Comparative assessment of cyanoacrylate adhesive and sutures for closing donor sites of the hard palate mucosa during a single surgical procedure: a clinical case
- Authors: Osmanova N.D.1
-
Affiliations:
- LLC “Okodent”
- Issue: Vol 29, No 2 (2025)
- Pages: 198-205
- Section: Case reports
- Submitted: 15.01.2025
- Accepted: 11.02.2025
- Published: 29.04.2025
- URL: https://rjdentistry.com/1728-2802/article/view/646219
- DOI: https://doi.org/10.17816/dent646219
- ID: 646219
Cite item
Abstract
Introduction: Suturing is still the most common wound closure method in dentistry. However, this approach has a number of drawbacks, including the risk of inflammation, delayed healing, and inconveniences for patients, necessitating the research of alternative techniques. Because of their quick polymerization in a moist environment and good biocompatibility, cyanoacrylate adhesives are considered a promising alternative option.
Case description: Two donor sites of the hard palate mucosa were closed during a single surgical procedure: one using “Sulfacrylate” cyanoacrylate adhesive and the other by suturing. Clinical assessment and photo documentation were performed, and the patient’s subjective perception was analyzed 7 days and 1.5 years after surgery to compare the healing of the hard palate mucosa with different wound closure approaches.
The site where the adhesive was applied showed faster healing, minimal inflammation, and excellent esthetic results without scarring. The procedure time for the adhesive was significantly shorter than for suturing. The patient reported less discomfort on the side where the adhesive was applied.
Conclusion: “Sulfacrylate” cyanoacrylate adhesive is an effective and safe alternative to conventional suturing, with improved healing and comfort for patients. Further real-world studies of this approach are recommended.
Full Text
Актуальность
В настоящее время наложение швов является наиболее распространённым методом закрытия ран в полости рта, однако зарегистрированные недостатки стимулировали поиск новых методов и материалов. В целом раны имеют высокий потенциал для повторного инфицирования в процессе заживления (часто наблюдается в полости рта) из-за образования биоплёнок и накопления пищи, что усугубляется и наличием швов [1]. Наложение швов проводится с анестезией и использованием игл, занимает значительно большее количество времени и требует повторного визита для снятия швов, что увеличивает дискомфорт пациента. Существует также риск случайных ошибок врачей и вспомогательного персонала [1–4]. Проблемы, связанные с несовместимостью шовного материала с тканями, включая его восприятие как инородного тела, что способствует развитию хронического воспаления и замедляет процессы регенерации, остаются актуальными. Кроме того, ранняя биодеградация рассасывающихся нитей может приводить к расхождению краёв раны и формированию лигатурных свищей. Ишемия краёв раны, вызванная сдавлением тканей швом, нередко приводит к деформации тканей, образованию «шовных меток» и послеоперационных рубцов, что особенно критично для открытых участков тела. Эти вопросы до сих пор требуют решения [5].
В последние годы тканевые клеи рассматриваются как хорошая альтернатива традиционным швам, хотя для их успешного применения необходимы следующие свойства: достаточная адгезионная прочность, полимеризация во влажной среде, биосовместимость, стабильность и удобное время работы [6]. В настоящее время в медицине используются синтетические соединения на основе полиуретана, цианакрилата или же на основе природных соединений, обладающих адгезивными свойствами, — фибрина, коллагена. В нашей стране и за рубежом наибольшее распространение получили химические суперклеи, обладающие клеящими свойствами и сконструированные на основе эфиров альфа-цианакриловой кислоты.
В стоматологической практике цианакрилатные клеи применяются уже более 20 лет, что обусловлено их уникальными характеристиками: возможностью быстро соединять живые ткани во влажной среде, стерильностью, антибактериальными свойствами и отсутствием токсичности. Они не вызывают раздражения в области раны, оказывают противовоспалительное и гемостатическое действие, а также характеризуются высокой степенью биосовместимости. Клеевая повязка обеспечивает надёжную фиксацию, изолирует раневую поверхность, способствует заживлению тканей пародонта, не нарушая их питания. Кроме того, она не вызывает болевых ощущений, не препятствует процессу жевания и разговора, а также позволяет использовать протезы. Благодаря этому отмечается ускорение регенерации тканей пародонта, при этом тонкая и гибкая плёнка, образующаяся на поверхности, не требует удаления, как это характерно для традиционных повязок [7, 8].
Процедура нанесения цианакрилатного клея безболезненна, что позволяет применять его в ситуациях, когда действие анестезии ослабевает [9, 10], а также при работе с пациентами, испытывающими страх или повышенную тревожность, включая детей [11]. Кроме того, исследования показывают минимальный уровень воспалительной реакции в местах применения такого клея и отсутствие риска некротизации тканей. Отмечаются также высокие косметические результаты, отсутствие аллергических реакций и устойчивость клеевого слоя [1, 12].
На сегодняшний день существует значительное количество исследований, посвящённых сравнению эффективности цианакрилатных клеёв и шовного материала при различных стоматологических вмешательствах, включая удаление зубов и закрытие ран слизистой оболочки. Некоторые исследователи in vivo сравнивали швы с различными типами цианакрилатных клеёв у животных и людей и пришли к выводу, что цианакрилаты превосходят швы [2, 13]. В частности, показана высокая эффективность биологического клея по сравнению с традиционными швами при заживлении после экстракции зубов, что подтверждается снижением боли, отёка и воспаления [14, 15]. Исследование, проведённое в 2021 году, показало, что цианакрилатный клей, применяемый для закрытия донорских и реципиентных участков при трансплантации десневых лоскутов, обладает выраженными гемостатическими, анальгезирующими и заживляющими свойствами. Пациенты отмечали меньшую боль и сниженную потребность в анальгетиках, а заживление в донорской зоне происходило быстрее. Кроме того, цианакрилат продемонстрировал значительный гемостатический эффект, сокращая время кровотечения и снижая риск поздних послеоперационных кровотечений. Это подтверждает его эффективность как перспективного средства для закрытия хирургических ран в стоматологии [16].
Однако большинство вышеупомянутых исследований основано на сравнении результатов у разных пациентов, что создаёт вариативность в условиях хирургического вмешательства и с учётом индивидуальных особенностей заживления тканей. В то же время клинических работ, в которых сравниваются цианакрилатный клей и швы в рамках одной операции у одного пациента, крайне мало. Такой подход позволяет исключить влияние индивидуальных различий в метаболизме, регенерации тканей и уровне послеоперационного воспаления, обеспечивая более объективную оценку эффективности каждого метода.
С целью устранения этого пробела сравнение двух методов закрытия донорских участков слизистой оболочки твёрдого нёба необходимо проводить в идентичных условиях операции и заживления. Такой подход позволяет получить более достоверные данные о влиянии цианакрилатного клея и швов на скорость эпителизации, выраженность воспалительной реакции, болевой синдром и эстетический результат. Описанный ниже клинический случай представляет собой значимый вклад в область клинической стоматологии, поскольку позволяет глубже понять преимущества и возможные ограничения каждого метода в условиях реальной клинической практики.
Описание случая
Исследование выполнено как клинический случай с элементами сравнительного анализа.
Для устранения рецессий десны на верхней челюсти тоннельным методом осуществляли взятие десневого трансплантата в рамках одной операции, выполненной пациентке С. 43 лет. После этого изучали донорские участки слизистой оболочки твёрдого неба. В ходе операции были обработаны два участка слизистой оболочки твёрдого неба: один — с использованием цианакрилатного клея, второй — с наложением швов. Выполнены фотоснимки в день осмотра и через 1,5 года после операции. Пациентка заполнила анкету о субъективных ощущениях.
Операцию проводили под местной анестезией (4% артикаин с адреналином 1:100 000) с использованием стандартных стоматологических инструментов. Донорские участки слизистой оболочки твёрдого неба были подготовлены симметрично, чтобы обеспечить сопоставимость условий.
На один из донорских участков был нанесён медицинский клей на основе цианакрилата «Сульфакрилат» («МедИн», Россия) в соответствии с инструкцией производителя. Предварительно рану осушили марлевым тампоном. Из-за невозможности полного высушивания перед нанесением клея было наложено два лигирующих шва в дистальном отделе, нанесённый каплями клей растёкся по поверхности тонким слоем, создавая гемостаз раневой поверхности. Избытки клея удалили, поверхность промыли антисептиком. Время, затраченное на процедуру нанесения клея, составило 25 с.
На другой участок были наложены нерассасывающиеся швы с использованием Supramid 5/0 (Resorba, Германия), представляющего собой псевдомонофиламентный хирургический шовный материал на основе полиамида 6/6 с покрытием. Данный материал сочетает в себе свойства монофиламентной и плетёной нити, что обеспечивает минимальную травматизацию тканей и удобство манипуляций. В качестве шовного материала использовали нить чёрного цвета для улучшения визуализации в полости рта. Для наложения применяли непрерывный шов с равномерным распределением натяжения ткани и обратную режущую иглу с треугольным сечением, что способствовало атравматичному проникновению в слизистую оболочку. Выбор данного материала обусловлен его высокой устойчивостью к микрофлоре, сохранением формы во влажной среде, надёжной фиксацией узлов уже со второго узла и минимальным «пилящим эффектом» при удалении. Данный материал обеспечивает хорошую фиксацию краёв раны и способствует благоприятному заживлению. На шовную поверхность дополнительно наложили стоматологическую губку «Стимул-Осс» («Белкозин», Россия) для защиты раневой поверхности и ускорения регенерации тканей. Общее время, затраченное на наложение швов, составило 3 мин 10 с, что значительно превышает время обработки аналогичного участка с использованием цианакрилатного клея.
Клиническую оценку процесса заживления проводили на основании визуального осмотра донорских участков слизистой оболочки твёрдого неба. Основными параметрами являлись:
- степень эпителизации раневой поверхности;
- наличие воспалительных изменений (гиперемия, отёк);
- выраженность кровоточивости или экссудации;
- наличие признаков расхождения краёв раны или образования лигатурных свищей;
- общая оценка состояния тканей через 7 дней и через 1,5 года после операции.
Для анализа субъективного восприятия пациенткой разных методов закрытия донорских участков использовали анкету. Пациентка оценивала:
- уровень боли и дискомфорта в ранний послеоперационный период (по шкале от 1 до 10 баллов);
- восприятие удобства закрытия раны и ухода за ней (наличие препятствий при разговоре, приёме пищи, чувство стягивания);
- появление кровоточивости раны при приёме пищи и чистке зубов;
- общая удовлетворённость результатом (включая косметические аспекты).
Для объективного сравнения выполняли фотодокументацию: снимки раневых поверхностей в день операции, на 7-й день и через 1,5 года после вмешательства. Сравнивали состояние тканей с использованием изображений для анализа косметического результата и долгосрочных последствий.
Измеряли время, необходимое для обработки каждой стороны: затраченное на нанесение клея и на наложение швов.
Результаты и обсуждение
Клиническая оценка процесса заживления
Восстановление тканей при заживлении хирургических ран во многом определяется рядом факторов, включая состояние ушиваемых тканей, недостаток их объёма, сниженный уровень эластичности, а также анатомические и архитектурные особенности сопоставляемых участков. На процесс также влияют условия, создающие дополнительный дефицит тканей (например, использование имплантируемых материалов, увеличивающих объём), размеры оперируемого дефекта, расположение разреза и другие аспекты, связанные с особенностями хирургического вмешательства [17]. Цианакрилатный клей способствует полному герметичному закрытию краёв раны, действуя как поверхностный защитный барьер, который предотвращает попадание биологических жидкостей и посторонних элементов (слюна, остатки пищи, биоплёнка) в раневую зону, тем самым улучшая процесс заживления и снижая усадку тканей [18]. Этот эффект играет важную роль в предотвращении развития вторичной инфекции и образования рубцовой ткани.
На стороне с цианакрилатным клеем на 7-й день после операции наблюдалась начальная эпителизация раневой поверхности. Отёк и гиперемия тканей были минимальными, отсутствовали признаки воспалительных процессов и экссудации. Края раны полностью срослись без признаков расхождения. Через 1,5 года слизистая оболочка выглядела анатомически целостной, рубцы отсутствовали, а текстура тканей оставалась естественной.
На стороне со швами на 7-й день отмечены умеренные воспалительные изменения, выраженные гиперемия и отёк, а также раздражение тканей вокруг шовного материала. Полная эпителизация на этой стороне не была завершена, что указывало на более замедленное заживление, рана была покрыта налётом. Через 1,5 года на месте швов обнаружены послеоперационные рубцы, что ухудшало косметический результат.
Субъективная оценка пациенткой
Пациентка отметила, что боль на стороне, обработанной клеем, переносилась легче. Уровень боли в первые дни после операции был ниже на стороне с клеем (2 балла против 5 баллов на стороне со швами). На стороне, обработанной швами, в некоторых случаях наблюдалось непродолжительное кровотечение в течение первых 5 дней после операции, особенно при механическом раздражении во время приёма пищи или чистки зубов. Напротив, на стороне, обработанной цианакрилатным клеем, подобных эпизодов не отмечено, что свидетельствует о более выраженном гемостатическом эффекте клея.
Несмотря на очевидные клинические преимущества, механизм гемостатического действия цианакрилатов до конца не изучен. Одна из гипотез предполагает, что цианакрилатный эфир формирует макроплёнку, создавая механическое препятствие, замедляющее кровоток, а также служит поверхностью для активации каскада свёртывания крови. Дополнительно существуют данные, подтверждающие, что плёнка, образованная цианакрилатом, представляет собой пористую массу, которая пропитывается кровью и обеспечивает коагуляцию внутри пор клеевого слоя [19].
При разговоре и приёме пищи пациентка испытывала меньше дискомфорта на участке с клеем благодаря образованию защитной плёнки на раневой поверхности, при этом клеевой слой вызывал некоторый дискомфорт для языка. На участке со швами пациентка отмечала чувство стягивания, а после их снятия почувствовала облегчение. Пациентка высоко оценила эстетический результат стороны с клеем, отметив отсутствие различий между тканями донорской зоны и слизистой оболочкой твёрдого неба. Чувствительность заживших участков не различалась.
Фотодокументация
Фотографии донорских участков на разных этапах позволили визуально сравнить заживление раны.
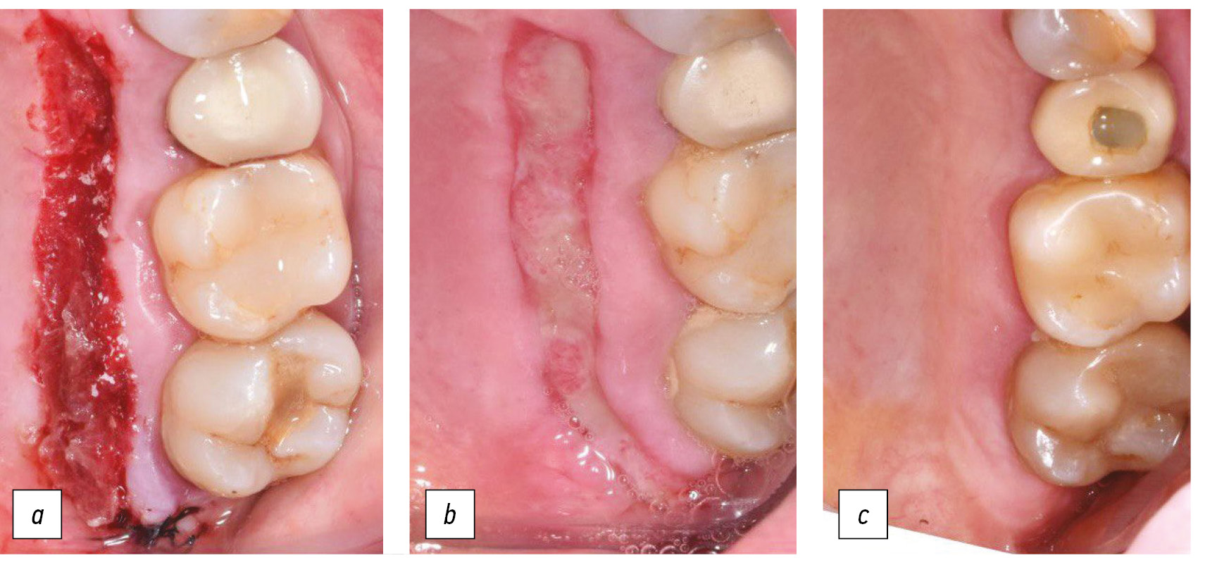
В день операции на стороне со швами (рис. 1) видно наложение равномерно распределённого непрерывного шва. Края раны фиксированы, однако наблюдается выраженная травматизация тканей вокруг швов, что характерно для использования игл и шовного материала. Поверхность раны умеренно кровоточит, что свидетельствует о необходимости времени для полного гемостаза.
Рис. 1. Фотографии на стороне наложения швов: a — сделанные в день операции; b — через 7 дней после операции; c — через 1,5 года после операции.
Fig. 1. Photos on the suture side: a — on the day of surgery; b — 7 days after surgery; c — 1.5 years after surgery.
На стороне с клеем (рис. 2) поверхность раны покрыта тонким слоем клея, который полностью герметизирует её. Отсутствуют признаки чрезмерной травматизации или сдавливания тканей, характерные для швов. Гемостаз достигнут сразу после нанесения клея.
Рис. 2. Фотографии на стороне использования клея: a — сделанные в день операции; b — через 7 дней после операции; c — через 1,5 года после операции.
Fig. 2. Photos on the adhesive side: a — on the day of surgery; b — 7 days after surgery; c — 1.5 years after surgery.
На изображениях через 7 дней видно, что сторона с клеем имеет гладкую поверхность с минимальными воспалительными признаками, в то время как на стороне со швами видны отёк и раздражение тканей.
Через 1,5 года на стороне с клеем отмечено полное восстановление без видимых рубцов, в отличие от стороны со швами, где отчётливо видно утолщение ткани, имеющей более светлый оттенок.
Сторона с клеем потребовала 25 с для нанесения материала, что значительно быстрее по сравнению с 3 мин 10 с, затраченными на наложение швов. Данное преимущество делает использование клея более удобным как для врача, так и для пациента: сокращение времени операции является важным фактором, способствующим лучшему заживлению, поскольку длительное хирургическое вмешательство может увеличивать вероятность заживления по вторичному натяжению, что сопровождается бóльшим объёмом воспалительной реакции и удлинением регенерационного периода [20].
Сравнительный анализ
На 7-й день после операции воспалительная реакция была более выраженной на стороне со швами: наблюдались гиперемия, отёк и раздражение вокруг шовного материала. На стороне с клеем эти признаки отсутствовали или были минимальными, что указывало на биосовместимость материала и его способность уменьшать воспаление (табл. 1).
Таблица 1. Сравнительный анализ двух методов
Table 1. Comparative analysis of the two methods
Параметр | Цианакрилатный клей | Швы Supramid 5/0 |
Время наложения | 25 с | 3 мин 10 с |
Гемостаз | Отличный практически по всей площади, немедленный за счёт герметизации, однако потребовался лигирующий шов в дистальном отделе | Хороший, но возникли эпизоды кровотечения в течение 5 дней после операции |
Боль в первые 7 дней (по шкале от 1 до 10) | 2 (минимальная) | 5 (умеренная) |
Воспалительная реакция (отёк, гиперемия) | Минимальная | Умеренная (гиперемия, отёк) |
Риск инфицирования | Низкий (за счёт герметизации) | Средний (из-за присутствия шовного материала и отсутствия защитной плёнки) |
Эпителизация раны на 7-й день | Практически полная | Частичная |
Эстетический результат через 1,5 года | Отличный, отсутствие рубцов | Удовлетворительный, но возможны рубцы |
Риск расхождения краёв раны | Умеренный (из-за отхождения поверхностного слоя) | Умеренный (из-за натяжения тканей) |
Дополнительная обработка после операции | Не требуется | Необходима обработка антисептиками |
Удобство для пациента | Высокое (отсутствие боли, удобство в уходе) | Среднее (чувство стягивания, дискомфорт, боль при действии раздражителей) |
Удобство для врача | Высокое (сокращение времени операции) | Низкое (длительность операции) |
Стоимость процедуры | Высокая | Низкая |
Таким образом, использование цианакрилатного клея «Сульфакрилат» показало значительные преимущества перед наложением швов:
- более быстрое заживление и эпителизация раны;
- минимальная воспалительная реакция;
- отличные косметические результаты без рубцов;
- меньший дискомфорт для пациента в послеоперационный период;
- значительное сокращение времени процедуры для врача.
Метод наложения швов, несмотря на свою распространённость, продемонстрировал большее травматическое воздействие, замедленное заживление и худшие эстетические результаты.
Заключение
На основании проанализированного клинического случая можно сделать вывод о значительных преимуществах использования цианакрилатного клея «Сульфакрилат» для закрытия донорских участков слизистой оболочки твёрдого неба по сравнению с традиционным методом наложения швов.
Ключевые результаты исследования демонстрируют, что применение клея обеспечивает ускорение процесса заживления: раневые поверхности с клеевым покрытием характеризовались более быстрой эпителизацией и отсутствием выраженной воспалительной реакции. Отмечается минимальный дискомфорт для пациента: меньший уровень боли и удобство в послеоперационном периоде на стороне с клеем. Участок, обработанный клеем, не вызывал ощущения стягивания, характерного для швов. При использовании клея показаны отличные косметические результаты: спустя 1,5 года поверхность раны, обработанная клеем, выглядела анатомически целостной, без видимых рубцов или «шовных меток», что особенно важно для эстетически значимых зон. Использование клея удобно и для врача, поскольку позволяет существенно сократить время выполнения процедуры, что делает данный метод более эффективным с точки зрения организации процесса лечения.
Сравнительный анализ стороны со швами показал, что метод наложения швов, несмотря на его распространённость, связан с более выраженными воспалительными реакциями, замедленным заживлением, повышенным дискомфортом для пациента и менее удовлетворительными косметическими результатами.
Анализ клинического случая позволяет сделать вывод, что цианакрилатный клей «Сульфакрилат» может быть рекомендован в качестве эффективной альтернативы традиционным швам при обработке донорских участков слизистой оболочки в стоматологической практике. Его использование позволяет улучшить качество лечения, сократить время процедуры и повысить удовлетворённость пациента.
Дополнительная информация
Вклад авторов. Автор одобрила рукопись (версию для публикации), а также согласилась нести ответственность за все аспекты работы, гарантируя надлежащее рассмотрение и решение вопросов, связанных с точностью и добросовестностью любой её части.
Согласие на публикацию. Автор получила письменное согласие пациентки на публикацию персональных данных, в том числе фотографий (с закрытием лица), в «Российском стоматологическом журнале», включая его электронную версию (дата подписания 07.01.2025). Объём публикуемых данных с пациенткой согласован.
Источники финансирования. Отсутствуют.
Раскрытие интересов. Автор заявляет об отсутствии отношений, деятельности и интересов за последние три года, связанных с третьими лицами (коммерческими и некоммерческими), интересы которых могут быть затронуты содержанием статьи.
Оригинальность. При создании настоящей работы авторы не использовали ранее опубликованные сведения (текст, иллюстрации, данные).
Доступ к данным. Все данные, полученные в настоящем исследовании, доступны в статье.
Генеративный искусственный интеллект. При создании настоящей статьи технологии генеративного искусственного интеллекта не использовали.
Рассмотрение и рецензирование. Настоящая работа подана в журнал в инициативном порядке и рассмотрена по обычной процедуре. В рецензировании участвовали два внешних рецензента, член редакционной коллегии и научный редактор издания.
Additional information
Author contributions. The author has approved the manuscript (version for publication) and has also agreed to be responsible for all aspects of the work, ensuring that issues related to the accuracy and integrity of any part of it are properly addressed and resolved.
Consent for publication. The author received the written consent of the patient to publish personal data, including photographs (with face covered), in the “Russian Journal of Dentistry”, including its electronic version (date of signature 07.01.2025). The scope of published data has been agreed with the patient.
Funding sources. No funding.
Disclosure of interests. The author has no relationships, activities or interests for the last three years related with for-profit or not-for-profit third parties whose interests may be affected by the content of the article.
Statement of originality. The authors did not use previously published information (text, illustrations, data) to create this paper.
Data availability statement. All data obtained in the present study are available in the article.
Generative AI. Generative AI technologies were not used for this article creation.
Provenance and peer-review. This paper was submitted to the journal on an initiative basis and reviewed according to the usual procedure. One external reviewer, two members of the editorial board and the scientific editor of the publication participated in the reviewing process.
About the authors
Naida D. Osmanova
LLC “Okodent”
Author for correspondence.
Email: naidaosmanova18@icloud.com
ORCID iD: 0009-0006-8653-7424
References
- Kumar MS, Natta S, Shankar G, et al. Comparison between silk sutures and cyanoacrylate adhesive in human mucosa — a clinical and histological study. J Int Oral Health. 2013;5(5):95–100.
- Joshi AD, Saluja H, Mahindra U, Halli R. A comparative study: efficacy of tissue glue and sutures after impacted mandibular third molar removal. J Maxillofac Oral Surg. 2011;10(4):310–315. doi: 10.1007/s12663-011-0241-x EDN: KJEBQP
- Devrukhkar VN, Hegde RJ, Khare SS, Saraf TA. Evaluation of isoamyl 2-cyanoacrylate tissue adhesive in management of pediatric lacerations: An alternative to suturing. Ann Maxillofac Surg. 2015;5(1):49–54. doi: 10.4103/2231-0746.161059
- Coulthard P, Esposito M, Worthington HV, et al. Tissue adhesives for closure of surgical incisions. Cochrane Database Syst Rev. 2004;(2):CD004287. doi: 10.1002/14651858.CD004287.pub2
- Krivenchuk V, Zinovkin D, Dundarov Z, Zyblev S. Comparison of the variants of closure of initial aseptic wounds on the neck (experimental research). Surgery. East Europe. 2017;6(2):276–285. EDN: YRLJFX
- Montanaro L, Arciola CR, Cenni E, et al. Cytotoxicity, blood compatibility and antimicrobial activity of two cyanoacrylate glues for surgical use. Biomaterials. 2001;22(1):59–66. doi: 10.1016/S0142-9612(00)00163-0 EDN: AKHNLN
- Modina TN, Bolbat MV. The use of medical adhesive “Sulfacrylate” in dental practice. Biysk: Publishing House “Biya”; 2014.
- Rezende ML, Cunha Pde O, Damante CA, et al. Cyanoacrylate adhesive as an alternative tool for membrane fixation in guided tissue regeneration. J Contemp Dent Pract. 2015;16(6):512–518. doi: 10.5005/jp-journals-10024-1714
- Sagar P, Prasad K, Lalitha RM, Ranganath K. Cyanoacrylate for intraoral wound closure: a possibility? Int J Biomater. 2015;2015:165428. doi: 10.1155/2015/165428
- Malhotra V, Dayashankara Rao J, Arya V, et al. Evaluating the use of octyl-2-cyanoacrylate in unilateral cleft lip repair. Natl J Maxillofac Surg. 2016;7(2):153–158. doi: 10.4103/0975-5950.201364
- Lins RD, Gomes RC, Santos KS, et al. Use of cyanoacrylate in the coaptation of edges of surgical wounds. An Bras Dermatol. 2012;87(6):871–876. doi: 10.1590/s0365-05962012000600008
- Souza SC, Oliveira WL, Soares DF, et al. Comparative study of suture and cyanoacrylates in skin closure of rats. Acta Cir Bras. 2007;22(4):309–316. doi: 10.1590/s0102-86502007000400013
- Kulkarni S, Dodwad V, Chava V. Healing of periodontal flaps when closed with silk sutures and N-butyl cyanoacrylate: A clinical and histological study. Indian J Dent Res. 2007;18(2):72–77. doi: 10.4103/0970-9290.32424
- Maia GV, Sousa CW, de Lima JCR, et al. Cyanoacrylate glue in socket repair: A comparative study. Br J Oral Maxillofac Surg. 2022;60(2):145–151. doi: 10.1016/j.bjoms.2021.01.017 EDN: HKOVLG
- Gonçalves MWA, Souza MRF, Becheleni MT, et al. Does cyanoacrylate have the best postoperative outcomes after third molar extractions when compared to conventional sutures? A systematic review and meta-analysis. Heliyon. 2023;10(1):e23058. doi: 10.1016/j.heliyon.2023.e23058 EDN: IQJRBH
- Veríssimo AH, Ribeiro AKC, Martins ARLA, et al. Comparative analysis of the hemostatic, analgesic and healing effects of cyanoacrylate on free gingival graft surgical wounds in donor and recipient areas: a systematic review. J Mater Sci Mater Med. 2021;32(9):98. doi: 10.1007/s10856-021-06573-z EDN: BJWUKM
- Aksenov KA, Lomakin MV. Peculiarities of surgical wound healing in oral cavity. Russian Journal of Stomatology. 2008;1(1):69–72. EDN: TQTLAJ
- Ghoreishian M, Gheisari R, Fayazi M. Tissue adhesive and suturing for closure of the surgical wound after removal of impacted mandibular third molars: a comparative study. Oral Surg Oral Med Oral Pathol Oral Radiol Endod. 2009;108(1):e14–e16. doi: 10.1016/j.tripleo.2009.03.001
- Samuel PR, Roberts AC, Nigam A. The use of Indermil (n-butyl cyanoacrylate) in otorhinolaryngology and head and neck surgery. A preliminary report on the first 33 patients. J Laryngol Otol. 1997;111(6):536–540. doi: 10.1017/s0022215100137855
- Zucchelli G, Mazzotti C, Mounssif I, et al. A novel surgical-prosthetic approach for soft tissue dehiscence coverage around single implant. Clin Oral Implants Res. 2013;24(9):957–962. doi: 10.1111/clr.12003
Supplementary files





