит, размер вокселей: 0,4 мм (обычный), 0,12 мм (минимальный); получение изображений: одиночный поворот на 360°; время сканирования: 20 сек — стандартная конфигурация (опционально 10, 20, 40); положение пациента: сидя; размеры изображения: 16 × 13 см (диаметр × высота); расширенное поле зрения 16 × 22 см; первичная реконструкция изображения: 1,5 мин при стандартном изображении, полученном за 20 сек, вторичная реконструкция: в режиме реального времени.
Отсканированное изображение было сохранено в формате DICOM (digital imaging and communication in medicine). Далее DICOM файлы реконструировались в 3D-изображение при помощи программного обеспечения Invivo 5 Anatomy imaging software (Anatomage Inc, США).
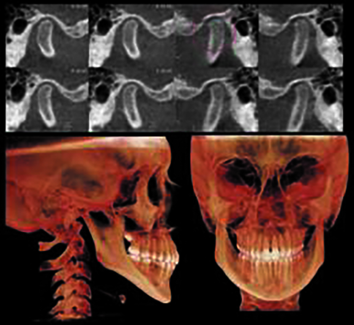
В ходе данного исследования авторы сочли целесообразным отдельно изучать высоту мыщелкового отростка во избежание некорретного измерения высоты ветвей (в случаях дегенеративных изменений мыщелкового отростка). Дегенеративное заболевание ВНЧС — невоспалительное заболевание ВНЧС (как и другого синовиального сустава), клинически проявляющееся интракапсулярной болью и проблемами с диском и характеризующееся деструкцией и восстановлением артикуляционного хряща и подлежащей субхондральной кости (рис. 1).
Пациентов разделили на две группы — с асимметрией и без асимметрии нижней челюсти. Проведен цефалометрический анализ и статистическая обработка данных.
Длину ветвей нижней челюсти и высоту мыщелкового отростка определяли по следующей методике. Для правой и левой сторон определялись четыре точки: Co (наиболее верхняя точка мыщелка), Cd (наиболее задняя точка мыщелка, вид сзади), Go (наиболее нижняя точка гониального угла нижней челюсти, латеральный вид), In (вырезка нижней челюсти) и два линейных измерения (Go-Cd и In-Co) проводились по касательной к заднему краю ветви нижней челюсти (рис. 2).
Сагиттальные параметры ВНЧС у пациентов с гнатической формой мезиальной окклюзии оценивали по величине передней, верхней, задней суставных щелей (рис. 3).
Результаты исследования
При измерении параметров пациентов с гнатической формой мезиальной окклюзии и асимметрией нижней челюсти не было выявлено значительной разницы между величинами переднего (AS) и заднего суставного пространств (PS) [6].
Рис. 1. Схема патогенеза дегенеративных заболеваний височнонижнечелюстного сустава (по Хатчеру).
Рис. 2. Измерение длины ветви нижней челюсти и высоты мыщелкового отростка (Go-Cd и In-Co) по касательной к заднему краю ветви нижней челюсти.
Рис. 3. Сагиттальные параметры височно-нижнечелюстного сустава.
Величина верхнего суставного пространства (SS) у пациентов с гнатической формой мезиальной окклюзии и асимметрией нижней челюсти несколько отличалась, а именно отмечалось более верхнее положение мыщелка на девиирующей стороне (Dv) по сравнению с недивирующей стороной (NDv) (p < 0,01) и по сравнению с аналогичным параметром (SS) у пациентов с симметрией нижней челюсти (p < 0,05) (табл. 1).
Таблица 1. Сагиттальные параметры элементов височно-нижнечелюстного сустава
Показатель | Измерения | Группа симметрии (SG) | Группа асимметрии (AG) | Значение p |
Правая сторона (R) для SR или Dv для AG | AS | 2,21 ± 0,71 | 1,99 ± 0,75 | NS |
Правая сторона (R) для SR или Dv для AG | SS | 2,59 ± 0/85 | 2,22 ± 0,77 | 0,034 |
Правая сторона (R) для SR или Dv для AG | PS | 2,30 ± 0,64 | 2,14 ± 0,54 | NS |
Левая сторона (L) для SR или NDv для AG | AS | 2,34 ± 0,81 | 2,19 ± 0,65 | NS |
Левая сторона (L) для SR или NDv для AG | SS | 2,75 ± 0,68 | 2,16 ± 0,73 | 0,001 |
Левая сторона (L) для SR или NDv для AG | PS | 2,18 ± 0,63 | 2,23 ± 0,62 | NS |
Средняя разница между правой и левой сторонами (SG) и Dv-NDv стороной (AG) | Rt-Lt (AS) | –0,13 ± 0,80 | -0,03 ± 0,90 | NS |
Средняя разница между правой и левой сторонами (SG) и Dv-NDv стороной (AG) | Rt-Lt (SS) | 0,11 ± 0,66 | –0,07 ± 0,95 | NS |
Средняя разница между правой и левой сторонами (SG) и Dv-NDv стороной (AG) | Rt-Lt (PS) | 0,14 ± 0,61 | 0,04 ± 0,75 | NS |
Абсолютное значение средней разницы правой и левой сторонами (SG) и Dv-NDv стороной (AG) | Rt-Lt (AS) | 0,59 ± 0,57 | 0,69 ± 0,56 | NS |
Абсолютное значение средней разницы правой и левой стороной (SG) и Dv-NDv стороной (AG) | Rt-Lt (SS) | 0,54 ± 0,45 | 0,59 ± 0,51 | NS |
Абсолютное значение средней разницы правой и левой сторонами (SG) и Dv-NDv стороной (AG) | Rt-Lt (PS) | 0,54 ± 0,41 | 0,56 ± 0,49 | NS |
Рис. 4. Верхнее положение мыщелка у пациентов с гнатиче- ской формой мезиальной окклюзии и асимметрией нижней челюсти.
Примечание. Dv — девиирующая сторона; NDv — недивирующая сторона; AS — переднее суставное пространство; PS — заднее суставное пространство; SS — верхнее суставноео пространство; AG — группа асимметрии; SG — группа симметрии.
Среднее абсолютное значение разницы между правой и левой сторонами у пациентов с гнатической формой мезиальной окклюзии и симметрией нижней челюсти составило 0,59 мм для AS, 0,54 мм для SS, 0,54 мм для PS, что значительно не отличается от аналогичных параметров пациентов группы с асимметрией нижней челюсти. Средние значения величин правого и левого суставных пространств представлены в табл. 2.
Таблица 2. Значения параметров правого и левого суставных пространств справа и слева
Измерения, мм | Группа симметрии (SG) | Группа асимметрии (AG) | Значение p |
Величина переднего суставного пространства (AS) | 2,27 ± 0,64 | 2,09 ± 0,55 | NS |
Величина верхнего суставного пространства (SS) | 2,67 ± 0,69 | 2,19 ± 0,64 | 0,002 |
Величина заднего суставного пространства (PS) | 2,24 ± 0,54 | 2,19 ± 0,44 | NS |
Как следует из табл. 2, лишь величина SS у пациентов с гнатической формой мезиальной окклюзии и асимметрией нижней челюсти демонстрирует статистически значимое верхнее положение мыщелка по сравнению с пациентами с симметрией нижней челюсти (рис. 4).
Рис. 5. Аксиальный угол мыщелка.
Значения аксиального угла мыщелка у пациентов исследуемых групп представлены на рис. 5 и в табл. 3.
Таблица 3. Значения аксиального угла мыщелка
Показатель | Измерения | Группа симметрии (SG) | Группа асимметрии (AG) | Значение p |
Правая сторона для SG/девиирующая сторона Dv для AG | Аксиальный угла мыщелка | 14,32 ± 6,74 | 15,36 ± 7,13 | 0,035 |
Левая сторона для SG/NDv для AG | Аксиальный угла мыщелка | 14,07 ± 6,34 | 14,28 ± 6,58 | 0,008 |
Средняя разница правого и левого аксиального углов для SG)/Dv-NDv для AG | Rt-Lt | 0,12 ± 3,31 | 2,83 ± 6,57 | 0,011 |
Абсолютное значение средней разницы правого и левого аксиального углов для SG/Dv-NDv для AG | Rt-Lt | 2,56 ± 2,14 | 5,75 ± 4,55 | < 0,001 |
Примечание. Dv — девиирующая сторона; NDv — недивирующая сторона; AS — переднее суставное пространство; PS — заднее суставное пространство; SS — верхнее суставное пространство; AG — группа асимметрии; SG — группа симметрии.
В группе пациентов с гнатической формой мезиальной окклюзии и симметрией нижней челюсти разница значений аксиального угла между правой и левой сторонами и в группе пациентов с гнатической формой мезиальной окклюзии и симметрией нижней челюсти разница значений аксиального угла между девиирующей и недевиирующей сторонами вычислялась посредством вычитания значения на недевиирующей стороне из значения на девиирующей стороне. Разница значений была значительно больше в группе пациентов с гнатической формой мезиальной окклюзии и асимметрией нижней челюсти по сравнения симметричной группой (табл. 4).
Рис. 6. Увеличение аксиального угла на девиирующей стороне.
Таблица 4.Сравнение аксиального угла мыщелка
Аксиальный угол мыщелка (град.) | Правая сторона / Девиирующая сторона | Левая сторона / Недевиирующая сторона | Значение p |
Группа симметрии (SG) | 14,32+ / –6,34 | 14,07+ / –6,34 | NS |
Группа асимметрии (AG) | 15,36+ / –7,13 | 14,28+ / –6,57 | 0,01 |
Как следует из табл. 4, на девиирующей стороне в группе пациентов с гнатической формой мезиальной окклюзии и асимметрией нижней челюсти значение аксиального угла мыщелка значительно больше, а также абсолютное значение разницы демонстрирует тенденцию к увеличению значения аксиального угла мыщелка на девиирующей стороне у пациентов асимметричной группы (рис. 6).
Увеличение аксиального угла мыщелка на девиирующей стороне у пациентов асимметричной группы свидетельствует о том, что пациенты с гнатической формой мезиальной окклюзии и асимметрией нижней челюсти имеют билатеральную разницу в аксиальной ориентации мыщелков по сравнению с пациентами с симметрией нижней челюсти, причем аксиальный угол значительно больше на стороне девиации.
Заключение
Одна из рабочих гипотез данного исследования предполагала, что существует разница в соотношении суставный отросток / суставная ямка у пациентов с гнатической формой мезиальной окклюзии и асимметрией, а также пациентов с гнатической формой мезиальной окклюзии и симметрией. Результаты изучения сагиттальных параметров ВНЧС не демонстрировали значительной разницы между величинами переднего и заднего суставных пространств у пациентов обеих групп. Величина верхнего суставного пространства у пациентов с асимметрией нижней челюсти несколько отличалась, а именно отмечалось более верхнее положение мыщелка на девиирующей стороне по сравнению с недивиирующей стороной (p < 0,01) и по сравнению с аналогичным параметром у пациентов с симметрией нижней челюсти (p < 0,05). Среднее абсолютное значение разницы между правой и левой сторонами у пациентов с симметрией нижней челюсти составило 0,59 мм для переднего суставного пространства, 0,54 мм для верхнего суставного пространства, 0,54 мм для заднего суставного пространства, что значительно не отличается от аналогичных параметров пациентов группы с асимметрией нижней челюсти, и лишь величина верхнего суставного пространства демонстрирует статистически значимое верхнее положение мыщелка. Разница значений аксиального угла между девиирующей и недевиирующей сторонами была значительно больше в группе пациентов с асимметрией нижней челюсти по сравнения симметричной группой. Увеличение аксиального угла мыщелка на девиирующей стороне у пациентов асимметричной группы свидетельствует о том, что эти пациенты имеют билатеральную разницу в аксиальной ориентации мыщелков по сравнению с пациентами с симметрией нижней челюсти, причем аксиальный угол значительно больше на стороне девиации. Как следует из нашего исследования, наша первичная гипотеза была отклонена, поскольку даже у пациентов с гнатической формой мезиальной окклюзии и асимметрией суставные пространства (переднее и заднее) при изучении в сагиталльной плоскости существенно не отличались, что свидетельствует о том, что положение мыщелка в ямке с двух сторон у пациентов с асимметрией может быть таким же симметричным, как и у пациентов с мезиальной окклюзии и симметрией. Однако аксиальный мыщелковый угол существенно больше на девиирующей стороне у пациентов с асимметрией, что служит признаком того, что несмотря на имеющееся нормальное ростовое перемещение мыщелка, суставное пространство адаптируется к данному ростовому перемещению.
Вывод
Пациенты с гнатической формой мезиальной окклюзии асимметричной группы демонстрировали одинаковые суставные пространства (переднее и заднее) в сагитальном направлении как на девирующей, так и на недевирующей стороне, что свидетельствует о том, что двухсторонее взаимоотношение между головкой и ямкой может быть таким же симметричным, как у пациентов с симметрией. Однако аксиальный мыщелковый угол имел двухсторонюю разницу только у пациентов в асимметричной группе, а именно был значительно больше на стороне девиирующего мыщелка.
About the authors
A. B. Mallaeva
A.I. Evdokimov Moscow State University of Medicine and Dentistry of the Ministry of Health of Russia
Author for correspondence.
Email: dr.mallaeva@gmail.com
Russian Federation, 20/1, Delegatskaya street, Moscow, 127473
N. S. Drobysheva
A.I. Evdokimov Moscow State University of Medicine and Dentistry of the Ministry of Health of Russia
Email: dr.mallaeva@gmail.com
Russian Federation, 20/1, Delegatskaya street, Moscow, 127473
References
- Drobyshev AYu, Anastasov G. Fundamentals of orthognathic surgery. Moscow: «Printing town»; 2007. (in Russian)
- Persin LS. Orthodontics. Diagnostics and treatment of dento-maxillofacial anomalies and deformities. Moscow: GEOTAR-Media; 2016. (in Russian)
- Ludlow JB, Ivanovic M. Comparative dosimetry of dental CBCT devices and 64-slice CT for oral and maxillofacial radiology. Oral Surg Oral Med Oral Pathol Oral Radiol Endod. 2008;106(1):106–114. doi: 10.1016/j.tripleo.2008.03.018.
- Drobysheva NS, Mallaeva AB, Kaminsky-Dvorzhetsky NA, et al. Features of the structure of the maxillofacial region in patients with gnatic form of mesial occlusion of the dentition. Ural'skii meditsinskii zhurnal. 2010;(8):52–55. (in Russian)
- Drobysheva NS, Lezhnev DA, Petrovskaya VV, et al. The use of cone-beam computed tomography in orthodontics. Ortodontiya. 2019;(1):32–39. (in Russian)
- Drobyshev AYu, Sviridov EG, Dibirov TM, et al. Diagnostics and combined treatment of patients with asymmetric jaw anomalies. Ural'skii meditsinskii zhurnal. 2016;(8):8–9. (in Russian)
Supplementary files









