Comparative analysis of bone grafting materials for jaw defect reconstruction
- Authors: Samburova K.M.1, Amkhadova M.A.1, Mikaya M.Z.1
-
Affiliations:
- Moscow Regional Research and Clinical Institute
- Issue: Vol 29, No 4 (2025)
- Pages: 334-339
- Section: Original Study Articles
- Submitted: 23.06.2025
- Accepted: 17.07.2025
- Published: 29.08.2025
- URL: https://rjdentistry.com/1728-2802/article/view/685616
- DOI: https://doi.org/10.17816/dent685616
- EDN: https://elibrary.ru/ZEELRT
- ID: 685616
Cite item
Abstract
BACKGROUND: Autogenous bone remains the gold standard for grafting because of its osteogenic properties; however, its use is limited. Allogeneic and xenogeneic grafts are more convenient but require meticulous preparation. Combined approaches, including the use of growth factors, represent a promising direction. Optimal material selection should be tailored to individual patient factors and the clinical context. The article compares Russian-manufactured bone grafting materials with imported counterparts and reports a histological examination of the newly formed bone tissue.
AIM: To analyze newly formed bone tissue in patients following the use of contemporary bone graft materials.
METHODS: A total of 79 bone-augmentation procedures were performed using xenogeneic materials—both imported and Russian-manufactured grafts; 39 of these cases were selected for histological assessment of the newly formed bone. Patients were allocated into 3 groups according to the bone-graft combinations placed at implantation: group 1, Osteomatrix, Bioimplant GAP, and Biomatrix (Konektbiopharm, Russia); group 2, Bio-Oss and Bio-Gide (Geistlich Pharma AG, Switzerland); and group 3, bioOST and bioPLATE (Cardioplant, Russia). Biopsy specimens of newly formed bone were obtained 5 months postoperatively for subsequent histological assessment of tissue and cellular architecture.
RESULTS: Group 1 demonstrated predominance of mature lamellar bone with active osteoblasts and preosteoblasts. Application of the group 2 and group 3 grafts yielded high bone density and active osteogenesis, with trabecular bone formation.
CONCLUSION: Clinical, radiographic, and histological data suggest that Osteomatrix, Bioimplant GAP, Biomatrix, bioOST, and bioPLATE grafting materials support uniform bone regeneration. Their regenerative potential is comparable to that of imported counterparts, indicating their viability as alternative grafting materials.
Full Text
Обоснование
Дефекты костной ткани челюстей возникают вследствие травм, воспалительных процессов, врождённых аномалий, после удаления зубов, а также после опухолевых резекций [1, 2]. Создание прогнозируемой регенерации костной ткани в области оперативного вмешательства является актуальной проблемой хирургической стоматологии [3–5].
Применение костной пластики на сегодняшний день в связи с высокой распространённостью атрофии кости — это развитие реконструктивной хирургии, восстановление утраченной кости как ключевой этап в реабилитации пациентов функционально и эстетически [6]1.
Цель
Проанализировать новообразованную костную ткань пациентов после применения современного костнопластического материала, рассмотреть актуальные костнопластические материалы для оптимизации клинических результатов.
Методы
В отделении стоматологии сложных случаев Московского областного научно-исследовательского клинического института имени М.Ф. Владимирского обследовано 130 пациентов. Из них с частичным или полным отсутствием зубов — 73 пациента, а также 57 человек с хроническим периодонтитом, которым была показана костнопластическая операция после удаления зубов. В исследование включали пациентов с диагнозом «вторичное отсутствие зубов, сопровождающееся атрофией альвеолярной кости челюстей». По этому критерию из 130 пациентов в исследование вошли 39 человек, возраст которых составлял от 29 до 55 лет.
Для проведения данного исследования пациенты были разделены на 3 группы по 13 человек в каждой в зависимости от используемых комбинаций костнопластических материалов (табл. 1). Анализ новообразованной костной ткани проводили при помощи гистологического исследования во всех трёх группах.
Таблица 1. Распределение пациентов по группам, n/%
Группы исследования | Мужчины | Женщины | Итого |
1-я: применение костнопластического материала «Остеоматрикс», «Биоимплант ГАП», «Биоматрикс» («Конектбиофарм», Россия) | 6/15,4 | 7/17,9 | 13/33,3 |
2-я: применение костнопластического материала Bio-Oss, Bio-Gide (Geistlich Pharma AG, Швейцария) | 8/20,5 | 5/12,8 | 13/33,3 |
3-я: применение костнопластического материала bioOST, bioPLATE («Кардиоплант», Россия) | 7/17,9 | 6/15,4 | 13/33,3 |
Результаты
В 1-й группе (рис. 1) использовали комбинацию материалов «Остеоматрикс», «Биоимплант ГАП», «Биоматрикс» («Конектбиофарм», Россия). Исследовали заполнение костного дефекта спустя 5 мес с помощью конусно-лучевой компьютерной томографии (КЛКТ). Был отмечен хороший показатель плотности кости. Гистологическое исследование выполняли путём забора костной ткани перед операцией дентальной имплантации в области отсутствующих зубов спустя 5 мес после удаления, с консервацией лунки костнопластическими материалами.
Рис. 1. Фронтальная плоскость области костной пластики материалами «Остеоматрикс», «Биоимплант ГАП», «Биоматрикс» (мембрана коллагеновая) спустя 5 мес. Конусно-лучевая компьютерная томография
По данным гистологического исследования отмечается преобладание зрелой ламеллярной кости с активными остеобластами и преостеобластами, многоядерные остеокласты ещё обнаруживаются на границах остатков материала (рис. 2).
Рис. 2. Новообразованная костная ткань после применения комбинации костнопластических материалов «Остеоматрикс», «Биоимплант ГАП», «Биоматрикс». Окраска гематоксилином и эозином
Пациентам 2-й группы (рис. 3) применяли комбинацию материалов Bio-Oss, Bio-Gide (Geistlich Pharma AG, Швейцария). Отмечается хороший показатель плотности кости. При гистологическом описании наблюдается наличие небольшого количества остеобластов, визуализируются остеоидные структуры, молодые костные трабекулы, базофильные участки с хаотично расположенными коллагеновыми волокнами (рис. 4).
Рис. 3. Сагиттальная плоскость области костной пластики материалами Bio-Oss, Bio-Gide спустя 5 мес. Конусно-лучевая компьютерная томография
Рис. 4. Срез новообразованной костной ткани после применения комбинации костнопластических материалов Bio-Oss, Bio-Gide. Окраска гематоксилином и эозином
В 3-й группе использовали комбинацию материалов bioOST, bioPLATE («Кардиоплант», Россия). По данным КЛКТ визуализируется плотный участок новообразованной кости в области оперативного вмешательства (рис. 5).
Рис. 5. Сагиттальная плоскость области костной пластики материалами bioOST, bioPLATE спустя 5 мес. Конусно-лучевая компьютерная томография
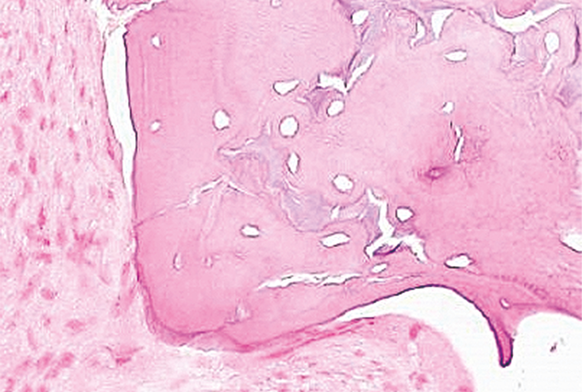
При исследовании гистологических срезов, окрашенных гематоксилином и эозином, отмечается активный остеогенез с формированием трабекулярной кости, резорбцией трансплантата и его замещением зрелой костной тканью (рис. 6).
Рис. 6. Новообразованная костная ткань после применения комбинации материалов bioOST, bioPLATE. Окраска гематоксилином и эозином
Обсуждение
Костная ткань представляет собой постоянно изменяющийся комплекс структур, который способен самовосстанавливаться и адаптироваться к новым нагрузкам [7, 8]. Ремоделирование костной ткани объединяет в себе сбалансированные процессы резорбции остеокластами и формирование новых структур остеобластами [9–11].
Заключение
Анализ полученных данных клинических, лучевых и гистологических методов исследования свидетельствует о том, что применение аугментата «Остеоматрикс», «Биоимплант ГАП», «Биоматрикс» и bioOST, bioPLATE приводит к равномерной регенерации костной ткани. Данные материалы не уступают по своим регенеративным свойствам зарубежным аналогам и могут являться альтернативой им.
Дополнительная информация
Вклад авторов. К.М. Самбурова — разработка концепции исследования, формулирование цели, написание статьи, участие в экспериментальной части; М.А. Амхадова — научное руководство, анализ полученных данных, утверждение окончательной версии статьи; М.З. Микая — сбор клинического материала, оформление иллюстративного материала. Все авторы одобрили рукопись (версию для публикации), а также согласились нести ответственность за все аспекты работы, гарантируя надлежащее рассмотрение и решение вопросов, связанных с точностью и добросовестностью любой её части.
Этическая экспертиза. Проведение оригинального исследования одобрено независимым комитетом по этике при ГБУЗ МО МОНИКИ им. М.Ф. Владимирского (протокол № 15 от 18.10.2023). Все участники подписали форму информированного добровольного согласия до включения в исследование.
Источники финансирования. Отсутствуют.
Раскрытие интересов. Авторы заявляют об отсутствии отношений, деятельности и интересов за последние три года, связанных с третьими лицами (коммерческими и некоммерческими), интересы которых могут быть затронуты содержанием статьи.
Оригинальность. При создании настоящей работы авторы не использовали ранее опубликованные сведения (текст, иллюстрации, данные).
Доступ к данным. Все данные, полученные в настоящем исследовании, доступны в статье.
Генеративный искусственный интеллект. При создании настоящей статьи технологии генеративного искусственного интеллекта не использовали.
Рассмотрение и рецензирование. Настоящая работа подана в журнал в инициативном порядке и рассмотрена по обычной процедуре. В рецензировании участвовали два внешних рецензента, член редакционной коллегии и научный редактор издания.
Дисклеймер. Взгляды, выраженные авторами в настоящей статье, являются собственными, а не официально позицией организаций или любой другой заинтересованной стороной.
Additional information
Author contributions: K.M. Samburova: conceptualization, investigation, writing―original draft; M.A. Amkhadova: supervision, formal analysis, writing―review & editing; M.Z. Mikaya: investigation, visualization. All the authors approved the final version of the manuscript for publication and agreed to be accountable for all aspects of the work, ensuring that questions related to the accuracy or integrity of any part of the work are appropriately investigated and resolved.
Ethics approval: The original study was approved by the Independent Ethics Committee of the Moscow Regional Research and Clinical Institute (Protocol No. 15, October 18, 2023). All participants provided written informed consent prior to inclusion in the study.
Funding sources: No funding.
Disclosure of interests: The authors have no relationships, activities, or interests for the last three years related to for-profit or not-for-profit third parties whose interests may be affected by the content of the article.
Statement of originality: No previously published material (text, images, or data) was used in this work.
Data availability statement: All data generated during this study are available in this article.
Generative AI: No generative artificial intelligence technologies were used to prepare this article.
Provenance and peer review: This paper was submitted unsolicited and reviewed following the standard procedure. The peer review process involved two external reviewers, a member of the editorial board, and the in-house scientific editor.
Disclaimer: The views expressed in this article are solely those of the authors and do not necessarily represent the official positions of their affiliated institutions or of any other stakeholder.
1 Гузов С.А., Остапович А.А., Ивашенко С.В. Патоморфологические изменения в костной ткани вокруг дентальных имплантов при стимуляции их остеоинтеграции. В: Инновации и актуальные проблемы морфологии. Минск: БГМУ; 2021 [CD-ROM]. Режим доступа: https://rep.bsmu.by/handle/BSMU/33948
About the authors
Kristina M. Samburova
Moscow Regional Research and Clinical Institute
Author for correspondence.
Email: samburova-cristina@yandex.ru
ORCID iD: 0009-0002-7621-2811
Russian Federation, 61/2 Shchepkina st, Moscow, 129110
Malkan A. Amkhadova
Moscow Regional Research and Clinical Institute
Email: amkhadova@mail.ru
ORCID iD: 0000-0002-9105-0796
SPIN-code: 3018-7883
MD, Dr. Sci. (Medicine), Professor
Russian Federation, 61/2 Shchepkina st, Moscow, 129110Mariam Z. Mikaya
Moscow Regional Research and Clinical Institute
Email: mmikaa61@gmail.com
ORCID iD: 0009-0000-4361-3542
Russian Federation, 61/2 Shchepkina st, Moscow, 129110
References
- Lagoda VA, Moroz VR, Elcheva LA. Comparative characteristics of bone-plastic materials for the prevention of gum atrophy during single-stage implantation in conditions of a preserved tooth socket. In: Proceedings of the international scientific conference “University Science: A Look into the Future”. 2020. P. 237–239. (In Russ.) EDN: CCAKJK
- Red’’ko NA, Drobyshev AJu, Shamrin SV, Miterev AA. Analysis of the efficiency of the method of preservation of sockets of extracted teeth in the preimplantation period. Russian Journal of Stomatology. 2020;13(2):31–32. (In Russ.) EDN: HZBKWO
- Kannoeva MV, Ushakov AI, Zorjan EV. Use of xenogenic osteoplastic materials in dental implantation. Parodontologiya. 2015;20(2):81–84. (In Russ.) EDN: TUFVOP
- Shukparov AB, Shomurodov KE, Mirkhusanova RS. Principles of directed bone regeneration: critical preoperative factors and success criteria. Integrative Dentistry and Maxillofacial Surgery. 2022;1(1):10–13. EDN: SBTTSI
- Moiseeva NS, Kharitonov DYu, Kharitonov ID, et al. Clinical and laboratory evaluation of morphological parameters in osteoplastic materials used in alveolar bone augmentation. Journal of New Medical Technologies, Eedition. 2021;15(4):18–23. doi: 10.24412/2075-4094-2021-4-1-3 EDN: WOAVRB
- Sipkin AM, Modina TN, Gnatyuk ND, Okshin DU. Collagen-containing osteoplastic materials: a review. Clinical Dentistry (Russia). 2023;26(4):152–159. EDN: IIGWBY doi: 10.37988/1811-153X_2023_4_152 EDN: IIGWBY
- De Angelis N, Felice P, Pellegrino G, et al. Guided bone regeneration with and without a bone substitute at single post-extractive implants: 1-year post-loading results from a pragmatic multicentre randomised controlled trial. Eur J Oral Implantol. 2011;4(4):313–325.
- Galindo-Moreno P, Padial-Molina M, Lopez-Chaichio L, et al. Algae-derived hydroxyapatite behavior as bone biomaterial in comparison with anorganic bovine bone: A split-mouth clinical, radiological, and histologic randomized study in humans. Clin Oral Implants Res. 2020;31(6):536–548. doi: 10.1111/clr.13590 EDN: HARMXR
- Anastasieva EA, Cherdantseva LA, Tolstikova TG, Kirilova IA. Deproteinized bone tissue as a matrix for tissue-engineered construction: experimental study. Traumatology and Orthopedics of Russia. 2023;29(1):46–59. doi: 10.17816/2311-2905-2016 EDN: GBQYIC
- Slesarev OV, Malchikova DV, Yunusova YuR, et al. Influence of soft tissue on the reparative abilities of the jaw bone tissue in patients with dentoalveolar lesions. Russian Journal of Dentistry. 2023;27(2):111–119. doi: 10.17816/dent217214 EDN: TFAQLS
- Virva OЄ, Golovіna JaO, Malik RV. Experimental-histological study of repairative osteogenesis under the conditions of different methods of allotransplant fixation during allocomposite endoprosthesis of long bones. Orthopaedics, Traumatology and Prosthetics. 2017;(2):70–77. (In Ukranian). doi: 10.15674/0030-59872017270-77 EDN: YUDNZA
Supplementary files










