Влияние мягких тканей, выстилающих дефект кости челюсти, на репаративный остеогенез при дентоальвеолярных поражениях
- Авторы: Слесарев О.В.1, Мальчикова Д.В.1, Юнусова Ю.Р.1, Кулакова О.В.1, Нефёдова И.Ф.1, Беланов В.Г.1
-
Учреждения:
- Самарский государственный медицинский университет
- Выпуск: Том 27, № 2 (2023)
- Страницы: 111-119
- Раздел: Экспериментально-теоретические исследования
- Статья получена: 10.02.2023
- Статья одобрена: 11.05.2023
- Статья опубликована: 21.08.2023
- URL: https://rjdentistry.com/1728-2802/article/view/217214
- DOI: https://doi.org/10.17816/dent217214
- ID: 217214
Цитировать
Полный текст
Аннотация
Обоснование. Лечение пациентов с костными дефектами челюстей требует устранения дефекта, восстановления зубного ряда и долгосрочной поддержки функционального состояния зубочелюстной системы. Однако дентоальвеолярные поражения снижают репаративные возможности костной ткани челюстей. Поэтому при разработке способов оптимизации репаративного остеогенеза важной задачей является определение характера влияния мягких тканей на репаративный остеогенез дефекта кости челюстей.
Цель — изучить влияние мягких тканей, выстилающих дефект кости челюсти, на репаративный остеогенез.
Материал и методы. В исследование были включены 98 человек с приобретёнными сочетанными костными дефектами челюстей. Протокол лечения включал 2 этапа. На этапе диагностики и планирования устранения костных дефектов челюстей проводили прогностический расчёт необходимого объёма гранулированного костнопластического материала. На хирургическом этапе одномоментно проводили операции дентальной имплантации и направленной костной регенерации. Для изучения тканей, заполняющих дефект кости челюстей, осуществляли забор материала во время операции дентальной имплантации и после хирургического этапа по истечении срока остеоинтеграции дентальных имплантатов на этапе установки формирователя десны. Полученные образцы отправляли на гистологическое исследование, где их подготавливали по стандартной схеме, препараты окрашивали гематоксилином и эозином, а также пикрофуксином по Ван Гизону.
Результаты. При микроскопическом исследовании гистологических срезов, полученных из области костных дефектов челюстей, отмечали пролиферацию многослойного плоского неороговевающего эпителия с наползанием и массивным врастанием эпителия в область дефекта кости. Продвижение эпителия в подлежащую кость приводило к атрофии и деструкции кости по всей площади дефекта, увеличению объёма дефекта и формированию полостей, заполненных неоформленной соединительной тканью с мощными пучками коллагеновых волокон и выраженной инфильтрацией между ними. В результате морфологического исследования фрагмента костной ткани обнаружено, что поверхность материала окружена балками новообразованной костной ткани. Основные участки пролиферативной активности остеобластов обнаруживались на гранулах материала, на которых напластовалась новообразованная костная ткань.
Заключение. Морфология тканей, заполняющих область костного дефекта, позволяет судить о снижении источников камбиальных элементов кости. Лечение костных дефектов челюстей требует удаления мягких тканей, выстилающих костный дефект, с последующим проведением операции направленной костной регенерации с использованием гранулированного остеокондуктивного материала и резорбируемой коллагеновой мембраны.
Полный текст
ОБОСНОВАНИЕ
Важные задачи лечения пациентов с костными дефектами челюстей (КДЧ) — устранение дефекта, восстановление зубного ряда и долгосрочная поддержка функционального состояния зубочелюстной системы. Альвеолярные отростки/части челюстей являются опорной структурой зубов. Костная ткань альвеолярных отростков/частей челюстей находится в состоянии постоянного ремоделирования ввиду позиционной адаптации зубов в ответ на биомеханические воздействия, возникающие в результате формирования пищевого комка [1]. Морфологическая структура кости челюстей отличается от таковой у скелетных костей и костей мозгового отдела черепа. Эти различия формируются в эмбриогенезе и реализуются в онтогенезе [2]. Уникальная способность костной ткани — перманентное физиологическое ремоделирование на всех этапах онтогенеза, в том числе в условиях репаративного остеогенеза [3]. Ответная реакция костной ткани на патологические воздействия характеризуется фазностью происходящих процессов. Первая фаза определяется как морфолаксис — перестройка путём реорганизации. Вторая фаза ближе по механизму развития к эпиморфозу — за счёт камбиальных свойств специализированной ткани, дифференцировки и адаптивных изменений. Известно, что репаративный остеогенез может двигаться по двум путям: интрамембранозной или эндохондральной оссификации [4].
Дентоальвеолярные поражения изменяют репаративные возможности костной ткани челюстей [5]. В области поражений снижается объём костной массы, сопровождающийся формированием костных дефектов различных форм. Наиболее распространённой формой являются сочетанные костные дефекты, которые в 9% случаев осложняются фенестрациями и дегисценциями кортикальной кости [6]. Cочетанные костные дефекты формируются во фронтальном отделе челюстей в результате длительного течения одонтогенного процесса, а также несвоевременного обращениия пациентов за помощью с целью сохранения фронтальной группы зубов в лунках. Одонтогенные поражения костной ткани челюстей инициируют частичную или полную потерю кортикальной кости с одномоментной деструкцией надкостницы и потерей остеопрогениторных свойств [7, 8].
Для устранения КДЧ были внедрены различные методы, такие как расщепление гребня, трансплантация аутологичной кости, альвеолярный дистракционный остеогенез, направленная костная регенерация (НКР) с применением аутогенной кости или её аллогенных, ксеногенных или аллопластических аналогов, которые оказывают многостороннее влияние на репаративный остеогенез [9, 10].
Биологическое окружение костного дефекта существенно влияет на динамику развития патологического процесса в кости и перспективы репаративного остеогенеза [11]. Таким образом, для обоснования выбора способа устранения КДЧ необходимы знания о характере влияния мягких тканей (эпителиально-соединительнотканные тяжи, грануляционная ткань, кистоподобные образования), выстилающих КДЧ, на репаративный остеогенез. Полученные данные позволят повысить эффективность лечения и снизить вероятность возникновения послеоперационных осложнений.
Цель — изучить влияние мягких тканей, выстилающих дефект кости челюсти, на репаративный остеогенез.
МАТЕРИАЛ И МЕТОДЫ
Исследование проведено в соответствии с Хельсинской декларацией Всемирной медицинской ассоциации «Этические принципы проведения медицинских исследований с участием человека в качестве субъекта». План исследования одобрен комитетом по биоэтике (разрешение Комитета по биоэтике при СамГМУ из протокола от 29 сентября 2021 г. № 235). Все участники исследования подписали информированное согласие на реализацию протокола лечения.
Костные дефекты челюстей были классифицированы нами по этиологии на врождённые (4%) и приобретённые (96%); топографо-анатомически — на вертикальные (33%), горизонтальные (27%), сочетанные (31%), фенестрацию и дегисценцию кортикальной кости (9%).
В исследование были включены 98 человек (62 женщины и 36 мужчин). Критерий включения — пациенты с приобретёнными сочетанными КДЧ. Критерии исключения — КДЧ, образовавшиеся в результате злокачественного новообразования, и несогласие пациентов с протоколом лечения.
Протокол лечения включал два этапа:
- диагностики и планирования устранения КДЧ;
- хирургический.
На этапе диагностики и планирования в разработанной нами программе для прогностического расчёта необходимого объёма гранулированного костнопластического материала при устранении дефектов кости определяли топографию, структуру, требуемый объём гранулированного остеокондуктивного костнопластического материала для устранения КДЧ. Изображения получали на аппарате конусно-лучевой компьютерной томографии Vatech PaX-i 3D (Корея), рентгеновская трубка Toshiba D-052SB, со следующими параметрами: 90 пиковых киловольт, 10 пиковых миллиамперов, размер пикселя 100 мкм, 5,9×230,4 мм активной области датчика, частота 200 кадров в секунду [12].
На хирургическом этапе проводились непосредственная дентальная имплантация и устранение КДЧ методом НКР с использованием гранулированного остеокондуктивного костнопластического материала и резорбируемой коллагеновой мембраны.
Для изучения тканевого окружения и характеристики трансформации тканей, выстилающих дефект, проводили забор материала в два этапа:
- во время операции дентальной имплантации удаляли из очага деструкции кости нежизнеспособные ткани, полученный операционный материал отправляли на гистологическое исследование;
- по истечении срока остеоинтеграции дентальных имплантатов раскрывали заглушки имплантатов. В момент раскрытия заглушек удаляли излишки костной ткани, расположенные над заглушками. Полученный фрагмент костной ткани отправляли на гистологическое исследование.
Полученные образцы помещали в 10% раствор параформальдегида на фосфатном буфере с рН 7,2–7,4, после чего промывали в проточной воде 30 мин. Далее биоптаты помещали в гистопроцессор замкнутого цикла Tissue-Tek VIP 5 Jr «Биовитрум», где проводили обезвоживание в изопропиловом спирте при температуре 40 °С (8 циклов по 1 ч), в ксилоле при температуре 50°С (1 цикл, 50 мин) и насыщали парафином «Гистомикс» при температуре 58°С (4 цикла по 45 мин). После проводки и заливки в парафин материала изготавливали серийные срезы толщиной 2–3 мкм с помощью санного микротома «MICROM-HМ-450», которые окрашивали гематоксилином и эозином («Биовитрум», Россия), а также пикрофуксином по Ван Гизону. После окраски препараты заключали в монтирующую среду и высушивали в течение 7–14 дней при комнатной температуре. Фотодокументирование проводили на микроскопе Nikon ECLIPSE E200, фоторедактирование — в программе Picasa 3.
РЕЗУЛЬТАТЫ
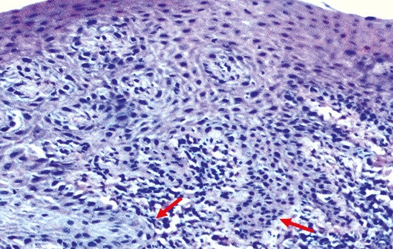
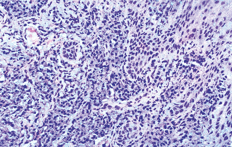
При микроскопическом исследовании гистологических срезов, полученных из области костного дефекта, было выявлено, что в мягкотканной строме мягкотканного окружения, заполняющего костный дефект, имеется выраженная инфильтрация из лимфоцитов, моноцитов, плазмоцитов с примесью единичных фибробластов и эозинофилов. Определяются многочисленные тонкостенные кровеносные сосуды. Визуализируются многослойный плоский неороговевающий эпителий и расположенные под ним участки соединительной ткани. Эпителий сильно утолщён, наблюдаются явления гиперплазии эпителиальных клеток базального и шиповатого слоёв. Эпителий распространяется в подлежащую соединительную ткань без нарушения целостности базальной мембраны, увеличивается выраженность сосочков соединительной ткани. Соединительнотканные сосочки становятся более выраженными. Прослеживаются явления акантоза — утолщение эпителия слизистых оболочек с удлинением межсосочковых отростков. Признаки метаплазии эпителия отсутствуют. В трети полей зрения в эпителии отмечается межцеллюлярный отёк — расхождение клеток, в основном шиповатого слоя. В промежутках между клетками становятся хорошо заметны «шипики» клеток в местах их соединения при помощи десмосом (рис. 1). На некоторых участках отмечается незначительная лейкоцитарная инфильтрация эпителия.
Рис. 1. Мягкотканый фрагмент из области костного дефекта. Пласты многослойного плоского эпителия. Врастание эпителия в подлежащую ткань. Стрелками указана базальная мембрана эпителия без нарушения её целостности. Окраска гематоксилин-эозин, ×150.
Fig. 1. A soft-tissue fragment from the area of a bone defect. Layers of multilayer flat epithelium. Ingrowth of the epithelium into the underlying tissue. Arrows indicate the basement membrane of the epithelium. Hematoxylin-eosin stain, ×150.
Отмечается пролиферация эпителия с наползанием и врастанием эпителия в область дефекта кости (рис. 2). Массивное врастание эпителия подавляет продукцию факторов роста кости, нарушаются молекулярно-клеточные механизмы и межтканевые взаимодействия. Эпителиально-соединительнотканный комплекс выстилает костную поверхность дефекта замещая надкостницу. Это приводит к блокированию репаративного остеогенеза в области костного дефекта.
Рис. 2. Мягкотканый фрагмент из области костного дефекта. Врастание эпителия в подлежащую ткань. Окраска гематоксилин-эозин, ×200.
Fig. 2. A soft-tissue fragment from the area of the bone defect. Ingrowth of the epithelium into the underlying tissue. Hematoxylin-eosin stain, ×200.
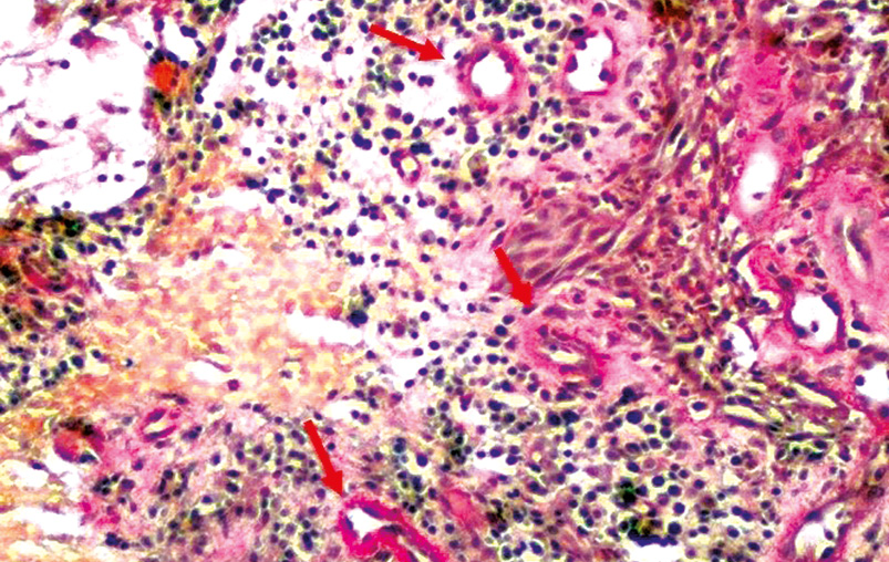
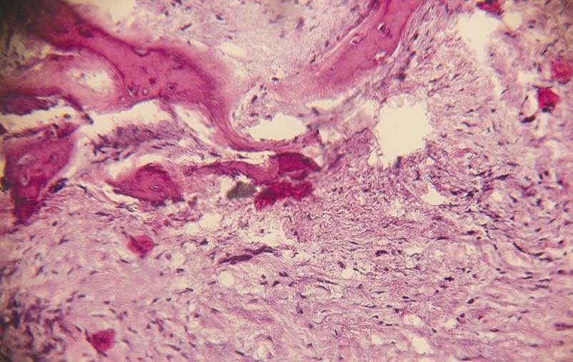
Под эпителием и в местах, не покрытых эпителием, визуализируются обширные участки грануляционной ткани с выраженными признаками продуктивного воспаления со склерозом и гиалинозом соединительнотканных волокон. Преобладают участки рыхлой соединительной ткани с выраженной полиморфноклеточной инфильтрацией. В отдельных участках отмечается замещение жировой тканью. Среди клеток преобладают лимфоциты и макрофаги (лимфоцитарно-гиситиоцитарная инфильтрация), фибробласты. В некоторых полях зрения — нейтрофилы, эозинофилы, плазмоциты, моноциты.
Под участками с сильной инфильтрацией и между ними визуализируется неоформленная соединительная ткань с мощными пучками коллагеновых волокон. В рыхлой соединительной ткани присутствуют явления ангиогенеза — многочисленные новообразованные мелкие тонкостенные сосуды микроциркуляторного русла (рис. 3).
Рис. 3. Мягкотканый фрагмент из области костного дефекта. Фрагмент грануляционной ткани. Явления ангиогенеза. Стрелками указаны наличие многочисленных мелких тонкостенных сосудов микроциркуляторного русла. Окраска по Ван-Гизон. ×200.
Fig. 3. Soft-tissue fragment from the bone defect area. A fragment of granulation tissue. Angiogenesis. Arrows indicate the presence of numerous small thin-walled vessels in the microcirculatory bed. Van Gieson stain, ×200.
Костная ткань в области костного дефекта представлена костными балками, на периферии которых отмечаются дезорганизация и неоднородность костного матрикса с признаками резорбции, многие лакуны запустевшие, остеобласты не наблюдаюся (рис. 4).
Рис. 4. Фрагмент костной ткани из области костного дефекта. Окраска гематоксилин-эозин. ×200.
Fig. 4. A fragment of bone tissue from the area of the bone defect. Hematoxylin-eosin, stain ×200.
В результате исследования мы не обнаружили в тканях, заполняющих дефект кости, достаточного объёма камбиальных элементов, наблюдали отсутствие надкостницы в области дефекта кости челюсти. Низкая активность нативных остеоиндуктивных факторов вызывает в области костного дефекта остеогенную недостаточность, которая ограничивает естественный процесс репаративного остеогенеза, что не обеспечивает полное гисто- и органотипическое восстановление кости [13]. Таким образом, такие КДЧ требуют индукции репаративного остеогенеза [14].
В результате морфологического исследования фрагмента костной ткани, полученного при раскрытии заглушки имплантата, на микропрепарате на границе гранулированного ксеногенного костнопластического материала и в соединительной ткани визуализировали явления остеогенеза (рис. 5).
Рис. 5. Фрагмент костного регенерата через 120 дней после трансплантации. 1 — новобразованная костная ткань, 2 — костнопластический материал, 3 — грубоволокнистая соединительная ткань, 4 — сосуды. Окраска гематоксилин-эозин. ×60.
Fig. 5. Fragment of bone regenerated 120 days after transplantation. 1-newly formed bone tissue, 2-bone graft, 3-coarse-fibrous connective tissue, 4-vessels. Hematoxylin-eosin stain, ×60.
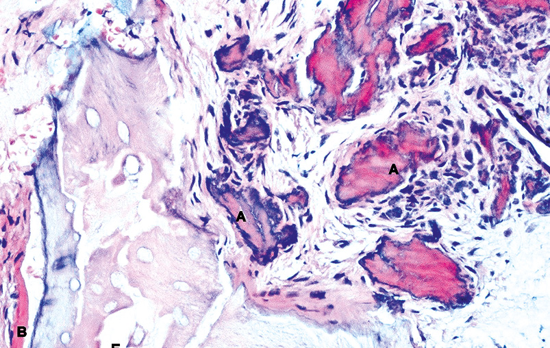
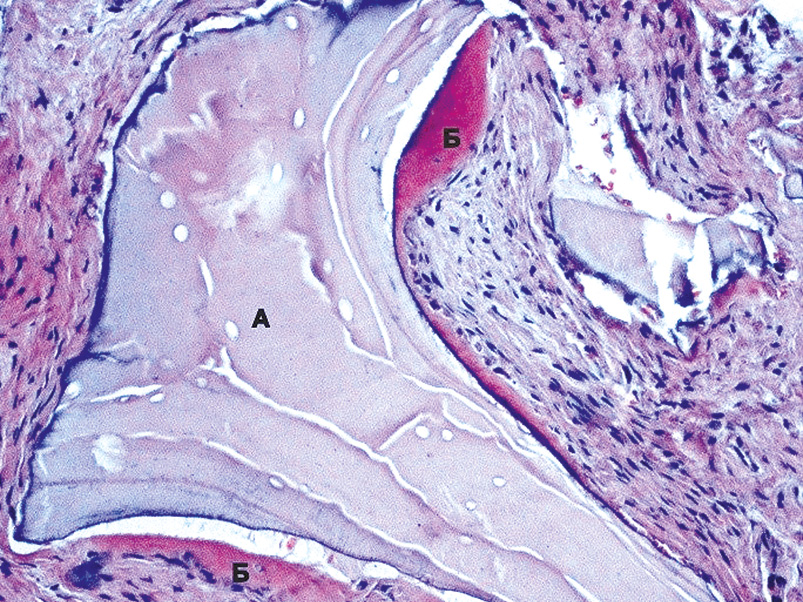
В соединительнотканной строме наблюдается новообразованная ретикулофиброзная костная ткань с одновременной резорбцией костнопластического материала. Остеобласты с поверхности костных балок распространялись на остеопластический материал. Образование первичных остеогенных островков в соединительной ткани регенераторного типа, очаги естественной биодеградации трансплантата (рис. 6).
Рис. 6. Фрагмент новообразованной костной ткани через 120 дней после трансплантации. Образование первичных остеогенных островков в соединительной ткани (А), очаги биодеградации костнопластического материала (Б), фокусы остеогенеза (В). Окраска гематоксилин-эозин. ×150.
Fig. 6. Fragment of newly formed bone tissue 120 days after transplantation. Primary osteogenic islets form in connective tissue (A), graft biodegradation foci (B), osteogenesis foci (C). Hematoxylin-eosin stain, ×150.
На поверхности трансплантированного гранулированного костнопластического материала определяли остеобласты. В соединительнотканной строме на границе с костнопластическим материалом отмечается образование остеоида (рис. 7).
Рис. 7. Фрагмент новообразованной костной ткани через 120 дней после трансплантации. Образование остеоида (Б) в соединительнотканной строме на границе с костно-пластическим материалом (А). Окраска гематоксилин-эозин. ×150.
Fig. 7. Fragment of newly formed bone tissue 120 days after transplantation. Osteoid formation (B) in the connective tissue stroma at the border with the bone graft (A). Hematoxylin-eosin stain, ×150.
Большая часть поверхности материала окружена балками новообразованной костной ткани с активными остеобластами на поверхности, отложениями остеоида. Костные балки были представлены как ретикулофиброзной, так и пластинчатой костной тканью. Новообразованная костная ткань, располагающаяся на остеопластическом материале, плотно контактировала с костной тканью и остеоидом. Основные участки пролиферативной активности остеобластов обнаруживались на гранулах костнопластического материала. Гранулы костнопластического материала на своей поверхности имели многоядерные клетки, напоминающие остеокласты.
На конусно-лицевой компьютерной томограмме, сделанной через 4 мес. после имплантации, были видны биотрансформация материала и появление костных балок. Объём костного регенерата находился в границах планируемой реставрации, параболическая форма костной поверхности была сохранена.
ОБСУЖДЕНИЕ
Как известно, морфология костной ткани альвеолярных отростков/частей челюстей, а также покрывающие её надкостница и слизистая оболочка взаимозависимы [15]. Трёхмерная стабильная основа кости с надкостницей участвует в процессах физиологического ремоделирования [16]. Внутренний остеогенный (камбиальный) слой надкостницы содержит скелетогенные клетки (преостеобласты, остеобласты, мезенхимальные стволовые клетки, в том числе покоящиеся клетки дифференцируются в остеопрогениторные клетки), участвующие в репаративной регенерации [17]. В результате исследования нам не удалось выявить в тканях, выстилающих дефект кости, достаточного объёма камбиальных элементов, способных инициировать и направлять репаративный остеогенез до полного восстановления анатомической формы кости [18]. Снижение репаративного потенциала кости в области дефекта обусловлено длительно текущим одонтогенным процессом, приводящим к деструкции надкостницы и кости. Подавление роста надкостницы по всей площади дефекта является основным патологическим фактором, нарушающим репаративный остеогенез по механизму реституции, т.е. полного восстановления анатомо-морфологических элементов кости [19].
Продвижение эпителиально-соединительнотканного комплекса в подлежащую кость приводит деструкции кости по всей площади дефекта, увеличению объёма дефекта и формированию полостей, заполненных неоформленной соединительной тканью с мощными пучками коллагеновых волокон и выраженной инфильтрацией между ними. Следовательно, для устранения КДЧ требуется использование костнопластических материалов в сочетании с изолирующими мембранами, препятствующими продвижению эпителия и соединительной ткани вглубь биоинженерной конструкции [20]. Оптимизация репаративного остеогенеза КДЧ включает два этапа:
- этап механической и химической подготовки костного дефекта с целью нейтрализации влияния тканей, заполняющих костный дефект, на биоинженерную конструкцию в послеоперационном периоде;
- операция НКР с использованием гранулированного остеокондуктивного костнопластического материала и резорбируемой коллагеновой мембраны.
ЗАКЛЮЧЕНИЕ
Снижение репаративного потенциала кости в области дефекта обусловлено патологическим воздействием эпителиально-соединительнотканного комплекса, возникшим вследствие дентоальвеолярных поражений и приводящим к деструкции надкостницы и подлежащей кости. Эпителиально-соединительнотканный комплекс вытесняет и замещает надкостницу на всей площади дефекта кости. Это является основным патологическим фактором, нарушающим репаративный остеогенез по механизму реституции, т.е. полного восстановления анатомо-морфологических элементов кости. Морфология тканей, заполняющих область костного дефекта, позволяет судить о снижении источников камбиальных элементов кости, факторов роста кости. Количество камбиальных периферических элементов недостаточно для репаративного остеогенеза. Следовательно, лечение КДЧ требует удаления мягких тканей, заполняющих костный дефект, с последующим проведением операции НКР с использованием гранулированного остеокондуктивного материала и резорбируемой коллагеновой мембраны, максимально исключающие возможность миграции эпителия и соединительной ткани вглубь биоинженерной конструкции.
ДОПОЛНИТЕЛЬНО
Источник финансирования. Авторы заявляют об отсутствии внешнего финансирования при проведении исследования и подготовке публикации.
Конфликт интересов. Авторы декларируют отсутствие явных и потенциальных конфликтов интересов, связанных с проведенным исследованием и публикацией настоящей статьи.
Вклад авторов. Все авторы внесли существенный вклад в разработку концепции, проведение исследования и подготовку статьи.
ADDITIONAL INFO
Funding source. This study was not supported by any external sources of funding.
Competing interests. The authors declare that they have no competing interests.
Authors’ contribution. All authors made a substantial contribution to the conception of the work, acquisition, analysis, interpretation of data for the work, drafting and revising the work.
Об авторах
Олег Валентинович Слесарев
Самарский государственный медицинский университет
Автор, ответственный за переписку.
Email: o.slesarev@gmail.com
ORCID iD: 0000-0003-2759-135X
SPIN-код: 4507-6276
д.м.н., доцент
Россия, СамараДарья Вячеславовна Мальчикова
Самарский государственный медицинский университет
Email: dvmalchikova@gmail.com
ORCID iD: 0000-0001-9077-2888
SPIN-код: 2588-2812
аспирант
Россия, СамараЮлия Рафаильевна Юнусова
Самарский государственный медицинский университет
Email: kaf_patanat@samsmu.ru
ORCID iD: 0000-0003-0026-309X
SPIN-код: 8808-4658
к.м.н., доцент
Россия, СамараОлеся Викторовна Кулакова
Самарский государственный медицинский университет
Email: olesvk@mail.ru
ORCID iD: 0000-0002-8318-0355
SPIN-код: 1805-0892
к.м.н., доцент
Россия, СамараИрина Феликсовна Нефёдова
Самарский государственный медицинский университет
Email: i.f.nefedova@samsmu.ru
ORCID iD: 0000-0002-7453-3120
SPIN-код: 2100-4649
главный специалист центра биомедицинских клеточных продуктов НТИ «Бионическая инженерия в медицине»
Россия, СамараВячеслав Геннадьевич Беланов
Самарский государственный медицинский университет
Email: slava.belanov@inbox.ru
ORCID iD: 0000-0002-5167-6479
ординатор
Россия, СамараСписок литературы
- Tan W.L., Wong T.L., Wong M.C., Lang N.P. A systematic review of post-extractional alveolar hard and soft tissue dimensional changes in humans // Clin Oral Implants Res. 2012. Vol. 23, Suppl. 5. P. S1–S21. doi: 10.1111/j.1600-0501.2011.02375.x
- Murphy M.P., Irizarry D., Lopez M., et al. The Role of Skeletal Stem Cells in the Reconstruction of Bone Defects // J Craniofac Surg. 2017. Vol. 28, N 5. P.1136-1141. doi: 10.1097/SCS.0000000000003893
- Salhotra A., Shah H.N., Levi B., Longaker M.T. Mechanisms of bone development and repair // Nat Rev Mol Cell Biol. 2020. Vol. 21, N 11. P. 696–711. doi: 10.1038/s41580-020-00279-w
- Jiang S.Y., Shu R., Xie Y.F., Zhang S.Y. Age-related changes in biological characteristics of human alveolar osteoblasts // Cell Prolif. 2010. Vol. 43, N 5. P. 464–470. doi: 10.1111/j.1365-2184.2010.00696.x
- Elsalanty M.E., Genecov D.G. Bone Grafts in Craniofacial Surgery // Craniomaxillofacial Trauma Reconstr. 2009. Vol. 2, N 3. P. 125–134. doi: 10.1055/s-0029-1215875
- Slesarev O.V., Malchikova D.V., Bayricov I.M. Guided bone regeneration biologically transformed multicomponent graft [интернет]. Journal of Dental Research. [дата обращения: 17.05.2023]. Доступ по ссылке: https://iadr.abstractarchives.com/abstract/21iags-3575687/guided-bone-regeneration-biologically-transformed-multicomponent-graft.
- Hathaway-Schrader J.D., Novince C.M. Maintaining homeostatic control of periodontal bone tissue // Periodontol 2000. 2021. Vol. 86, N 1. P. 157–187. doi: 10.1111/prd.12368
- Jafri Z., Sultan N., Ahmad N., Daing A. An infrequent clinical case of mucosal fenestration: Treated with an interdisciplinary approach and regenerative therapy // J Indian Soc Periodontol. 2019. Vol. 23, N 2. P. 168–171. doi: 10.4103/jisp.jisp_325_18
- Anikumar R., Koduganti R.R., Harika T.SL., Rajaram H. Ridge Augmentation Is a Prerequisite for Successful Implant Placement: A Literature Review // Cureus. 2022/ Vol. 14, N 1. P. e20872. doi: 10.7759/cureus.20872
- Zhao R., Yang R., Cooper P.R., et al. Bone Grafts and Substitutes in Dentistry: A Review of Current Trends and Developments // Molecules. 2021. Vol. 26, N 10. P. 3007. doi: 10.3390/molecules26103007
- Maia F.R., Bastos A.R., Oliveira J.M., Correlo V.M., Reis R.L.Recent approaches towards bone tissue engineering // Bone. 2022. Vol. 154. P. 116256. doi: 10.1016/j.bone.2021.116256
- Свидетельство о регистрации программы для ЭВМ № 2021666327/ 12.10.2021. Рузанов Н.В., Слесарев О.В., Болотов М.А., Мальчикова Д.В. Программа для прогностического расчёта необходимого объёма гранулированного костно-пластического материала при устранении дефектов кости.
- Alias M.A., Buenzli P.R. Osteoblasts infill irregular pores under curvature and porosity controls: a hypothesis-testing analysis of cell behaviours // Biomech Model Mechanobiol. 2018. Vol 17. N 5. P. 1357-1371. doi: 10.1007/s10237-018-1031-x
- Патент РФ на изобретение № 2766978 C1/ 16.03.2022. Слесарев О.В., Колсанов А.В., Байриков И.М., Мальчикова Д.В., Тюмина О.В., Волчков С.Е., Овчинников П.А., Постников М.А., Хайкин М.Б. Многокомпонентный остеогенный трансплантат для хирургического устранения врождённых и приобретённых дефектов кости челюстей. Режим доступа: https://yandex.ru/patents/doc/RU2766978C1_20220316
- Khoury F., Hanser T., Mandibular bone block harvesting from the retromolar region: A 10-year prospective clinical study // Int J Oral Maxillofac Implant. 2015. Vol. 30. P. 688–697. doi: 10.11607/jomi.4117
- Khoury F., Dolieux R. The Bone Core Technique for the Augmentation of Limited Bony Defects: Five-Year Prospective Study with a New Minimally Invasive Technique // Int J Periodontics Restor Dent. 2018. Vol 38. P.199–207. doi: 10.11607/prd.3467
- Scarano A., Lorusso F., Ravera L., Mortellaro C., Piattelli A. Bone Regeneration in Iliac Crestal Defects: An Experimental Study on Sheep // Biomed Res Int. 2016. Vol. 2016. P. 4086870. doi: 10.1155/2016/4086870
- Патент РФ на изобретение № 2758570 C1/29.10.2021. Слесарев О.В., Байриков И.М., Мальчикова Д.В., Платонов В.И., Иорданишвили А.К., Музыкин М.И., Грибкова О.В., Комарова М.В. Способ дегазации гранулированного остеокондуктивного костнопластического материала. Режим доступа: https://patenton.ru/patent/RU2758570C1
- Brouwers J.E., van der Vorm L.N., Buis S., et al. Implant stability in patients treated with platelet-rich fibrin and bovine bone substitute for alveolar ridge preservation is associated with peripheral blood cells and coagulation factors // Clin Exp Dent Res. 2020. Vol. 6, N 2. P. 236–243. doi: 10.1002/cre2.263
- Tsang K.Y., Tang H.C., Chan D., Cheah K.S. Hypertrophic chondrocytes can become osteoblasts and osteocytes in endochondral bone formation // Proc Natl Acad Sci USA. 2014. Vol. 111. P. 12097–12102.
Дополнительные файлы











