Morphometric characteristics of changes in the retrosplenial cortex of mice during social stress modeling
- Authors: Dorofeev N.A.1,2, Smirnov A.V.1, Samarkin D.D.1, Turenkov I.N.1, Bykhalov L.S.1
-
Affiliations:
- Volgograd State Medical University
- Volgograd Regional Clinical Oncology Center
- Issue: Vol 22, No 1 (2025)
- Pages: 57-65
- Section: Articles
- Published: 19.04.2025
- URL: https://rjdentistry.com/2658-4514/article/view/678718
- DOI: https://doi.org/10.19163/2658-4514-2025-22-1-57-65
- ID: 678718
Cite item
Full Text
Abstract
Studies of the morphological substrate of stress effects on the organism help to understand the role of various brain structures in reactions to stressors, but the detailed mechanisms of these reactions remain poorly understood. Purpse. To study morphofunctional changes in the retrosplenial cortex, one of the important structures in the brain's reactions to stress, when modeling social stress in mice in comparison with intact animals. Materials and Methods. The study was performed on CBA (lac) mice in the paradigm of chronic social defeat stress for 20 days. After the animals were withdrawn from the experiment, micropreparations with Nissl staining, photofixation and qualitative and quantitative analysis with statistical processing were made from the brain material. Results end discussion. According to the morphometry results, there was a reliable increase in the perimeter of neuronal nuclei by 7.3 % (3.0–11.5 %) and the perimeter of perikarya by 9.5 % (5.1–14.0 %) in V layer of the granular retrosplenial cortex. However, these processes were accompanied by a decrease in the density of neurons with decrease in the relative areas of pericaryons by 16.5 % (8.7–24.3 %) and nuclei of neurons by 16.3 % (9.3–25.6 %). At the same time, there were opposite changes in the II/III layer of the agranular retrosplenial cortex in the form of neuron atrophy with a significant decrease in the area of the nuclei by 15.9 % (9.5–22.3 %), the perimeter of the nuclei by 7.8 % (4.5–11.1 %) and the perimeter of the pericaryons by 7.1 % (3.7–10.4 %), which also developed on against the background of a decrease in the density of neurons with a decrease in the relative area of their nuclei by 13.2 % (7.5–18.9 %). Conclusion. The obtained results are morphological evidence of the participation of the retrosplenial cortex in the body's response to chronic social stress of defeat in the form of reciprocal changes in its substructures.
Keywords
Full Text
Согласно современным представлениям хронический умеренный стресс могут вызывать различные причины. У человека особое значение имеют социальные факторы, связанные как с конфликтами в повседневной жизни, так и с глобальными событиями. Эти негативные воздействия, затрагивающие широкие слои населения, могут привести к дезадаптации и развитию заболеваний психической сферы с развернутой симптоматикой, в том числе депрессии и посттравматического стрессового расстройства [1–4].
На текущий момент существует много методов лекарственной терапии как указанных заболеваний, так и более мягких психических расстройств и тревожных состояний. Однако детальные механизмы их действия во многом остаются недостаточно изученными [4]. Особенно данный факт относится к исследованиям морфологического субстрата воздействия хронического стресса на организм, что возможно только в рамках эксперимента с участием животных, преимущественно крыс и мышей. С помощью различных экспериментальных моделей депрессии изучается роль отдельных структур головного мозга в реакции организма на патологические воздействия различной природы, в том числе физической, химической, социальной. Среди наиболее значимых и изученных в контексте развития депрессивно- / тревожно-подобных состояний выделяют гиппокамп и медиальную префронтальную кору, в меньшей степени – ядра миндалевидного тела и иные структуры конечного мозга, например, переднюю поясную кору, зрительную кору, таламус, скорлупу, латеральную перегородку [1–11]. В последнее время накапливаются данные относительно участия в реакциях на подобные стрессоры ретроспленальной коры (РСК), описанную как у грызунов, так и у приматов, в том числе у человека [3, 9, 10, 12].
Структурно в РСК выделяют гранулярную и агранулярную (дисгранулярную) части, в которых выражены или, наоборот, не выражены II и IV зернистые (гранулярные) слои [9]. В головном мозге мыши гранулярная часть располагается на медиальной поверхности в межполушарной борозде, начинаясь вентрально от мозолистого тела и переходя дорсально в агранулярную часть. Последняя располагается на границе медиальной и верхнелатеральной поверхностей с продолжением латерально во вторичную моторную кору.
Топографическая близость к зрительным областям и структурам лимбической системы, в частности к гиппокампу, обеспечивают значимую роль РСК в пространственной ориентации, процессах запоминания, воображении и связанных когнитивных функциях [3, 8–10, 12]. В контексте реакций на стресс и развития депрессивно- / тревожно-подобных состояний РСК отводится роль в запоминании условий, в которых происходило патологическое воздействие, и информации о предшествовавших ему стимулах при моделировании контекстно-обусловленного страха [9, 10, 12]. При этом накапливаются данные, что разные ее области могут иметь различные и даже противоположные функции при моделировании указанных процессов [9, 12].
ЦЕЛЬ РАБОТЫ
Изучить качественные и количественные морфофункциональные изменения в РСК головного мозга мышей при моделировании хронического социального стресса поражения в сравнении с интактными животными.
МЕТОДИКА ИССЛЕДОВАНИЯ
Исследование выполнено на мышах (n = 13) линии CBA (lac) возрастом 4 месяца массой 20–25 граммов, а также животных линии C57BL/6 и нелинейных мышах. Работу с животными проводили в соответствии с Европейской конвенцией о защите позвоночных животных, используемых в экспериментальных и других научных целях (Страсбург, 1986). На проведение исследования получено разрешение локального этического комитета ФГБОУ ВО ВолгГМУ Минздрава России (№ 2022/160 от 3.11.2022).
Эксперимент производился в парадигме хронического социального стресса поражения [2, 6, 7, 13, 14]. Для этого использовались специальные клетки, разделенные пополам прозрачным барьером со сквозными отверстиями, которые позволяли мышам видеть, слышать и чувствовать запахи друг друга, но предотвращали физический контакт между ними.
Предварительно, перед началом моделирования депрессивного состояния, осуществлялся отбор животных «агрессоров» – победителей. Для этого в домашнюю клетку с животными (линии C57BL/6 и нелинейными) помещалось одно незнакомое животное из другой клетки и оценивался характер их взаимодействия. В группу «агрессоры» выбирались те мыши, которые активно защищали свою территорию, проявляли агрессивные действия в отношении «чужака». После выявления с целью обосноваться в новой среде животное «агрессор» на 3 суток перемещалось в свою часть клетки, разделенной барьером, где заранее были подготовлены опилки и материалы, необходимые для строительства домика и обогащения среды.
В группу «жертв» выбирались самцы линии CBA (lac) возрастом 4 месяца, каждый из которых спустя 3 суток перемещался в свою часть клетки, разделенной перегородкой. В последующем ежедневно, на протяжении 10 суток, побежденное животное перемещали в новую клетку к неизвестному ему ранее агрессору и убирали барьер, отделяющий их друг от друга, провоцируя, таким образом, агрессора защищать собственную территорию от новичка и вступать в физические конфронтации с ним. Если физический контакт (драка) между агрессором и жертвой продолжались непрерывно 3 минуты, то между ними обратно устанавливали преграду, в противном случае продолжительность столкновений длилась 10 минут. На 4–5-е сутки ежедневных столкновений животные со статусом «жертвы» в большей части прекращали оказывать должное сопротивление на акты агрессии со стороны победителя, в результате чего продолжительность конфронтаций между мышами сокращали до 30 секунд, с целью предотвращения травмирования животных.
Далее начинался этап 10-дневного лечения, которое проводилось на фоне продолжения ежедневных социальных конфронтаций. В данной статье рассматриваются группы интактных животных (не подвергающихся воздействую стрессовых факторов) и стрессированные животные, которым во втором периоде вводился 0,9%-й раствор NaCl. Спустя 10 дней терапии стрессирование прекращалось, животных выводили из эксперимента методом цервикальной дислокации с последующей декапитацией.
Для дальнейшего анализа использовались образцы головного мозга 6 мышей интактной группы и 7 – группы стресса. Морфологическое исследование проводилось на фронтальных срезах на уровне -1,255 : -2,555 мм от Брегмы, из которых изготавливались микропрепараты, окрашенные тионином по методу Ниссля по стандартной процедуре. Далее проводилась фотофиксация с использованием микроскопа «Axio Lab. A1» (Carl Zeiss Microscopy GmbH, Germany), фото- / видеокамеры «AxioCam 105 color» (Carl Zeiss Microscopy GmbH, Germany). На полученных микрофотографиях выполнена морфометрия с подсчетом площади (мкм2) и периметра (мкм) ядер и перикарионов нейронов, площади (мкм2) цитоплазмы перикарионов на 30 клетках. Также были рассчитаны относительные площади ядер, перикарионов нейронов и цитоплазмы перикарионов по формуле «Относительный показатель = Площадь структуры / Площадь тест системы», где под тест-системой подразумевается анализируемая область интереса. Кроме того, представлен показатель ядерно-цитоплаз-матического отношения (ЯЦО), рассчитанный по формуле «ЯЦО = площадь ядра / площадь цитоплазмы перикариона». Измерения выполнялись в программе Image-Pro Plus (Media Cybernetics, USA) каждой из следующих структур: II/III, V слоях гранулярной (РСГК) и агранулярной / дисгранулярной (РСАК) частей РСК.
Статистическая обработка осуществлялась с использованием языка программирования R (версия 4.3.1) и среды разработки RStudio. Производился расчет параметров описательной статистики, включая среднее (M, Mean), стандартное отклонение (SD, Standard Deviation), медиану (Me, Median), 1-й и 3-й квартили (Q1, Q3).
Характер распределения указанных количественных непрерывных переменных оценивался с помощью приведенных показателей описательной статистики, теста Shapiro-Wilk (SW-test, тест на нормальность распределения), а также графической визуализации с построением «box-plot» («ящик с усами»).
На следующем этапе, в зависимости от характера распределения, проводился либо Welch Two Sample t-test (t-критерий Уэлча, модификация t-критерия Стьюдента, не предполагающий равенства дисперсий в сравниваемых выборках), либо его непараметрический аналог – Wilcoxon rank sum test (критерий суммы рангов Уилкоксона, син. тест Манна – Уитни) – с расчетом уровня значимости «p-value».
Для учета факта множественных сравнений и корректировки p-value была использована поправка по методу Benjamini & Yekutieli. Порог уровня значимости (a) установлен в 5 % (0,05).
Для показателей и локализаций, в которых установлены статистически значимые различия, рассчитана разность средних между группой стресса и группой интакта с построением 95 % доверительного интервала (ДИ) методом классического бутсрэпа (bootstrap) с представлением в виде «Средняя разность (Нижняя граница 95 % ДИ – Верхняя граница 95 % ДИ)». Также указанные показатели разности представлены в формате процентного изменения относительно значений в интактной группе в виде «Средний % изменений [Нижняя граница 95 % ДИ (%) – Верхняя граница 95 % ДИ (%)]».
РЕЗУЛЬТАТЫ ИССЛЕДОВАНИЯ И ИХ ОБСУЖДЕНИЕ
В работах, посвященных исследованию участия РСК в реакции организма на стрессовые воздействия, наиболее часто исследовались II и V слои гранулярной части, а также II/III и V слои агранулярной части, так как в данной области отсутствует оформленный II слой.
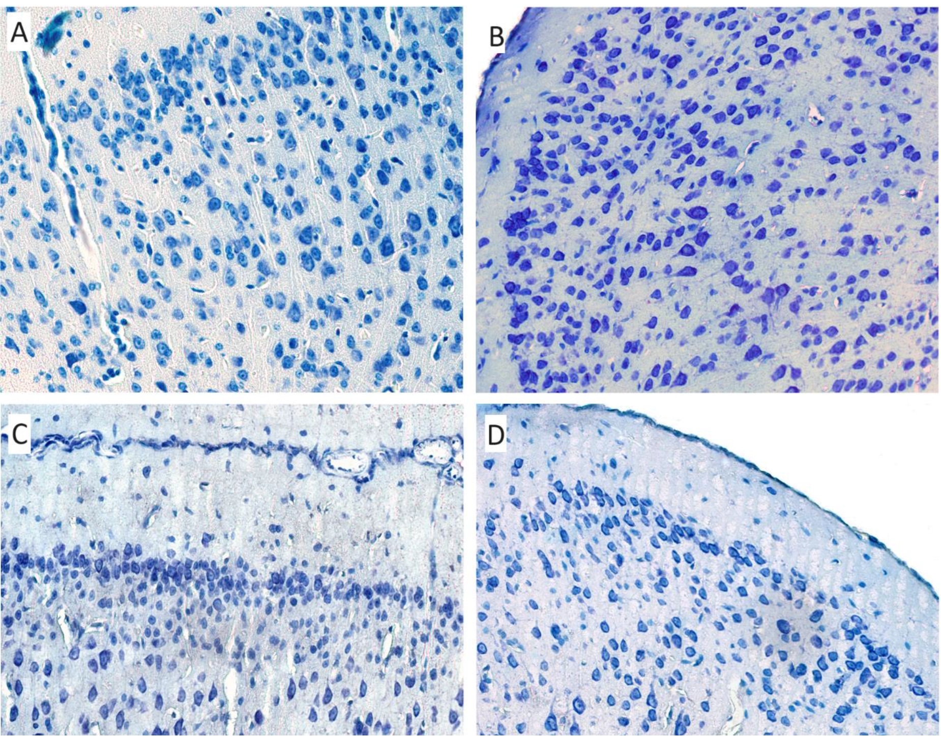
При гистологическом исследовании препаратов головного мозга, окрашенных по Нисслю, в гранулярной части ретроспленальной коры не отмечено значительной вариабельности формы и расположения нейронов II/III и V слоев между животными разных групп (см. рис.). В группе стрессированных мышей нейроны данной зоны имели тенденцию к более компактному и упорядоченному расположению. В то же время заметные различия в морфологии слоев агранулярной части ретроспленальной коры не были обнаружены при визуальной качественной оценке микропрепаратов.
Рис. Гистологическое строение ретроспленальной коры головного мозга мыши, окраска тионином по методу Ниссля, ×400: A, C – гранулярная ретроспленальная кора головного мозга; B, D – агранулярная ретроспленальная кора головного мозга; A, B – группа интактных мышей; C, D – группа стрессированных мышей
По данным морфометрии в каждой из описанных 4 зон (по 2 слоя нейронов в двух частях) ретроспленальной коры головного мозга получены результаты, представленные в табл. 1–4.
Таблица 1
Морфометрические показатели нейронов гранулярной ретроспленальной коры головного мозга II–III слоев
Показатель | Интакт | Стресс |
Периметр перикариона нейрона, мкм | 28,84 ± 7,43, 25,89 (23,36; 33,31) | 28,22 ± 5,56, 27,1 (24,69; 30,25) |
Периметр ядра нейрона, мкм | 18,32 ± 4,86, 16,5 (14,79; 21,64) | 17,80 ± 3,68, 17,04 (15,63; 19,18) |
Площадь перикариона нейрона, мкм2 | 42,10 ± 21,45, 32,93 (27,47; 52,08) | 38,89 ± 15,49, 35,14 (29,8; 42,34) |
Относительная площадь перикариона нейрона | 1,16 ± 0,46, 1,08 (0,86; 1,36) | 1,08 ± 0,37, 1,02 (0,78; 1,33) |
Площадь цито плазмы перикариона нейрона, мкм2 | 23,21 ± 12,00, 19,27 (14,61; 28,44) | 21,78 ± 8,80, 19,94 (16,09; 24,82) |
Относительная площадь цитоплазмы перикариона нейрона | 0,64 ± 0,27, 0,58 (0,45; 0,75) | 0,61 ± 0,23, 0,54 (0,43; 0,77) |
Площадь ядра нейрона, мкм2 | 18,88 ± 10,07, 14,68 (12,06, 23,98) | 17,11 ± 7,53, 15,53 (12,88; 18,61) |
Относительная площадь ядра нейрона | 0,52 ± 0,21, 0,48 (0,38; 0,61) | 0,47 ± 0,17, 0,46 (0,34;0,57) |
ЯЦО нейрона | 0,83 ± 0,19, 0,81 (0,69; 0,96) | 0,80 ± 0,19, 0,78 (0,67; 0,92) |
Примечание: данные в ячейках представлены в формате M ± SD, Me (Q1; Q3).
Таблица 2
Морфометрические показатели нейронов гранулярной ретроспленальной коры головного мозга, слой V
Показатель | Интакт | Стресс |
Периметр перикариона нейрона, мкм | 34,75 ± 7,88, 34,39 (28,16; 40,75) | 38,06 ± 7,56, 37,36 (33,83; 42,37) |
Периметр ядра нейрона, мкм | 21,33 ± 4,86, 21,11 (17,68; 25,11) | 22,89 ± 4,10, 22,93 (20,4; 25,68) |
Площадь перикариона нейрона, мкм2 | 59,05 ± 25,39, 55,90 (38,94; 75,93) | 65,44 ± 23,23, 63,67 (50,52; 76,99) |
Относительная площадь перикариона нейрона | 1,03 ± 0,46, 0,99 (0,67; 1,29) | 0,86 ± 0,33, 0,8 (0,63; 1,03) |
Площадь цитоплазмы перикариона нейрона, мкм2 | 34,58 ± 16,43, 32,25 (21,79; 44,58) | 38,65 ± 15,86, 36,94 (27,94; 46,24) |
Относительная площадь цитоплазмы перикариона нейрона | 0,60 ± 0,29, 0,56 (0,39; 0,75) | 0,51 ± 0,21, 0,47 (0,36; 0,60) |
Площадь ядра нейрона, мкм2 | 24,47 ± 10,65, 22,56 (16,03; 32,04) | 26,79 ± 9,25, 25,97 (21,23; 31,22) |
Относительная площадь ядра нейрона | 0,43 ± 0,20, 0,40 (0,27; 0,56) | 0,36 ± 0,14, 0,33 (0,26; 0,42) |
ЯЦО нейрона | 0,75 ± 0,21, 0,73 (0,60; 0,87) | 0,74 ± 0,21, 0,72 (0,59; 0,88) |
Примечание: данные в ячейках представлены в формате M ± SD, Me (Q1, Q3).
Таблица 3
Морфометрические показатели нейронов агранулярной ретроспленальной коры головного мозга II–III слоев
Показатель | Интакт | Стресс |
Периметр перикариона нейрона, мкм | 33,96 ± 6,41, 32,87 (29,19; 38,03) | 31,56 ± 4,60, 31,36 (28,13; 34,65) |
Периметр ядра нейрона, мкм | 21,21 ± 3,79, 20,83 (18,4; 23,65) | 19,54 ± 3,13, 19,27 (17,56; 21,46) |
Площадь перикариона нейрона, мкм2 | 55,49 ± 19,73, 49,45 (41,48; 65,45) | 48,44 ± 14,05, 47 (38,9; 56,21) |
Относительная площадь перикариона нейрона | 1,21 ± 0,41, 1,14 (0,92; 1,48) | 1,08 ± 0,31, 1,06 (0,88;1,27) |
Площадь цитоплазмы перикариона нейрона, мкм2 | 31,11 ± 12,39, 28,73 (22,65; 37,7) | 27,92 ± 9,02, 27,14 (21,39; 33,88) |
Относительная площадь цитоплазмы перикариона нейрона | 0,68 ± 0,26, 0,65 (0,50; 0,82) | 0,62 ± 0,19, 0,61 (0,49; 0,72) |
Площадь ядра нейрона, мкм2 | 24,38 ± 8,9, 22,10 (18,50; 28,40) | 20,51 ± 6,29, 19,59 (16,41; 23,39) |
Относительная площадь ядра нейрона | 0,53 ± 0,18, 0,50 (0,41; 0,66) | 0,46 ± 0,15, 0,45 (0,35; 0,53) |
ЯЦО нейрона | 0,82 ± 0,23, 0,81 (0,67; 0,94) | 0,76 ± 0,21, 0,72 (0,62; 0,89) |
Примечание: данные в ячейках представлены в формате M ± SD, Me (Q1, Q3).
Таблица 4
Морфометрические показатели нейронов агранулярной ретроспленальной коры головного мозга, слой V
Показатель | Интакт | Стресс |
Периметр перикариона нейрона, мкм | 35,00 ± 8,46, 35,01 (28,81; 40,75) | 36,90 ± 9,70, 35,51 (30,54; 43,21) |
Периметр ядра нейрона, мкм | 20,87 ± 4,47, 21,10 (17,79; 23,82) | 21,37 ± 4,50, 21,85 (18,05; 24,56) |
Площадь перикариона нейрона, мкм2 | 60,87 ± 26,29, 57,92 (40,40; 78,65) | 65,07 ± 31,19, 57,10 (42,18; 85,92) |
Относительная площадь перикариона нейрона | 1,00 ± 0,44, 0,96 (0,65; 1,29) | 0,96 ± 0,45, 0,86 (0,61; 1,19) |
Площадь цитоплазмы перикариона нейрона, мкм2 | 37,14 ± 18,62, 32,94 (22,32; 50,28) | 40,61 ± 23,32, 33,73 (23,59; 54,47) |
Относительная площадь цитоплазмы перикариона нейрона | 0,61 ± 0,30, 0,55 (0,36; 0,82) | 0,59 ± 0,31, 0,51 (0,36; 0,74) |
Площадь ядра нейрона, мкм2 | 23,73 ± 9,39, 23,53 (16,42; 29,92) | 24,46 ± 9,56, 23,95 (17; 30,77) |
Относительная площадь ядра нейрона | 0,39 ± 0,16, 0,38 (0,27; 0,48) | 0,37 ± 0,16, 0,33 (0,25; 0,47) |
ЯЦО нейрона | 0,69 ± 0,19, 0,69 (0,56; 0,82) | 0,68 ± 0,23, 0,64 (0,51; 0,85) |
Примечание: данные в ячейках представлены в формате M ± SD, Me (Q1, Q3).
Согласно анализу характера распределений полученных данных в качестве метода сравнения t-критерий Уэлча был выбран для показателей «Периметр перикариона нейрона» в зонах РСГК V, РСАК II/III, РСАК V; «Площадь ядра нейрона» в зонах РСГК V, РСАК V; «ЯЦО нейрона» в зонах РСГК II/III, РСАК V. Для остальных комбинаций «Показатель-Зона ретроспленальной коры» сравнение производилось с помощью теста Манна – Уитни.
По результатам попарных сравнений и расчетов p-value по описанной выше методике достоверные различия между интактной и стрессированной группами установлены для следующих показателей:
- «Периметр перикариона нейрона» – зоны РСГК V [увеличение на 3,31 (1,76–4,85) мкм либо 9,5 % (5,1–14,0 %) в группе стресса], РСАК II/III [уменьшение на 2,4 (1,27–3,53) мкм либо 7,1 % (3,7–10,4 %) в группе стресса];
- «Периметр ядра нейрона» – зоны РСГК V [увеличение на 1,56 (0,65–2,46) мкм либо 7,3 % (3,0–11,5 %) в группе стресса], РСАК II/III [уменьшение на 1,66 (0,96–2,36) мкм, 7,8 % (4,5–11,1 %) в группе стресса];
- «Относительная площадь перикариона нейрона» – зона РСГК V [уменьшение на 0,17 (0,09– 0,25) либо 16,5 % (8,7–24,3 %) в группе стресса];
- «Площадь ядра нейрона» – зона РСАК II/III [уменьшение на 3,87 (2,31–5,43) мкм2 либо 15,9 % (9,5–22,3 %) в группе стресса];
- «Относительная площадь ядра нейрона» – зона РСГК V [уменьшение на 0,07 (0,04–0,11) либо 16,3 % (9,3–25,6 %) в группе стресса], РСАК II/III [уменьшение 0,07 (0,04–0,1) либо на 13,2 % (7,5–18,9 %) в группе стресса].
Для показателей «Площадь перикариона нейрона», «Площадь цитоплазмы перикариона нейрона», «Относительная площадь цитоплазмы перикариона нейрона», «ЯЦО нейрона» не обнаружено достоверных различий в исследуемых зонах ретроспленальной коры.
Таким образом, в слое V гранулярной РСК периметры перикариона и ядра в абсолютных значениях увеличивались, однако относительные площади перикариона и ядра уменьшались.
Данные изменения соответствуют гипертрофии нейронов, обусловленной, вероятно, их гиперфункцией на фоне снижения плотности распределения. При этом однонаправленно с периметрами перикариона и ядра отмечено увеличение площадей, которые, однако, не достигали статистической значимости.
В слое II/III агранулярной РСК имелось уменьшение по всем представленным показателям в группе стресса по сравнению с интактными животными. Данные изменения соответствуют атрофическим процессам как на клеточном (нейрональном), так и тканевом уровне в виде снижения плотности нейронов.
Полученные морфометрические данные укладываются в формирующуюся в настоящее время концепцию относительно разнонаправленного участия субрегионов РСК в реакциях на стресс. Так, гранулярная и агранулярная РСК имели диссоциативные изменения регионального оксидативного метаболизма в ответ на хронический стресс, более выраженные в специально отобранных уязвимых животных [15]. Кроме того, важную роль в этих изменениях может играть гиппокамп, прямые проекции которого связаны с гранулярной РСК и задействованы в работе памяти [9]. Сама же РСК в ряде задач может быть «корковой альтернативой гиппокампа» [3]. Однако имеются работы, в которых изменения в обоих субрегионах РСК реагировали на патологические воздействия схожим образом [4].
Стоит также отметить, что большинство авторов в своих публикациях не разделяют РСК на субрегионы либо исследуют только один из них. По этой причине дальнейшие изучение роли гранулярной и агранулярной РСК, а также разных ее слоев остается актуальной задачей морфологии.
ЗАКЛЮЧЕНИЕ
По результатам гистологического исследования головного мозга мышей линии CBA/lac, установлено, что в слое V гранулярной РСК происходит увеличение размеров нейронов (гипертрофия) у стрессированных животных относительно представителей интактной группы, о чем свидетельствует достоверное увеличение периметров их ядер на 7,3 % (3,0–11,5 %) и перикарионов на 9,5 % (5,1–14,0 %). Однако эти изменения развиваются на фоне снижения плотности нейронов, подтверждающейся уменьшением относительных площадей перикарионов 16,5 % (8,7–24,3 %) и ядер нейронов на 16,3 % (9,3–25,6 %) в группе стресса.
При этом имелись противоположные изменения во II/III слое агранулярной РСК в виде процессов атрофии нейронов, подтверждающихся достоверным уменьшением размеров нейронов – площади ядер на 15,9 % (9,5–22,3 %), периметра ядер на 7,8 % (4,5–11,1 %) и периметра перикарионов на 7,1 % (3,7–10,4 %), которым также сопутствовало снижение плотности нейронов в виде снижения относительной площади их ядер на 13,2 % (7,5–18,9 %).
Таким образом, получены дополнительные морфологические доказательства участия ретроспленальной коры головного мозга в ответе организма на хронический социальный стресс поражения в виде реципрокных изменений в ее субструктурах.
About the authors
Nikita A. Dorofeev
Volgograd State Medical University; Volgograd Regional Clinical Oncology Center
Author for correspondence.
Email: dorofeev.na@mail.ru
Assistant of the Department of Pathological Anatomy, pathologist, Pathology Department, Volgograd Regional Clinical Oncology Center
Russian Federation, Volgograd; VolgogradAlexey V. Smirnov
Volgograd State Medical University
Email: alexeysmirnov.volggmu@gmail.com
ORCID iD: 0000-0001-5351-6105
Doctor of Medical Sciences, Professor, Head of the Department of Pathological Anatomy
Russian Federation, VolgogradDaniil D. Samarkin
Volgograd State Medical University
Email: arneld@list.ru
ORCID iD: 0009-0001-3858-7279
postgraduate student of the Department of Pharmacology and Pharmacy
Russian Federation, VolgogradIvan N. Turenkov
Volgograd State Medical University
Email: fibfuv@mail.ru
ORCID iD: 0000-0001-7574-3923
Corresponding Member of the Russian Academy of Sciences, Doctor of Medical Sciences, Professor, Head of the Department of Pharmacology and Pharmacy
Russian Federation, VolgogradLeonid S. Bykhalov
Volgograd State Medical University
Email: leonby-vgd@yandex.ru
Doctor of Medical Sciences, Professor of the Department of Pathological Anatomy
Russian Federation, VolgogradReferences
- Patel D., Anilkumar S., Chattarji S., Buwalda B. Repeated social stress leads to contrasting patterns of structural plasticity in the amygdala and hippocampus. Behavioural Brain Research. 2018;347:314–324.
- Patel D., Kas M. J., Chattarji S., Buwalda B. Rodent models of social stress and neuronal plasticity: Relevance to depressive-like disorders. Behavioural Brain Research. 2019;369:111900.
- Motanis H., Khorasani L. N., Giza C. C., Harris N. G. Peering into the Brain through the Retrosplenial Cortex to Assess Cognitive Function of the Injured Brain. Neurotrauma Rep. 2021;2:564–580.
- Stanisavljević A., Perić I., Gass P. et al. Fluoxetine modulates neuronal activity in stress-related limbic areas of adult rats subjected to the chronic social isolation. Brain Res Bull. 2020;163:95–108.
- Du Preez A., Onorato D., Eiben I. et al. Chronic stress followed by social isolation promotes depressive-like behaviour, alters microglial and astrocyte biology and reduces hippocampal neurogenesis in male mice. Brain Behav Immun. 2021;91:24–47.
- Guo L., Jiang Z., Sun R. et al. Repeated social defeat stress inhibits development of hippocampus neurons through mitophagy and autophagy. Brain Res Bull. 2022;182:111–7.
- Koskinen M. K., van Mourik Y., Smit A. B., et al. From stress to depression: development of extracellular matrix-dependent cognitive impairment following social stress. Sci Rep. 2020;10:17308.
- Libovner Y., Fariborzi M., Tabba D. et al. Repeated exposure to multiple concurrent stresses induce circuit specific loss of inputs to the posterior parietal cortex. Journal of Neuroscience. 2020;40:1849–1861.
- Opalka A. N., Wang D. V. Hippocampal efferents to retrosplenial cortex and lateral septum are required for memory acquisition. Learning & Memory. 2020;27:310–318.
- Ren L. Y., Meyer M. A. A., Grayson V. S. et al. Stress-induced generalization of negative memories is mediated by an extended hippocampal circuit. Neuropsychopharmacology. 2022;47:516–523.
- Смирнов А. В., Экова М. Р., Тюренков И. Н., Волотова Е. В. Характеристика экспрессии эндотелиальной NO-синтазы в зубчатой извилине крыс при моделировании депрессивного состояния и возможность фармакологической коррекции фенибутом. Вестник Волгоградского государственного медицинского университета. 2021:2(78):128–131. doi: https://doi.org//10.19163/1994-9480-2021-2(78)-128-131.
- Trask S., Pullins S. E., Ferrara N. C., Helmstetter F. J. The anterior retrosplenial cortex encodes event-related information and the posterior retrosplenial cortex encodes context-related information during memory formation. Neuropsychopharmacology. 2021;46:1386–1392.
- Hao Y., Ge H., Sun M., Gao Y. Selecting an appropriate animal model of depression. Int J Mol Sci. 2019;20:4827.
- Xu Y., Fang Z., Wu C. et al. The long-term effects of adolescent social defeat stress on oligodendrocyte lineage cells and neuroinflammatory mediators in mice. Neuropsychiatr Dis Treat. 2020:1321–1330.
- Harro J., Kanarik M., Kaart T. et al. Revealing the cerebral regions and networks mediating vulnerability to depression: Oxidative metabolism mapping of rat brain. Behavioural Brain Research. 2014;267:83–94.
Supplementary files




