In vivo biodegradation rates of domestic membranes for guided tissue regeneration
- 作者: Stepanov A.G.1, Apresyan S.V.1, Zakharyan G.K.1, Bersenev S.V.1
-
隶属关系:
- Peoples’ Friendship University of Russia named after Patrice Lumumba
- 期: 卷 28, 编号 4 (2024)
- 页面: 337-347
- 栏目: Experimental and Theoretical Investigations
- ##submission.dateSubmitted##: 27.04.2024
- ##submission.dateAccepted##: 03.06.2024
- ##submission.datePublished##: 14.11.2024
- URL: https://rjdentistry.com/1728-2802/article/view/630662
- DOI: https://doi.org/10.17816/dent630662
- ID: 630662
如何引用文章
详细
Background: Experimental research is required to provide guidelines for the use of domestic biodegradable membranes.
Aim: To assess the swelling index and biodegradation rate of barrier membranes (non-collagen and collagen) for guided tissue regeneration in vitro, as well as their biocompatibility in vivo.
Materials and Methods: The swelling index of two types of membranes was assessed after 24 h of exposure to phosphate-buffered saline (PBS) at different pH levels (6.50 and 7.37). The spontaneous degradation rate of the two types of membranes was assessed; changes in their weight following exposure to PBS at different pH levels (6.50 and 7.37) were measured at predetermined time points. Moreover, the biocompatibility of two membrane samples following subcutaneous implantation in B/D male mice was assessed.
Results: The swelling index of non-collagen membranes was higher at neutral pH compared to acidic pH: 7.7 for pH 7.37 vs 7.2 for pH 6.50. For collagen membranes, the swelling index was pH-independent. There were no differences in membrane weight loss following exposure to PBS at pH 6.5 during 8 weeks. During the first two weeks, collagen membranes had a higher resorption rate at pH 7.37 than non-collagen membranes. Following subcutaneous implantation of both membranes, histopathological specimens collected two weeks after surgery revealed the formation of foreign body granulomas with well-defined boundaries around the implants. Macrophages, monocytes, single giant cells of foreign bodies, and Pirogov–Langhans giant cells were detected, with the number gradually increasing over time.
Conclusion: Non-collagen membranes had a larger swelling index than collagen membranes, which depended on pH. At pH 7.37, collagen membranes had a higher resorption rate during the first two weeks compared to non-collagen membranes. In vitro weight loss after 8 weeks was 20–30% for both membranes, regardless of pH. Subcutaneous implantation in mice confirmed the biocompatibility of the membranes. The biodegradation rate of non-collagen membranes was higher than that of collagen membranes.
全文:
ОБОСНОВАНИЕ
В настоящее время материаловедами в России и за рубежом активно разрабатываются и совершенствуются биорезорбируемые и нерезорбируемые барьерные мембраны для направленной регенерации костной ткани [1–3]. Область применения таких мембран — стоматология, челюстно-лицевая хирургия [4]. В клинике предпочтение отдаётся резорбируемым мембранам, так как при их использовании отпадает необходимость повторного хирургического вмешательства, связанного с необходимостью их извлечения у пациента, снижается риск послеоперационных осложнений [1, 5–7]. Спектр биоматериалов, применяемых для изготовления резорбируемых мембран, достаточно широк [2, 8, 9]. Среди них — материалы природного происхождения, такие как бесклеточный дермальный матрикс, коллагены, хитозан, твёрдая мозговая оболочка, и синтетические полимеры — полиуретан, полимолочная кислота, сополимеры из полимолочной и гликолиевых кислот [10–13]. Среди требований, предъявляемых к таким мембранам, — умеренная скорость биодеградации, биосовместимость, барьерные функции, способность поддерживать регенерацию костной ткани [14].
В 2016 году компания «Фибрасофт» (Россия) разработала барьерную биорезорбируемую мембрану, изготавливаемую методом электроспиннинга в следующих вариантах исполнения: «Коллагеновая» и «Бесколлагеновая». В коллагеновую мембрану, где основным элементом являлся коллаген, были вплетены нити полилактида для улучшения гидрофильности и нити фиброина шёлка, повышающие эластичность и гибкость. В бесколлагеновую мембрану, где основным элементом являлся полилактид, были вплетены нити фиброина шёлка с аналогичной целью.
В 2020 году С.В. Апресян и соавт. [15] обосновали токсикологическую безопасность и эффективность применения данных биорезорбируемых мембран в эксперименте in vivo, в результате которого доказали, что данные мембраны обладают достаточной химической стабильностью, не оказывают неблагоприятного воздействия на организм экспериментальных животных и не обладают сенсибилизирующим действием.
В 2023 году Г.К. Захаряном и соавт. [16] был проведён сравнительный анализ физико-механических свойств данных мембран путём определения в эксперименте (при статических нагрузках на растяжение и разрыв) условной прочности деформации разрушения и предельного модуля упругости указанных изделий медицинского назначения.
Для формирования клинических рекомендаций по использованию биорезорбируемых мембран, помимо проведённых физико-механических испытаний, необходимо было осуществить экспериментальные исследования.
Цель исследования — изучить в экспериментах in vitro степень набухания, динамику биодеградации двух типов барьерных мембран для направленной регенерации (бесколлагеновой и коллагеновой) и их биосовместимость в экспериментах in vivo.
МАТЕРИАЛЫ И МЕТОДЫ
Работа выполнена на двух типах барьерных мембран для направленной регенерации («Фибрасофт», Россия): 1) «Бесколлагеновая» (размер — 16×22 мм, толщина — 0,2±0,1 мм, масса — 17±5 мг), состоящая из фиброина шёлка (50%), поли-D,L-лактида марки PDLLA (50%); 2) «Коллагеновая» (размер — 16×22 мм, толщина — 0,2±0,1 мм, масса — 17±5 мг), состоящая из бычьего коллагена (50%), фиброина шёлка (25%), поли-D,L-лактида марки PDLLA (25%).
Определение in vitro степени набухания мембран для направленной регенерации
Степень набухания (водопоглощения) мембран определяли через 24 ч их выдержки в фосфатно-солевом буфере (ФСБ) при значениях рН 6,50 и 7,37. Каждую мембрану размером 16×22 мм нарезали на 6 фрагментов; каждый фрагмент помещали в промаркированные криопробирки с заранее определённой массой; каждая проба была представлена триплетом. Повторно взвешивали пробирки с образцами и определяли массу образца. Затем в каждую пробирку добавляли по 1 мл ФСБ определённого рН, переносили их в термостат (+37 °С) и инкубировали в течение 24 ч. По истечении указанного времени мембраны вынимали из пробирок, взвешивали, значения фиксировали в рабочем журнале.
Методика исследования in vitro спонтанной деградации мембран для направленной регенерации
Оценку деградации мембран проводили в асептических условиях при показателях рН ФСБ 7,37 и 6,50 в сроки 1, 2, 4 и 8 нед выдержки в буферном растворе. Подготовку образцов мембран осуществляли так же, как при определении степени набухания. Затем в каждую пробирку добавляли по 1 мл ФСБ определённого рН, переносили их в термостат (+37 °С) и инкубировали согласно протоколу эксперимента в течение 1, 2, 4 и 8 нед. Каждая проба была представлена в триплете. В указанные сроки наблюдения из пробирок вынимали образцы мембран, помещали их в чашку Петри, удаляли излишки жидкости с помощью фильтровальной бумаги, помещали в 24-луночный планшет с подписанными лунками (согласно номеру образца) и высушивали при +37 °С в термостате в течение 5 сут до полного высыхания. Далее образцы мембран взвешивали, результат записывали в рабочий журнал.
Оценка биосовместимости in vivo мембран для направленной регенерации
Мышам-самцам линии B/D массой тела 18–20 г под общим наркозом на спине в области лопаток делали поперечный разрез кожи, осторожно отделяли её от прилегающего слоя подкожной клетчатки и мышц с помощью анатомического пинцета и в образованный «карман» имплантировали предварительно смоченный физиологическим раствором образец мембраны. На область раны накладывали операционные швы, после чего животных оставляли под наблюдением. В определённые сроки после операции (2, 4, и 8 нед) мышей выводили из эксперимента путём эвтаназии, по три головы на каждый срок. Образцы материалов с участком кожи извлекали, проводили их визуальную оценку с помощью стереомикроскопа и цифровой видеокамеры, после чего фиксировали в 10% растворе забуференного формалина и изготавливали парафиновые блоки. Гистологические препараты окрашивали гематоксилином и эозином.
Статистическая обработка результатов
Обработку полученных результатов проводили стандартными методами вариационной статистики с использованием пакета программ Microsoft Excel 2000. Статистическую значимость различий значений оценивали с использованием параметрического t-критерия Стьюдента. Статистически значимыми считали различия при р <0,05.
РЕЗУЛЬТАТЫ
Оценка степени набухания мембран для направленной регенерации
При оценке степени набухания бесколлагеновой мембраны для направленной регенерации обнаружено, что этот показатель зависит от величины рН: при нейтральном значении рН коэффициент набухания был выше по сравнению с кислым значением: 7,7 — при рН 7,37 и 7,2 — при рН 6,50 соответственно. Для коллагеновой мембраны коэффициент набухания не зависел от величины рН и составлял 5,5–5,6 для рН 6,50 и 7,37 соответственно. В то же время выявлена зависимость степени набухания мембран от их состава: образцы, состоящие в равных пропорциях из фиброина шёлка (50%) и поли-D,L-лактида (50%), набухали существенно больше по сравнению с мембранами, содержащими в своем составе коллаген (50%), фиброин шёлка (25%) и поли-D,L-лактид (25%) (табл. 1). Вероятно, коллаген сдерживает процесс гидратации образцов мембран, в то время как мембраны, состоящие из фиброина шёлка и поли-D,L-лактида, активно впитывают ФСБ.
Таблица 1. Коэффициент набухания образцов мембран через 24 ч их выдержки в забуференном фосфатно-солевом буфере при разных показателях рН, M±m
Table 1. Swelling coefficient of membrane samples after 24 hours of exposure in buffered phosphate-salt buffer at different pH values (M±m)
Наименование образца материала | рН фосфатно-солевого буфера | Вес обезвоженного образца, мг | Вес набухшего образца, мг | Коэффициент набухания |
Мембрана безколлагеновая | 6,5 | 7,5±0,3 | 61,6±0,6 | 7,2 |
7,37 | 6,7±0,3 | 58,3±1,7 | 7,7 | |
Мембрана коллагеновая | 6,5 | 6,7±0,3 | 43,8±1,2 | 5,5 |
7,37 | 6,4±0,5 | 42,3±3,7 | 5,6 |
Оценка скорости деградации мембран для направленной регенерации в экспериментах in vitro
Для значения рН 6,50 показатель потери массы бесколлагеновой мембраны не зависел от срока выдержки в ФСБ и колебался от 18,4 до 26,0% с медианой 20,6%. При значении рН 7,37 в первые 2 нед выдержки в ФСБ потеря массы данного типа мембраны также составляла порядка 20% и увеличилась до 28% в сроки 4 и 8 нед наблюдения с медианой 24,6% (табл. 2). Зависимости скорости деградации in vitro бесколлагеновой мембраны от значения рН ФСБ не выявлено.
Таблица 2. Деградация in vitro бесколлагеновой мембраны для направленной регенерации при выдержке в фосфатно-солевом буфере при разных показателях рН в динамике наблюдения
Table 2. Degradation in vitro of a collagen-free membrane for directed regeneration during exposure in phosphate-salt buffer at different pH values in the dynamics of observation
Показатель рН | рН 6,50 | рН 7,37 | ||||||
Сроки наблюдения, нед | 1 | 2 | 4 | 8 | 1 | 2 | 4 | 8 |
Вес образцов мембран (n=3) до выдержки в растворе ФСБ, мг (M±m) | 8,3±1,1 | 7,7±0,3 | 7,6±1,8 | 6,2±1,2 | 8,0±0,7 | 7,0±1,5 | 6,8±1,1 | 4,5±0,5 |
Bес образцов мембран (n=3) после их выдержки в растворе ФСБ и дегидратации, мг (M±m) | 6,5±1,0 | 5,7±0,4 | 6,2±1,6 | 5,0±1,1 | 6,3±0,7 | 5,6±0,5 | 4,9±0,9 | 3,2±0,4 |
Средний показатель потери веса образцов мембран, % | 21,7 | 26,0 | 18,4 | 19,4 | 21,2 | 20,0 | 27,9 | 28,9 |
Медиана показателя потери веса образцов мембран, % (min÷max) | 20,6 (18,4÷26,0) | 24,6 (20,0÷28,9) | ||||||
Примечание. ФСБ — фосфатно-солевой буферный раствор.
Note. ФСБ — phosphate-salt buffer.
В ходе анализа процесса деградации in vitro коллагеновой мембраны в ФСБ при рН 6,50 обнаружено, что наибольшая потеря массы (32,8%) зафиксирована через 1 нед выдержки в буфере. В последующие сроки потеря массы не нарастала, медиана этого показателя составила 29,6%. После выдержки мембраны этого типа в ФСБ с нейтральным значением (рН 7,37) выявлена более выраженная и близкая потеря массы образцов в сроки 1, 2 и 4 нед наблюдения: 32,4; 39,7 и 34,8% соответственно, с медианой 33,6%. Как и в случае бесколлагеновых мембран, не обнаружено статистически значимой зависимости скорости биодеградации коллагеновых мембран от значения рН буфера (табл. 3).
Таблица 3. Деградация in vitro коллагеновой мембраны для направленной регенерации при выдержке в фосфатно-солевом буфере разного рН в динамике наблюдения
Table 3. Degradation in vitro of collagen membrane for directed regeneration during exposure in phosphate-salt buffer of different pH during the observation period
Показатель рН | рН 6,50 | рН 7,37 | ||||||
Сроки наблюдения, нед | 1 | 2 | 4 | 8 | 1 | 2 | 4 | 8 |
Вес образцов мембран до замачивания, мг (M±m) | 6,7±0,5 | 5,2±0,8 | 4,3±0,9 | 6,9±0,5 | 6,8±1,6 | 6,3±1,0 | 7,4±0,9 | 6,6±1,5 |
Bес образцов мембран (n=3) после их выдержки в растворе ФСБ и дегидратации, мг (M±m) | 4,5±0,6 | 3,7±0,6 | 3,3±0,6 | 4,8±0,2 | 4,6±1,1 | 3,8±0,6 | 5,3±0,6 | 4,3±1,0 |
Средний показатель потери веса образцов мембран, % | 32,8 | 28,8 | 23,3 | 30,4 | 32,4 | 39,7 | 28,4 | 34,8 |
Медиана показателя потери веса образцов мембран, % (min÷max) | 29,6 (23,3÷32,8) | 33,6 (28,4÷39,7) | ||||||
Примечание. ФСБ — фосфатно-солевой буфер.
Note. ФСБ — phosphate-salt buffer.
В ходе сравнения скорости деградации двух типов образцов мембран для направленной регенерации при кислом и нейтральном значении рН не обнаружено статистически значимых различий между показателями потери массы бесколлагеновой и коллагеновой мембран (в случае их выдержке в растворе ФСБ при рН 6,50 на протяжении 8 нед). Показана статистически значимая разница через 1 и 2 нед эксперимента при рН 7,37: в эти сроки наблюдения коллагеновая мембрана деградировала быстрее по сравнению с бесколлагеновой (рис. 1).
Рис. 1. Динамика деградации in vitro образцов бесколлагеновой (1) и коллагеновой мембраны (2) в фосфатно-солевом буфере при рН 6,50 (a) и рН 7,37 (b).
Fig. 1. Dynamics degradation in vitro of collagen-free (1) and collagen membrane (2) samples in phosphate-salt buffer at pH 6.50 (a) and pH 7.37 (b).
Оценка биосовместимости мембран для направленной регенерации в экспериментах in vivo через 2, 4 и 8 нед после имплантации
На макропрепаратах подкожной имплантации образцов бесколлагеновой и коллагеновой мембран во все сроки наблюдения отсутствуют признаки воспаления, отёка и других нежелательных реакций. Мембраны покрыты тонкой прозрачной васкуляризированной соединительнотканной капсулой. Через 8 нед после имплантации можно отметить их незначительную контракцию, выражающуюся в некотором изменении формы и площади мембран (рис. 2).
Рис. 2. Макропрепарат мембран для направленной регенерации при подкожной имплантации мышам в разные сроки наблюдения.
Fig. 2. Macro preparation of membranes for directed regeneration by subdermal implantation in mice at different follow-up times.
На гистопрепарате подкожной имплантации бесколлагеновой мембраны через 2 нед по периметру вокруг неё визуализируется формирование гранулёмы по типу реакции на инородное тело, с чёткими границами. Наблюдается появление единичных гигантских многоядерных клеток инородных тел и клеток Пирогова–Лангханса по поверхности мембраны. Материал мембраны однородной структуры равномерно разрыхлён (рис. 3).
Рис. 3. Микрофотография бесколлагеновой мембраны через 2 нед после её подкожной имплантации, окраска — азур-эозин: 1 — гранулёма инородного тела; 2 — бесколлагеновая мембрана; 3 — кровеносные сосуды; 4 — гигантские клетки инородных тел; 5 — гигантские клетки Пирогова–Лангханса.
Fig. 3. Microphotograph of collagen-free membrane after 2 weeks its subdermal implantation, staining — azure-eosin: 1 — foreign body granuloma; 2 — collagen-free membrane; 3 — blood vessels; 4 — foreign body giant cells; 5 — Pirogov–Langhans giant cells.
Через 4 нед после имплантации гранулёма вокруг мембраны — неоднородная по толщине: достаточно тонкая с одной стороны и неравномерно утолщённая — с оппозитной. В этот срок на гистопрепаратах визуализируется большое количество моноцитов, макрофагов, гигантских клеток Пирогова–Лангханса, гигантских клеток инородных тел, отмечается активная васкуляризация. Процесс биодеградации бесколлагеновой мембраны выражается в сокращении её площади, вероятно за счёт активного фагоцитоза продуктов её распада макрофагами и гигантскими клетками инородных тел (рис. 4).
Рис. 4. Микрофотография бесколлагеновой мембраны через 4 нед после её подкожной имплантации, окраска — азур-эозин: 1 — гранулёма инородного тела; 2 — бесколлагеновая мембрана; 3 — гигантские клетки Пирогова–Лангханса; 4 — гигантские клетки инородных тел; 5 — кровеносные сосуды.
Fig. 4. Microphotograph of the collagen-free membrane after 4 weeks its subdermal implantation, staining — azur-eosin: 1 — foreign body granuloma; 2 — collagen-free membrane; 3 — Pirogov–Langhans giant cells; 4 — foreign body giant cells; 5 — blood vessels.
Через 8 нед наблюдения процесс биодеградации мембраны практически завершён; место имплантации замещено гранулёмой с многочисленными участками скоплений гигантских клеток Пирогова–Лангханса. На препарате также визуализируются кровеносные сосуды разного диаметра (рис. 5).
Рис. 5. Микрофотография бесколлагеновой мембраны через 8 нед после её подкожной имплантации, окраска — азур-эозин: 1 — гранулёма инородного тела; 2 — остатки бесколлагеновой мембраны; 3 — гигантские клетки инородных тел; 4 — гигантские клетки Пирогова–Лангханса; 5 — кровеносные сосуды.
Fig. 5. Microphotograph of collagen-free membrane after 8 weeks its subdermal implantation, staining — azure-eosin: 1 — foreign body granuloma; 2 — remains of collagen-free membrane; 3 — giant cells of foreign bodies; 4 — giant cells of Pirogov–Langhans; 5 — blood vessels.
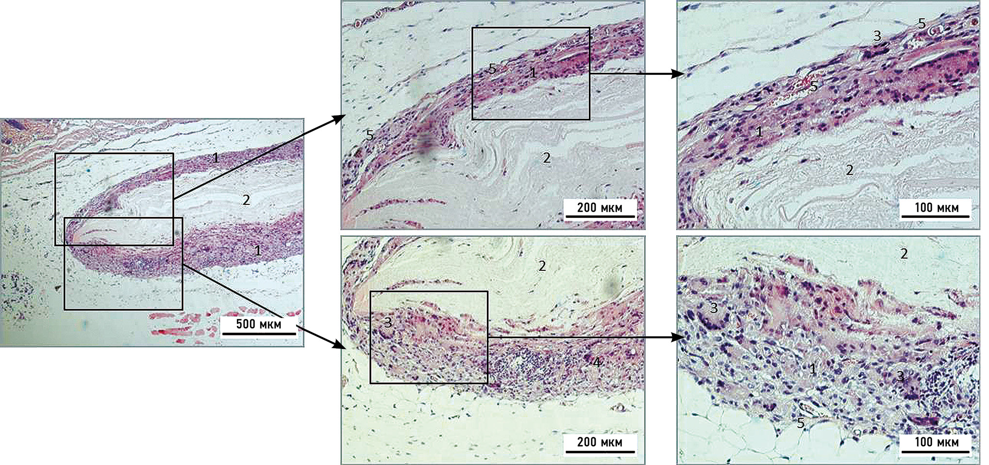
Коллагеновая мембрана через 2 нед после подкожной имплантации окружена неоднородной по толщине гранулёмой, которая умеренно инфильтрирована макрофагами и моноцитами. В её толще визуализируются гигантские клетки Пирогова–Лангханса, гигантские клетки инородных тел и сосуды (рис. 6).
Рис. 6. Микрофотография коллагеновой мембраны через 2 нед после её подкожной имплантации, окраска — азур-эозин: 1 — гранулёма инородного тела; 2 — коллагеновая мембрана; 3 — гигантские клетки Пирогова–Лангханса; 4 — кровеносные сосуды.
Fig. 6. Microphotograph of collagen membrane after 2 weeks its subdermal implantation, staining — azur-eosin: 1 — granuloma of foreign body; 2 — collagen membrane; 3 — giant cells of Pirogov–Langhans; 4 — blood vessels.
На следующем сроке наблюдения (4 нед) фрагменты коллагеновой мембраны окружены гранулёмой с большим количеством макрофагов, гигантских клеток инородных тел, гигантских клеток Пирогова–Лангханса и кровеносных сосудов (рис. 7).
Рис. 7. Микрофотография коллагеновой мембраны через 4 нед после её подкожной имплантации, окраска — азур-эозин: 1 — гранулёма инородного тела; 2 — остатки коллагеновой мембраны; 3 — гигантские клетки Пирогова–Лангханса; 4 — гигантские клетки инородных тел; 5 — кровеносные сосуды.
Fig. 7. Microphotograph of collagen membrane after 4 weeks its subdermal implantation, staining — azure-eosin: 1 — foreign body granuloma; 2 — remains of collagen membrane; 3 — giant cells of Pirogov–Langhans; 4 — giant cells of foreign bodies; 5 — blood vessels.
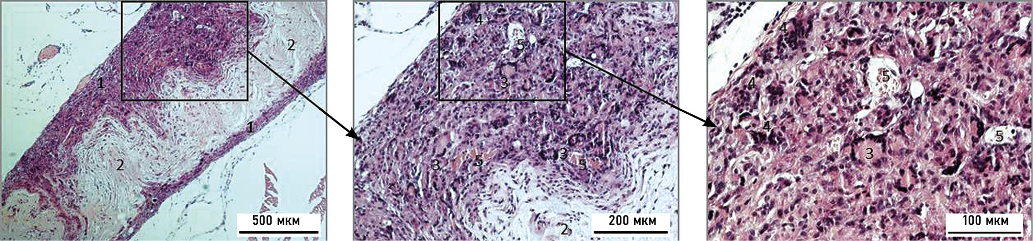
Через 8 нед после имплантации процесс биорезорбции коллагеновой мембраны не завершён: она занимает приблизительно треть от исходной площади; окружена многочисленные клетками Пирогова–Лангханса, гигантскими клетками инородных тел, кровеносными сосудами (рис. 8).
Рис. 8. Микрофотография коллагеновой мембраны через 8 нед после её подкожной имплантации, окраска — азур-эозин: 1 — гранулёма инородного тела; 2 — коллагеновая мембрана; 3 — гигантские клетки Пирогова–Лангханса; 4 — гигантские клетки инородных тел; 5 — кровеносные сосуды.
Fig. 8. Microphotograph of collagen membrane after 8 weeks its subdermal implantation, staining — azure-eosin: 1 — foreign body granuloma; 2 — collagen membrane; 3 — giant cells of Pirogov–Langhans; 4 — giant cells of foreign bodies; 5 — blood vessels.
Таким образом, в результате подкожной имплантации бесколлагеновой и коллагеновой мембран уже через 2 нед после операции вокруг них формируются гранулёмы инородных тел с чётко очерченными границами, определяются макрофаги, моноциты, единичные гигантские клетки инородных тел и гигантские клетки Пирогова–Лангханса, количество которых с увеличением сроков наблюдения постепенно нарастает. Это свидетельствует о том, что данные мембраны при подкожной имплантации вызывают активацию клеток врождённого иммунитета и прежде всего — макрофагов, которые мигрируют в место имплантации, пролиферируют и трансформируются либо в гигантские клетки инородных тел, либо в клетки Пирогова–Лангханса. Эти гигантские клетки наряду с макрофагами и моноцитами формируют основной клеточный ландшафт в месте имплантации мембран и свидетельствуют, во-первых, о реакции окружающих тканей на данный вид мембран и, во-вторых, об активной утилизации продуктов их биодеградации. Кроме того, гигантские клетки Пирогова-Лангханса синтезируют большое количество факторов роста и противовоспалительных цитокинов, принимают активное участие в регенеративных процессах, т.е. нарастание их количества в гранулёмах — хороший прогностический признак.
ЗАКЛЮЧЕНИЕ
Степень набухания бесколлагеновой мембраны выше по сравнению с коллагеновой мембраной и зависит от величины рН.
Из результатов исследования биодеградации данных мембран in vitro следует, что коллагеновая мембрана при значении рН 7,37 имеет несколько бóльшую скорость резорбции в первые 2 нед наблюдения по сравнению с бесколлагеновой. Потеря массы через 8 нед для бесколлагеновой и коллагеновой мембран составляет 20–30% вне зависимости от величины рН.
Полученные данные свидетельствуют о биосовместимости коллагеновых и бесколлагеновых мембран. Скорость деградации бесколлагеновых мембран несколько выше; при подкожной имплантации через 8 нед бóльшая часть этих мембран биорезорбирована и на месте их имплантации визуализируются рекрутированные в зону имплантации клетки: гигантские клетки Пирогова–Лангханса, гигантские клетки инородных тел, макрофаги, моноциты. В эти же сроки на 30–40% площади коллагеновые мембраны остаются нерезорбируемыми.
ДОПОЛНИТЕЛЬНАЯ ИНФОРМАЦИЯ
Источник финансирования. Авторы заявляют об отсутствии внешнего финансирования при проведении исследования и подготовке публикации.
Конфликт интересов. Авторы декларируют отсутствие явных и потенциальных конфликтов интересов, связанных с проведённым исследованием и публикацией настоящей статьи.
Вклад авторов. А.Г. Степанов — разработка дизайна и курация лабораторных и экспериментальных исследований, написание и редактирование статьи; С.В. Апресян — организация и курация лабораторных и экспериментальных исследований, написание и редактирование статьи; Г.К. Захарян — обзор литературы, сбор и анализ литературных источников, участие в проведении лабораторных и экспериментальных исследований, статистическая обработка данных, написание текста статьи; С.В. Берсенев — обзор литературы, сбор и анализ литературных источников, написание текста статьи. Все авторы подтверждают соответствие своего авторства международным критериям ICMJE (все авторы внесли существенный вклад в разработку концепции, проведение исследования и подготовку статьи, прочли и одобрили финальную версию перед публикацией).
ADDITIONAL INFORMATION
Funding source. This study was not supported by any external sources of funding.
Competing interests. The authors declare that they have no competing interests.
Authors’ contribution. A.G. Stepanov — design development and curation of laboratory and experimental research, writing and editing the article; S.V. Apresyan — organization and curation of laboratory and experimental research, writing and editing the article; G.K. Zakharyan — literature review, collection and analysis of literary sources, participation in laboratory and experimental research, statistical data processing, writing of the text of the article; S.V. Bersenev — literature review, collection and analysis of literary sources, writing of the text of the article. All authors confirm that their authorship meets the international ICMJE criteria (all authors have made a significant contribution to the development of the concept, research and preparation of the article, read and approved the final version before publication).
作者简介
Alexandr Stepanov
Peoples’ Friendship University of Russia named after Patrice Lumumba
编辑信件的主要联系方式.
Email: stepanovmd@list.ru
ORCID iD: 0000-0002-6543-0998
SPIN 代码: 5848-6077
MD, Dr. Sci. (Medicine), Associate Professor
俄罗斯联邦, MoscowSamvel Apresyan
Peoples’ Friendship University of Russia named after Patrice Lumumba
Email: dr.apresyan@mail.ru
ORCID iD: 0000-0002-3281-707X
SPIN 代码: 6317-9002
MD, Dr. Sci. (Medicine), Associate Professor
俄罗斯联邦, MoscowGeorgii Zakharyan
Peoples’ Friendship University of Russia named after Patrice Lumumba
Email: dr.zakharyan@mail.ru
ORCID iD: 0009-0003-0031-670X
SPIN 代码: 1623-9505
俄罗斯联邦, Moscow
Sergey Bersenev
Peoples’ Friendship University of Russia named after Patrice Lumumba
Email: bsv5252@yandex.ru
ORCID iD: 0000-0001-9798-0241
SPIN 代码: 7273-0266
MD, Cand. Sci. (Medicine), Associate Professor
俄罗斯联邦, Moscow参考
- Scantlebury TV. 1982–1992: a decade of technology development for guided tissue regeneration. J Periodontol. 1993;64 Suppl. 11S:1129–1137. doi: 10.1902/jop.1993.64.11s.1129
- Gentile P, Chiono V, Tonda-Turo C, et al. Polymeric membranes for guided bone regeneration. Biotechnol J. 2011;6(10):1187–1197. doi: 10.1002/biot.201100294
- Zakharyan GK, Stepanov AG, Apresyan SV. Barrier membrane in dental practice. Russian Bulletin of Dental Implantology. 2022;(3-4):66–75. EDN: MQSLIK
- Khojasteh A, Kheiri L, Motamedian SR, Khoshkam V. Guided bone regeneration for the reconstruction of alveolar bone defects. Ann Maxillofac Surg. 2017;7(2):263–277. doi: 10.4103/ams.ams_76_17
- Bartee BK. Evaluation of a new polytetrafluoroethylene guided tissue regeneration membrane in healing extraction sites. Compend Contin Educ Dent. 1998;19(12):1256–1258, 1260, 1262–1264.
- Watzinger F, Luksch J, Millesi W, et al. Guided bone regeneration with titanium membranes: a clinical study. Br J Oral Maxillofac Surg. 2000;38(4):312–315. doi: 10.1054/bjom.1999.0228
- Rakhmatia YD, Ayukawa Y, Furuhashi A, Koyano K. Current barrier membranes: titanium mesh and other membranes for guided bone regeneration in dental applications. J Prosthodont Res. 2013;57(1):3–14. doi: 10.1016/j.jpor.2012.12.001
- Lundgren D, Sennerby L, Falk H, et al. The use of a new bioresorbable barrier for guided bone regeneration in connection with implant installation. Case reports. Clin Oral Implants Res. 1994;5(3):177–184. doi: 10.1034/j.1600-0501.1994.050309.x
- Mayfield L, Nobréus N, Attström R, Linde A. Guided bone regeneration in dental implant treatment using a bioabsorbable membrane. Clin Oral Implants Res. 1997;8(1):10–17. doi: 10.1111/j.1600-0501.1997.tb00002.x
- Geurs NC, Korostoff JM, Vassilopoulos PJ, et al. Clinical and histologic assessment of lateral alveolar ridge augmentation using a synthetic longterm bioabsorbable membrane and an allograft. J Periodontol. 2008;79(7):1133–1140. doi: 10.1902/jop.2008.070595
- Simion M, Scarano A, Gionso L, Piattelli A. Guided bone regeneration using resorbable and nonresorbable membranes: a comparative histologic study in humans. Int J Oral Maxillofac Implants. 1996;11(6):735–742.
- Sung HJ, Meredith C, Johnson C, Galis ZS. The effect of scaffold degradation rate on three-dimensional cell growth and angiogenesis. Biomaterials. 2004;25(26):5735–542. doi: 10.1016/j.biomaterials.2004.01.066
- Casalini T, Rossi F, Castrovinci A, Perale G. A perspective on polylactic acid-based polymers use for nanoparticles synthesis and applications. Front Bioeng Biotechnol. 2019;7:259. doi: 10.3389/fbioe.2019.00259
- Metsuku I, Muraev AA, Gazhva YuV, Ivashkevich SG. Comparative characteristics of various types of membranes used for bone grafting and guided tissue regeneration in dentistry and maxillofacial surgery. Russian Journal of Dentistry. 2017;21(5):291–296. EDN: ZSJHKZ doi: 10.18821/1728-2802-2017-21-5-291-296
- Apresyan SV, Stepanov AG, Yakhyaev IM, et al. Experimental substantiation of the effectiveness of using a new domestic bioresorbable membrane for directed tissue regeneration. Russian Bulletin of Dental Implantology. 2020;(3–4):25–31. EDN: PWEWWR
- Zakharyan GK, Stepanov AG, Apresyan SV. Physical and mechanical properties bioresorbable membranes used for guided bone regeneration. Russian Bulletin of Dental Implantology. 2023;(2):18–24. EDN: YFYOEY
补充文件











