Mycotic flora characteristics of the endontic flora in patients affected by COVID-19
- Authors: Ermolovich A.L.1, Borisova E.G.1, Semenova D.D.1
-
Affiliations:
- Military Medical Academy named after S.M. Kirov
- Issue: Vol 28, No 1 (2024)
- Pages: 47-52
- Section: Clinical Investigation
- Submitted: 01.03.2024
- Accepted: 05.05.2024
- Published: 10.06.2024
- URL: https://rjdentistry.com/1728-2802/article/view/627649
- DOI: https://doi.org/10.17816/dent627649
- ID: 627649
Cite item
Abstract
BACKGROUND: Owing to the fact that, presently, at a dental appointment, it is possible to observe a wide range of consequences arising after COVID-19, among which are observed lesions of the pulp and periodontium of the tooth, additional diagnostic methods should be introduced before choosing treatment tactics. In our previous study, we analyzed the contents of root canals of teeth in patients who had COVID-19 using bacterioscopy. Coccus flora was detected in all cases and elements of Candida yeast-like fungi were recorded in 89 cases (76.1%). Based on the obtained data, it was advantageous to perform microbiological examination of the endodontium in this group of patients to further study their physical and chemical properties and correct the treatment regimen in gangrenous form of chronic pulpitis and aggravated forms of periodontitis, which determined the relevance of the present study.
AIM: To reveal the characteristics of the mycotic flora of the endodontium in patients who previously had COVID-19.
MATERIALS AND METHODS: A bacteriologic study of root canal contents in patients who had previously undergone a new coronavirus infection at different times, diagnosed as “exacerbation of chronic periodontitis”, “chronic gangrenous pulpitis”, and “acute suppurative periodontitis”, was conducted to detect fungi of the genus Candida in the tooth root canal system, which was obtained during mechanical treatment with a sterile endodontic instrument. The patients (n=49) were divided into groups according to their final diagnosis: group 1, chronic gangrenous pulpitis (27 patients); group 2, acute purulent periodontitis (9 patients); and group 3, exacerbation of chronic periodontitis (13 patients). Then, the collected material was placed in a tube with Amies transport medium and sent to the laboratory. Seeding of the material was performed in sterile Petri dishes on Sabouraud agar by rubbing with a plastic spatula. Further, Petri dishes were placed in the thermostat for 24–48 hours of incubation at 37±10 °C. Then, the study was carried out according to the generally accepted scheme: the obtained cultures were identified to species by the character of growth on dense medium.
RESULTS: The given bacteriological study of the patients’ endontic contents confirmed the data of bacterioscopy and concretized the previously obtained results. On final examination, black colonies of Candida albicans were observed in 95.92% of cases. No growth of Candida albicans colonies was observed in two cases (4.08%).
CONCLUSION: The bacteriologic study performed after bacterioscopy of diagnosis confirmed the presence of fungi of the genus Candida in the root canals of teeth in patients who previously had COVID-19. The study showed that when treating similar patients, the high risk of infection of periodontal complex tissues by Candida fungi should be considered. It is advisable to supplement the standard protocols of endodontic treatment with physical exposure, for example, laser radiation, or additional medication with antifungal drugs, such as fluconazole.
Full Text
BACKGROUND
Although on May 5, 2023 the World Health Organization declared that COVID-19 was no longer a global public health emergency and the epidemic’s emergency phase ended, many individuals continue to suffer from “post-COVID syndrome” and exacerbations of chronic conditions triggered by viral infection or medications administered during acute treatment. In any case, all these factors contribute to an imbalance in the human immune system [1, 2].
In dental practice, clinicians now observe a broad spectrum of oral mucosal manifestations following SARS-CoV-2 infection. These include herpes simplex virus lesions, oral candidiasis, geographic tongue, hemorrhagic and necrotic ulcerations, petechiae, and pustular enanthema [3–5, 7]. There is also frequent exacerbation of chronic pulp and periapical diseases, the emergence of acute pulpitis, accelerated progression of dental hard tissue destruction, and periodontal disease [1–3]. Poor oral hygiene is commonly present in these patients and may be a compounding factor. It remains unclear whether these manifestations result directly from viral infection, reflect systemic health decline, or are adverse effects of treatment [2].
These observations underscore the potential impact of such factors on alterations in the activity of oral microbiota. The species composition of oral microbiota is highly diverse, encompassing numerous aerobic, obligate anaerobic, and facultative anaerobic microorganisms [5–7]. Immune dysregulation induced by SARS-CoV-2 (or other factors) can activate normally harmless members of the oral microbiome, including Porphyromonas gingivalis, Treponema denticola, Prevotella intermedia, Peptostreptococcus micros, Fusobacterium spp., Staphylococcus spp., Pseudomonas spp., and Candida spp., etc. More recently, interest has sharply increased in the incidence of candidiasis among patients recovering from COVID-19, with Candida albicans being the most common causative agent of this fungal disease [4, 6, 7].
In our previous studies [5, 7], we documented high prevalence of endodontic pathology among affected patients: chronic gangrenous pulpitis (59%), exacerbation of chronic periapical periodontitis (18%), and acute suppurative periapical periodontitis (23%). In the root canal ecosystem, various virulent bacterial species—including fastidious and nonculturable microorganisms—can be found. According to our investigations, microscopic examination of 117 pulp and root canal samples collected from patients with a history of COVID-19 revealed yeast-like fungal elements (Candida spp.) in 98 cases (83.8%) [5, 7]. This finding is most likely a consequence of prior SARS-CoV-2 infection, which, as reported by many researchers, results in immune system dysregulation [8]. The activation of opportunistic microorganisms, which are typically nonpathogenic in the oral cavity, may trigger various pathologies, particularly of the dental pulp and periodontium. These pathologies often present atypically in patients who had COVID-19 at various time intervals. This underscores the clinical rationale for expanding the standard dental evaluation in such patients to include additional diagnostic methods, such as bacterioscopic and bacteriological examination, prior to initiating endodontic treatment. In such clinical scenarios, dentists can select a more targeted and effective therapeutic approach aimed at eradicating specific pathogens, thereby minimizing the risk of delayed complications after endodontic treatment [5, 7].
This study aimed to reveal the characteristics of the mycotic flora of the endodontium in patients who previously had COVID-19.
MATERIALS AND METHODS
In our previous study [5, 7], bacterioscopic method was used to analyze the contents of root canals in patients who had recovered from COVID-19.
In the present investigation, bacteriological examination was performed in 49 patients with a history of COVID-19 (at various intervals post-infection) who were diagnosed with either acute suppurative periapical periodontitis, chronic gangrenous pulpitis, or exacerbation of chronic periapical periodontitis. The primary aim was to identify the presence of Candida spp. within the root canal system. The patients were preliminarily stratified into three groups based on their final diagnoses established using standard clinical examination and adjunctive diagnostic methods, including electric pulp testing, radiographic evaluation, and cold pulp testing. Group 1 comprised 27 patients (55.1%) diagnosed with chronic gangrenous pulpitis. Group 2 included 9 patients (18.37%) diagnosed with acute suppurative periapical periodontitis. Group 3 consisted of 13 patients (26.53%) with an exacerbation of chronic periapical periodontitis.
Root canal contents were sampled using sterile endodontic instruments. The collected material was thinly smeared onto glass slides, air-dried, and stained with 1% aqueous solutions of hematoxylin and eosin for 15–30 seconds. The slides were rinsed with running water, dried, and examined microscopically. The presence of fungal elements and coccal flora was assessed based on their quantity in the field of view and categorized as isolated elements, isolated clusters, abundant in the field of view, or diffusely covering the entire field.
The root canal contents served as the material for microbiological culture and were collected during mechanical instrumentation using sterile endodontic instruments. The samples were then transferred into tubes containing Amies transport medium (COPAN, Italy). This medium, a modified version of Stuart’s basic transport medium, maintains the viability of microorganisms such as Neisseria spp., Haemophilus spp., Corynebacterium, Streptococcus spp., Enterobacteriaceae, and Candida spp. for up to 3 days. However, to ensure optimal culture yield, inoculation was performed within the first 24 hours.
The collected samples were transported to the laboratory for culture on growth media. The samples were inoculated on Sabouraud dextrose agar in sterile Petri dishes by streaking the sample using a plastic spatula. The plates were incubated at 37 ± 1°C for 24–48 hours. Cultures were identified based on colony morphology and growth characteristics on solid media.
Sabouraud agar consists of enzymatic peptone digest, glucose, casein, and agar. Owing to its high glucose concentration and low pH, this medium exhibits selective properties favoring fungal growth. Additionally, potassium tellurite is included in the medium, which imparts a characteristic black pigmentation to Candida albicans colonies, in contrast to their usual white appearance.
The principle of the bacteriological method lies in the visual detection of microbial growth on culture media after inoculation of clinical specimens.
RESULTS AND DISCUSSION
The success of endodontic treatment for pulpitis and periapical periodontitis largely depends on the effectiveness of eradicating microbial and fungal agents. A key criterion for successful endodontic therapy is thorough chemo-mechanical debridement of the carious lesion and root canal system, aimed at complete elimination of bacteria, fungi, and their associated toxins.
According to our previous findings [5, 7], in patients with a history of COVID-19, bacterioscopic examination of dental pulp samples revealed yeast-like Candida fungi in 83.8% of cases and coccal flora in all cases. Bacterioscopy was selected as a diagnostic method because of its simplicity and accessibility for detecting fungal elements in pathological specimens.
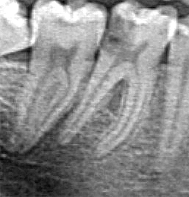
One illustrative case involved a 47-year-old patient who had recovered from COVID-19 less than a year prior to the dental appointment. Candida elements were detected in the specimen, and the diagnosis of chronic gangrenous pulpitis of tooth 46 (FDI/ISO notation) was established. A periapical radiograph of tooth 46 (see Fig. 1) and a microphotograph of the canal contents (see Fig. 2) are provided.
Fig. 1. Intraoral periapical radiograph of tooth 46.
Fig. 2. Bacterioscopic examination of the root canal contents of tooth 46. Candida spp. identified.
To determine the fungal species, a microbiological analysis of root canal contents was conducted in 49 patients, which not only confirmed the bacterioscopic findings but also allowed identifying the fungal species.
The first observation was performed in 48 hours, and final culture characterization was conducted on day 5.
In group 1 (chronic gangrenous pulpitis, n = 27), the initial observation revealed smooth, raised black colonies with regular margins and hemispherical shape measuring approximately 1.0–2.0 mm in diameter in 21 of 27 cases (77.8%) on Sabouraud agar (see Fig. 3). Final analysis confirmed that Candida albicans colonies were present in 100% of cases.
Fig. 3. Candida albicans colonies cultured on Sabouraud agar.
In group 2 (acute suppurative periapical periodontitis, n = 9), yeast-like colonies of Candida albicans were observed in all samples (100%) during the first observation. By day 5, the colonies exhibited more pronounced elevation.
In group 3 (exacerbation of chronic periapical periodontitis, n = 13), extensive growth of Candida albicans colonies was observed in 11 cases (84.6%) during the first examination, while no colony growth was noted in 2 cases (15.4%).
CONCLUSION
Bacteriological examination of root canal contents in patients with a history of COVID-19—regardless of the time elapsed since infection—revealed the presence of Candida spp. fungi. Bacteriological analysis confirmed the microscopic findings and identified the cultured colonies in Petri dishes as Candida albicans. Black colonies of Candida albicans were observed in 95.92% of cases, with only 2 negative samples (4.08%), potentially because of errors in sampling, transport, or incubation conditions.
Despite the wide array of endodontic treatment techniques and antimicrobial agents targeting root canal microbiota, patients with a prior history of COVID-19 often present treatment challenges and experience complications. These outcomes may be associated with the activity of unidentified microorganisms within the root canal system. This study demonstrated that, in the treatment of patients with a prior history of COVID-19, it is advisable to consider the elevated risk of infection of the periapical tissues by Candida spp., which necessitates additional diagnostic methods for assessing root canal contents in order to prevent complications during the management of deep carious lesions with pulpal or periapical involvement.
ADDITIONAL INFORMATION
Funding sources: This work was not supported by any external sources.
Conflict of interests: The authors declare no explicit or potential conflicts of interests associated with the study and publication of this article.
Author contributions: All authors affirm their compliance with the international ICMJE criteria (all authors made substantial contributions to the conceptualization, research, and manuscript preparation, and reviewed and approved the final version prior to publication).
The largest contribution is distributed as follows: E.G. Borisova—significant contribution to the conception and design of the study, preparation of the article and its critical revision in terms of significant intellectual content; A.L. Ermolovich—data collection and analysis, text writing; D.D. Semenova—data collection and analysis, text writing.
About the authors
Anna L. Ermolovich
Military Medical Academy named after S.M. Kirov
Author for correspondence.
Email: anya.ermolovich@mail.ru
ORCID iD: 0000-0001-5885-0559
SPIN-code: 8073-3050
Russian Federation, Saint Petersburg
Eleonora G. Borisova
Military Medical Academy named after S.M. Kirov
Email: pobedaest@mail.ru
ORCID iD: 0000-0003-2288-9456
SPIN-code: 3918-3090
MD, Dr. Sci. (Medicine), Professor
Russian Federation, Saint PetersburgDar’ja D. Semenova
Military Medical Academy named after S.M. Kirov
Email: malyshewa.dasha@mail.ru
ORCID iD: 0000-0003-1467-3321
SPIN-code: 7676-7360
MD, Cand. Sci. (Medicine)
Russian Federation, Saint PetersburgReferences
- Hüpsch-Marzec H, Dziedzic A, Skaba D, Tanasiewicz M. The spectrum of non-characteristic oral manifestations in COVID-19 — a scoping brief commentary. Med Pr. 2021;72(6):685–692. doi: 10.13075/mp.5893.01135
- Mitronin AV, Apresian NA, Ostanina DA, Yurtseva ED. Correlation between oral health and severity of respiratory coronavirus infection COVID-19. Endodontics Today. 2021;19(1):18–22. EDN: YDFBKO doi: 10.36377/1683-2981-2021-19-1-18-22
- Brandini DA, Takamiya AS, Thakkar P, et al. Covid-19 and oral diseases: crosstalk, synergy or association? Rev Med Virol. 2021;31(6):1–15. doi: 10.1002/rmv.2226
- Tsarev VN, Mitronin AV, Podporin MS, et al. Combined endodontic treatment: microbiological aspects by using scanning electronical microscopy. Endodontics Today. 2021;19(1):11–17. EDN: XRTLQU doi: 10.36377/1683-2981-2021-19-1-11-17
- Ermolovich AL, Borisova EG, Zheleznyak VA, Khrustaleva JuA. The significance of bacterioscopy in the complex of diagnostics of complicated forms of dental caries of patients who previously have COVID-19. Applied and It Research in Medicine. 2023;26(3):41–46. EDN: EPYSIB doi: 10.18499/2070-9277-2023-26-3-41-46
- Razumova SN, Brago AS, Barakat HB, et al. Microbiological study of the efficiency of root canal treatment with Er:yYAG laser. Biomedical Photonics. 2019;8(4):11–16. EDN: OGIPMC doi: 10.24931/2413-9432-2019-8-4-11-16
- Borisova EG, Ermolovich AL. Diagnosis and treatment of chronic gangrenous pulpitis in the detection of mycotic flora after a coronovirus infection. Medical & Pharmaceutical journal Pulse. 2023;25(2):11–16. EDN: QIBXWH doi: 10.26787/nydha-2686-6838-2023-25-2-11-16
- Soldatov IK, Juravleva LN, Tegza NV, et al. Scientometric analysis of dissertations on pediatric dentistry in the Russian Federation. Russian Journal of Dentistry. 2023;27(6):571–580. EDN: QINWXB doi: 10.17816/dent624942
Supplementary files






