Analysis of Reparative Osteogenesis in Augmented Zone Using Allogeneic Lyophilized Cancellous Bone Graft
- Authors: Tlustenko V.S.1, Gilmiyarova F.N.1, Tlustenko V.P.1, Volova L.T.1, Koshelev V.A.1, Nogina N.V.1
-
Affiliations:
- Samara State Medical University
- Issue: Vol 29, No 3 (2025)
- Pages: 231-240
- Section: Original Study Articles
- Submitted: 04.05.2025
- Accepted: 22.05.2025
- Published: 27.06.2025
- URL: https://rjdentistry.com/1728-2802/article/view/679159
- DOI: https://doi.org/10.17816/dent679159
- EDN: https://elibrary.ru/DJRHAQ
- ID: 679159
Cite item
Abstract
BACKGROUND: Dental implantation is being increasingly adopted in clinical practice. Indications for its use are expanding, including cases of significant alveolar ridge atrophy, in which restoration of bone volume using bone graft materials is required. Under these conditions, the study of metabolic processes remains highly relevant.
AIM: The work aimed to evaluate reparative osteogenesis in the augmented zone using allogeneic lyophilized cancellous bone graft through the analysis of metabolic markers.
METHODS: The study included 41 patients (experimental group) in the osseointegration phase with a follow-up period ranging from 1 to 12 weeks. Oral fluid was used as the biological sample. Allogeneic lyophilized cancellous bone graft was applied in the augmentation zone. The control group consisted of 17 individuals without systemic diseases.
RESULTS: No statistically significant differences in metabolic parameters were observed during weeks 1–2 compared with the control group. However, during weeks 3–4, a slight increase in the concentration of C-terminal telopeptide of type I collagen (β-CrossLaps) and osteocalcin, along with a decrease in alkaline phosphatase activity and parathyroid hormone levels, was noted. These changes indicate the onset of the secondary remodeling phase involving osteoid matrix formation. By week 12, metabolic markers had returned to baseline, consistent with reparative osteogenesis.
CONCLUSION: The use of lyophilized cancellous bone graft in the augmentation zone supports physiologic osteogenesis.
Full Text
ОБОСНОВАНИЕ
В случаях значительной атрофии альвеолярных отростков верхней челюсти возникает необходимость в аугментации для восстановления костного объёма [1–3] с целью обеспечения оптимального позиционирования имплантатов. Синус-лифтинг является хорошо отработанной хирургической процедурой, позволяющей проводить имплантологическое лечение в случаях атрофии боковых отделов верхней челюсти с недостаточным объёмом костной ткани для установки имплантата [4]. Успех дентальной имплантации во многом зависит от качества костной ткани, в то же время не все биоматериалы являются идеальными [5]. По данным G.S. Chatzopoulos и соавт. [6], одновременная аугментация трансплантата в области верхнечелюстного синуса и установка имплантатов приводят к худшим показателям интеграции имплантатов, что увеличивает частоту неудач. Необходим контроль процесса раннего остеогенеза в зоне аугментации для исключения возможных осложнений, в том числе воспаления в верхнечелюстной пазухе [7, 8].
Лучевые методы, безусловно, являются основными для послеоперационного мониторинга [9, 10], но важно выявить преморбидные признаки воспалительно-деструктивного процесса в зоне аугментации до клинических проявлений [11, 12]. Для уменьшения вероятности возникновения послеоперационных осложнений в процессе устранения дефицита костной ткани в зоне имплантации необходимо располагать данными, характеризующими состояние репаративного остеогенеза [13]. Биомаркёры слюны и десневой жидкости становятся перспективными инструментами в имплантационной стоматологии [14]. Проанализировать их можно путём оценки показателей, отражающих наличие процессов деструкции, минерализации и деминерализации костной ткани. Ротовая жидкость (РЖ) в качестве биосреды, имеющей непосредственный контакт с зубочелюстной системой и обеспечивающей её гомеостаз, может быть использована для поиска критериев структурно-функциональных нарушений [15–17]. Изучение процессов метаболизма непосредственно в костной ткани in vivo затруднён, в связи с этим анализ состояния костной ткани по результатам исследования маркёров остеогенеза и резорбции костной ткани для косвенного суждения о ней остаётся актуальным неинвазивным вариантом [18].
ЦЕЛЬ
Оценить репаративный остеогенез в зоне аугментации на верхней челюсти с использованием аллогенной лиофилизированной губчатой костной ткани путём анализа метаболических показателей.
МЕТОДЫ
В качестве остеопластического материала в зоне аугментации в области верхнечелюстного синуса использовали аллогенную лиофилизированную губчатую костную ткань человека (регистрационное удостоверение № ФСР2010/08120 от 12.02.2021 на медицинское изделие «Биоимплантаты костные аллогенные механически и ультразвуком обработанные лиофилизированные стоматологические стерильные по ТУ 9398-001-01963143-2010»), разработанную и изготовленную в Банке тканей Биологического центра «БиоТех» Самарского государственного медицинского университета. Биоматериал представляет собой бионический продукт тканевой инженерии, имеет 3D-пористую бесклеточную структуру с комплексом каркасных коллагеновых белков и белков межклеточного матрикса — баланс стимуляторов и ингибиторов остеогенеза. Материал биосовместим, не токсичен, биодеградирует в организме реципиента, синхронно замещаясь его собственной костной тканью.
Объектом исследования стала РЖ. В качестве биохимических показателей изучали маркёры костного моделирования (остеокальцин, щелочную фосфатазу, паратгормон) и маркёр резорбции костной ткани С-телопептид коллагена I типа (β-CrossLaрs).
Остеокальцин представляет собой неколлагеновый белок костного матрикса, состоящего из 49 аминокислотных остатков, который синтезируется остеобластами, а затем участвует в процессах минерализации. В процессе деградации коллагена образуются гидроксипролин, специфический пептидный фрагмент β-CrossLaрs. Основным гормоном, оказывающим влияние на фосфорно-кальциевый обмен, является паратгормон. Кроме того, он активизирует процессы транскрипции в остеокластах.
Одним из органоспецифических ферментов является щелочная фосфатаза, уровень активации которой отражает метаболические процессы в костной ткани. Функция щелочной фосфатазы — гидролитическое отщепление фосфора от органических соединений и образование фонда минеральных фосфатов, легко мобилизуемых для различных структурообразовательных процессов. Она также участвует в формировании органического матрикса.
Дизайн исследования
Проведено проспективное интервенционное нерандомизированное контролируемое исследование с участием 58 человек: 21 мужчина (36,2%) и 37 женщин (63,8%) в возрасте от 35 до 60 лет (средний возраст 44,0 ± 2,31 года). Пациентов распределили на 2 группы: основную и контрольную — со сроком наблюдения от 1 до 12 нед. Зона аугментации основной группы (41 пациент) находилась на стадии остеоинтеграции. Контрольную группу составили 17 соматически здоровых лиц. Группы были сопоставимы по возрасту, полу, исходному пародонтальному статусу.
Критерии соответствия
Критерии включения: значительная атрофия альвеолярного отростка верхней челюсти в области верхнечелюстного синуса; использование в качестве биоматериала аллогенной лиофилизированной губчатой костной ткани.
Критерии исключения: отказ от участия в научно-клиническом исследовании; возраст моложе 35 и старше 60 лет; использование иных биоматериалов.
Условия проведения
Исследование проведено на базах кафедры ортопедической стоматологии и кафедры фундаментальной и клинической биохимии с лабораторной диагностикой ФГБОУ ВО «Самарский государственный медицинский университет» Минздрава России.
Участников исследования выбирали из числа пациентов, обратившихся для стоматологической ортопедической реабилитации в рамках стандартного ортопедического приёма.
Продолжительность исследования
Осуществляли собственный поиск и включение пациентов в исследование, распределение на группы и составляли графики посещений. Анализ репаративного остеогенеза по изученным метаболическим показателям занимал от 1 до 12 нед. Продолжительность периода наблюдения за пациентами — до 3 лет. На заключительном этапе подводили итоги исследования и анализировали результаты.
Описание медицинского вмешательства
С целью увеличения объёма альвеолярного отростка для дентальной имплантации под местным обезболиванием на верхней челюсти проведена операция синус-лифтинга с использованием аллогенной лиофилизированной губчатой костной ткани.
Для исследования остеогенеза использовали ортопантомограммы и компьютерные томограммы. Через 3–6 мес осуществляли дентальную имплантацию.
Основной исход исследования
В качестве оценки достоверности исхода исследования анализировали метаболические показатели костного обмена основной и контрольной групп. Все случаи нарушения репаративного остеогенеза заносили в сводную таблицу. Проводили сравнительную оценку величин метаболических показателей между собой с целью определения процессов деструкции и восстановления костной ткани в зоне аугментации.
Исход лечения оценивали по данным лучевых методов исследования в процессе остеогенеза и после его завершения.
Дополнительные исходы исследования
Дополнительным исходом исследования стало визуальное состояние зоны аугментации в полости рта. Анализ показал отсутствие воспалительно-деструктивных процессов, свищей и других осложнений.
Анализ в подгруппах
Пациентов разделили на 2 группы: основную и контрольную — согласно критериям включения, по возрасту и степени атрофии альвеолярного отростка верхней челюсти.
Методы регистрации исходов
Для регистрации основных и дополнительных исходов осуществляли анализ РЖ после аугментации с использованием аллогенной лиофилизированной губчатой костной ткани в сроки от 1 до 12 нед. РЖ была собрана обследуемыми самостоятельно, путём сплевывания в стерильный пластиковый одноразовый контейнер, в утренние часы, перед приёмом пищи, после полоскания ротовой полости тёплой водой, не ранее, чем через 15 мин после чистки зубов. За один час перед взятием РЖ ротовую полость прополаскивали кипячёной водой. Перед сбором РЖ исключались физические и эмоциональные нагрузки, курение. Образцы с примесью крови исключались из исследования [19].
Анализировали динамику метаболических показателей: остеокальцина, щелочной фосфатазы, паратгормона и β-CrossLaрs. Их концентрацию в РЖ определяли твердофазным пробирочным методом в электрохемилюминесцентной реакции на основе стрептовидинбиотиновой технологии с рутениевой меткой на электрохемилюминесцентном иммуноанализаторе Elecsys 2010 фирмы Roche (Швейцария) [20].
Кроме того, проводили ортопантомографию и компьютерную томографию с целью оценки восстановленного объёма костной ткани в области верхнечелюстного синуса.
Статистический анализ
Статистическую обработку данных выполняли с помощью пакета программ SPSS Statistics v. 25 (IBM, США, лицензия № 5725-А54). Описательные статистики представлены медианой и квартилями: Me [Q1; Q3]. Сравнение групп выполняли по критерию Манна–Уитни, а сравнение разных сроков наблюдения — по парному критерию Вилкоксона. Иллюстративные материалы представлены наложением графиков типа «усатый ящик» и «скрипичный график», которые построены с помощью модуля ggplot 2 пакета R (https://www.r-project.org/). Результаты считали статистически значимыми при p < 0,05.
РЕЗУЛЬТАТЫ
Полученные результаты костного метаболизма представлены в табл. 1.
Таблица 1. Метаболические показатели костного обмена основной и контрольной групп, Me [Q1; Q3]
Срок наблюдения, нед | Основная группа (n = 41) | Контрольная группа (n = 17) | p |
C-телопептид коллагена I типа, нг/мл | |||
1 | 0,710 | ||
2 | 0,572 | ||
3 | 0,050 | ||
4 | 0,007 | ||
12 | 0,466 | ||
Остеокальцин, нг/мл | |||
1 | 0,953 | ||
2 | 0,235 | ||
3 | 0,024 | ||
4 | 0,001 | ||
12 | 0,170 | ||
Щелочная фосфатаза, Ед./л | |||
1 | 0,841 | ||
2 | 0,323 | ||
3 | 0,209 | ||
4 | 0,046 | ||
12 | 0,255 | ||
Паратгормон, нг/мл | |||
1 | 0,157 | ||
2 | 0,110 | ||
3 | 0,010 | ||
4 | 0,003 | ||
12 | 0,060 | ||
На начало наблюдения концентрация β-CrossLaрs (рис. 1) в основной группе составила 0,006 [0, 001; 0, 022] нг/мл и статистически значимо не отличалась от значений в контрольной группе — 0,010 [0, 002; 0, 015] нг/мл (р > 0,05). На 3–4-й неделе выявлены статистически значимые отличия у пациентов основной группы от показателей у этих же обследованных на 1–2-й неделе (оба р < 0,001) и от пациентов в группе контроля (р = 0,050 на 3-й неделе и р = 0,007 на 4-й неделе).
Рис. 1. Концентрация C-телопептида коллагена I типа ротовой жидкости (β-CrossLaрs) в основной и контрольной группах на разных сроках наблюдения.
Отмечены «выбросы» значений у пациентов основной группы на сроке наблюдения 3 нед у трёх человек: 0,051; 0,055; 0,075 нг/мл. При этом медианные значения и меж-квартильный размах составили 0,016 [0, 009; 0, 030] нг/мл.
На 4-й неделе наблюдения «выбросы» значений в бóльшую сторону были уже у четырёх пациентов: 0,066; 0,075; 0,079; 0,090 нг/мл. Медианные значения и меж-квартильный размах составили 0,020 [0, 010; 0, 036] нг/мл.
Через 12 нед наблюдения резко повышенной концентрации β-CrossLaрs в РЖ пациентов основной группы не наблюдали, статистически значимых отличий ни с исходными значениями, ни с результатами в контрольной группе не выявлено.
Наблюдался возврат к исходным показателям и показателям контрольной группы. Это исследование свидетельствует о полном рассасывании биопластического материала (его деструкции) с параллельным замещением собственной костной тканью, что продемонстрировано в последующих исследованиях метаболических показателей костного моделирования в РЖ пациентов.
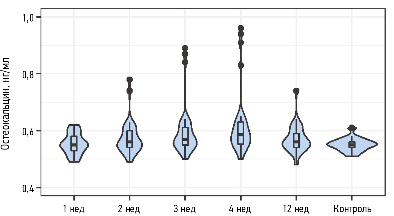
На начало наблюдения концентрация остеокальцина (рис. 2) не отличалась от результатов в контрольной группе. Значения составили 0,55 [0, 53; 0, 58] нг/мл в основной группе и 0,55 [0, 54; 0, 57] нг/мл в контрольной (р > 0,05). На 2-й неделе наблюдения в основной группе у двух человек выявлены значительные отклонения в результатах от остальной группы (0,74 и 0,78 нг/мл), однако статистически значимых отличий от контроля не найдено.
Рис. 2. Концентрация остеокальцина ротовой жидкости в основной и контрольной группах на разных сроках наблюдения.
На 3–4-й неделе выявлены статистически значимые отличия от показателей у этих же обследованных по сравнению с 1-й неделей (оба р < 0,001). Так, на 3-й неделе концентрация в основной группе составила 0,57 [0, 55; 0, 61] нг/мл (р = 0,024 по сравнению с контролем). Наблюдались резко повышенные значения у трёх человек: 0,84; 0,87 и 0,89 нг/мл.
Через месяц от начала исследования в основной группе было уже четыре пациента со значительными отклонениями в более высокую сторону по концентрации остеокальцина, которые составили 0,83; 0,91; 0,94; 0,96 нг/мл. Медианные значения и межквартильный размах при этом составляли 0,59 [0, 55; 0, 63] нг/мл (р = 0,001 по сравнению с контролем и р < 0,001 по сравнению с результатами на 1-й неделе).
Через 3 мес после начала исследования (на 12-й неделе) в основной группе содержание остеокальцина практически вернулось к исходным значениям: 0,56 [0, 54; 0, 59] нг/мл, что неотличимо от контроля (р = 0,170). У одного пациента отмечено повышенное значение данного показателя (0,74 нг/мл) относительно других пациентов основной группы.
На 1-й неделе наблюдения активность щелочной фосфатазы РЖ у пациентов основной группы (рис. 3) составила 26,15 [22, 0; 30, 90] Ед./л, что статистически неотличимо от значений в контрольной группе: 31,30 [20, 70; 34, 30] Ед./л (р > 0,05). На 2-й неделе ферментативная активность щелочной фосфатазы РЖ в основной группе осталась практически без изменений, а на 3-й неделе выявлено увеличение её дисперсии за счёт «разбросов» как в сторону повышения, так и в сторону снижения (см. рис. 3).
Рис. 3. Активность щелочной фосфатазы ротовой жидкости в основной и контрольной разных сроках наблюдения.
На 4-й неделе по-прежнему наблюдались более высокие значения дисперсий, чем в группе контроля, и выявлены статистически значимые различия в средних тенденциях выборок. Так, медианные значения и межквартильный размах в основной группе составили 23,65 [19, 75; 27, 05] Ед./л (р = 0,046 по сравнению с контролем). Клинически представляют интерес случаи со снижением активности щелочной фосфатазы. У четырёх пациентов активность щелочной фосфатазы РЖ оказалась менее 10 Ед./л: 5,0; 6,0; 8,0; 9,0 Ед./л.
Через 12 нед наблюдения активность щелочной фосфатазы РЖ в основной группе, достигшая величины 24,15 [21, 0; 28, 43] Ед./л, стала опять статистически неотличимой от контроля (р > 0,05), хотя и сохранились небольшие статистически значимые отличия от значений на 1-й неделе исследования (р = 0,011). У одного пациента основной группы при этом сохранилась резко сниженная активность щелочной фосфатазы — 8,3 Ед./л.
Концентрация паратгормона РЖ у пациентов основной группы (рис. 4) на 1-й неделе составила 1,96 [1, 83; 2, 09] нг/мл, что не отличается статистически значимо от контроля: 1,87 [1, 72; 2, 01] нг/мл (р > 0,05). Ещё через неделю существенных сдвигов не найдено.
Рис. 4. Концентрация паратгормона ротовой жидкости в основной и контрольной группах на разных сроках наблюдения.
На 3-й неделе выявлены более высокие показатели паратгормона в РЖ пациентов основной группы: 2,05 [1, 89; 2, 15] нг/мл (р = 0,010) по сравнению с контролем, а также с этими же пациентами на 1-й неделе после оперативного вмешательства (р = 0,009). Резко повышенные значения выявлены у трёх пациентов: 2,36; 2,45 и 2,47 нг/мл.
Увеличение концентрации паратгормона сохранялось и к 4-й неделе, когда его показатель в РЖ пациентов основной группы достиг 2,09 [1, 90; 2, 28] нг/мл (р = 0,003 по сравнению с контролем и р = 0,001 по сравнению результатами на 1-й неделе). «Выбросы» значений в большую сторону выявлены у четырёх пациентов: 2,51; 2,55; 2,60 и 2,68 нг/мл.
Через 12 нед после вмешательства статистически значимых отличий концентрации паратгормона не было как в сравнении с контрольной группой, так и с результатами на 1-й неделе, значения составили 2,04 [1, 79; 2, 17] нг/мл.
ОБСУЖДЕНИЕ
Результаты применения аллогенной лиофилизированной губчатой костной ткани в зоне аугментации были следующими. На начало наблюдения (1–2 нед) статистически значимых отличий изученных показателей от контрольных значений не выявлено. Однако на 3–4-й неделе происходит статистически значимое повышение концентрации β-CrossLaрs, что свидетельствует о возможном развитии деструкционного процесса, при этом телопептид с остатками молекул коллагена попадает в РЖ. С другой стороны, отмечается превышение контрольных значений остеокальцина, демонстрирующего снижение минерализации в зоне аугментации и, как следствие, истощение пластических ресурсов в формировании костной ткани. Изменение активности щелочной фосфатазы в этот период подтверждает снижение обеспечения фосфатом на этапе минерализации и создаёт неблагоприятные условия для физиологического остеогенеза. Уменьшение концентрации паратгормона приводит к повышению показателей ионов кальция и фосфатов в РЖ. Наиболее выраженные изменения наблюдались у четырёх человек, что, возможно, связано с какими-либо соматическими заболеваниями, не выявленными ранее.
Таким образом, на 3–4-й неделе развивается стадия вторичной перестройки ремоделирования путём формирования остеоидного матрикса, что сопровождается построением юной трабекулярной костной ткани в участках активной остеокластической резорбции недифференцированного костного вещества. Отсюда следует, что на 3–4-й неделе имеются определённые риски развития осложнений. В связи с этим необходимо исключать травматические воздействия и обеспечивать контроль за состоянием целостности слизистой оболочки в зоне аугментации, выполнять качественную гигиену полости рта и т. д.
Наблюдение пациентов основной группы через 12 нед и более показало восстановление исходного состояния метаболических показателей костного обмена, в результате чего происходит замена несовершенной костной ткани функционально детерминированными зрелыми костными структурами. Патологические изменения на ортопантомограммах отсутствуют.
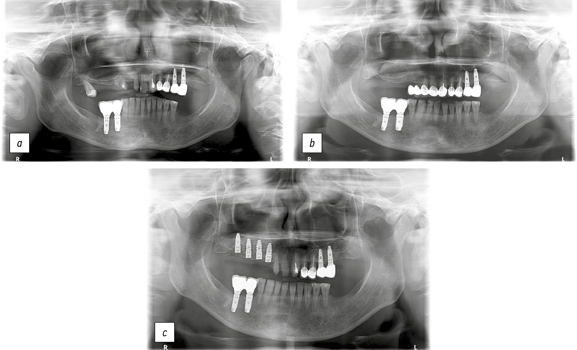
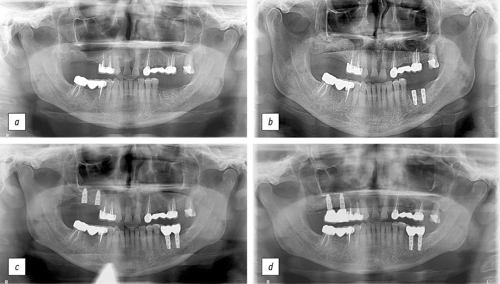
В качестве клинических примеров приводим ортопантомограммы пациента Ч. и пациентки Б. до и после аугментации лиофилизированной губчатой костной тканью (рис. 5, 6).
Рис. 5. Ортопантомограммы пациента Ч.: a — исходная клиническая ситуация; b — проведена аугментация с использованием лиофилизированной губчатой костной ткани; c — установлены дентальные имплантаты, этап остеоинтеграции; d — клиническая ситуация через 3 года.
Рис. 6. Ортопантомограммы пациентки Б.: a — исходная клиническая ситуация; b — проведена аугментация с использованием лиофилизированной губчатой костной ткани; c — установлены дентальные имплантаты, этап остеоинтеграции.
ЗАКЛЮЧЕНИЕ
Комплексный анализ совокупной оценки метаболического статуса костного обмена показал, что аугментация с использованием лиофилизированной губчатой костной ткани обеспечивает оптимальные результаты остеогенеза и может применяться для наращивания костного объёма в зоне установки дентальных имплантатов.
ДОПОЛНИТЕЛЬНАЯ ИНФОРМАЦИЯ
Вклад авторов. В.С. Тлустенко — курация, ортопедическое лечение пациентов, написание текста и редактирование статьи, сбор и систематизация данных клинических исследований, проведение сравнительного анализа, постановка цели и задач, формулирование выводов; Ф.Н. Гильмиярова — проведение биохимических методов исследования, анализ данных и их обработка, научная консультация; В.П. Тлустенко — написание текста и редактирование статьи, разработка концепции исследования; Л.Т. Волова — написание текста и редактирование статьи; В.А. Кошелев — обзор литературы, статистическая обработка данных; Н.В. Ногина — анализ литературных источников. Все авторы одобрили версию для публикации, а также согласились нести ответственность за все аспекты работы и гарантировали, что вопросы, связанные с точностью или добросовестностью любой части работы, будут должным образом рассмотрены и решены.
Этическая экспертиза. По протоколу № 303 от 09.04.2022 заседания Комитета по биоэтике Самарского государственного медицинского университета принято решение одобрить научно-исследовательскую работу по теме «Анализ репаративного остеогенеза в зоне аугментации при использовании аллогенной лиофилизированной губчатой костной ткани». Все участники исследования добровольно подписали форму информированного согласия до включения в работу.
Согласие на публикацию. Авторы получили письменное информированное добровольное согласие пациентов на публикацию персональных данных, в том числе фотографий (с закрытием лица), в научном журнале «Российский стоматологический журнал», включая его электронную версию (дата подписания 23.04.2022). Объём публикуемых данных с пациентами согласован.
Источники финансирования. Отсутствуют.
Раскрытие интересов. Авторы заявляют об отсутствии отношений, деятельности и интересов за последние три года, связанных с третьими лицами (коммерческими и некоммерческими), интересы которых могут быть затронуты содержанием статьи.
Оригинальность. При создании настоящей работы авторы не использовали ранее опубликованные сведения (текст, иллюстрации, данные).
Доступ к данным. Все данные, полученные в настоящем исследовании, доступны в статье.
Генеративный искусственный интеллект. При создании настоящей статьи технологии генеративного искусственного интеллекта не использовали.
Рассмотрение и рецензирование. Настоящая работа подана в журнал в инициативном порядке и рассмотрена по обычной процедуре. В рецензировании участвовали два внешних рецензента, член редакционной коллегии и научный редактор издания.
Дисклеймер. Взгляды, выраженные авторами в настоящей статье, являются собственными, а не официальной позицией организаций, с которыми они аффилированы.
ADDITIONAL INFORMATION
Author contributions: V.S. Tlustenko: supervision, investigation, data curation, formal analysis, conceptualization, writing — original draft, writing — review & editing; F.N. Gilmiarova: investigation, formal analysis, supervision; V.P. Tlustenko: writing — original draft, writing — review & editing, conceptualization; L.T. Volova: writing — original draft, writing — review & editing; V.A. Koshelev: resources, formal analysis; N.V. Nogina: resources. All authors approved the version of the manuscript to be published and agreed to be accountable for all aspects of the work, ensuring that questions related to the accuracy or integrity of any part of the work are appropriately investigated and resolved.
Ethics approval: According to Protocol No. 303 dated April 9, 2022, the Bioethics Committee of Samara State Medical University approved the research study titled Analysis of Reparative Osteogenesis in the Augmented Zone Using Allogeneic Lyophilized Cancellous Bone Graft. All participants provided written informed consent prior to inclusion in the study.
Consent for publication: Written informed consent was obtained from the patient for the publication of personal data, including photographs (with faces obscured), in Russian Journal of Dentistry and its digital version (signed on April 23, 2022). The scope of published data was approved by the patients.
Funding sources: No funding.
Disclosure of interests: The authors have no relationships, activities, or interests for the last three years related to for-profit or not-for-profit third parties whose interests may be affected by the content of the article.
Statement of originality: No previously published material (text, images, or data) was used in this work.
Data availability statement: All data generated or analyzed during this study are included in this article.
Generative AI: No generative artificial intelligence technologies were used to prepare this article.
Provenance and peer review: This paper was submitted unsolicited and reviewed following the standard procedure. The peer review process involved two external reviewers, a member of the editorial board, and the in-house scientific editor.
Disclaimer: The authors declare that the views expressed in this article are solely their own and do not necessarily reflect the official positions of their affiliated institutions.
About the authors
Vladimir S. Tlustenko
Samara State Medical University
Author for correspondence.
Email: vlastt@yandex.ru
ORCID iD: 0000-0002-7429-9135
SPIN-code: 8537-5155
MD, Cand. Sci. (Medicine), Associate Professor
Russian Federation, SamaraFrida N. Gilmiyarova
Samara State Medical University
Email: kaf_biohim@samsmu.ru
ORCID iD: 0000-0001-5992-3609
SPIN-code: 7638-1812
MD, Dr. Sci. (Medicine), Professor
Russian Federation, SamaraValentina P. Tlustenko
Samara State Medical University
Email: stas-763@yandex.ru
ORCID iD: 0000-0002-2756-5277
SPIN-code: 2737-9657
MD, Dr. Sci. (Medicine), Professor
Russian Federation, SamaraLarisa T. Volova
Samara State Medical University
Email: volovalt@yandex.ru
ORCID iD: 0000-0002-8510-3118
SPIN-code: 1499-7910
MD, Dr. Sci. (Medicine), Professor
Russian Federation, SamaraVladimir A. Koshelev
Samara State Medical University
Email: stomvk@yandex.ru
ORCID iD: 0000-0001-8479-0342
SPIN-code: 6886-6628
Russian Federation, Samara
Natalya V. Nogina
Samara State Medical University
Email: noginanatalya@mail.ru
ORCID iD: 0000-0001-8109-8713
SPIN-code: 1680-9834
MD, Cand. Sci. (Medicine), Associate Professor
Russian Federation, SamaraReferences
- Kulakov АА, Gvetadze RSh, Brailovskaya TV, et al. Modern approaches to dental implants placement in deficient alveolar bone. Stomatology. 2017;96(1):43–45. doi: 10.17116/stomat201796143-45 EDN: YGDILR
- Popov N. Clinical aspects application of the individual reconstructive implant from the material lyophilized by allogennogo at the expressed atrophy of the bone tissue of jaws. Actual Problems in Dentistry. 2018;14(2):86–92. doi: 10.18481/2077-7566-2018-14-2-86-92 EDN: XTXLRJ
- Avila-Ortiz G, Vegh D, Mukaddam K, et al. Treatment alternatives for the rehabilitation of the posterior edentulous maxilla. Periodontol 2000. 2023;93(1):183–204. doi: 10.1111/prd.12507 EDN: JTMLSG
- Canullo L, Del Fabbro M, Colantonio F, et al. Sinus floor augmentation using crestal approach in conjunction with hydroxyapatite/cross-linked collagen sponge: A pilot study. Clin Implant Dent Relat Res. 2023;25(5):974–983. doi: 10.1111/cid.13236
- Dam VV, Trinh HA, Rokaya D, Trinh DH. Bone augmentation for implant placement: Recent advances. Int J Dent. 2022;2022:8900940. doi: 10.1155/2022/8900940 EDN: SANIPW
- Chatzopoulos GS, Wolff LF. Dental implant failure and bone augmentation: A retrospective study. J Clin Exp Dent. 2023;15(3):e195–e204. doi: 10.4317/jced.60171 EDN: QXFOWC
- Ghasemirad M, Chitsazi MT, Faramarzi M, et al. Histological examination of the effect of concentrated growth factor (CGF) on healing outcomes after maxillary sinus floor augmentation surgery. J Med Life. 2023;16(2):267–276. doi: 10.25122/jml-2021-0294 EDN: ICTJIO
- Calciolari E, Corbella S, Gkranias N, et al. Efficacy of biomaterials for lateral bone augmentation performed with guided bone regeneration. A network meta-analysis. Periodontol 2000. 2023;93(1):77–106. doi: 10.1111/prd.12531 EDN: RSRMKG
- Mateo GD, Mazón-Esteve JP, Pineda-Villacorta CR, et al. Frequency of surgical bone augmentation methods complementary to dental implant placement: A study evaluated with cone beam computed tomography. J Clin Exp Dent. 2023;15(12):e1029–e1034. doi: 10.4317/jced.61148 EDN: FWSHTJ
- Morgan N, Meeus J, Shujaat S, et al. CBCT for diagnostics, treatment planning and monitoring of sinus floor elevation procedures. Diagnostics (Basel). 2023;13(10):1684. doi: 10.3390/diagnostics13101684 EDN: MJUQBH
- Gatin E, Nagy P, Iordache SM, et al. Preliminary assessment of in vivo Raman spectroscopy technique for bone quality evaluation of augmented maxillary sinus floor. Int J Environ Res Public Health. 2023;20(6):4789. doi: 10.3390/ijerph20064789 EDN: JYIOVG
- Tavelli L, Barootchi S, Rodriguez MV, et al. Characterization of oral biomarkers during early healing at augmented dental implant sites. J Periodontal Res. 2025;60(3):206–214. doi: 10.1111/jre.13328 EDN: FSMKTW
- Slesarev OV, Malchikova DV, Yunusova YuR, et al. Influence of soft tissue on the reparative abilities of the jaw bone tissue in patients with dentoalveolar lesions. Russian Journal of Dentistry. 2023;27 (2):111–119. doi: 10.17816/dent217214 EDN: TFAQLS
- Lumbikananda S, Srithanyarat SS, Mattheos N, Osathanon T. Oral fluid biomarkers for peri-implantitis: A scoping review. Int Dent J. 2024;74(3):387–402. doi: 10.1016/j.identj.2023.11.005 EDN: UMAXEQ
- Mitronin AV, Antonova OA. Biomarkers of mixed saliva as indicators of body condition. Russian Journal of Stomatology. 2022;(15)1:61–62. (In Russ.) EDN: WVMZVG
- Fadli NA, Abdul Rahman M, Karsani SA, Ramli R. Oral and gingival crevicular fluid biomarkers for jawbone turnover diseases: A scoping review. Diagnostics (Basel). 2024;14(19):2184. doi: 10.3390/diagnostics14192184 EDN: BDZSQE
- Tlustenko VP, Gil’miyarova FN, Golovina ES, et al. Preclinical diagnosis of dental periimplantitis. Russian Journal of Dentistry. 2011;(2):28–29. EDN: NWFCPH
- Kuzmina DA, Voroncov PV. Biochemical methods of assessment of bone metabolism. Markers and their clinical value. Medicine: Theory and Practice. 2018;3(S):99–106. EDN: YPUSCT
- Selezneva IA, Gilmiyarova FN, Kuzmicheva VI, et al. Secretor status of A and В antigens in saliva of healthy volunteers. Science of the Young (Eruditio Juvenium). 2019;7(4):548–556. doi: 10.23888/HMJ201974548-556 EDN: JPHIWP
- Stockmann W, Bablok W, Luppa P. Analytical performance of Elecsys 2010 — a multicentre evaluation. Wien Klin Wochenschr. 1998;110 Suppl. 3:10–21.
Supplementary files









