The influence of oral breathing type on the formation of occlusion in students of general educational institutions of the Ministry of Defense of Russian Federation
- Authors: Sokolovich N.А.1, Saunina A.A.1, Dvoryanchikov V.V.2, Lunev A.A.1, Soldatov И.K.3, Donskaya O.S.4,5
-
Affiliations:
- St Petersburg University
- Saint-Petersburg Research Institute of Ear, Throat, Nose and Speech
- Military Medical Academy named after S.M. Kirov
- Academician I.P. Pavlov First St. Petersburg State Medical University
- Saint Petersburg Medical and Social Institute
- Issue: Vol 28, No 1 (2024)
- Pages: 29-38
- Section: Clinical Investigation
- Submitted: 20.02.2024
- Accepted: 26.03.2024
- Published: 10.06.2024
- URL: https://rjdentistry.com/1728-2802/article/view/627220
- DOI: https://doi.org/10.17816/dent627220
- ID: 627220
Cite item
Abstract
BACKGROUND: Among students of general education organizations of the Ministry of Defense of Russian Federation, respiratory diseases is the leading cause of general somatic morbidity and amount to 1543.5‰. When examining students, pathology of the upper respiratory tract is often diagnosed, such as partial or complete obstruction of the nasopharynx and/or oropharynx. Against this background, the formation of the oral type of breathing occurs, which affects the state of general somatic health and growth and development of the facial skeleton.
AIM: To evaluate the influence of oral breathing on the dentoalveolar and gnathic parameters of the maxillofacial region in students of educational institutions of the Ministry of Defense of Russian Federation.
MATERIALS AND METHODS: This study examined two groups of students aged 13–15 years from the St. Petersburg Cadet Military Corps named after Prince Alexander Nevsky: group 1, 30 cadets with oral breathing, and group 2 (control), 30 cadets with nasal breathing. All patients underwent an examination of the oral cavity, a photo protocol, scanning of the dentition, and cone-beam computed tomography of the skull bones and first cervical vertebrae in natural occlusion with a resolution of 17×15. The data were checked for normal distribution of features. The article presents arithmetic averages and their errors (M±m).
RESULTS: All the examined group 1 students with oral breathing were diagnosed with distal bite in combination with other dental anomalies: combined anomalies in the form of distal bite and disocclusion in the frontal region (56.7%); close position of the anterior group of teeth (93.3%); and unilateral (30.0%) and bilateral (13.3%) cross occlusion due to narrowing of the upper and lower jaws. In most cases, the group 1 students were diagnosed with a gnathic form of dentoalveolar anomaly (ANB parameter, 6.6±2.4°; Beta parameter, 24.7±3.1°) against the background of retroposition of the lower jaw (SNB parameter, 75.4±2.8°) and a decrease in the length of the lower jaw (Co–Gn parameter, 106.0±2.8 mm). All the group 2 (control) students had a neutral occlusion with a normal position of the upper jaw (SNA parameter, 81.4±2.1°) and a normal position of the lower jaw (SNB parameter, 79.8±1.6°) and the first skeletal class (ANB parameter, 2.3±1.1°; Beta parameter, 30.1±2.5°).
CONCLUSION: Oral breathing is accompanied by the development of disto-occlusion with the formation of a vertical gap in combination with cross occlusion in the lateral sections and close position of the anterior group of teeth against the background of a narrowing of the upper and lower jaws. Prompt diagnosis of upper respiratory tract pathology prevents the development of dentoalveolar and gnathic disorders of the maxillofacial area. To treat patients with oral breathing, a simultaneous approach is required with the involvement of a full-time otolaryngologist at the medical center.
Full Text
BACKGROUND
The growth and development of the craniofacial region result from the interaction of genetic and epigenetic factors. According to the functional matrix theory (Moss, 1969), the growth of skeletal structures occurs under the control of and in accordance with the activity of the masticatory and facial muscles [1]. Therefore, proper development of the dentofacial complex requires the fulfillment of several biomechanical conditions: patency of the upper airway and adequate activity of the dentofacial system musculature [2].
Mew (2018) demonstrated that harmonious development of the dentofacial system is possible when myodynamic balance among intraoral structures is maintained for at least 4 to 8 hours daily [3]. Mouth breathing disrupts this myodynamic balance.
Currently, mouth breathing is defined as respiration through the oral cavity not only during intense physical exertion but also at rest (Souki et al., 2009) [4]. Normally, all inhaled and exhaled airflow passes through the nasal cavity.
In medical units and health facilities of the Ministry of Defense of the Russian Federation, mouth breathing associated with partial or complete upper airway obstruction is frequently observed. Etiologic factors contributing to mouth breathing include otolaryngologic disorders such as pharyngeal lymphoid tissue hyperplasia, deviated nasal septum, nasal polyps, postoperative scarring, allergic rhinitis, turbinate hypertrophy associated with allergies, and chronic infectious processes of the nasal mucosa [5].
Mouth breathing has systemic consequences: it promotes chronic hypoxia and hypercapnia, resulting in a shift of the acid-base balance toward respiratory acidosis. For example, Petrova et al. (2022) demonstrated that patients with mouth breathing have a 20% higher blood carbon dioxide concentration [5]. Inadequate oxygenation caused by mouth breathing lead to cognitive impairment, problems with perception and sensorimotor integration, decreased attention, and memory deficits, which in turn result in poor school performance [6]. Notably, restoration of nasal breathing improves learning ability [7].
The anatomical and functional interrelation between the respiratory system and dentofacial structures [8] substantially affects the prevention and treatment of otorhinolaryngologic diseases and malocclusion [9–11], as well as overall population health [12–14].
In 1872, Tomes introduced the term adenoid facies to describe characteristic dentofacial changes associated with mouth breathing: lip incompetence, maxillary constriction, mandibular incisor retrusion, maxillary incisor protrusion, anterior open bite, increased lower facial height, increased gonial angle, and mandibular retroposition [15].
It is important to note that impaired craniofacial development influences how a child’s appearance is perceived by peers, which in turn affects psychological well-being. According to our previous study [16], patients with malocclusion exhibited higher levels of anxiety.
Timely diagnosis and treatment of morphofunctional disturbances of the dentofacial system in children with upper airway pathology remain a pressing issue in dentistry. Prior studies have shown a high prevalence of dentofacial anomalies among various regulated cohorts within the Ministry of Defense of the Russian Federation. For example, 39.6% of students in general education institutions of the Ministry had dentofacial anomalies [17]; among conscripts, the prevalence was 72.2% [18]; among university applicants, 64.3% [19]; and among military cadets, 44.2% [20]. Class II malocclusion (disto-occlusion) was diagnosed in 20.5%, 22.4%, and 10.1% of examined individuals, respectively [21].
Early identification of etiopathogenetic factors of malocclusion can prevent the development not only of dentoalveolar and skeletal forms of malocclusion but also of multiple systemic diseases during growth and development.
This work aimed to evaluate the impact of mouth breathing on dentoalveolar and skeletal parameters of the craniofacial complex in students of general education institutions of the Ministry of Defense of the Russian Federation.
MATERIALS AND METHODS
During routine medical examinations at the Saint Petersburg Cadet Military Corps named after Prince Alexander Nevsky, two groups of children aged 13–15 years were selected: group 1 included 30 cadets with mouth breathing, and group 2 (control group) included 30 cadets with nasal breathing.
Inclusion criteria:
- age of 13–15 years;
- presence of mouth or nasal breathing pattern;
- complete eruption of all permanent first and second molars;
- availability of cone-beam computed tomography (CBCT) scans of the cranial bones and first cervical vertebrae in habitual occlusion with a field of view of 17 × 15 cm.
All participants underwent intraoral examination, photographic documentation, dental arch scanning, and CBCT of the cranial bones and first cervical vertebrae in habitual occlusion with a field of view of 17 × 15 cm. The mean age of participants was 13.3 ± 1.2 years. The collected data were entered into the authors’ proprietary database [22] and recorded in dental patient charts completed in accordance with World Health Organization recommendations (form 043/u).
The clinical examination assessed facial symmetry, depth of nasolabial folds, and lip competence at rest. Special attention was given to the position of the cervical spine, presence of kyphosis or lordosis, and shoulder alignment. Intraoral examination focused on occlusal discrepancies in the sagittal, vertical, and transverse planes.
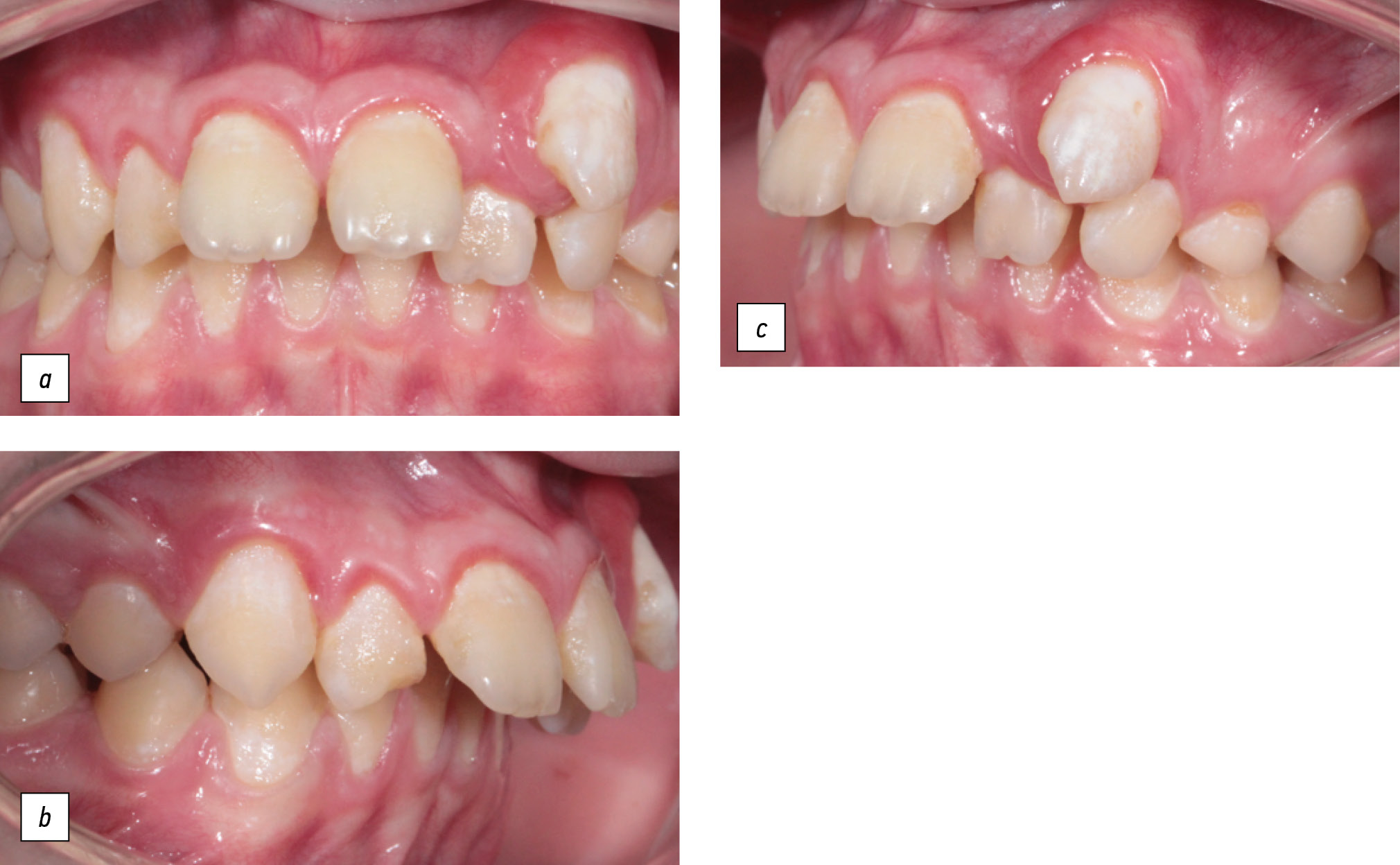
The photographic protocol included intraoral photographs: frontal view (see Fig. 1, a), right and left buccal views (see Fig. 1, b, c), as well as extraoral facial photographs used to analyze facial proportionality and symmetry, soft-tissue characteristics, and lip seal. Frontal facial photographs were taken in two conditions: with a habitual smile to evaluate incisor display and possible occlusal cant, and without a smile to assess facial symmetry. Profile photographs were taken at a 90° angle to the facial midline.
Fig. 1. Patient N., 14 years old, group 1. Class II malocclusion; maxillary constriction in the premolar and molar regions; maxillary incisor protrusion; supraposition of tooth 23 (ISO/FDI designation); presence of a supernumerary tooth 22; deviation of the esthetic midline in the mandible; and catarrhal gingivitis. ICD-10 diagnosis: Disto-occlusion, K07.20. a, frontal view of dental arches; b, right buccal view; c, left buccal view.
For assessment of anthropometric parameters, dental arch scans of the maxilla and mandible were obtained using the Medit i-700 scanner (Medit, South Korea). The scans were analyzed to evaluate transverse arch dimensions according to Pont’s method (1909). Anterior maxillary width was defined as the distance between the midpoints of the occlusal fissures of the first premolars. Posterior maxillary width was measured as the distance between the deepest points of the primary fissures or the anterior intersections of the fissures of the permanent first molars. Anterior mandibular width was defined as the distance between the distal contact points of the first premolars. Posterior mandibular width was measured as the distance between the distal buccal cusps (in 4-cusp molars) or the middle cusps (in 5-cusp molars) of the permanent first molars (Fig. 2) [23].
Fig. 2. Measurement of anterior and posterior arch width of the maxilla and mandible according to Pont’s method. a, anterior maxillary width—line connecting the midpoints of the fissures of the first premolars; posterior maxillary width—line connecting the deepest point of the principal fissure or the anterior intersection of the fissures of the permanent first molars. b, anterior mandibular width—line connecting the distal contact points of the first premolars; posterior mandibular width—line connecting the distal buccal cusps (in 4-cusp molars) or middle cusps (in 5-cusp molars) of the permanent first molars.
The individual normative width of the dental arch in the premolar region was calculated according to the sum of the mesiodistal widths of the maxillary incisors (SI) using the formula: Anterior dental arch width = SI × 1.25. The individual normative width of the dental arch in the molar region was calculated using the formula: Posterior dental arch width = SI × 1.54.
To aid diagnosis prior to orthodontic treatment, all participants underwent CBCT of the cranial bones and first cervical vertebrae in habitual occlusion with a field of view of 17 × 15 cm. This enabled 3-dimensional cephalometric analysis using Dolphin software, with preliminary orientation of the images in three planes (see Fig. 3). Subsequently, cephalometric parameters were assessed (see Table 1). The data were tested for normal distribution. Arithmetic means and standard errors (M ± m) are reported [24].
Fig. 3. Patient A., 13 years old, group 1. Results of 3-dimensional cephalometric analysis performed with Dolphin software (Dolphin Imaging & Management Solutions, Chatsworth, CA, USA).
Table 1. Cephalometric parameters assessed
Parameters | Description |
∠SNA, ° | Position of the maxillary apical base relative to the cranial base line |
∠SNB, ° | Position of the mandibular apical base relative to the cranial base line |
∠ANB, ° | Relationship between the maxillary and mandibular apical bases in the sagittal plane |
∠Beta, ° | Relationship between the maxillary and mandibular apical bases in the sagittal plane |
∠U1–L1, ° | Interincisal angle, characterizing the labiolingual inclination of the maxillary and mandibular incisors |
Co–Gn, mm | Effective mandibular length |
ANS–PNS, mm | Maxillary length |
RESULTS
Examination of cadets with a mouth breathing pattern revealed the following features: lip seal incompetence at rest, periorbital dark circles associated with hypoxia, flattened nasolabial folds due to increased lower facial height, cervical lordosis, and anterior shoulder posture. Intraoral examination of dental arches in group 1 (mouth breathing) showed that 100% of cadets had Class II malocclusion, which was combined with other dentofacial anomalies: anterior crowding in 93.3%, unilateral crossbite in 30.0%, and bilateral crossbite in 13.3%, all associated with maxillary and mandibular constriction. Combined anomalies were also observed, including Class II malocclusion with anterior open bite in 56.7% of cases. In contrast, in the control group with habitual occlusion, anterior crowding was diagnosed in only 6.7% of cases (see Table 2).
Table 2. Results of intraoral clinical examination in cadets aged 13–15 years (n/%)
Type of dentofacial anomaly | Habitual occlusion | Class II malocclusion | Anterior crowding | Anterior open bite | Unilateral crossbite | Bilateral crossbite |
Group 1 | — | 30/100 | 28/93.3 | 17/56.7 | 9/30.0 | 4/13.3 |
Group 2 | 30/100 | — | 2/6.7 | — | — | — |
Analysis of transverse arch dimensions based on 3-dimensional dental models demonstrated significant constriction of both the maxilla and mandible in group 1. In cadets with mouth breathing, premolar width was reduced by 5 mm in the maxilla and 3 mm in the mandible, while molar width was reduced by 3 mm in both jaws. Cadets in the control group had normal maxillary and mandibular arch widths (Table 3).
Table 3. Results of biometric measurements on 3D control and diagnostic models of the first and second groups, mm (M±m)
Groups | Maxilla | Mandible | ||||||
Anterior premolar width (SI1) and posterior molar width (SI2) of the arches according to Pont’s method | ||||||||
SI1 | Predicted value (SI1 × 1.25) | SI2 | Predicted value (SI2 × 1.54) | SI1 | Predicted value (SI1 × 1.25) | SI2 | Predicted value (SI2×1.54) | |
Group 1 | 34.5 ± 2.4 | 39.5 ± 3.2 | 43.0 ± 2.1 | 46.5 ± 3.1 | 36.5 ± 2.3 | 39.5 ± 3.2 | 43.6 ± 3.1 | 46.5 ± 3.1 |
Group 2 | 40.1 ± 2.5 | 40.4 ± 3.1 | 44.3 ± 2.2 | 45.4 ± 3.4 | 34.5 ± 2.8 | 40.4 ± 3.1 | 45.6 ± 3.2 | 45.4 ± 3.4 |
Note. Probability of error-free prediction p > 0.05.
Three-dimensional cephalometric analysis showed that most cadets in group 1 had mandibular retroposition (SNB, 75.4 ± 2.8°) and skeletal class II (ANB, 6.6 ± 2.4°; Beta angle, 24.7 ± 3.1°) accompanied by bimaxillary incisor protrusion (interincisal angle, 126.0 ± 3.4°). In addition, group 1 cadets demonstrated reduced mandibular length (Co–Gn, 106.0 ± 2.3 mm) and increased maxillary length (ANS–PNS, 50.03 ± 2.40 mm). In group 2 (nasal breathing), maxillary position was normal (SNA, 81.4 ± 2.1°), mandibular position was normal (SNB, 79.8 ± 1.6°), skeletal class I was observed (ANB, 2.3 ± 1.1°; Beta angle, 30.1 ± 2.5°), and incisor inclination was within normal limits (interincisal angle, 131.0 ± 2.3°). Both maxillary and mandibular lengths were normal (Co–Gn, 110.0 ± 1.2 mm; ANS–PNS, 50.03 ± 2.40 mm) (Table 4). Comparative analysis between groups did not reveal statistically significant differences; however, the results approached statistical significance (p > 0.05). This may be attributable to the relatively small sample size.
Table 4. Results of three-dimensional cephalometric analysis, degrees (M±m)
Parameters | Group 1 | Group 2 |
∠SNA, ° | 82.5±1.7 | 81.4±2.1 |
∠SNB, ° | 75.4±2.8 | 79.8±1.6 |
∠ANB, ° | 6.6±2.4 | 2.3±1.1 |
∠Beta, ° | 24.7±3.1 | 30.1±2.5 |
∠U1–L1, ° | 126.0±3.4 | 131.0±2.3 |
Co–Gn, мм | 106±2.3 | 110±1.2 |
ANS–PNS, мм | 50.03±2.40 | 48.3±2.2 |
Note. Probability of error-free prediction p > 0.05.
DISCUSSION
Examination of students from the Saint Petersburg Cadet Military Corps named after Prince Alexander Nevsky, a general education institution of the Ministry of Defense of the Russian Federation, revealed pronounced facial and dentoalveolar abnormalities of the craniofacial complex. These findings are consistent with the observations of Mew [3], who reported that mouth breathing leads to compensatory forward head posture aimed at enlarging the upper airway lumen. Prolonged and persistent head inclination results in increased load on the upper back musculature, with cervical and lumbar lordosis, anterior shoulder posture, posterior scapular displacement, anterior pelvic tilt, and descent of the hyoid bone [25].
Furthermore, disruption of myodynamic balance caused by mouth breathing resulted in a class II malocclusion according to Angle in all cadets of group 1 (100%), with vertical open bite (56.7%), posterior crossbite (76.0%), and anterior crowding (93.3%) due to maxillary and mandibular constriction. A 2020 study by Sokolovich et al. demonstrated that anterior crowding in both arches creates favorable conditions for plaque accumulation and increases the risk of initiation and progression of enamel caries. This not only affects the patient’s esthetics but also increases the demand for dental care [26].
Anterior crowding and posterior crossbite are primarily associated with transverse discrepancies. Biometric measurements of 3-dimensional diagnostic models showed that cadets with mouth breathing exhibited maxillary and mandibular constriction in both premolar and molar regions. These results are consistent with our earlier study [16], which also demonstrated constricted dental arches in patients with Class II malocclusion. Such constriction explains mandibular retroposition, as a narrowed maxilla—particularly in the molar region—prevents the mandible from assuming its correct anterior position and completing normal growth.
Three-dimensional cephalometric analysis revealed mandibular retroposition in cadets with mouth breathing (SNB, 75.4 ± 2.8°). These findings are supported by Peltomäki et al. (2007), who reported that mouth breathing is associated with impaired mandibular growth and retroposition, linked to altered nocturnal secretion of growth hormone (somatotropin) [27]. Moreover, studies by Mattar et al. (2011, 2012) demonstrated that in children aged 3–6 years, restoration of nasal breathing via adenotonsillotomy led to significant normalization of mandibular growth direction and inclination, as well as an increase in posterior facial height within 28 months postoperatively [28, 29].
It is important to note that mandibular retroposition associated with mouth breathing is accompanied by a reduction in upper airway volume [30], which represents a significant risk factor for the future development of obstructive sleep apnea syndrome [31].
Thus, mouth breathing should be regarded as a risk factor for the development of skeletal Class II malocclusion, alongside deleterious oral habits (e.g., digit sucking, tongue interposition between dental arches), as well as fetal alcohol syndrome and preterm birth [5].
The present findings emphasize the need for implementation of preventive programs during the critical stages of dentofacial development, as well as the importance of early diagnosis and elimination of upper airway obstruction with the involvement of otorhinolaryngologists. Such measures would reduce the risk of skeletal Class II malocclusion, prevent progression from dentoalveolar to skeletal malocclusion, and minimize relapse following orthodontic treatment.
CONCLUSION
In students of general education institutions of the Ministry of Defense of the Russian Federation with mouth breathing caused by partial or complete upper airway obstruction, pronounced dentoalveolar and skeletal abnormalities were identified: constricted maxillary and mandibular arches, bimaxillary incisor protrusion, mandibular retroposition, and Angle Class II malocclusion (Disto-occlusion).
At school admission and during annual medical examinations, dentists should evaluate the patency of the upper airway. Early identification of mouth breathing will help prevent the development of dentofacial anomalies.
For effective preventive and therapeutic management—both at the diagnostic stage and throughout orthodontic treatment—a multidisciplinary approach is advisable, involving simultaneous collaboration with an otorhinolaryngologist.
ADDITIONAL INFORMATION
Funding sources: The authors report no external funding for this study or its publication.
Conflict of interests: The authors declare no explicit or potential conflicts of interests associated with the study and publication of this article.
Author contributions: All authors affirm their compliance with the international ICMJE criteria (all authors made substantial contributions to the conceptualization, research, and manuscript preparation, and reviewed and approved the final version prior to publication). The largest contribution is distributed as follows: N.A. Sokolovich—research methodology and design; A.A. Saunina, V.V. Dvoryanchikov—collection and analysis of literary sources, statistical analysis of the data obtained; A.A. Lunev—collection of primary analytical data; I.K. Soldatov, O.S. Donskaya—writing, editing and graphic design of the article text.
About the authors
Natalia А. Sokolovich
St Petersburg University
Email: lun_nat@mail.ru
ORCID iD: 0000-0002-5621-7247
SPIN-code: 1017-8210
Scopus Author ID: 57200560201
MD, Dr. Sci. (Medicine), Professor
Russian Federation, Saint PetersburgAnastasiya A. Saunina
St Petersburg University
Email: s4unina@yandex.ru
ORCID iD: 0000-0002-0328-2248
SPIN-code: 4607-1198
Scopus Author ID: 57216550359
MD, Cand. Sci. (Medicine)
Russian Federation, Saint PetersburgVladimir V. Dvoryanchikov
Saint-Petersburg Research Institute of Ear, Throat, Nose and Speech
Email: 3162256@mail.ru
ORCID iD: 0000-0002-0925-7596
SPIN-code: 3538-2406
MD, Dr. Sci. (Medicine), Professor
Russian Federation, Saint PetersburgAnatoli A. Lunev
St Petersburg University
Email: luniov2015@yandex.ru
ORCID iD: 0000-0001-7616-6144
SPIN-code: 1868-3027
Russian Federation, Saint Petersburg
Иван K. Soldatov
Military Medical Academy named after S.M. Kirov
Author for correspondence.
Email: ivan-soldatov@mail.ru
ORCID iD: 0000-0001-8740-9092
SPIN-code: 1503-1278
Scopus Author ID: 57195325408
MD, Cand. Sci. (Medicine), Associate Professor
Russian Federation, Saint PetersburgOlga S. Donskaya
Academician I.P. Pavlov First St. Petersburg State Medical University; Saint Petersburg Medical and Social Institute
Email: olia.kafedra.psz@yandex.ru
ORCID iD: 0000-0002-3477-2987
SPIN-code: 1713-9441
MD, Cand. Sci. (Medicine)
Russian Federation, Saint Petersburg; Saint PetersburgReferences
- Moss ML, Salentijn L. The capsular matrix. Am J Orthod. 1969;56(5):474–490. doi: 10.1016/0002-9416(69)90209-7
- Zicari AM, Albani F, Ntrekou P, et al. Oral breathing and dental malocclusions. Eur J Paediatr Dent. 2009;10(2):59–64.
- Myu D. Malocclusion of the Teeth: Orthotropic Approach. Moscow: TARKOMM; 2018. 247 p. (In Russ).
- Souki BQ, Pimenta GB, Souki MQ, et al. Prevalence of malocclusion among mouth breathing children: do expectations meet reality? Int J Pediatr Otorhinolaryngol. 2009;73(5):767–773. doi: 10.1016/j.ijporl.2009.02.006
- Petrova NP, Saunina AA, Sokolovich NA, Sverdlova SV. Harmful Habits of Children in Orthodontic Practice. Saint Petersburg: LLC “Chelovek”; 2022. 84 p. (In Russ). EDN: ZYMTLK
- Sano M, Sano S, Oka N, et al. Increased oxygen load in the prefrontal cortex from mouth breathing: a vector-based near-infrared spectroscopy study. Neuroreport. 2013;24(17):935–940. doi: 10.1097/WNR.0000000000000008
- Fensterseifer GS, Carpes O, Weckx LL, Martha VF. Mouth breathing in children with learning disorders. Braz J Otorhinolaryngol. 2013;79(5):620–624. doi: 10.5935/1808-8694.20130111
- Kryukov EV, Zhdanov KV, Kozlov KV, et al. Electron microscopic changes in the nasal membrane of patients with covid-19 depending on the clinical form and the period of the disease. Jurnal infektologii. 2021;13(2):5–13. EDN: UYWDWK doi: 10.22625/2072-6732-2021-13-2-5-13
- Gorokhov AA, Dvoryanchikov VV, Mironov VG, Panevin PA. Occurrence of sanitary ear nose throat losses. Bulletin of the Russian Military Medical Academy. 2013;41(1):170–173. EDN: QBGDZD
- Dvoryanchikov VV, Grebnev GA., Isachenko VS, Shafigullin AV. Odontogenic maxillary sinusitis: current state of the problem. Bulletin of the Russian Military Medical Academy. 2018;64(4):169–173. EDN: YOIRQL doi: 10.17816/brmma12341
- Dvoryanchikov VV, Grebnev GA, Balin VV, Shafigullin AV. Complex treatment of odontogenic maxillary sinusitis. Clinical Dentistry (Russia). 2019;(2):65–67. EDN: SEBCAP doi: 10.37988/1811-153X_2019_2_65
- Pavlova SS, Korneenkov AA, Dvoryanchikov VV, et al. Assessment of population health losses due to nasal obstruction based on the concept of global burden of disease: general approaches and research directions. Medical Council. 2021;(12):138–145. EDN: TRFQNY doi: 10.21518/2079-701X-2021-12-138-145
- Sevryukov F, Malinina O, Elina Yu. Peculiar features of morbidity of the population with disordes of the genitourinary sistem and diseases of the prostate gland, in particular, in the Russian Federation, in the Privolzhsky (Volga) Federal District, and in the Nizhni Novgorod region. Social Aspects of Population Health. 2011;(6):8. EDN: OPGNQF
- Kadyrov ZA, Faniev MV, Prokopyev YV, et al. Reproductive health of the Russian population as a key factor in demographic dynamics. The Bulletin of Contemporary Clinical Medicine. 2022;15(5):100–106. EDN: FPJIAU doi: 10.20969/VSKM.2022.15(5).100-106
- Agarwal R, Sharma L. Comparison of different angular measurements to assess sagittal Jaw discrepancy in Jaipur population — a cephelometric study. IOSR Journal of Dental and Medical Sciences. 2013;10(1):33–36. doi: 10.9790/0853-1013336
- Sokolovich NA, Saunina AA, Mikhailova ES, Soldatov IK. Evaluation of dental anomalies in pupils of educational institutions of the ministry of defense of Russia and its impact on the level of anxiety. Medico-Biological and Socio-Psychological Issues of Safety in Emergency Situations. 2022;(4):58–64. EDN: RGFWFC doi: 10.25016/2541-7487-2022-0-3-58-64
- Certificate of state registration of the database RU 2023624691. Soldatov IK, Makiev RG, Arsentev VG, Soldatov AN. Indicators of somatic health and morbidity among students enrolled in general education institutions of the Ministry of Defense of Russia for the years 2009–2022. Published 18/12/2023. (In Russ). EDN: JSFTMF
- Soldatova LN, Iordanishvili AK. Occurrence of dentoalveolar anomalies in young men residing in megalopolis and its suburbs. Kursk Scientific and Practical Bulletin Man and His Health. 2016;(2):45–49. EDN: WDNGCX doi: 10.21626/vestnik/2016-2/08
- Iordanishvili AK, Soldatova LN. Description and features of the bite in applicants of higher military educational institutions. Journal of Volgograd State Medical University. 2016;(3):55–57. EDN: WMIDWR
- Soldatova LN, Iordanishvili AK, Kerimkhanov KA. Orthodontic help to cadets of highest military educational institutions: challenges and future trends. Kursk Scientific and Practical Bulletin Man and His Health. 2016;(2):16–19. EDN: WDNGAF doi: 10.21626/vestnik/2016-2/03
- Iordanishvili AK, Soldatova LN. Stomatological health of the military men and their needs in the dentoprosthetic and orthodontic assistance. Bulletin of the Russian Military Medical Academy. 2016;(4):36–38. EDN: XHUBHB
- Certificate of state registration of the database RU 2023622392. Soldatov AN, Soldatov IK, Grebnev GA, Kovalchuk SV. Database of the dental health status of students in general education institutions of the Ministry of Defense of Russia. Published 13/07/2023. (In Russ). EDN: XRDLVE doi: 10.17816/dent626305
- Pont A. The tooth index in orthodontics. Zeitschrift Zahnärztl Orthopäde. 1909;(3):306–321. (In Germany).
- Minaev YuL, Kuvakin VI, Zubov NN, et al. Economic-mathematical methods of modeling and data analysis (using the example of solving specific problems in dentistry). Moscow: Limited Liability Company “Publisher” Mir nauki”; 2019. (In Russ). EDN: BHMZEH
- Denotti G, Ventura S, Arena O, Fortini A. Oral breathing: new early treatment protocol. J Pediatr Neonat Individual Med. 2014;3(1):e030108.
- Sokolovich N, Petrova NP, Grigoriev IV, et al. The change of volume, pH and microbiota of unstimulated oral fluid of oral cavity during orthodontic treatment with fixed appliances. International Journal of Pharmaceutical Research. 2020;12(3):638–642. EDN: ZCBDQU doi: 10.31838/ijpr/2020.12.03.093
- Peltomäki T. The effect of mode of breathing on craniofacial growth — revisited. Eur J Orthod. 2007;29(5):426–429. doi: 10.1093/ejo/cjm055
- Mattar SE, Valera FC, Faria G, et al. Changes in facial morphology after adenotonsillectomy in mouth-breathing children. Int J Paediatr Dent. 2011;21(5):389–396. doi: 10.1111/j.1365-263X.2011.01117.x
- Mattar SE, Matsumoto MA, Valera FC, et al. The effect of adenoidectomy or adenotonsillectomy on occlusal features in mouth breathing preschoolers. Pediatr Dent. 2012;34(2):108–112.
- Saunina AA. Clinical justification of the airway assessment method in orthodontic patients [dissertation]. Saint Petersburg; 2023. (In Russ). EDN: BJHWUY
- Alves PV, Zhao L, O’Gara M, et al. Three-dimensional cephalometric study of upper airway space in skeletal class II and III healthy patients. J Craniofac Surg. 2008:19(6):1497–1507. doi: 10.1097/SCS.0b013e31818972ef
Supplementary files






