Scientific and practical evidence of the efficacy of various dentures in orthopedic dentistry in HIV-positive patients
- Authors: Pulatova R.S.1, Gafforov S.A.2, Hen D.N.2
-
Affiliations:
- Bukhara State Medical Institute
- Center for the Development of Professional Qualification of Medical Workers
- Issue: Vol 29, No 2 (2025)
- Pages: 150-160
- Section: Clinical Investigations
- Submitted: 02.12.2024
- Accepted: 28.02.2025
- Published: 29.04.2025
- URL: https://rjdentistry.com/1728-2802/article/view/642237
- DOI: https://doi.org/10.17816/dent642237
- ID: 642237
Cite item
Abstract
Background: Dental care in HIV-positive patients is a significant problem. The clinical course of the disease, particularly the high risk of infection, along with social and psychological stress, makes the diagnosis and treatment difficult. This necessitates specialized dental care, including the use of modern dentures that improve the functional status of periodontal tissues, increase the stability of masticating pressure, and consider etiopathogenetic mechanisms.
Aim: To provide scientific and practical evidence of the efficacy of alternative denture designs in HIV-positive patients with specific clinical and morphological features of periodontal tissue and oral mucosa lesions.
Methods: The study included 384 HIV-positive patients (treatment group, TG) and 258 control subjects (control group, CG) who were followed up at the Republican AIDS Center and its Bukhara branch. Of these, 134 TG patients (TG-1), including 68 TG patients (TG-2) and 66 reference group (RG) patients, as well as 38 CG patients, received orthopedic treatment using various types of dentures. TG-2a (n=33) received thermoplastic monomer-free Vertex ThermoSens dentures, whereas TG-2b (n= 5) received Vertex ThermoSens dentures with the Gluma Comfort Bond adhesive for surface treatment; RG-1 (n=32) received Ftorax acrylic plastic dentures, whereas RG-2 (n=34) received Ftorax acrylic plastic dentures with the Gluma Comfort Bond adhesive for surface treatment. CG patients received Vertex ThermoSens dentures. The study subjects were followed up for 12 months; clinical, dental, laboratory, functional, and histomorphological examinations were performed.
Results: Taking into account the clinical features of oral lesions in HIV-positive patients, thermoplastic monomer-free Vertex ThermoSens dentures with the Gluma Comfort Bond adhesive were superior to Ftorax acrylic plastic dentures. However, considering the social and economic acceptability of Ftorax dentures, the use of the Gluma Comfort Bond adhesive is justified, eliminating the major shortcomings of currently used acrylic plastics.
Conclusion: A treatment and prevention algorithm for dental restoration has been developed for HIV-positive patients. The algorithm involves treating Vertex ThermoSens and Ftorax dentures with the Gluma Comfort Bond adhesive, which reduces periodontal tissue inflammation and improves masticatory efficiency.
Full Text
Background
It is well established that patients infected with the human immunodeficiency virus (HIV) demonstrate predominantly communicable routes of transmission and progressive disruption of genetic mechanisms [1–3], which result in immunodeficiency and promote the development of opportunistic infections. The course and outcomes of these conditions are ultimately life-threatening [4–6]. Considering these factors, dental practitioners managing patients with HIV infection often encounter significant psychological and behavioral challenges [7–9]. Moreover, the effectiveness of dental treatment depends on the patient’s clinical status and stage of the underlying systemic disease [10–12]. The quality, biocompatibility, and biomechanical properties of denture base materials, including acrylic resins and polymethyl methacrylate, may contribute to pathologic changes in the denture-bearing mucosa and in the supporting periodontal tissues. Given that approximately 80% of all dental prostheses are fabricated using these materials [13, 14], the search for alternative prosthodontic and preventive approaches for HIV-positive patients to correct lesions of the oral mucosa and periodontium remains a critical issue in contemporary dental practice [15–18].
Aim
This study aimed to provide a scientific rationale for evaluating the efficacy of alternative denture designs in HIV-positive patients exhibiting specific clinical and morphologic characteristics of periodontal and oral mucosal lesions.
Methods
A retrospective study was conducted involving 384 patients aged 18–59 years (treatment group, TG) who had been under clinical follow-up at the Republican AIDS Center and its Bukhara regional branch during 2022–2024, as well as a prospective study of 258 individuals (control group, CG) who sought dental care at the Dental Clinic of the Center for the Development of Professional Qualification of Medical Workers, Ministry of Health of the Republic of Uzbekistan. Within the prospective study, social, clinical, dental, laboratory, and several specialized functional assessments were performed. The participants’ sex, age, and social characteristics are summarized in Table 1.
Table 1. Age, sex, and socioeconomic characteristics of study participants
Parameter | HIV-positive patients (n = 384) | Control group (n = 258) | Pearson χ2 p-value |
Sex: Males Females | 255/66.41 129/33.59 | 175/67.83 83/32.17 | 0.65 ≥ 0.05 1.25 ≥ 0.05 |
Age, years: 18–24 25–34 35–44 45–54 55–59 | 35/9.11 66/17.19 191/49.74 61/15.89 31/8.07 | 19/7.36 44/17.05 134/51.94 41/15.89 20/7.75 | 0.65 ≥ 0.05 0.31 ≥ 0.05 0.33 ≥ 0.05 0.44 ≥ 0.05 0.52 ≥ 0.05 |
Socioeconomic status: Manual workers Higher education Secondary education | 104/27.08 155/40.36 125/32.55 | 72/27.91 103/39.92 83/32.17 | 0.65 ≥ 0.05 0.71 ≥ 0.05 0.45 ≥ 0.05 |
Unemployed Employed | 211/54.95 173/45.05 | 142/55.04 116/44.96 | 0.25 ≥ 0.05 0.41 ≥ 0.05 |
In the prospective phase, 134 HIV-positive patients from the treatment cohort using partial and complete removable dentures (PRDs and CRDs) and requiring prosthetic replacement were examined. These patients were divided into two groups:
- Treatment group 2 (TG-2, n = 68): TG-2a (n = 33) included patients who received PRDs and CRDs fabricated from monomer-free thermoplastic resin Vertex ThermoSens (Vertex Dental, The Netherlands); TG-2b (n = 35) included patients who received Vertex ThermoSens dentures with the surface treated with Gluma Comfort Bond adhesive (Kulzer, Germany).
- Reference group (RG, n = 66): RG-1 (n = 32) included patients who received dentures fabricated from Ftorax acrylic resin (Stoma, Ukraine); RG-2 (n = 34) included patients who received Ftorax acrylic resin dentures treated with Gluma Comfort Bond adhesive.
To evaluate and compare the condition of oral tissues, 38 participants from the control group (CG-1) were fitted with removable dentures fabricated from monomer-free thermoplastic Vertex ThermoSens. The denture surface microrelief was examined morphologically using a Hitachi S-405A scanning electron microscope (Hitachi, Japan) equipped with a digital camera. The morphology of the subdenture and marginal areas of the oral mucosa was studied via microangioscopy, fluorescence photodiagnostics using a Trinocular Fluorescent Microscope BS-2063FT (Bestscope International Limited, China), and an immersion microscope Celestron (Celestron LLC, USA).
The following parameters were assessed during the study: oral hygiene was evaluated using the Green–Vermillion Oral Hygiene Index (OHI, 1969); periodontal condition was determined using the Russell’s Periodontal Index (1956) and the Gingival Bleeding Index described by Mühlemann (1971) and Cowell (1975); the periodontal treatment needs were assessed with the World Health Organization (WHO) Community Periodontal Index of Treatment Needs (CPITN). The viability of the soft tissues and the endurance of the periodontal structures were evaluated using horizontal (HL) and vertical (VL) loading tests by the gnathodynamometric method1. The immune status of mixed saliva was assessed by the method according to Mancini et al. (1965). Dental status evaluation included assessment of tooth and dental arch defects, caries prevalence, and the DMF index (Decayed, Missing, and Filled teeth). When indicated, radiographic evaluation (panoramic radiography) was performed. All data were processed using Microsoft Excel (Microsoft Corp., USA) and Statistica 6.0 (StatSoft Inc., USA) on a personal computer.
Results and discussion
At the initial clinical and dental examination, the prevalence of dental caries was 100% in TG and 80% in CG. The mean DMF index values were 15.4 and 8.6, respectively. The DMF components in TG/CG were as follows: D, 60%/38.5%; F, 9.5%/40%; and M, 31.5%/21.5%. No subjects with a healthy periodontium were identified among HIV-positive patients, whereas 15.5% of CG participants exhibited healthy periodontal tissues (χ² = 12.31; p < 0.05). Inflammatory manifestations of periodontal pathology were significantly more common in TG than in CG: severe inflammation, 63.5% vs 13.18% (χ² = 21.1; p ≤ 0.01); moderate, 47.29% vs 21.6% (χ² = 17.32; p < 0.01); and mild, 24.1% vs 14.8% (χ² = 11.12; p ≤ 0.05). The CPITN scores indicated pronounced gingival bleeding, extensive calculus and caries, deep periodontal pockets, and atypical morphological changes of the gingiva. Patients with HIV infection demonstrated low treatment motivation, dark-colored edema, bright erythematous desquamation of the gingiva, and profuse bleeding on probing. The mean periodontal index value in TG was 0.87 compared with 0.18 in CG-1, and the mean OHI was 0.92 vs 0.84, respectively (p < 0.01). Overall, the condition of the periodontal tissues was rated at 4.32 points in TG and 0.33 points in CG, with periodontal pathology severity 12–14 times higher in HIV-positive patients. Gingival bleeding averaged 2.32 points, approximately 1.8–2.0 times greater than in CG (1.33 points). Dental plaque accumulation averaged 1.73 points, 2.2 times higher than in CG (0.88 points). The prevalence of pathological gingival pockets averaged 1.58 points, occurring 2.4 times more frequently than in CG (0.77 points).
Lesions of the oral mucosa were also markedly more frequent among HIV-positive patients compared with controls (see Fig. 1). The distribution of oral mucosal pathology was as follows: candidiasis, 25% (χ² = 17.26; p ≤ 0.01); oropharyngeal candidiasis, 14.58% (χ² = 12.11; p ≤ 0.01); angular cheilitis, 18.49% (χ² = 14.27; p ≤ 0.01); herpetic stomatitis, 10.68% (χ² = 10.32; p ≤ 0.01); recurrent aphthous stomatitis, 14.32% (χ² = 12.31; p ≤ 0.01); chronic atypical sialadenitis, 17.71% (χ² = 14.25; p ≤ 0.01); oral hairy leukoplakia, 3.60% (χ² = 4.85; p ≤ 0.01); non-Hodgkin lymphoma, 6.51% (χ² = 7.81; p < 0.01); and Kaposi sarcoma, 4.42% (χ² = 4.21; p < 0.05). In 21 HIV-positive patients wearing partial or complete removable dentures, examination of the subdenture and marginal areas of the oral mucosa using a dental endoscope revealed multiple keratotic foci, persistent ulcerative lesions, and vascular proliferation in the soft-palate region. Microscopic analysis showed fine pale-yellow reticular and translucent venous alterations, pronounced erythematous hyperplasia, necrotic foci at sites of acute trauma, and complications associated with chronic gingival bleeding.
Fig. 1. Description of oral mucosal pathologies identified in the study population.
Evaluation of the number and condition of existing dentures demonstrated that, among 134 HIV-positive patients, 14.12% had fixed prostheses, 76.12% required replacement of partial removable dentures, and 23.8% required replacement of complete removable dentures (see Table 2).
Table 2. Prosthodontic status of patients with HIV infection
Category | Patients using or requiring dental prostheses | Patients in the treatment group | Pearson χ2 | ||||||
Complete removable dentures | Partial removable dentures | Bridges | |||||||
n | M ± m, % | n | M ± m, % | n | M ± m, % | n | M ± m, % | ||
Patients using dentures | 8 | 16.3 ± 0 | 13 | 26.5 ± 0 | 28 | 57.16 ± 0 | 49 | 100 | χ2=17.894 |
Patients requiring prosthetic rehabilitation | 32 | 23.80 ± 4.98 | 102 | 76.12 ± 7.54 | 19 | 14.12 ± 6.61 | 134 | 100 | |
Pearson χ2 = 19.644; p = 0.007 | |||||||||
Gnathodynamometric testing in the primary treatment group (TG-1, n = 134) and control group (CG-1, n = 38) revealed that resistance to VL and HL in TG-1 patients was 2–4 times lower than in CG-1. Statistically significant results were obtained for TG-1 during VL assessment: incisors, 7.32 ± 0.13*; cuspids, 9.5 ± 0.12*; bicuspids, 8.45 ± 0.13*; molars, 8.14 ± 0.19*; and during HL testing: incisors, 0.99 ± 0.04*; cuspids, 1.05 ± 0.04*; bicuspids, 1.15 ± 0.04*; molars, 1.26 ± 0.05* (* indicates statistically significant difference).
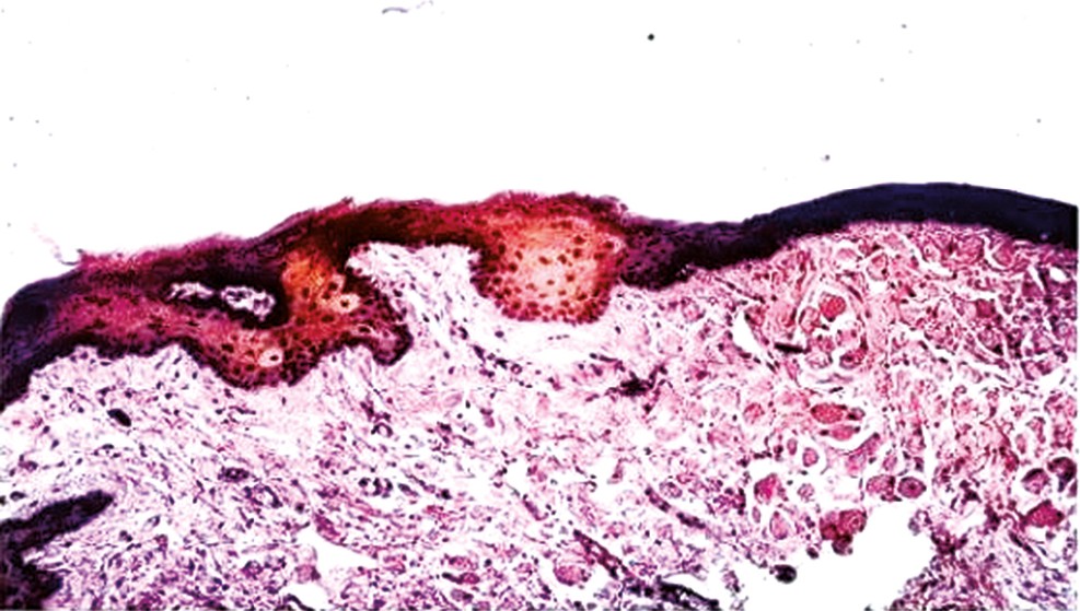
In patients with dentures fabricated from Ftorax acrylic resin, morphologic analysis of the oral mucosa under and along the denture borders revealed thinning of the epithelial layer of the mucosa, consisting of only 4–5 cell rows, and overall epithelial atrophy beneath the denture surface. Keratohyalin granules were sparse, and the granular layer appeared poorly defined. In the prickle-cell layer, hypochromic nuclei of karyopyknotic and acantholytic cells were observed, whereas basal cells were predominantly cylindrical and often in mitotic phase. The adjacent connective tissue showed segmentation into deep layers and was infiltrated with lymphohistiocytic elements (see Fig. 2). Radiographic examination demonstrated destruction of the cortical plates of both jaws, osteoporotic and dystrophic changes in the alveolar bone spurs, combined horizontal and vertical bone resorption, deep osseous pockets, structural disorganization, and focal dystrophy within periodontal structures.
Fig. 2. Morphology of the oral mucosa in patients using dentures fabricated from Ftorax acrylic resin. Hematoxylin and eosin staining; ×100. Scanning electron microscopy (SEM).
The microrelief of the contact surface of the oral mucosa beneath partial and complete removable Ftorax dentures appeared irregular, with numerous microgaps, sharp edges, and plaque contamination on the denture surface (see Fig. 3).
Fig. 3. Increased surface relief of Ftorax acrylic resin denture base. ×400. Scanning electron microscopy (SEM).
In the saliva of HIV-positive patients (TG-1), the concentration of secretory immunoglobulin A (sIgA) was 1.24 ± 0.08 g/L compared with 1.42 ± 0.20 g/L in CG-1, and lysozyme concentration was 11.2 ± 0.5 g/L compared with 10.6 ± 0.8 g/L in CG-1, indicating decreased activity of the local immune system.
To enhance the scientific and clinical validity of the study and to comply with international management protocols for patients with HIV infection, adjunctive local treatment was administered alongside routine antiretroviral therapy. In the secondary treatment group (TG-2), comprehensive dental treatment was performed in 68 patients. Oral hygiene improved after scaling and curettage; traumatic occlusion was corrected, and immobilization was provided where indicated. Necrotic tissues were removed, and a periodontal dressing (Metrogyl Denta) was applied following irrigation with 0.025% chlorhexidine and 0.3% trypsin solution. After regression of acute inflammation, a protective-binding dressing containing Sextaphag solution was applied. Additionally, Fluconazole was prescribed at a dose of 100 mg daily for 14 days, and Acyclovir at 400 mg three times daily for oral mucosal lesions. In cases of oral hairy leukoplakia, a topical 0.1% vitamin A oil solution was applied.
The RG (n = 66) received conventional treatment for moderate periodontitis. After resolution of inflammatory and pathological manifestations in the periodontal tissues and oral mucosa, dental arch defects were restored using complete or partial removable dentures (CRDs or PRDs, as indicated). Depending on the subgroup, various combinations of Vertex ThermoSens, Ftorax acrylic resin, and Gluma Comfort Bond adhesive coating were used in groups TG-2a, TG-2b, RG-1, RG-2, and CG-1, respectively.
To improve denture quality (see Fig. 4, a) and surface microrelief (see Fig. 4, b, c), the intaglio surface of Ftorax PRDs was impregnated with Gluma Comfort Bond adhesive. The adhesive layer filled the pores on the internal denture surface and sealed the polymer matrix, thereby preventing food debris and microorganisms from accumulating within the surface irregularities. Patients reported improved comfort, absence of sharp edges, and no mucosal injury under or along the denture margins during mastication. The adaptation period was shortened, and the prostheses demonstrated clear clinical advantages.
Fig. 4. Ftorax acrylic resin denture: a, general view; b, internal surface of the denture, ×200, scanning electron microscopy; c, ×400, scanning electron microscopy.
From the standpoint of biocompatibility and design, Vertex ThermoSens partial dentures (see Fig. 5, a, b) showed distinct superiority over Ftorax acrylic resin dentures. These prostheses exhibited enhanced esthetic and functional characteristics, a markedly reduced adaptation period, and a smoother contact surface with the oral mucosa. There were no conditions conducive to microbial colonization, no release of residual monomer, and the risk of trauma to the denture-bearing tissues was significantly reduced.
Fig. 5. Partial removable dentures fabricated from Vertex ThermoSens for the mandibular arch: a, general view; b, ×400, scanning electron microscopy (SEM).
The surfaces of Vertex ThermoSens and Ftorax dentures treated with Gluma Comfort Bond adhesive remained smooth and hygienically clean after 6 and 12 months of clinical use. From morphologic, biomechanical, biophysical, clinical, and functional perspectives, it is crucial that these favorable characteristics be preserved in long-term follow-up.
Analysis of the results of oral sanitation, expressed as the distribution of DMF index components 6 months after prosthetic rehabilitation in HIV-positive patients using CRDs or PRDs, revealed the following: TG-2a — D, 15%; F, 55%; M, 30%; TG-2b — D, 10%; F, 60%; M, 30%; RG-1 — D, 25%; F, 40%; M, 25%; RG-2 — D, 20%; F, 45%; M, 35%; CG-1 — D, 25%; F, 50%; M, 25%. These findings indicate a favorable shift in the proportions of filled (F) and decayed (D) components.
The severity of periodontal inflammation in HIV-positive patients markedly decreased, as reflected in the following distribution in TG-2a, TG-2b, RG-1, RG-2, and CG-1 by severity grade: severe inflammation — 25%, 18%, 45%, 35%, 10%; moderate inflammation — 20%, 25%, 30%, 25%, 15%; mild inflammation — 65%, 67%, 25%, 40%, 25%, respectively. Symptoms of gingival bleeding, dental deposits, and caries were reduced, and periodontal pockets were eliminated. Functional testing showed the following indices: PI — TG-2a, 0.87; TG-2b, 0.67; RG-1, 1.04; RG-2, 0.92; CG-1, 0.83; OHI — TG-2a, 0.92; TG-2b, 0.88; RG-1, 0.84; RG-2, 0.86 (p < 0.01; p < 0.05); CPITN — TG-2a, 1.82; TG-2b, 1.84; RG-1, 1.02; RG-2, 1.22; CG-1, 1.62. Positive changes were recorded compared with pre-prosthetic values, with indices improving from 0.04 to 0.18 (N = 0.01; p < 0.05) (see Table 3).
Table 3. Evaluation of clinical and functional parameters of oral tissues over time, n/%
Group | Good (4 points) | Fair (3 points) | Poor (2 points) | No change (1 point) | |||||
6 months | 12 months | 6 months | 12 months | 6 months | 12 months | 6 months | 12 months | ||
CG-1 (n = 38) | 22/58.0 | 25/66.0 | 14/36.8 | 10/26.0 | 2/5.2 | 3/7.9 | — | — | |
TG-1 (n = 68) | TG-2a (n = 33) | 7/21.2 | 22/66.0 | 17/51.5 | 8/24.0 | 9/27.3 | 3/9.0 | — | — |
TG-2b (n = 35) | 9/25.7 | 26/74.0 | 20/57.1 | 5/14.0 | 6/17.1 | 3/8.0 | 1/2.8 | — | |
RG (n = 66) | RG-1 (n = 32) | 4/12.5 | 8/25.0 | 10/31.2 | 10/31.2 | 14/43.7 | 12/37.0 | 4/12.5 | 2/6.2 |
RG-2 (n = 34) | 6/17.6 | 15/44.0 | 16/47.1 | 12/35.0 | 12/35.3 | 6/17.6 | — | 1/2.9 | |
Note: CG, control group; TG, treatment group; RG, reference group.
Morphologic evaluation of the oral mucosa revealed reduced keratinization, restoration of the soft tissue relief, decreased hyperemia, and a reduction of mucosal eruptions and xerostomia. Tongue coating either disappeared or was markedly diminished. Gingival erythema resolved, venous stasis decreased, and capillary structures became more apparent, indicating improved microcirculation. Radiographic images showed stabilization of the alveolar bone, significant positive improvements in both jaws, and increased bone density, particularly after 12 months.
Gnathodynamometric testing at 6 and 12 months after prosthetic rehabilitation demonstrated positive changes in both vertical and horizontal loading resistance across all tooth groups in the RG (see Table 4).
Table 4. Gnathodynamometric parameters after treatment and preventive therapy in patients of the treatment group
Group | Резец | Клык | Премоляр | Моляр | |
Vertical loading | |||||
Intact periodontium | 16.30 ± 0.64 | 24.80 ± 0.76 | 23.70 ± 0.78 | 32.50 ± 1.33 | |
TG-1 (n = 68) | After 6 months | 11.28 ± 0.06*х # | 12.50 ± 0.08*х # | 12.66 ± 0.08*х # | 11.59 ± 0.11*х # |
After 12 months | 10.08 ± 0.03*х # | 11.30 ± 0.05*х # | 10.45 ± 0.04*х # | 11.33 ± 0.15*х # | |
RG (n = 66) | After 6 months | 9.25 ± 0.03*х | 11.12 ± 0.32*х | 11.71 ± 0.04*х | 10.05 ± 0.06*х |
After 12 months | 8.15 ± 0.03*х | 10.02 ± 0.12*х | 10.41 ± 0.05*х | 9.15 ± 0.05*х | |
Horizontal loading | |||||
Intact periodontium | 2.30 ± 0.12 | 3.30 ± 0.13 | 3.25 ± 0.12 | 4.55 ± 0.11 | |
TG-1 (n = 68) | After 6 months | 1.53 ± 0.01*х # | 1.42 ± 0.01*х # | 1.53 ± 0.05*х # | 1.92 ± 0.05* |
After 12 months | 1.02 ± 0.03* | 1.25 ± 0.03* | 1.35 ± 0.04* | 1.46 ± 0.05* | |
RG (n = 66) | After 6 months | 1.24 ± 0.03*х | 1.38 ± 0.03*х | 1.40 ± 0.05*х | 1.55 ± 0.06*х |
After 12 months | 1.12 ± 0.03*х | 1.24 ± 0.03*х | 1.32 ± 0.05*х | 1.40 ± 0.06*х | |
Note: CG-1, control group; TG-1, treatment group; RG, reference group. *Statistically significant difference compared with healthy controls (p < 0.001). χ, statistically significant difference compared with baseline values (χ p < 0.001). D, statistically significant difference in CG-1 compared with post-treatment HIV patients (D p < 0.001).
After 6 months, local immunologic assessment of mixed saliva demonstrated the following mean concentrations: in TG-2a, 2.05 ± 0.04 g/L for secretory immunoglobulin A (sIgA) and 16.7 ± 0.8 g/L for lysozyme; in TG-2b, 2.25 ± 0.02 g/L and 17.4 ± 0.6 g/L, respectively; in RG-1, 1.88 ± 0.02 g/L and 13.4 ± 0.4 g/L, respectively; in RG-2, 2.48 ± 0.04 g/L and 17.2 ± 0.6 g/L, respectively; in CG-1, 1.88 ± 0.20 g/L and 14.6 ± 0.8 g/L, respectively. Positive changes in the local immune response were also observed after 12 months: in TG-2a, 2.45 ± 0.02 g/L for sIgA and 18.4 ± 0.8 g/L for lysozyme; in TG-2b, 2.44 ± 0.08 g/L and 17.6 ± 0.6 g/L, respectively; in RG-1, 1.66 ± 0.02 g/L and 12.6 ± 0.4 g/L, respectively; in RG-2, 2.55 ± 0.08 g/L and 15.2 ± 0.6 g/L, respectively; in CG-1, 1.98 ± 0.4 g/L and 15.6 ± 0.68 g/L, respectively. No significant improvement was observed in RG-1. These findings confirm that dysbiotic changes in oral fluid were eliminated through the application of adhesive coating on denture surfaces, resulting in enhancement of local immune parameters [11].
In patients from TG-2a and TG-2b, whose dentures were fabricated from Vertex ThermoSens, histomorphologic evaluation of 4–5 µm tissue sections from the subdenture and marginal zones of the oral mucosa after 6 months revealed distinct positive changes. The basal membrane appeared thin, smooth, and slightly corrugated; keratinization was minimal; keratohyalin granules alternated with areas of a thicker epithelial layer, exhibiting a pronounced stratum corneum and well-developed granular layer. Two to three layers of prickle cells were also identified, indicating normalization of epithelial differentiation (see Fig. 6).
Fig. 6. Section of the subdenture mucosal area (Vertex ThermoSens). Hematoxylin and eosin stain; ×100.
Histomorphologic analysis of oral mucosal tissues in patients with Ftorax acrylic resin dentures coated with Gluma Comfort Bond adhesive revealed flattened epithelial cells across relatively large areas, thinning of the keratinized layer, and positive structural changes in the basal membrane, including decreased stromal edema, fewer mast cells, and increased minor salivary gland elements (see Fig. 7). However, the positive morphologic changes were more pronounced in TG-2a and TG-2b than in RG-2.
Fig. 7. Submucosal section beneath dentures fabricated from Ftorax acrylic resin. Hematoxylin and eosin stain; ×100.
Conclusion
The oral cavity of patients with HIV infection is characterized by pathological alterations in oral tissues and structures, with distinct clinical features, high prevalence, and atypical progression. These patients present extensive dental arch defects and a high demand for prosthodontic rehabilitation. The need for PRDs was observed in 76.04% of patients in TG and in only 22.41% of patients in CG (χ² = 7.11; p ≤ 0.05). The need for CRDs was noted in 23.95% of patients in TG and 3.87% of patients in CG (χ² = 8.25; p ≤ 0.05). TG patients also exhibited a marked decrease in the resistance of periodontal tissues to masticatory force—HL > 29.63 and VL > 28.76—values 2–4 times lower than those of CG, as well as negative changes in periodontal indices and adverse morphologic alterations in the oral mucosa in contact with denture surfaces. Local immunity parameters were also significantly reduced in TG patients.
Morphologic analysis revealed thickening of the keratinized marginal layer, formation of 8–9 epithelial cell rows, indistinct boundaries of the prickle-cell layer, numerous acantholytic cells, dystrophic changes of the cortical plates of both jaws, osteoporosis, and pronounced alveolar bone atrophy.
The principal advantage of the proposed specialized treatment and prevention protocol for patients with HIV infection lies in improved quality of life through functional enhancement of denture-bearing and supporting tissues achieved by using dentures fabricated from monomer-free thermoplastic resin (Vertex ThermoSens) and conventional Ftorax acrylic resin dentures coated with Gluma Comfort Bond adhesive. This approach simplifies finishing and polishing procedures while ensuring a smooth denture surface through the sealing of surface pores, thereby minimizing the release of residual monomer. Collectively, these measures significantly improve the biochemical, biophysical, and functional properties of dentures.
The proposed PRD and CRD designs and materials for HIV-positive patients enhance the effectiveness of therapeutic and preventive interventions by restoring and strengthening local oral immunity, eliminating pathological oral processes, improving oral hygiene and periodontal indices, increasing gnathodynamometric performance (54.4%; p < 0.01), and normalizing the histomorphologic environment of the oral mucosal cells.
Additional information
Author contributions: R.S. Pulatova: investigation, supervision, writing—review & editing; S.A. Gafforov: writing—original draft, visualization; D.N. Xen: visualization, writing—review & editing. All the authors approved the version of the manuscript to be published and agreed to be accountable for all aspects of the work, ensuring that questions related to the accuracy or integrity of any part of the work are appropriately investigated and resolved.
Ethics approval: All participants provided written informed consent to participate in the study prior to examination, in accordance with the principles of bioethics (excerpt from Protocol No. 12 of the Local Ethical Committee of the Republican AIDS Center, Ministry of Health of the Republic of Uzbekistan, dated January 10, 2024). All participants provided written informed consent prior to inclusion in the study.
Funding sources: No funding.
Disclosure of interests: The authors have no relationships, activities, or interests for the last three years related to for-profit or not-for-profit third parties whose interests may be affected by the content of the article.
Statement of originality: No previously published material (text, images, or data) was used in this work.
Data availability statement: All data generated during this study are available in this article.
Generative AI: No generative artificial intelligence technologies were used to prepare this article.
Provenance and peer review: This paper was submitted unsolicited and reviewed following the standard procedure. The peer review process involved two external reviewers, a member of the editorial board, and the in-house scientific editor.
1 M.V. Bekmetov, A.A. Sokolov, T.A. Khodzhimetov. Gnathodynamometer. SU Patent No. 1637782. Available at: https://patents.su/3-1637782-gnatodinamometr.html
About the authors
Raykhon S. Pulatova
Bukhara State Medical Institute
Email: rayxonpulatova82@gmail.com
ORCID iD: 0009-0008-3443-0849
Uzbekistan, Bukhara
Sunnatullo A. Gafforov
Center for the Development of Professional Qualification of Medical Workers
Author for correspondence.
Email: sunnatullogafforov@mail.ru
ORCID iD: 0000-0003-2816-3162
SPIN-code: 9176-2861
MD, Dr. Sci. (Medicine), Professor
Uzbekistan, TashkentDmitriy N. Hen
Center for the Development of Professional Qualification of Medical Workers
Email: hdn75@mail.ru
ORCID iD: 0000-0002-2843-2070
Uzbekistan, Tashkent
References
- Alimov AS, Gaffarov SA, Alimov AA. Optimization of orthopedic dental therapy in HIV-infected patients taking into account the state of the periodontium. In: Proceedings of the International Scientific and Practical Conference “Medical Science in the Era of Digital Transformation”; 2021 Oct 12; Kursk. (In Russ.) Available from: https://ksmuconfs.org/wp-content/uploads/2021/12/sbornic-conf-10_12_21.pdf
- Astanov OM, Gafforov SA. Improvement of diagnostics of ogre syndromes in the temporomandibular joint activity, formed at complications of dental caries and defects of the masticatory surface. Ministry of Health of the Republic of Uzbekistan; 2021. Protocol No. 968. (In Uzbek).
- Bazikyan EA, Belyakova S, Pchelin IV. Justification of research on system optimization of surgical dental care to patients with HIV infection. Žurnal infektologii. 2018;10(3):45–53. doi: 10.22625/2072-6732-2018-10-3-45-53
- Gafforov SA, Pulatova RS. Clinical and functional assessment of the state of hard tissues of teeth and oral mucosa of HIV-infected patient. Medical Journal of Uzbekistan. 2023;(3):20–31. (In Russ.) Available from: https://journals.tnmu.uz/index.php/uzmedjournal/issue/view/15/29
- Gafforov SA, Pulatova RS. Comparative assessment of the state of tissues and organs of the oral cavity of HIV-infected patients. Integrative Dentistry and Maxillofacial Surgery. 2023;2(2):65–73. doi: 10.57231/j.idmfs.2023.2.2.009
- Djumaev ZF, Kayumov GO, Gafforov SA, et al. Restoration of defects of the maxillofacial region after oncological surgeries. Journal of oral medicine and craniofacial research. 2024;5(1):23-29 (In Russ.) Available from: https://www.tadqiqot.uz/index.php/oral/article/view/9728/9283
- Nazarov YK, Gafforov SA. Significance of using modern methods of examination in predicting defects of temporomandibular joint and dental arch formation in connective tissue dysplasia. Ministry of Health of the Republic of Uzbekistan; 2023. Protocol No. 8n-r/88. (In Uzbek).
- Gafforov SA, Nazarov UK, Xen DN, Fazilbekova GA. General and local stomatological and immunogenetic changes with undifferentiated connective tissue dysplasia. Russian Journal of Dentistry. 2022;26(1):5–14. doi: 10.17816/1728-2802-2022-26-1-5-14 EDN: VPMOUY
- da Silva Barboza A, Aitken-Saavedra JP, Ferreira ML, et al. Are propolis extracts potential pharmacological agents in human oral health? — A scoping review and technology prospecting. J Ethnopharmacol. 2021;271:113846. doi: 10.1016/j.jep.2021.113846
- Gafforov SA, Pulatova RS. Comparative estimates of the morphological structure of the surface of removable dentures made of different materials for the replacement of dentition defects. Science and Innovation. 2023;2(12):918–924. doi: 10.5281/zenodo.10405778
- Gafforov SA, Pulatova RS. Clinical and laboratory studies of basic materials “Fluorax” and “Vertex TermoSens” used in dental prosthetics of HIV-infected patients. In: Proceedings of the International University Scientific Forum “Practice Oriented Science: UAE–RUSSIA–INDIA”. Ufa: Infiniti; 2023. P. 131–140. doi: 10.34660/INF.2023.80.56.059 EDN: JYEHWB
- Ubaydullayev KA, Gafur-Akhunov MA, Gafforov SA. Method of rehabilitation treatment and orthopedic prosthetics of oncologial patients with postoperative defects in maxillofacial area. American Journal of Medicine and Medical Sciences. 2021;11(2):95–98. doi: 10.5923/j.ajmms.20211102.05
- Glick M, Williams DM. FDI Vision 2030: delivering optimal oral health for all. Int Dent J. 2021;71(1):3–4. doi: 10.1016/j.identj.2020.12.026 EDN: WXEWEW
- Jain P, Keating M, Wierda W, et al. Outcomes of patients with chronic lymphocytic leukemia after discontinuing ibrutinib. Blood. 2015;125(13):2062–2067. doi: 10.1182/blood-2014-09-603670
- Pulatova RS, Mustafaeva DA. Methods of testing the condition of the oral cavity in patients with HIV infection. Research Journal of Trauma and Disability Studies. 2024;3(1):83–86.
- Nikou SA, Kichik N, Brown R, et al. Candida albicans interactions with mucosal surfaces during health and disease. Pathogens. 2019;8(2):53. doi: 10.3390/pathogens8020053 EDN: QVGRNW
- Pulatova RS, Gafforov SA, Nurmatova NT. Clinical evaluation of the effectiveness of thermoplastic materials used in the dental prosthetics of HIV-infected patients. Journal of Chemical Health Risks. 2023;13(4):484–495.
- Keser G, Yılmaz G, Pekiner FN. Assessment of knowledge level and awareness about human papillomavirus among dental students. J Cancer Educ. 2021;36(4):664–669. doi: 10.1007/s13187-019-01683-3 EDN: VZTIVM
Supplementary files











