Clinical features of all-ceramic restorations in the oral cavity
- Authors: Babich V.V.1
-
Affiliations:
- Saint-Petersburg Medical and Social Institute
- Issue: Vol 25, No 2 (2021)
- Pages: 107-111
- Section: Experimental and Theoretical Investigations
- Submitted: 17.03.2022
- Accepted: 17.03.2022
- Published: 15.03.2021
- URL: https://rjdentistry.com/1728-2802/article/view/105035
- DOI: https://doi.org/10.17816/1728-2802-2021-25-2-107-111
- ID: 105035
Cite item
Abstract
BACKGROUND: Porcelain veneers make up the particular section of prosthetic dentistry. Veneers are necessary for frontal teeth restorations.
AIM: To study the principles of dental preparation and the features of the formation of a natural anatomical contour on all-ceramic restorations.
MATERIAL AND METHODS: To achieve a high-quality result of prosthetics with all-ceramic fixed prostheses, it is necessary to take into account many important aesthetic criteria: the shape of the tooth, the inclination of the axes of the teeth, the interdental space and the level of interdental contacts, the gum biotype, its color, the position of the gingival margin, the zenith of the gingival contour; tooth color (shades); the level of the cutting edge of the incisors; the relief of the teeth surface; the smile line and the position of the lower lip.
To determine the color-optical characteristics of future prostheses, it is convenient to use the Vitapan 3-D Master Shade Guide color scale.
For the manufacture of facings, it is necessary to take into account that the preparation is carried out within the enamel layer, the facings are made only for vital teeth, as clinically possible, while preserving the natural boundaries of the tooth.
Prosthetics with ceramic prostheses is not recommended for dental dystopia (lingual, palatal position); significant loss of hard tooth tissues, their increased erasability, incomplete orthopedic treatment, deep bite, parafunctions of the masticatory muscles. Before manufacturing the facings, it is necessary to perform an X-ray examination of the teeth to be restored; assess the state of oral hygiene, determine the color of the future structure, replace all failed fillings, assess the condition of the interdental gap and the contact point.
RESULTS: It is necessary to preserve the vestibular relief of the tooth surface, the uniformity of the lining, Contact with the surface (cutting edge) of the antagonist tooth should not be placed on the surface or on the border of the lining, but only on the tooth tissues.
The advantage should be given to dissection by partial or complete palatal (lingual) overlap. The facings are fixed with the help of light polymerization composite materials, removing the excess with polishing boron.
CONCLUSION: If there are significant risks and the patient refuses orthodontic treatment, the creation of contact points on veneers is a complex clinical task. In addition, with the destruction of the crown part of more than 1/3, the use of veneers is risky due to the increase in the layer of ceramic cladding, there is a possibility of chipping of the lining and the risk of manifestation of pulpitis after preparation. Under such conditions, it is desirable to carry out depulpation of teeth, restoration with zirconium stump pin tabs and prosthetics with zirconium crowns with ceramic lining.
Keywords
Full Text
АКТУАЛЬНОСТЬ
Керамические несъемные протезы являются особым разделом ортопедической стоматологии; облицовки (виниры) необходимы для восстановления передней группы зубов.
Решающими факторами при планировании ортопедического восстановления зуба являются топография и его анатомические особенности (расположение, анатомическая форма). Следует учитывать величину дефекта твердых тканей зуба, соотношение пульпы и твердых тканей зуба (дентина, эмали вид прикуса; направление действующих сил на ортопедическую конструкцию; наклон зуба; результат рентгенологического обследования).
Цель — исследовать принципы препарирования зубов и особенности формирования естественного анатомического контура на цельнокерамических реставрациях.
МАТЕРИАЛ И МЕТОДЫ
Для определения цвето-оптических характеристик будущих протезов удобно применение цветовой шкалы Vitapan 3-D Master Shade Guide, которая характеризует объем, насыщенность цвета, оттенок. В первую очередь необходимо определить цвет клыков (наиболее насыщенный цвет). Красная шкала — определение окраски дентина, первоначальная шкала; синяя — оттенков оклодесневой и центральной области резцов [1].
Показания для изготовления виниров: изменение цвета зубов (флюороз, несостоятельные пломбы); анатомические дефекты зубов (скол коронковой части зуба); аномалии развития зубов (гипоплазия, несовершенный амелогенез); аномалии положения зубов (альтернатива ортодонтическому лечению). Для достижения качественного результата протезирования цельнокерамическими несъёмными протезами необходимо учитывать следующие важные эстетические критерии: форма зуба; положение (наклон осей зубов); межзубное пространство и уровень межзубных контактов; биотип десны; цвет десны; положение десневого края, зенит десневого контура; цвет зуба (оттенки); уровень режущего края резцов (резцовая линия); рельеф поверхности зубов; линия улыбки и положение нижней губы [2]. Для изготовления облицовок необходимо придерживаться следующих правил: препарирование проводится в пределах эмалевого слоя; облицовки изготавливаются только на витальные зубы; по клинической возможности — препарирование с сохранением натуральных границ зуба (частичное сохранение контактного пункта, если это возможно по эстетическим параметрам).
Протезирование керамическими протезами не рекомендуется при выраженной дистопии зубов (язычном, нёбном положении); значительной убыли твердых тканей зубов (более 1/3 коронковой части зуба); повышенной стираемости зубов; невосстановленных дефектах зубных рядов (незавершенном ортопедическом лечении); глубоком прикусе; парафункциях жевательных мышц. Перед изготовлением облицовок необходимо выполнить рентгенологическое обследование зубов, подлежащих восстановлению; оценку состояния гигиены полости рта (необходимость проведения профессиональной гигиены полости рта); определение цвета будущей конструкции (обязательное письменное согласие пациента с цветом); предварительную замену всех несостоятельных пломб; изготовление диагностических моделей; возможно предварительное восковое моделирование на гипсовой модели (wax up) с демонстрацией предварительных контуров конструкции пациенту, или (mock up) — моделирование в полости рта с помощью быстротвердеющей пластмассы; рентгенологический снимок (оценка особенностей расположения пульпарной камеры, оценка толщины эмалевого слоя); выявить наличие кариозной полости; провести оценку состояния межзубного промежутка и контактного пункта.
Особенности препарирования под виниры: пришеечная граница соответствует уровню десневого края; граница препарирования смещена на 1 мм над десной; при резком изменении цвета зуба возможно размещение границы препарирования на 0,5 мм под десной.
Этапы препарирования: калибровочный бор (шаровидный) — в зависимости от размера зуба фиксируем глубину препарирования (пришеечная часть — 0,3 мм, экватор — 0,5 мм, режущий край — 0,8 мм); обязательно водяное охлаждение — создание границ будущей облицовки — с помощью шаровидного бора формируют предварительные границы, препарируя контактные поверхности — не следует окончательно препарировать контактные пункты (частично сохраняем контакт естественных тканей зубов); препарирование в околодесневой области — глубина не более 0,3 мм [1–4]. Торпевидный бор — выравнивание насечек и истончение вестибулярной поверхности: соединение границ с помощью фиссурных боров соответствующего диаметра, начиная с вертикальных (апроксимальных борозд – глубже медиальная грань, тоньше — дистальная; окончательная шлифовка поверхности (боры красной, желтой и белой кодификации, резиновые полировочные головки).
РЕЗУЛЬТАТЫ
При препарировании необходимо сохранять вестибулярный рельеф поверхности зуба (повторять анатомическую форму); толщина облицовки должна быть равномерной: с разных анатомических областей снимается разный объем твердых тканей зуба (если зуб имеет неправильное положение) — силиконовый ключ. Контакт с поверхностью (режущим краем) зуба-антагониста не должен размещаться на поверхности или на границе облицовки, а только на тканях зуба [3–5].
ОБСУЖДЕНИЕ
Преимущество следует отдавать препарированию с нёбным (язычным), частичным или полным перекрытием, — контакт с облицовкой предпочтительнее контакта в области границы соединения с эмалью, небольшие размеры коронок нижнечелюстных резцов — незначительная ретенция; граница препарирования до уровня верхней трети нёбной (язычной поверхности) — иначе существует риск скола, нарушение краевого прилегания; толщина по режущему краю — не более 1 мм [5, 6]. Облицовки фиксируют как правило с помощью светополимеризационных композитных материалов. Излишки материала желательно убирать полировочным бором, не зондом, так как возможно возникновение микрозазоров между материалом — краем облицовки — тканями зуба. Это ведет к скапливанию зубного налета в данном участке — расцементировке, вторичному кариесу.
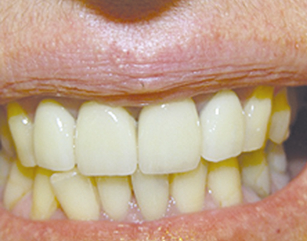
На фотографиях продемонстрирован клинический случай восстановления дефекта твердых тканей 1.3; 1.2; 1.1; 2.1; 2.2; 2.3 зубов циркониевыми культевыми штифтовыми вкладками, керамическими коронками на каркасах из диоксида циркония (рис. 1, 2).
Рис. 1. Клинический случай восстановления дефекта твердых тканей 1.3; 1.2; 1.1; 2.1; 2.2; 2.3 зубов циркониевыми культевыми штифтовыми вкладками. / Fig. 1. A clinical case of restoration of a defect of hard tissues 1.3; 1.2; 1.1; 2.1; 2.2; 2.3 teeth with zirconium stump pin tabs.
Рис. 2. Клинический случай восстановления дефекта твердых тканей 1.3; 1.2; 1.1; 2.1; 2.2; 2.3 керамическими коронками на каркасах из диоксида циркония. / Fig. 2. A clinical case of restoration of a defect of hard tissues 1.3; 1.2; 1.1; 2.1; 2.2; 2.3 ceramic crowns on frames made of zirconium dioxide.
ЗАКЛЮЧЕНИЕ
При наличии значительных трем (диастем между центральными резцами) и отказе пациента от ортодонтического лечения: создание контактных пунктов на винирах представляет сложную клиническую задачу (коронка приобретает «лопатообразную» форму). Кроме того, при разрушении коронковой части более 1/3 (повышенная стираемость 2–3 степени) применение облицовок рискованно из-за увеличения слоя керамической облицовки, возникает вероятность скола облицовки, и риск манифестации пульпита после препарирования. При подобных условиях желательно проводить депульпирование зубов, восстановление циркониевыми культевыми штифтовыми вкладками и протезирование циркониевыми коронками с керамической облицовкой.
ДОПОЛНИТЕЛЬНАЯ ИНФОРМАЦИЯ /ADDITIONAL INFO
Источник финансирования. Автор заявляет об отсутствии внешнего финансирования при проведении исследования.
Funding source. This study was not supported by any external sources of funding.
Конфликт интересов. Автор декларирует отсутствие явных и потенциальных конфликтов интересов, связанных с публикацией настоящей статьи.
Competing interests. The authors declare that they have no competing interests.
Вклад авторов. Автором внесен существенный вклад в разработку концепции, проведение исследования и подготовку статьи, он почел и одобрил финальную версию
Author contribution. Аuthor made a substantial contribution to the conception of the work, acquisition, analysis, interpretation of data for the work, drafting and revising the work, final approval of the version to be published and agree to be accountable for all aspects of the work.
Информированное согласие на публикацию. Автор получил письменное согласие законных представителей пациента на публикацию медицинских данных и фотографий.
Consent for publication. Written consent was obtained from the patient for publication of relevant medical information and all of accompanying images within the manuscript.
About the authors
Vasilii V. Babich
Saint-Petersburg Medical and Social Institute
Author for correspondence.
Email: vasvlbabich@yandex.ru
MD, Cand. Sci. (Med.), Associate Professor
Russian Federation, 72, letter A, office 619, Kondratievsky Avenue, St. Petersburg, 195271References
- Marucci B. A shade selection technique. J Prosthet Dent. 2003;89(5):518–521. doi: 10.1016/s0022-3913(03)00076-3
- Magne P, Gallucci GO, Belser UC. Anatomic crown width/length ratios of unworn and maxillary teeth in white subjects. J Prosthet Dent. 2003;89(5):453–462. doi: 10.1016/S0022-3913(03)00125-2
- Tuati B, Miara P, Nathanson D. Aesthetic dentistry and ceramic restorations. Moscow: Vysshee obrazovanie i nauka; 2004. Р. 225–300. (In Russ).
- Hannig C, Westphal C, Becker K, Attin T. Fracture resistance endodontically treated maxillary premolars restored with CAD/CAM ceramic inlays. J Prosthet Dent. 2005;94(4):132–139. doi: 10.1016/j.prosdent.2005.08.004
- Stappert CJ, Ozden U, Gerds T, Strub JR. Longevity and failure load of ceramic veneers with different preparation designs after exposure to masticatory simulation. J Prosthet Dent. 2005;94(2):132–139. doi: 10.1016/j.prosdent.2005.05.023
- Zarone F, Epifania E, Leone G, et al. Dinamomrtric assesment of the mechanical resistance of porcelain veneers related to tooth prepartion: A comparison of two techniques. Journal Prosthet Dent. 2006;95(4):354–363. doi: 10.1016/j.prosdent.2006.03.003
Supplementary files





