Efficacy of alveolar mandible tunnel bone grafting
- Authors: Andriadze E.O.1, Sipkin A.М.1, Gnatyuk N.D.1, Okshin D.Y.1
-
Affiliations:
- Moscow Regional Research and Clinical Institute
- Issue: Vol 28, No 6 (2024)
- Pages: 591-600
- Section: Clinical Investigations
- Submitted: 05.10.2024
- Accepted: 08.11.2024
- Published: 22.12.2024
- URL: https://rjdentistry.com/1728-2802/article/view/636748
- DOI: https://doi.org/10.17816/dent636748
- ID: 636748
Cite item
Abstract
BACKGROUND: The development and implementation of novel bone grafting approaches to prevent surgical injuries, improve bone conglomerate stabilization, reduce the incidence of postoperative complications, and minimize the severity of postoperative clinical signs remain relevant.
AIM: To assess the efficacy of the proposed tunnel bone grafting technique in patients with mandibular ridge atrophy.
MATERIALS AND METHODS: The study included 60 patients with distal mandibular ridge atrophy. The study subjects were divided into two groups. Treatment group underwent distal mandibular surgery using the patented tunnel bone grafting technique. Control group underwent conventional open guided bone regeneration.
RESULTS: The study found that the proposed alveolar mandible tunnel bone grafting technique improved wound healing and decreased the incidence of complications. After 4 months, histopathological examinations of regenerated bone samples in both groups revealed that the treatment group had more mature regenerated bone than the control group.
CONCLUSION: Tunnel bone grafting may become the option of choice in the treatment of distal mandibular ridge atrophy.
Full Text
BACKGROUND
The management of jaw atrophy remains a relevant concern in maxillofacial surgery.
Guided bone regeneration is the most common approach for restoring the width and height of the mandibular alveolar ridge [1, 2].
Currently, various minimally invasive bone grafting techniques are being developed to reduce postoperative symptoms and achieve predictable outcomes. Existing approaches are also being refined [3, 4]. The development and implementation of new bone grafting techniques are intended to minimize surgical trauma, enhance the stability of the bone graft mass, and reduce the rate of postoperative complications [5, 6].
AIM: To assess the efficacy of the proposed tunnel bone grafting technique in patients with mandibular ridge atrophy.
METHODS
Study Design
This interventional, controlled, randomized prospective study was conducted at the Department of Maxillofacial Surgery of Moscow Regional Research and Clinical Institute (“MONIKI”). The study included patients with distal mandibular ridge atrophy requiring bone volume restoration for subsequent dental implant placement.
Ethics Approval
The study protocol was approved by the Independent Ethics Committee of Moscow Regional Research and Clinical Institute (extract from the Minutes No. 2 of February 2, 2023). Informed consent was obtained from all participants.
Eligibility Criteria
Inclusion criteria: men and women aged 18 to 70 years with significant atrophy of the distal mandibular alveolar ridge.
Non-inclusion criteria:
- Patients with decompensated chronic medical conditions (e.g., hypertension, diabetes mellitus, malignancies, rheumatic diseases);
- Significant laboratory abnormalities;
- Bone density corresponding to D4 type;
- Poor oral hygiene;
- Pregnancy or lactation;
- Substance or alcohol abuse.
Exclusion criteria:
- Drug intolerance and adverse drug reactions during treatment;
- Newly diagnosed acute or decompensated medical conditions requiring clinical management;
- Patient refusal to continue participation.
A total of 60 surgeries were performed in patients diagnosed with distal mandibular ridge atrophy. Patients were assigned to two groups based on the treatment method.
The treatment group underwent surgery using a patented tunnel bone grafting technique.
The control group received conventional open guided bone regeneration.
The tunnel bone grafting procedure was performed according to a patented method [7], which demonstrated reduced surgical trauma and effective postoperative recovery in the treatment group.
Intervention
Patients in the treatment group underwent local nerve block or infiltration anesthesia using an articaine-based anesthetic following standard antiseptic preparation of the surgical field. A mucosal incision was made at the site of the mandibular defect, extending from the alveolar ridge in a vestibulo-oral direction. A mucoperiosteal flap was elevated using a dental elevator, creating a subperiosteal tunnel. The underlying bone was exposed, and the atrophic defect of the distal mandibular alveolar ridge was visualized and assessed. A secondary linear transverse incision was made over the distal alveolar ridge. A mucoperiosteal flap was again elevated to expose the bone surface. Autogenous bone was harvested from the vestibular aspect of the mandibular defect through the subperiosteal tunnel using a bone scraper. Additional autogenous bone chips were obtained from the mandibular ramus via the distal incision. The harvested autograft was mixed with a xenogeneic bone substitute (OsteoBiol Apatos, OsteoBiol by Tecnoss, Italy) at a 1:1 ratio in 0.5 mL of sterile saline.
A titanium mesh plate was then adapted and fixed using one self-drilling, self-tapping screw in the anterior region and another in the distal mandible. The bone graft mixture was injected into the subperiosteal tunnel using a bone syringe. Surgical wounds, including the donor site, were closed with interrupted sutures.
The advantages of this approach during surgery and in the early postoperative period included reduced soft-tissue trauma and the absence of full-thickness flap elevation. Additionally, no compressive tension was exerted by the mucoperiosteal flap on the bone graft material [8, 9].
The control group underwent conventional guided bone regeneration with bioresorbable membranes and pins. This method is routinely used for alveolar ridge augmentation before implant placement, especially when both ridge width and height need to be increased [10–12]. A trapezoidal mucoperiosteal flap was elevated. After bone exposure, the membrane was trimmed to fit the defect and secured vestibularly with pins. The defect was filled with a mixture of autogenous bone and xenograft, which was covered with the membrane and fixed lingually at 3–5 points depending on the defect size. The flap was mobilized, repositioned over the membrane, and secured with mattress sutures.
The following methods were used:
- Clinical: history taking, general health assessment, examination of the maxillofacial region and oral cavity.
- Laboratory: complete blood count and urinalysis, blood chemistry, serological testing, coagulation profile, blood typing and Rh factor.
- Radiologic: cone-beam computed tomography (CBCT), measurements of bone width and height before surgery and at 4-month follow-up.
- Histological: evaluation of the cellular and tissue composition of regenerated bone in both groups.
- Statistical data analysis.
Statistical analysis
The differences in the frequency of clinical signs at different follow-up periods were assessed using mathematical statistical methods.
Arithmetic averages and standard deviations (M±SD) were calculated for quantitative variables. Quantitative variables in the groups are compared using the Mann–Whitney criterion, the analysis of dependent samples was performed using the Wilcoxon criterion.
RESULTS AND DISCUSSION
Early Postoperative Clinical Outcomes
During the first 7 days postoperatively, common clinical signs, such as pain, swelling at the surgical site, mucosal hyperemia, local hyperthermia, and regional lymphadenopathy, were observed in both groups (Table 1).
Table 1. Clinical indicators in the early postoperative period (n = 60), %
Clinical Indicator | Day 1 | Day 3 | Day 5 | Day 7 | ||||
Treatment (n=30) | Control (n=30) | Treatment (n=30) | Control (n=30) | Treatment (n=30) | Control (n=30) | Treatment (n=30) | Control (n=30) | |
Postoperative swelling | 100 | 100 | 83±7 | 93±4 | 40±9 | 73±8* | 10±6 | 36±9* |
Mucosal hyperemia | 90±0,6 | 97±3 | 70±9 | 87±6 | 30±9 | 63±9* | 0 | 20±7* |
Fever | 77±8 | 83±7 | 23±8 | 37±9 | 10±6 | 13±6 | 0 | 0 |
Lymphadenopathy | 57±9 | 50±9 | 27±8 | 23±8 | 10±6 | 17±7 | 0 | 0 |
Postoperative pain | 100 | 100 | 83±7 | 97±3 | 37±9 | 67±9* | 7±4 | 30±9* |
* Significant intergroup difference (p <0.05, Mann—Whitney U test).
Intergroup differences in the incidence of clinical signs at various time points were assessed using mathematical statistics. Mean ± SD values were calculated for quantitative variables. Intergroup comparisons of quantitative variables used the Mann—Whitney U test; intragroup comparisons used the Wilcoxon signed-rank test.
On postoperative day 1, 100% of patients in the treatment group experienced pain and swelling at the surgical site, with oral mucosal hyperemia reported in 90%, fever in 76.7%, and regional lymphadenopathy in 56.7%.
In the control group, all patients experienced pain and swelling at the surgical site on postoperative day 1, with hyperemia reported in 96.7%, fever in 83.3%, and regional lymphadenopathy in 50%.
No significant differences were found in the incidence of clinical symptoms between the groups on Day 1.
On postoperative day 3, both groups showed clinical improvement. In the treatment group, 83.3% had pain and swelling at the surgical site, 70.0% had mucosal hyperemia, 23.3% had fever, and 26.6% had regional lymphadenopathy.
In the control group, 96.7% had pain, 93.3% had swelling, 86.7% had mucosal hyperemia, 36.7% had fever, and 23.3% had lymphadenopathy on postoperative day 3.
No significant differences were found in the incidence of symptoms between the groups on Day 3.
On postoperative day 5, differences in the incidence of clinical symptoms became more pronounced. In the treatment group, only 40.0% had swelling, 36.7% had pain, and 30.0% had mucosal hyperemia, whereas fever and regional lymphadenopathy were reported in just 10.0% of patients.
In the control group, 73.3% had swelling, 66.7% reported pain, and 63.3% had hyperemia; fever was reported in 13.3%, and regional lymphadenopathy in 16.7%.
Notably, there were significant intergroup differences in the incidence of some clinical symptoms on postoperative day 5. The treatment group showed significantly lower rates of pain (p=0.027), swelling (p=0.024), and mucosal hyperemia (p=0.016) compared to the control group. Fever and regional lymphadenopathy rates did not differ significantly.
On postoperative day 7, both groups showed an expected improvement in the incidence of clinical signs.
In the treatment group, only 6.7% reported mild pain, and 10.0% had mild swelling. No cases of mucosal hyperemia, fever, or regional lymphadenopathy were reported.
In the control group, 36.7% had residual swelling, 30.0% reported pain, and 20.0% had hyperemia, whereas fever and regional lymphadenopathy were not observed.
On postoperative day 7, pain (p=0.023), swelling (p=0.027), and mucosal hyperemia (p=0.041) rates were significantly lower in the treatment group, whereas fever and lymphadenopathy rates did not differ significantly.
Thus, the early postoperative period was more favorable in the treatment group. Both groups showed an acute inflammatory response in the first 3 days; however, a significant reduction in pain, swelling, and mucosal hyperemia at the surgical site was reported in the treatment group by Day 5, with significant differences compared to the control group.
In addition to clinical symptoms, the incidence of early postoperative complications was assessed. Some patients in both groups experienced wound dehiscence, wound infection, and graft rejection. The incidence of these complications was also analyzed statistically (Table 2). In the control group, 27% had wound dehiscence, and 20% experienced wound infection and graft rejection. In contrast, only 7% of patients in the treatment group had wound dehiscence, and 3% developed wound infection or graft rejection.
Table 2. Incidence of early postoperative complications, %
Complication | Group | p | |
Treatment (n=30) | Control (n=30) | ||
Wound dehiscence | 7±5% | 27±8 | <0.05 |
Wound infection | 3±3 | 20±7 | >0.05 |
Graft rejection | 3±3 | 20±7 | >0.05 |
Wound dehiscence was significantly less common in the treatment group (p=0.041). Other complication rates were lower as well, but the differences were not significant.
Although complications occurred in both groups, their incidence was substantially lower in the treatment group, likely due to the less invasive surgical access and minimal mucoperiosteal flap tension.
Long-Term Outcomes
CBCT scans of facial bones were performed on the day of surgery and after 4 months. Bone gain was assessed by measuring from the bone edge to the border of the graft in the axial plane. Bone width and height gain was measured during the follow-up period to assess changes in volume after 4 months (Table 3).
Table 3. Volumetric changes in bone augmentation before and 4 months after surgery, mm
Group | Width | Height | ||
Day of surgery | After 4 months | Day of surgery | After 4 months | |
Treatment (n=30) | 3.73±0.15 | 3.30±0.20 | 2.20±0.12 | 1.60±0.14 |
Control (n=30) | 4.20±0.14 | 2.80±0.30 | 2.43±0.13 | 1.50±0.19 |
On the day of surgery, the mean ridge width gain was 3.73 mm and height gain was 2.20 mm in the treatment group. In the control group, the mean width and height were 4.20 mm and 2.43 mm, respectively.
After 4 months, the mean width and height in the treatment group were 3.30 mm and 1.60 mm, respectively. In the control group, they were 2.80 mm and 1.50 mm, respectively.
Graft shrinkage was calculated for each patient by measuring the difference in width and height on the day of surgery and after 4 months (Table 4).
Table 4. Graft shrinkage 4 months after surgery, mm
Group | Graft shrinkage | |
Width reduction | Height reduction | |
Treatment (n=30) | 0.43±0.12 | 0.60±0.09 |
Control (n=30) | 1.40±0.23 | 0.93±0.16 |
p | 0.0004 | 0.24 |
In the treatment group, the mean shrinkage after 4 months was 0.43 mm in width and 0.60 mm in height; in the control group, it was 1.40 mm and 0.93 mm, respectively.
Graft width shrinkage was significantly lower in the treatment group (p=0.0004). Height shrinkage was also lower in the treatment group; however the difference was not significant (p >0.05).
Both groups achieved the intended bone augmentation on the day of surgery, as evidenced by bone width and height. After 4 months, sufficient bone width and height gain for implant placement was observed in the majority of patients. The significantly lower shrinkage in the treatment group is likely due to reduced mucoperiosteal flap trauma, less scarring, and reduced pressure on the graft.
Histologic Evaluation of Bone Tissue
The regenerated bone was sampled during implant site preparation in both groups from the previously augmented area using a 2.7 mm trephine.
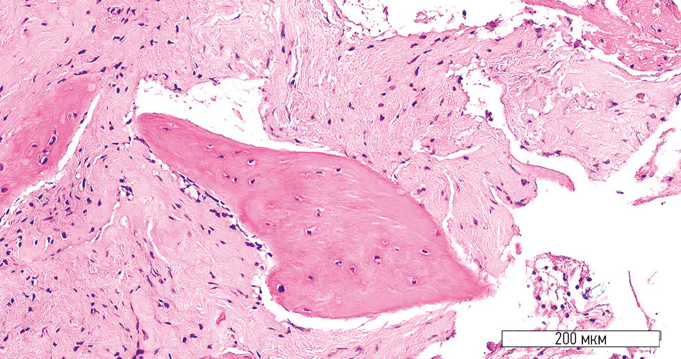
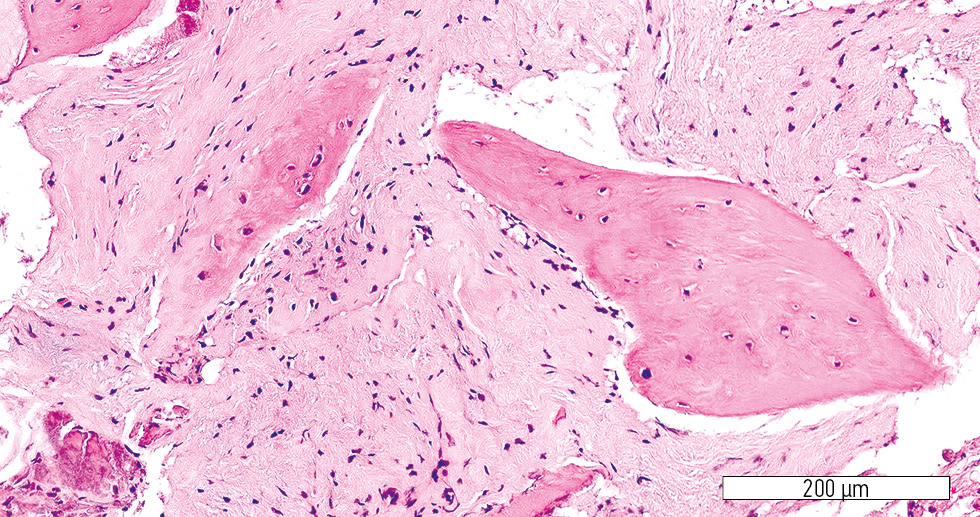
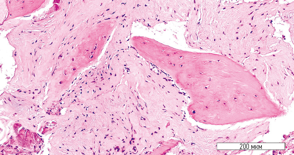
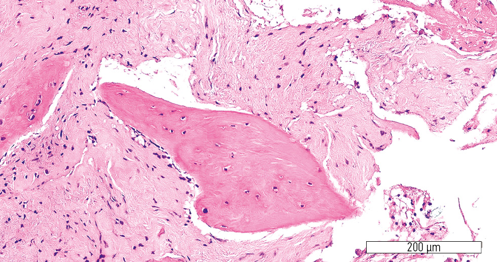
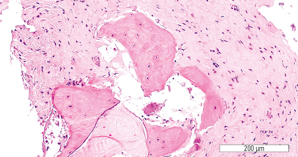
Microscopic evaluation after 4 months revealed substantial differences in the histological architecture of the regenerated bone between the treatment and control groups. In the treatment group, a well-developed stromal component and newly formed bone trabeculae were observed (Fig. 1). The stromal component consisted of densely packed mesenchymal cells with a minimal number of blood vessels per mm2 (Fig. 2). Areas of osteogenesis contained active osteoblasts, and the newly formed bone lamellae showed multiple lacunae, some with osteocytes and isolated osteoblasts (Fig. 3).
Fig. 1. Well-developed stromal component (treatment group). Hematoxylin-eosin stain; original magnification ×100.
Fig. 2. Stromal tissue composed of mesenchymal cells with minimal vascularization (treatment group). Hematoxylin-eosin stain; original magnification ×300.
Fig. 3. Bone lamella containing osteocytes and isolated osteoblasts (treatment group). Hematoxylin-eosin stain; original magnification ×400.
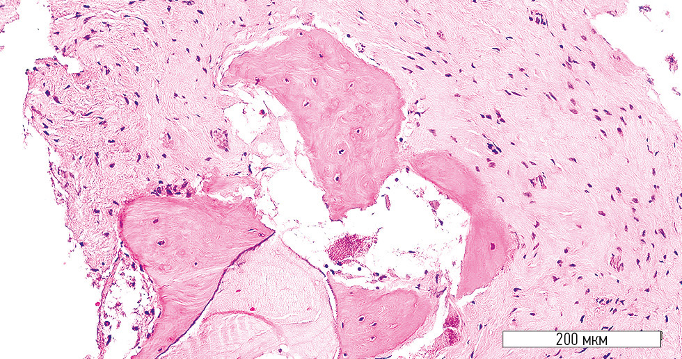
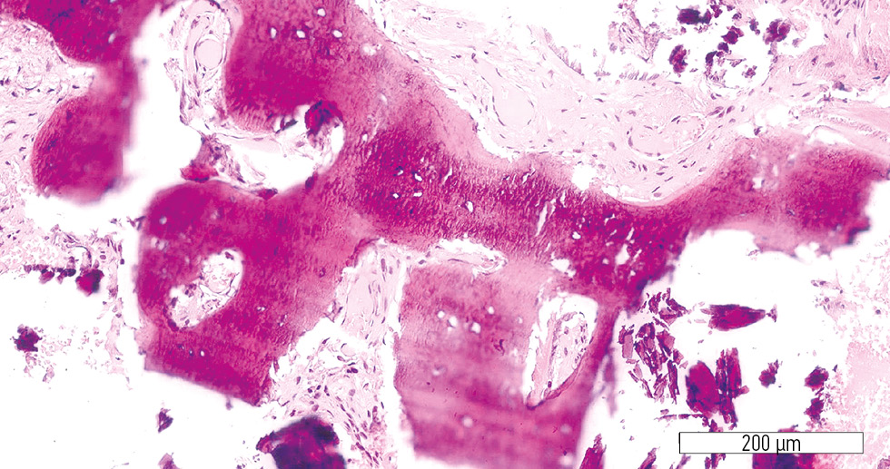
Closer examination of the bone lamellae revealed areas of non-uniform osteogenesis (Fig. 4). Maximum bone density was observed at the periphery of the trabeculae, whereas the central zones showed regions with immature osteons.
Fig. 4. Bone lamella with heterogeneous structure (treatment group). Hematoxylin-eosin stain; original magnification ×400.
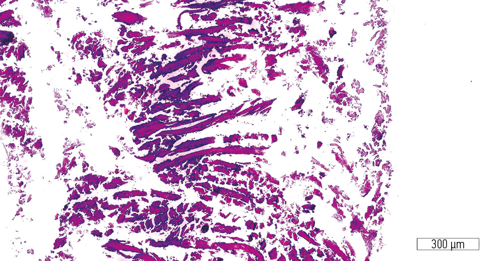
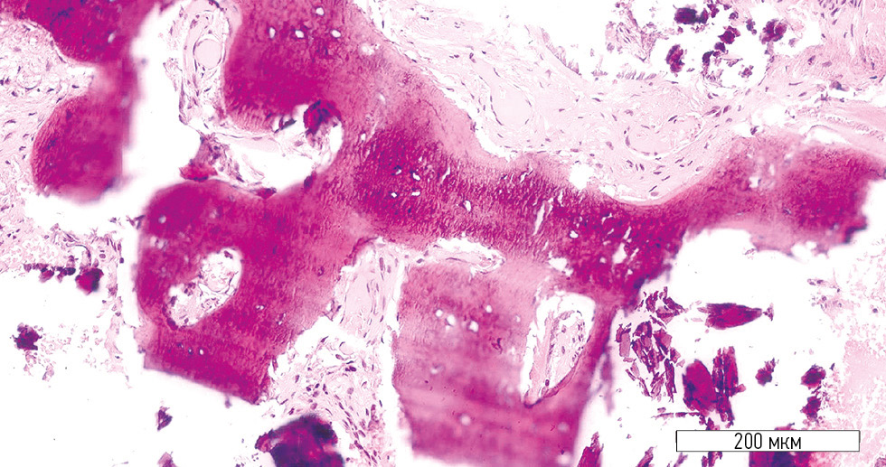
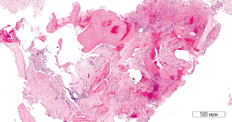
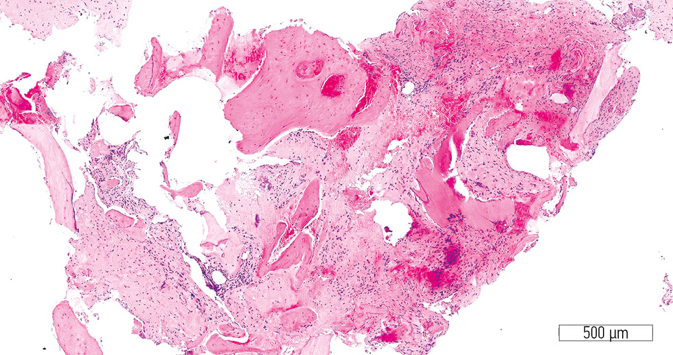
In the control group, numerous bone chip fragments were observed. Neither an obvious stromal component nor structured bone trabeculae were identified (Fig. 5). Isolated regions of active stromal component with pronounced vascularization were present. The bone trabeculae appeared immature, with osteoblasts and newly formed lacunae containing osteocytes (Fig. 6).
Fig. 5. Numerous bone fragments without stromal component or newly formed trabeculae (control group). Hematoxylin-eosin stain; original magnification ×200.
Fig. 6. Stromal component and newly formed immature bone trabecula (control group). Hematoxylin-eosin stain; original magnification ×400.
CONCLUSION
This clinical study demonstrated that the proposed tunnel bone grafting technique for the mandibular alveolar ridge promotes more favorable wound healing and reduces the incidence of postoperative complications. Although no significant differences in early clinical symptoms were observed on postoperative days 1 and 3, by days 5 and 7, the treatment group showed marked improvement in all evaluated parameters.
The tunnel bone grafting technique significantly reduced the risk of postoperative complications, particularly wound dehiscence.
CBCT performed 4 months after surgery showed that this method, similar to conventional guided bone regeneration, resulted in an increase in both bone height and width at the defect site.
After 4 months, mean bone gain in the treatment group was 3.30±0.20 mm in width and 1.60±0.14 mm in height. In the control group, the corresponding values were 2.80±0.30 mm and 1.50±0.19 mm, respectively.
Another important efficacy criterion was the degree of graft shrinkage over the 4-month period. In the treatment group, the mean shrinkage was 0.43±0.12 mm in width and 0.60±0.09 mm in height. In the control group, shrinkage averaged 1.40±0.23 mm in width and 0.93±0.16 mm in height.
The absence of significant differences in bone volume gain confirms that the proposed tunnel bone grafting technique is comparable to conventional guided bone regeneration in achieving sufficient bone augmentation.
Histological assessment of regenerated bone samples after 4 months demonstrated that the treatment group had more mature regenerated bone. This outcome is likely due to the preservation of periosteal integrity in the grafted area, ensuring improved vascular supply to the regenerated tissue.
Tunnel bone grafting may be considered a technique of choice for treating distal mandibular alveolar ridge atrophy.
ADDITIONAL INFORMATION
Funding sources: This work was not supported by any external sources.
Disclosure of interests: The authors declare no explicit or potential conflicts of interests associated with the publication of this article.
Author contributions: All authors confirm that their authorship meets the international ICMJE criteria (all authors made a substantial contributions to the conceptualization, investigation, and manuscript preparation, and reviewed and approved the final version prior to publication).
The primary contributions were distributed as follows: E.O. Andriadze: data collection and analysis, surgeries in both groups of patients, writing — original draft; N.D. Gnatyuk: data collection and analysis, writing — original draft; A.M. Sipkin: data collection and analysis, surgeries in experimental animals, writing — original draft, writing — review & editing; D.Yu. Okshin: data collection and analysis, writing — original draft.
About the authors
Ekaterina O. Andriadze
Moscow Regional Research and Clinical Institute
Author for correspondence.
Email: andriadze.ekaterina@mail.ru
ORCID iD: 0000-0003-2824-2039
SPIN-code: 2591-3189
Russian Federation, 61/2 Shchepkina street, 129110 Moscow
Alexander М. Sipkin
Moscow Regional Research and Clinical Institute
Email: aleksipkin@bk.ru
ORCID iD: 0000-0001-8287-741X
SPIN-code: 3603-1248
MD, Dr. Sci. (Medicine), Associate Professor
Russian Federation, 61/2 Shchepkina street, 129110 MoscowNikita D. Gnatyuk
Moscow Regional Research and Clinical Institute
Email: nikkitagnatiuk@gmail.com
ORCID iD: 0000-0001-5756-4999
SPIN-code: 8391-4718
Russian Federation, 61/2 Shchepkina street, 129110 Moscow
Dmitriy Yu. Okshin
Moscow Regional Research and Clinical Institute
Email: med-fack@mail.ru
ORCID iD: 0000-0002-1307-3968
SPIN-code: 2202-9356
Russian Federation, 61/2 Shchepkina street, 129110 Moscow
References
- Amkhadova MA, Atabiev RM, Akhmadov IS, Tsukaev KA. Clinical and experimental substantiation of the use of domestic resorbable membranes in directed bone regeneration. Medical Alphabet. 2018;4(34):41–45. EDN: VUYCCA
- Kosareva OS, Drovosekov MN, Ivanova NA, et al. Modern methods of restoration of bone tissue defects in dental practice. Morphological Newsletter. 2022;30(1):63–70. EDN: TDTOFU doi: 10.20340/mv-mn.2022.30(1).598
- Kazeko LA, Benesh YuD. Bone resorption in rapidly progressive periodontitis. Dental journal. 2018;19(3):190–194. (In Russ.) EDN: TITKTZ
- Managarov NG. Bone grafting in maxillofacial surgery. Healthcare of Yugra: experience and innovations. 2018;(3):24–28. (In Russ.) EDN: VKJYTV
- Abakarov MM, Magomedov AB, Nurutdinov NP. Directional bone regeneration in implantology. Fundamental and Applied Scientific Research: Topical Issues, Achievements and Innovations. 2023;72–75. (In Russ.)
- Eisenbraun OV. The use of tunneling techniques of bone grafting in patients with jaw bone atrophy [dissertation]. Moscow; 2018. (In Russ.) EDN: SIQPAP
- Patent RUS No. 2786139 / 19.12.2022. Andriadze EO, Tonkikh-Podolskaya OA, Sipkin AM. Method of reconstruction of the extended end defect of the mandibular alveolar bone in the distal region. EDN: QLQIZJ
- Andriadze EO, Sipkin AM, Shapiro IE. Modern methods of dental implantation and bone grafting. Russian Bulletin of Dental Implantology. 2022;(1-2):98–108. EDN: CBDZTE
- Andriadze EO, Sipkin AM, Modina TN, et al. Tunnel bone grafting for reconstruction of an extended terminal defect of the alveolar bone of the mandible in the distal region: a clinical case. Clinical Dentistry (Russia). 2024;27(2):90–93. EDN: NDJSWS doi: 10.37988/1811-153X_2024_2_90
- Tsitsiashvili AM, Panin AM, Arutyunov SD, et al. Biomodel of bone tissue and xenogenic bone graft: mechanical properties. Russian Journal of Dentistry. 2019;23(6):254–262. EDN: YJROHV doi: 10.18821/1728-2802-2019-23-6-254-262
- Iordanishvili AK, Muzikin MI, Soldatov VS. Patterns of bone tissue regeneration. Dental Scientific and Educational Journal. 2019;(1-2):21–29. (In Russ.)
- Sipkin AM, Modina TN, Gnatiuk ND, et al. Clinical and radiological evaluation of the use of bone-plastic material based on collagen hydrogel in the experiment. Clinical Dentistry (Russia). 2024;27(1):60–65. EDN: MTYQBI doi: 10.37988/1811-153X_2024_1_60
Supplementary files










